JavaScript is disabled in your browser. Please enable JavaScript to view this website.
AB224087

Anti-FCGRT/FCRN antibody

Be the first to review this product! Submit a review

|

(1 Publication)

Rabbit Polyclonal FCGRT/FCRN antibody. Suitable for IHC-P, WB and reacts with Human samples. Cited in 1 publication. Immunogen corresponding to Recombinant Fragment Protein within Human FCGRT aa 150-300.

View Alternative Names

FCRN, FCGRT, IgG receptor FcRn large subunit p51, FcRn, IgG Fc fragment receptor transporter alpha chain, Neonatal Fc receptor

3 Images
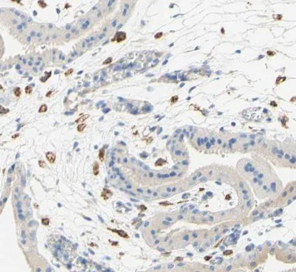
Immunohistochemistry (Formalin/PFA-fixed paraffin-embedded sections) - Anti-FCGRT/FCRN antibody (AB224087)
  • IHC-P

Supplier Data

Immunohistochemistry (Formalin/PFA-fixed paraffin-embedded sections) - Anti-FCGRT/FCRN antibody (AB224087)

Paraffin embedded human liver tissue stained for FCGRT/FCRN with ab224087 (1/5000 dilution) in immunohistochemical analysis.

Immunohistochemistry (Formalin/PFA-fixed paraffin-embedded sections) - Anti-FCGRT/FCRN antibody (AB224087)
  • IHC-P

Supplier Data

Immunohistochemistry (Formalin/PFA-fixed paraffin-embedded sections) - Anti-FCGRT/FCRN antibody (AB224087)

Paraffin embedded human placenta tissue stained for FCGRT/FCRN with ab224087 (1/5000 dilution) in immunohistochemical analysis.

Western blot - Anti-FCGRT/FCRN antibody (AB224087)
  • WB

Supplier Data

Western blot - Anti-FCGRT/FCRN antibody (AB224087)

Western blot analysis labeling FCGRT/FCRN with ab224087 at 0.04 ug/ml.

All lanes:

Western blot - Anti-FCGRT/FCRN antibody (ab224087) at 0.04 µg/mL

Lane 1:

Caco-2 (Human colorectal adenocarcinoma cell line) whole cell lysate

Lane 2:

HeLa (Human epithelial cell line from cervix adenocarcinoma) whole cell lysate

Predicted band size: 40 kDa

false

Key facts

Host species

Rabbit

Clonality

Polyclonal

Isotype

IgG

Carrier free

No

Reacts with

Human

Applications

IHC-P, WB

applications

Immunogen

Recombinant Fragment Protein within Human FCGRT aa 150-300. The exact immunogen used to generate this antibody is proprietary information.

P55899

Reactivity data

{ "title": "Reactivity Data", "filters": { "stats": ["", "Species", "Dilution Info", "Notes"], "tabs": { "all-applications": {"fullname" : "All Applications", "shortname": "All Applications"}, "IHCP" : {"fullname" : "Immunohistochemistry (Formalin/PFA-fixed paraffin-embedded sections)", "shortname":"IHC-P"}, "WB" : {"fullname" : "Western blot", "shortname":"WB"} }, "product-promise": { "all": "all", "testedAndGuaranteed": "tested", "guaranteed": "expected", "predicted": "predicted", "notRecommended": "not-recommended" } }, "values": { "Human": { "IHCP-species-checked": "testedAndGuaranteed", "IHCP-species-dilution-info": "1/5000 - 1/10000", "IHCP-species-notes": "<p></p>", "WB-species-checked": "testedAndGuaranteed", "WB-species-dilution-info": "0.04-0.4 µg/mL", "WB-species-notes": "<p></p>" }, "Cynomolgus monkey": { "IHCP-species-checked": "predicted", "IHCP-species-dilution-info": "", "IHCP-species-notes": "", "WB-species-checked": "predicted", "WB-species-dilution-info": "", "WB-species-notes": "" } } }

Properties and storage information

Form
Liquid
Purification technique
Affinity purification Immunogen
Storage buffer
pH: 7.2 Preservative: 0.02% Sodium azide Constituents: PBS, 40% Glycerol (glycerin, glycerine)
Shipped at conditions
Blue Ice
Appropriate short-term storage duration
1-2 weeks
Appropriate short-term storage conditions
+4°C
Appropriate long-term storage conditions
-20°C
Aliquoting information
Upon delivery aliquot
Storage information
Avoid freeze / thaw cycle

Supplementary information

This supplementary information is collated from multiple sources and compiled automatically.

The protein FCGRT also known as FCRN or FcRn has a significant role in the immune system by binding to the Fc region of immunoglobulin G (IgG). This binding prolongs the half-life of IgG by preventing its lysosomal degradation. The molecular mass of the FCGRT protein is roughly 52 kDa. It is prominently expressed in epithelial and endothelial cells across several tissues including the placenta and liver ensuring IgG stability in circulation.
Biological function summary

FCGRT/FCRN is involved in the transportation and recycling of IgG antibodies. It forms a complex with beta-2 microglobulin that contributes to its function. This complex allows IgG antibodies to traverse cellular barriers such as epithelial cells without being digested. This protein is important in maintaining humoral immunity by regulating IgG levels in the bloodstream and similar processes can be observed in mouse FCRN and cynomolgus monkey milk indicating a conserved mechanism across species.

Pathways

FCGRT/FCRN plays a part in the neonatal Fc receptor pathway. This pathway influences IgG homeostasis and impacts antigen presentation to T cells. By doing so it affects immune surveillance and immune tolerance mechanisms. The pathway involves interactions with related proteins such as albumin which also binds to FCRN for extending its half-life in serum.

Disruptions in FCGRT/FCRN functionality relate to autoimmune conditions and inflammatory diseases. Conditions such as lupus and myasthenia gravis show altered IgG recycling or transportation implicating FCRN in their pathology. Accordingly researchers have explored FCRN inhibitors as potential therapeutic interventions. These inhibitors aim to modulate the interaction between FCRN and IgG therefore impacting the disease progression linked to these disorders.

Product protocols

For this product, it's our understanding that no specific protocols are required. You can visit:

Target data

Cell surface receptor that transfers passive humoral immunity from the mother to the newborn. Binds to the Fc region of monomeric immunoglobulin gamma and mediates its selective uptake from milk (PubMed : 10933786, PubMed : 7964511). IgG in the milk is bound at the apical surface of the intestinal epithelium. The resultant FcRn-IgG complexes are transcytosed across the intestinal epithelium and IgG is released from FcRn into blood or tissue fluids. Throughout life, contributes to effective humoral immunity by recycling IgG and extending its half-life in the circulation. Mechanistically, monomeric IgG binding to FcRn in acidic endosomes of endothelial and hematopoietic cells recycles IgG to the cell surface where it is released into the circulation (PubMed : 10998088). In addition of IgG, regulates homeostasis of the other most abundant circulating protein albumin/ALB (PubMed : 24469444, PubMed : 28330995).. (Microbial infection) Acts as an uncoating receptor for a panel of echoviruses including Echovirus 5, 6, 7, 9, 11, 13, 25 and 29.
See full target information FCGRT

Publications (1)

Recent publications for all applications. Explore the full list and refine your search

Respiratory research 24:99 PubMed37005656

2023

Morphologically intact airways in lung fibrosis have an abnormal proteome.

Applications

Unspecified application

Species

Unspecified reactive species

Jeremy A Herrera,Lewis A Dingle,M Angeles Monetero,Rajamiyer V Venkateswaran,John F Blaikley,Felice Granato,Stella Pearson,Craig Lawless,David J Thornton
View all publications

Product promise

We are committed to supporting your work with high-quality reagents, and we're here for you every step of the way. In the unlikely event that one of our products does not perform as expected, you're protected by our Product Promise.
For full details, please see our Terms & Conditions

Please note: All products are 'FOR RESEARCH USE ONLY. NOT FOR USE IN DIAGNOSTIC OR THERAPEUTIC PROCEDURES'.

For licensing inquiries, please contact partnerships@abcam.com