JavaScript is disabled in your browser. Please enable JavaScript to view this website.
AB246353

Anti-Fbxw7 antibody [SP237] - BSA and Azide free

Be the first to review this product! Submit a review

|

(1 Publication)

Rabbit Recombinant Monoclonal Fbxw7 antibody. Carrier free. Suitable for IHC-P, Flow Cyt (Intra) and reacts with Human samples. Cited in 1 publication.

View Alternative Names

FBW7, FBX30, SEL10, FBXW7, F-box/WD repeat-containing protein 7, Archipelago homolog, F-box and WD-40 domain-containing protein 7, F-box protein FBX30, SEL-10, hCdc4, hAgo

3 Images
Immunohistochemistry (Formalin/PFA-fixed paraffin-embedded sections) - Anti-Fbxw7 antibody [SP237] - BSA and Azide free (AB246353)
  • IHC-P

Supplier Data

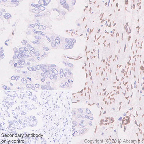
Immunohistochemistry (Formalin/PFA-fixed paraffin-embedded sections) - Anti-Fbxw7 antibody [SP237] - BSA and Azide free (AB246353)

Formalin-fixed, paraffin-embedded human endometrial adenocarcinoma tissue stained for Fbxw7 with ab227677 at 1/100 dilution in immunohistochemical analysis.

This data was developed using the same antibody clone in a different buffer formulation containing PBS, BSA and sodium azide (ab227677).

Immunohistochemistry (Formalin/PFA-fixed paraffin-embedded sections) - Anti-Fbxw7 antibody [SP237] - BSA and Azide free (AB246353)
  • IHC-P

Unknown

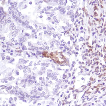
Immunohistochemistry (Formalin/PFA-fixed paraffin-embedded sections) - Anti-Fbxw7 antibody [SP237] - BSA and Azide free (AB246353)

Immunohistochemistry (Formalin/PFA-fixed paraffin-embedded sections) analysis of Human endometrial adenocarcinoma tissue sections labeling Fbxw7 with ab227677 at 1/100 dilution (1.56 µg/ml). Heat mediated antigen retrieval was performed Heat mediated antigen retrieval with Tris-EDTA buffer (pH 9.0, epitope retrieval solution 2) for 20 mins. Rabbit specific IHC polymer detection kit HRP/DAB (ab209101) was used as the secondary antibody. Negative control : PBS instead of the primary antibody. Hematoxylin was used as a counterstain.
This data was developed using the same antibody clone in a different buffer formulation containing PBS, BSA, glycerol, and sodium azide (ab227677)

Flow Cytometry (Intracellular) - Anti-Fbxw7 antibody [SP237] - BSA and Azide free (AB246353)
  • Flow Cyt (Intra)

Supplier Data

Flow Cytometry (Intracellular) - Anti-Fbxw7 antibody [SP237] - BSA and Azide free (AB246353)

Intracellular flow cytometric analysis of HL-60 (human promyelocytic leukemia cell line) cell line labeling Fbxw7 with ab227677 at 1/400 (green) compared with a rabbit isotype control (blue).

This data was developed using the same antibody clone in a different buffer formulation containing PBS, BSA and sodium azide (ab227677).

Key facts

Host species

Rabbit

Clonality

Monoclonal

Clone number

SP237

Isotype

IgG

Carrier free

Yes

Reacts with

Human

Applications

Flow Cyt (Intra), IHC-P

applications

Immunogen

The exact immunogen used to generate this antibody is proprietary information.

Reactivity data

{ "title": "Reactivity Data", "filters": { "stats": ["", "Species", "Dilution Info", "Notes"], "tabs": { "all-applications": {"fullname" : "All Applications", "shortname": "All Applications"}, "IHCP" : {"fullname" : "Immunohistochemistry (Formalin/PFA-fixed paraffin-embedded sections)", "shortname":"IHC-P"}, "FlowCytIntra" : {"fullname" : "Flow Cytometry (Intracellular)", "shortname":"Flow Cyt (Intra)"} }, "product-promise": { "all": "all", "testedAndGuaranteed": "tested", "guaranteed": "expected", "predicted": "predicted", "notRecommended": "not-recommended" } }, "values": { "Human": { "IHCP-species-checked": "testedAndGuaranteed", "IHCP-species-dilution-info": "", "IHCP-species-notes": "<p>Antigen retrieval: Boil tissue section in EDTA buffer pH 8.0 for 10 minutes followed by cooling at room temperature for 20 minutes.</p>", "FlowCytIntra-species-checked": "testedAndGuaranteed", "FlowCytIntra-species-dilution-info": "", "FlowCytIntra-species-notes": "<p></p>" }, "Mouse": { "IHCP-species-checked": "predicted", "IHCP-species-dilution-info": "", "IHCP-species-notes": "", "FlowCytIntra-species-checked": "predicted", "FlowCytIntra-species-dilution-info": "", "FlowCytIntra-species-notes": "" }, "Rat": { "IHCP-species-checked": "predicted", "IHCP-species-dilution-info": "", "IHCP-species-notes": "", "FlowCytIntra-species-checked": "predicted", "FlowCytIntra-species-dilution-info": "", "FlowCytIntra-species-notes": "" } } }

Product details

ab246353 is the carrier-free version of ab227677.

What are the advantages of a recombinant monoclonal antibody?
This product is a recombinant monoclonal antibody, which offers several advantages including:

  • - High batch-to-batch consistency and reproducibility
  • - Improved sensitivity and specificity
  • - Long-term security of supply
  • - Animal-free batch production

For more information, read more on recombinant antibodies.

Conjugation ready
Our carrier-free antibodies are typically supplied in a PBS-only formulation, purified and free of BSA, sodium azide and glycerol. This conjugation-ready format is designed for use with fluorochromes, metal isotopes, oligonucleotides, and enzymes, which makes them ideal for antibody labelling, functional and cell-based assays, flow-based assays (e.g. mass cytometry) and Multiplex Imaging applications.

Use our conjugation kits for antibody conjugates that are ready-to-use in as little as 20 minutes with 1 minute hands-on-time and 100% antibody recovery: available for fluorescent dyes, HRP, biotin and gold.

Compatibility
This product is compatible with the Maxpar® Antibody Labeling Kit from Fluidigm, without the need for antibody preparation. Maxpar® is a trademark of Fluidigm Canada Inc.

Properties and storage information

Form
Liquid
Purification technique
Affinity purification Protein A/G
Purification notes
Purified from TCS by protein A/G.
Storage buffer
pH: 7.2 - 7.4 Constituents: PBS
Shipped at conditions
Blue Ice
Appropriate short-term storage conditions
+4°C
Appropriate long-term storage conditions
+4°C
Storage information
Do Not Freeze

Product protocols

For this product, it's our understanding that no specific protocols are required. You can visit:

Target data

Substrate recognition component of a SCF (SKP1-CUL1-F-box protein) E3 ubiquitin-protein ligase complex which mediates the ubiquitination and subsequent proteasomal degradation of target proteins (PubMed : 17434132, PubMed : 22748924, PubMed : 26976582, PubMed : 28727686, PubMed : 34741373, PubMed : 35395208). Recognizes and binds phosphorylated sites/phosphodegrons within target proteins and thereafter brings them to the SCF complex for ubiquitination (PubMed : 17434132, PubMed : 22748924, PubMed : 26774286, PubMed : 26976582, PubMed : 28727686, PubMed : 34741373). Identified substrates include cyclin-E (CCNE1 or CCNE2), DISC1, JUN, MYC, NOTCH1 released notch intracellular domain (NICD), NFE2L1, NOTCH2, MCL1, MLST8, RICTOR, and probably PSEN1 (PubMed : 11565034, PubMed : 11585921, PubMed : 12354302, PubMed : 14739463, PubMed : 15103331, PubMed : 17558397, PubMed : 17873522, PubMed : 22608923, PubMed : 22748924, PubMed : 25775507, PubMed : 25897075, PubMed : 26976582, PubMed : 28007894, PubMed : 28727686, PubMed : 29149593, PubMed : 34102342). Acts as a negative regulator of JNK signaling by binding to phosphorylated JUN and promoting its ubiquitination and subsequent degradation (PubMed : 14739463). Involved in bone homeostasis and negative regulation of osteoclast differentiation (PubMed : 29149593). Regulates the amplitude of the cyclic expression of hepatic core clock genes and genes involved in lipid and glucose metabolism via ubiquitination and proteasomal degradation of their transcriptional repressor NR1D1; CDK1-dependent phosphorylation of NR1D1 is necessary for SCF(FBXW7)-mediated ubiquitination (PubMed : 27238018). Also able to promote 'Lys-63'-linked ubiquitination in response to DNA damage (PubMed : 26774286). The SCF(FBXW7) complex facilitates double-strand break repair following phosphorylation by ATM : phosphorylation promotes localization to sites of double-strand breaks and 'Lys-63'-linked ubiquitination of phosphorylated XRCC4, enhancing DNA non-homologous end joining (PubMed : 26774286).
See full target information FBXW7

Publications (1)

Recent publications for all applications. Explore the full list and refine your search

Molecular therapy. Nucleic acids 33:698-712 PubMed37662970

2023

Selection of a novel cell-internalizing RNA aptamer specific for CD22 antigen in B cell acute lymphoblastic leukemia.

Applications

Unspecified application

Species

Unspecified reactive species

Dario Ruiz-Ciancio,Li-Hsien Lin,Suresh Veeramani,Maya N Barros,Diego Sanchez,Ary Lautaro Di Bartolo,Diego Masone,Paloma H Giangrande,María Belén Mestre,William H Thiel
View all publications

Product promise

We are committed to supporting your work with high-quality reagents, and we're here for you every step of the way. In the unlikely event that one of our products does not perform as expected, you're protected by our Product Promise.
For full details, please see our Terms & Conditions

Please note: All products are 'FOR RESEARCH USE ONLY. NOT FOR USE IN DIAGNOSTIC OR THERAPEUTIC PROCEDURES'.

For licensing inquiries, please contact partnerships@abcam.com