JavaScript is disabled in your browser. Please enable JavaScript to view this website.
AB316200

Anti-Fc epsilon RI/FCER1A antibody [EPR28402-78] - BSA and Azide free

  • BOND RX™ Validated
  • Recombinant
  • Advanced Validation
  • RabMAb
  • What is this?

Be the first to review this product! Submit a review

|

(0 Publication)

Rabbit Recombinant Monoclonal Fc epsilon RI/FCER1A antibody. Carrier free. Suitable for mIHC, WB, IHC-P and reacts with Human samples.

View Alternative Names

FCE1A, FCER1A, High affinity immunoglobulin epsilon receptor subunit alpha, Fc-epsilon RI-alpha, IgE Fc receptor subunit alpha, FcERI

10 Images
Multiplex immunohistochemistry - Anti-Fc epsilon RI/FCER1A antibody [EPR28402-78] - BSA and Azide free (AB316200)
  • mIHC

Lab

Multiplex immunohistochemistry - Anti-Fc epsilon RI/FCER1A antibody [EPR28402-78] - BSA and Azide free (AB316200)

This data was developed using ab316199, the same antibody clone in a different buffer formulation.

Multiplex immunohistochemistry analysis of formalin/PFA-fixed paraffin-embedded Human stomach cancer tissue staining Fc epsilon RI/FCER1A with ab316199 at a 1 : 500 (1.04 ug/ml) dilution and SIGLEC6 with ab317307 at 1 : 100 (4.89 ug/ml) dilution followed by secondary antibody Opal Polymer HRP Ms + Rb.

Panel A : merged staining of anti-Fc epsilon RI/FCER1A (green; Opal520) and anti-SIGLEC6 (magenta; Opal690) on human stomach cancer. Panel B : anti-Fc epsilon RI/FCER1A staining immune cells in human stomach cancer.Panel C : anti-SIGLEC6 staining mast cells and basophils in human stomach cancer. Panel D : Nuclear DNA was labeled with DAPI (shown in blue).

The section was incubated in two rounds of staining : in the order of ab316199 and ab317307 for 30 mins at room temperature. Each round was followed by a separate fluorescent tyramide signal amplification system.

The immunostaining was performed on a Leica Biosystems BOND® RX instrument with an Opal 4-color kit. Image acquisition was performed with Leica SP8 confocal microscope.

Heat mediated antigen retrieval was performed with Tris-EDTA buffer (pH 9.0, Epitope Retrieval Solution2) for 20 mins

Immunohistochemistry (Formalin/PFA-fixed paraffin-embedded sections) - Anti-Fc epsilon RI/FCER1A antibody [EPR28402-78] - BSA and Azide free (AB316200)
  • IHC-P

Supplier Data

Immunohistochemistry (Formalin/PFA-fixed paraffin-embedded sections) - Anti-Fc epsilon RI/FCER1A antibody [EPR28402-78] - BSA and Azide free (AB316200)

This data was developed using ab316199, the same antibody clone in a different buffer formulation.

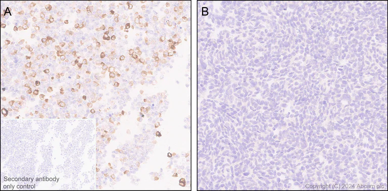
Immunohistochemical analysis of paraffin-embedded (A) KU812(human peripheral blood basophils) cell pellet . (B) HEK-293T (human embryonic kidney epithelial cell) cell pellet . tissue labeling Fc epsilon RI/FCER1A with ab316199 at 1/500 (1.04 ug/ml) dilution, followed by a ready to use LeicaDS9800 (Bond™ Polymer Refine Detection).

Positive staining on (A) KU812 cell pellet . No staining on (B) HEK-293T cell pellet.
The section was incubated with ab316199 for 30 mins at room temperature.
The immunostaining was performed on a Leica Biosystems BOND® RX instrument.

Counterstained with Hematoxylin.

Secondary antibody only control : Secondary antibody is a ready to use LeicaDS9800 (Bond™ Polymer Refine Detection).

Heat mediated antigen retrieval was performed with Tris-EDTA buffer (pH 9.0, Epitope Retrieval Solution2) for 20 mins.

Immunohistochemistry (Formalin/PFA-fixed paraffin-embedded sections) - Anti-Fc epsilon RI/FCER1A antibody [EPR28402-78] - BSA and Azide free (AB316200)
  • IHC-P

Supplier Data

Immunohistochemistry (Formalin/PFA-fixed paraffin-embedded sections) - Anti-Fc epsilon RI/FCER1A antibody [EPR28402-78] - BSA and Azide free (AB316200)

This data was developed using ab316199, the same antibody clone in a different buffer formulation.

Immunohistochemical analysis of paraffin-embedded Human squamous cell lung carcinoma tissue labeling Fc epsilon RI/FCER1A with ab316199 at 1/500 (1.04 ug/ml) dilution, followed by a ready to use LeicaDS9800 (Bond™ Polymer Refine Detection).

Positive staining on immune cells of human lung carcinoma.
The section was incubated with ab316199 for 30 mins at room temperature.
The immunostaining was performed on a Leica Biosystems BOND® RX instrument.

Counterstained with Hematoxylin.

Secondary antibody only control : Secondary antibody is a ready to use LeicaDS9800 (Bond™ Polymer Refine Detection).

Heat mediated antigen retrieval was performed with Tris-EDTA buffer (pH 9.0, Epitope Retrieval Solution2) for 20 mins.

Multiplex immunohistochemistry - Anti-Fc epsilon RI/FCER1A antibody [EPR28402-78] - BSA and Azide free (AB316200)
  • mIHC

Lab

Multiplex immunohistochemistry - Anti-Fc epsilon RI/FCER1A antibody [EPR28402-78] - BSA and Azide free (AB316200)

This data was developed using ab316199, the same antibody clone in a different buffer formulation.

Multiplex immunohistochemistry analysis of formalin/PFA-fixed paraffin-embedded Human lung tissue staining Fc epsilon RI/FCER1A with ab316199 at a 1 : 500 (1.04 ug/ml) dilution and SIGLEC6 with ab317307 at 1 : 100 (4.89 ug/ml) dilution followed by secondary antibody Opal Polymer HRP Ms + Rb.

Panel A : merged staining of anti-Fc epsilon RI/FCER1A (green; Opal520) and anti-SIGLEC6 (magenta; Opal690) on human lung. Panel B : anti-Fc epsilon RI/FCER1A staining immune cells in human lung.Panel C : anti-SIGLEC6 staining mast cells and basophils in human lung. Panel D : Nuclear DNA was labeled with DAPI (shown in blue).

The section was incubated in two rounds of staining : in the order of ab316199 and ab317307 for 30 mins at room temperature. Each round was followed by a separate fluorescent tyramide signal amplification system.

The immunostaining was performed on a Leica Biosystems BOND® RX instrument with an Opal 4-color kit. Image acquisition was performed with Leica SP8 confocal microscope.

Heat mediated antigen retrieval was performed with Tris-EDTA buffer (pH 9.0, Epitope Retrieval Solution2) for 20 mins

Immunohistochemistry (Formalin/PFA-fixed paraffin-embedded sections) - Anti-Fc epsilon RI/FCER1A antibody [EPR28402-78] - BSA and Azide free (AB316200)
  • IHC-P

Supplier Data

Immunohistochemistry (Formalin/PFA-fixed paraffin-embedded sections) - Anti-Fc epsilon RI/FCER1A antibody [EPR28402-78] - BSA and Azide free (AB316200)

This data was developed using ab316199, the same antibody clone in a different buffer formulation.

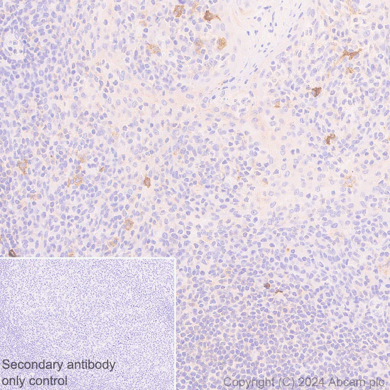
Immunohistochemical analysis of paraffin-embedded Human cerebrum tissue labeling Fc epsilon RI/FCER1A with ab316199 at 1/500 (1.04 ug/ml) dilution, followed by a ready to use LeicaDS9800 (Bond™ Polymer Refine Detection).

Negative control : no staining on human cerebrum.
The section was incubated with ab316199 for 30 mins at room temperature.
The immunostaining was performed on a Leica Biosystems BOND® RX instrument.

Counterstained with Hematoxylin.

Secondary antibody only control : Secondary antibody is a ready to use LeicaDS9800 (Bond™ Polymer Refine Detection).

Heat mediated antigen retrieval was performed with Tris-EDTA buffer (pH 9.0, Epitope Retrieval Solution2) for 20 mins.

Immunohistochemistry (Formalin/PFA-fixed paraffin-embedded sections) - Anti-Fc epsilon RI/FCER1A antibody [EPR28402-78] - BSA and Azide free (AB316200)
  • IHC-P

Supplier Data

Immunohistochemistry (Formalin/PFA-fixed paraffin-embedded sections) - Anti-Fc epsilon RI/FCER1A antibody [EPR28402-78] - BSA and Azide free (AB316200)

This data was developed using ab316199, the same antibody clone in a different buffer formulation.

Immunohistochemical analysis of paraffin-embedded Human tonsil tissue labeling Fc epsilon RI/FCER1A with ab316199 at 1/500 (1.04 ug/ml) dilution, followed by a ready to use LeicaDS9800 (Bond™ Polymer Refine Detection).

Positive staining on human tonsil.
The section was incubated with ab316199 for 30 mins at room temperature.
The immunostaining was performed on a Leica Biosystems BOND® RX instrument.

Counterstained with Hematoxylin.

Secondary antibody only control : Secondary antibody is a ready to use LeicaDS9800 (Bond™ Polymer Refine Detection).

Heat mediated antigen retrieval was performed with Tris-EDTA buffer (pH 9.0, Epitope Retrieval Solution2) for 20 mins.

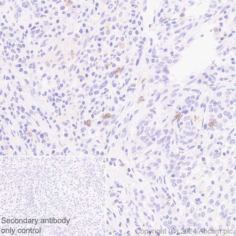
Immunohistochemistry (Formalin/PFA-fixed paraffin-embedded sections) - Anti-Fc epsilon RI/FCER1A antibody [EPR28402-78] - BSA and Azide free (AB316200)
  • IHC-P

Supplier Data

Immunohistochemistry (Formalin/PFA-fixed paraffin-embedded sections) - Anti-Fc epsilon RI/FCER1A antibody [EPR28402-78] - BSA and Azide free (AB316200)

This data was developed using ab316199, the same antibody clone in a different buffer formulation.

Immunohistochemical analysis of paraffin-embedded Human lung tissue labeling Fc epsilon RI/FCER1A with ab316199 at 1/500 (1.04 ug/ml) dilution, followed by a ready to use LeicaDS9800 (Bond™ Polymer Refine Detection).

Positive staining on immune cells of human lung (PMID : 21958156).
The section was incubated with ab316199 for 30 mins at room temperature.
The immunostaining was performed on a Leica Biosystems BOND® RX instrument.

Counterstained with Hematoxylin.

Secondary antibody only control : Secondary antibody is a ready to use LeicaDS9800 (Bond™ Polymer Refine Detection).

Heat mediated antigen retrieval was performed with Tris-EDTA buffer (pH 9.0, Epitope Retrieval Solution2) for 20 mins.

Western blot - Anti-Fc epsilon RI/FCER1A antibody [EPR28402-78] - BSA and Azide free (AB316200)
  • WB

Supplier Data

Western blot - Anti-Fc epsilon RI/FCER1A antibody [EPR28402-78] - BSA and Azide free (AB316200)

This data was developed using ab316199, the same antibody clone in a different buffer formulation.

Fc epsilon RI/FCER1A is a glycoprotein of approximately 45 kDa and detected as a 30-kDa band after treated with Peptide : N-glycosidase F (PNGase F).

The expression profile/ molecular weight observed is consistent with what has been described in the literature (PMID : 2964640).

Samples are non-boiled as boiling may cause protein aggregation.

In Western blot, Anti-GAPDH antibody [EPR16891] - Loading Control (ab181602) staining at 1/200000 dilution.

All lanes:

Western blot - Anti-Fc epsilon RI/FCER1A antibody [EPR28402-78] (<a href='/en-us/products/primary-antibodies/fc-epsilon-ri-fcer1a-antibody-epr28402-78-ab316199'>ab316199</a>) at 1/1000 dilution

Lane 1:

Untreated KU812 (human Peripheral blood basophil) whole cell lysate at 40 µg

Lane 2:

KU812 treated with Peptide:N-glycosidase F (PNGase F) whole cell lysate at 40 µg

Secondary

All lanes:

Western blot - Goat Anti-Rabbit IgG H&L (HRP) (<a href='/en-us/products/secondary-antibodies/goat-rabbit-igg-h-l-hrp-ab97051'>ab97051</a>) at 1/100000 dilution

Observed band size: 30 kDa,45 kDa,36 kDa

true

Exposure time: 81s

Western blot - Anti-Fc epsilon RI/FCER1A antibody [EPR28402-78] - BSA and Azide free (AB316200)
  • WB

Supplier Data

Western blot - Anti-Fc epsilon RI/FCER1A antibody [EPR28402-78] - BSA and Azide free (AB316200)

This data was developed using ab316199, the same antibody clone in a different buffer formulation.

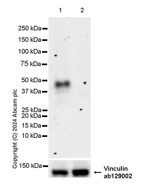
Negative control : HEK-293 (PMID : 17728245).

Samples are non-boiled as boiling may cause protein aggregation.

In Western blot, Anti-Vinculin antibody [EPR8185] (ab129002) staining at 1/10000 dilution.

All lanes:

Western blot - Anti-Fc epsilon RI/FCER1A antibody [EPR28402-78] (<a href='/en-us/products/primary-antibodies/fc-epsilon-ri-fcer1a-antibody-epr28402-78-ab316199'>ab316199</a>) at 1/1000 dilution

Lane 1:

KU812 (human Peripheral blood basophil) whole cell lysate at 40 µg

Lane 2:

HEK-293 (human embryonic kidney epithelial cell) whole cell lysate at 40 µg

Secondary

All lanes:

Western blot - Goat Anti-Rabbit IgG H&L (HRP) (<a href='/en-us/products/secondary-antibodies/goat-rabbit-igg-h-l-hrp-ab97051'>ab97051</a>) at 1/100000 dilution

Observed band size: 45 kDa,124 kDa

false

Exposure time: 180s

Western blot - Anti-Fc epsilon RI/FCER1A antibody [EPR28402-78] - BSA and Azide free (AB316200)
  • WB

Supplier Data

Western blot - Anti-Fc epsilon RI/FCER1A antibody [EPR28402-78] - BSA and Azide free (AB316200)

This data was developed using ab316199, the same antibody clone in a different buffer formulation.

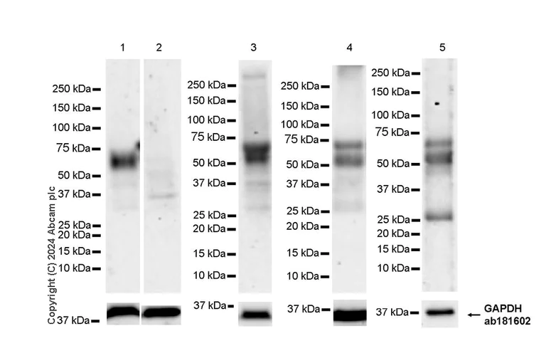
Negative control : brain (PMID : 2964640).

The expression profile/ molecular weight observed is consistent with what has been described in the literature (PMID : 2964640).

Samples are non-boiled as boiling may cause protein aggregation.

In Western blot, Anti-GAPDH antibody [EPR16891] - Loading Control (ab181602) staining at 1/200000 dilution.

All lanes:

Western blot - Anti-Fc epsilon RI/FCER1A antibody [EPR28402-78] (<a href='/en-us/products/primary-antibodies/fc-epsilon-ri-fcer1a-antibody-epr28402-78-ab316199'>ab316199</a>) at 1/1000 dilution

Lane 1:

Human tonsil tissue lysate at 40 µg

Lane 2:

Human brain tissue lysate at 40 µg

Lane 3:

Human testis tissue lysate at 40 µg

Lane 4:

Human bone marrow tissue lysate at 40 µg

Lane 5:

Human skin tissue lysate at 20 µg

Secondary

All lanes:

Western blot - Goat Anti-Rabbit IgG H&L (HRP) (<a href='/en-us/products/secondary-antibodies/goat-rabbit-igg-h-l-hrp-ab97051'>ab97051</a>) at 1/100000 dilution

Observed band size: 55-60 kDa,36 kDa

false

Exposure time: 180s

  • Unconjugated

    Anti-Fc epsilon RI/FCER1A antibody [EPR28402-78]

Key facts

Host species

Rabbit

Clonality

Monoclonal

Clone number

EPR28402-78

Isotype

IgG

Carrier free

Yes

Reacts with

Human

Applications

WB, IHC-P, mIHC

applications

Immunogen

The exact immunogen used to generate this antibody is proprietary information.

Reactivity data

{ "title": "Reactivity Data", "filters": { "stats": ["", "Species", "Dilution Info", "Notes"], "tabs": { "all-applications": {"fullname" : "All Applications", "shortname": "All Applications"}, "mIHC" : {"fullname" : "Multiplex immunohistochemistry", "shortname":"mIHC"}, "WB" : {"fullname" : "Western blot", "shortname":"WB"}, "IHCP" : {"fullname" : "Immunohistochemistry (Formalin/PFA-fixed paraffin-embedded sections)", "shortname":"IHC-P"}, "ICCIF" : {"fullname" : "Immunocytochemistry/ Immunofluorescence", "shortname":"ICC/IF"}, "FlowCyt" : {"fullname" : "Flow Cytometry", "shortname":"Flow Cyt"}, "IP" : {"fullname" : "Immunoprecipitation", "shortname":"IP"} }, "product-promise": { "all": "all", "testedAndGuaranteed": "tested", "guaranteed": "expected", "predicted": "predicted", "notRecommended": "not-recommended" } }, "values": { "Human": { "mIHC-species-checked": "testedAndGuaranteed", "mIHC-species-dilution-info": "", "mIHC-species-notes": "<p></p>", "WB-species-checked": "testedAndGuaranteed", "WB-species-dilution-info": "", "WB-species-notes": "<p></p>", "IHCP-species-checked": "testedAndGuaranteed", "IHCP-species-dilution-info": "", "IHCP-species-notes": "<p></p>", "ICCIF-species-checked": "notRecommended", "ICCIF-species-dilution-info": "", "ICCIF-species-notes": "<p></p>", "FlowCyt-species-checked": "notRecommended", "FlowCyt-species-dilution-info": "", "FlowCyt-species-notes": "<p></p>", "IP-species-checked": "notRecommended", "IP-species-dilution-info": "", "IP-species-notes": "<p></p>" }, "Mouse": { "mIHC-species-checked": "notRecommended", "mIHC-species-dilution-info": "", "mIHC-species-notes": "", "WB-species-checked": "notRecommended", "WB-species-dilution-info": "", "WB-species-notes": "<p></p>", "IHCP-species-checked": "notRecommended", "IHCP-species-dilution-info": "", "IHCP-species-notes": "<p></p>", "ICCIF-species-checked": "notRecommended", "ICCIF-species-dilution-info": "", "ICCIF-species-notes": "<p></p>", "FlowCyt-species-checked": "notRecommended", "FlowCyt-species-dilution-info": "", "FlowCyt-species-notes": "<p></p>", "IP-species-checked": "notRecommended", "IP-species-dilution-info": "", "IP-species-notes": "" }, "Rat": { "mIHC-species-checked": "notRecommended", "mIHC-species-dilution-info": "", "mIHC-species-notes": "", "WB-species-checked": "notRecommended", "WB-species-dilution-info": "", "WB-species-notes": "<p></p>", "IHCP-species-checked": "notRecommended", "IHCP-species-dilution-info": "", "IHCP-species-notes": "<p></p>", "ICCIF-species-checked": "notRecommended", "ICCIF-species-dilution-info": "", "ICCIF-species-notes": "", "FlowCyt-species-checked": "notRecommended", "FlowCyt-species-dilution-info": "", "FlowCyt-species-notes": "", "IP-species-checked": "notRecommended", "IP-species-dilution-info": "", "IP-species-notes": "" } } }

Product details

ab316200 is the carrirer-free version of ab316199.

Patented technology
Our RabMAb® technology is a patented hybridoma-based technology for making rabbit monoclonal antibodies. For details on our patents, please refer to RabMAb® patents.

What are the advantages of a recombinant monoclonal antibody?
This product is a recombinant monoclonal antibody, which offers several advantages including:

  • - High batch-to-batch consistency and reproducibility
  • - Improved sensitivity and specificity
  • - Long-term security of supply
  • - Animal-free batch production

For more information, read more on recombinant antibodies.

Conjugation ready
Our carrier-free antibodies are typically supplied in a PBS-only formulation, purified and free of BSA, sodium azide and glycerol. This conjugation-ready format is designed for use with fluorochromes, metal isotopes, oligonucleotides, and enzymes, which makes them ideal for antibody labelling, functional and cell-based assays, flow-based assays (e.g. mass cytometry) and Multiplex Imaging applications.

Use our conjugation kits for antibody conjugates that are ready-to-use in as little as 20 minutes with 1 minute hands-on-time and 100% antibody recovery: available for fluorescent dyes, HRP, biotin and gold.

Compatibility
This product is compatible with the Maxpar® Antibody Labeling Kit from Fluidigm, without the need for antibody preparation. Maxpar® is a trademark of Fluidigm Canada Inc.

Properties and storage information

Form
Liquid
Purification technique
Affinity purification Protein A
Storage buffer
pH: 7.2 - 7.4 Constituents: PBS
Shipped at conditions
Blue Ice
Appropriate short-term storage conditions
+4°C
Appropriate long-term storage conditions
+4°C

Product protocols

For this product, it's our understanding that no specific protocols are required. You can visit:

Target data

High-affinity receptor for immunoglobulin epsilon/IgE. Mediates IgE effector functions in myeloid cells. Upon IgE binding and antigen/allergen cross-linking initiates signaling pathways that lead to myeloid cell activation and differentiation. On mast cells, basophils and eosinophils stimulates the secretion of vasoactive amines, lipid mediators and cytokines that contribute to inflammatory response, tissue remodeling and cytotoxicity against microbes. Triggers the immediate hypersensitivity response to allergens as a host defense mechanism against helminth parasites, pathogenic bacteria and venom toxicity. When dysregulated, it can elicit harmful life-threatening allergic and anaphylactic reactions.
See full target information FCER1A

Product promise

We are committed to supporting your work with high-quality reagents, and we're here for you every step of the way. In the unlikely event that one of our products does not perform as expected, you're protected by our Product Promise.
For full details, please see our Terms & Conditions

Please note: All products are 'FOR RESEARCH USE ONLY. NOT FOR USE IN DIAGNOSTIC OR THERAPEUTIC PROCEDURES'.

For licensing inquiries, please contact partnerships@abcam.com