JavaScript is disabled in your browser. Please enable JavaScript to view this website.
AB228975

Anti-FCGRT/FCRN antibody [EPR22627-25]

  • BOND RX™ Validated
  • RabMAb
  • Recombinant
  • KO Validated
  • What is this?

Be the first to review this product! Submit a review

|

(7 Publications)

Anti-FCGRT/FCRN antibody [EPR22627-25] (ab228975) is a rabbit monoclonal antibody detecting FCGRT/FCRN in Western Blot, Flow Cytometry, IP, IHC-P. Suitable for Human.

- KO validated for confirmed specificity
- Biophysical QC for unrivalled batch-batch consistency

View Alternative Names

FCRN, FCGRT, IgG receptor FcRn large subunit p51, FcRn, IgG Fc fragment receptor transporter alpha chain, Neonatal Fc receptor

8 Images
Immunohistochemistry (Formalin/PFA-fixed paraffin-embedded sections) - Anti-FCGRT/FCRN antibody [EPR22627-25] (AB228975)
  • IHC-P

Unknown

Immunohistochemistry (Formalin/PFA-fixed paraffin-embedded sections) - Anti-FCGRT/FCRN antibody [EPR22627-25] (AB228975)

Immunohistochemical analysis of paraffin-embedded human spleen tissue labeling FCGRT/FCRN with ab228975 at 1/4000 dilution followed by a ready to use Rabbit specific IHC polymer detection kit HRP/DAB (ab209101). Positive staining on human spleen, arrows indicate the macrophages (PMID : 28402755) is observed .The section was incubated with ab228975 for 30 mins at room temperature.

The immunostaining was performed on a Leica Biosystems BOND® RX instrument. Counterstained with hematoxylin. Heat mediated antigen retrieval with Tris-EDTA buffer (pH 9.0, epitope retrieval solution 2) for 20mins.

Secondary antibody only control : Used PBS instead of primary antibody, secondary antibody is a ready to use Rabbit specific IHC polymer detection kit HRP/DAB (ab209101).

Immunohistochemistry (Formalin/PFA-fixed paraffin-embedded sections) - Anti-FCGRT/FCRN antibody [EPR22627-25] (AB228975)
  • IHC-P

Unknown

Immunohistochemistry (Formalin/PFA-fixed paraffin-embedded sections) - Anti-FCGRT/FCRN antibody [EPR22627-25] (AB228975)

Immunohistochemical analysis of paraffin-embedded human liver tissue labeling FCGRT/FCRN with ab228975 at 1/4000 dilution followed by a ready to use Rabbit specific IHC polymer detection kit HRP/DAB (ab209101). Positive staining on human liver (PMID : 28402755) is observed. The section was incubated with ab228975 for 30 mins at room temperature. The immunostaining was performed on a Leica Biosystems BOND® RX instrument. Counterstained with hematoxylin.

Heat mediated antigen retrieval with Tris-EDTA buffer (pH 9.0, epitope retrieval solution 2) for 20mins.

Secondary antibody only control : Used PBS instead of primary antibody, secondary antibody is a ready to use Rabbit specific IHC polymer detection kit HRP/DAB (ab209101).

Flow Cytometry - Anti-FCGRT/FCRN antibody [EPR22627-25] (AB228975)
  • Flow Cyt

Unknown

Flow Cytometry - Anti-FCGRT/FCRN antibody [EPR22627-25] (AB228975)

Flow cytometric analysis of HeLa (human cervix adenocarcinoma epithelial cell, Left) / THP-1 (human monocytic leukemia monocyte, Right) cells labeling FCGRT/FCRN with ab228975 at 1/500 dilution (Red) compared with a Rabbit monoclonal IgG (ab172730) (Black) isotype control and an unlabeled control (cells without incubation with primary antibody and secondary antibody) (Blue). Goat anti rabbit IgG (Alexa Fluor® 647, ab150079) at 1/2000 dilution was used as the secondary antibody. Bright fluorophore (like AF647) conjugated secondary antibodies are recommended to get good separation.

Negative control : HeLa (PMID : 21216798).

Gated on viable cells.

Immunohistochemistry (Formalin/PFA-fixed paraffin-embedded sections) - Anti-FCGRT/FCRN antibody [EPR22627-25] (AB228975)
  • IHC-P

Unknown

Immunohistochemistry (Formalin/PFA-fixed paraffin-embedded sections) - Anti-FCGRT/FCRN antibody [EPR22627-25] (AB228975)

Immunohistochemical analysis of paraffin-embedded human spleen tissue labeling FCGRT/FCRN with ab228975 at 1/4000 dilution (0.14 μg/ml) followed by a ready to use Rabbit specific IHC polymer detection kit HRP/DAB (ab209101). Positive staining on endothelial cells of human spleen (PMID : 28402755) is observed. The section was incubated with ab228975 for 30 mins at room temperature. The immunostaining was performed on a Leica Biosystems BOND® RX instrument. Counterstained with hematoxylin. Heat mediated antigen retrieval with Tris-EDTA buffer (pH 9.0, epitope retrieval solution 2) for 20mins.

Secondary antibody only control : Used PBS instead of primary antibody, secondary antibody is a ready to use Rabbit specific IHC polymer detection kit HRP/DAB (ab209101).

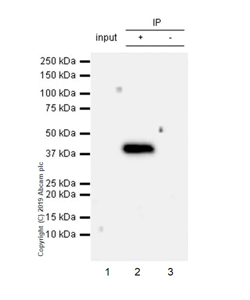
Immunoprecipitation - Anti-FCGRT/FCRN antibody [EPR22627-25] (AB228975)
  • IP

Unknown

Immunoprecipitation - Anti-FCGRT/FCRN antibody [EPR22627-25] (AB228975)

FCGRT/FCRN was immunoprecipitated from 0.35 mg HEK-293 (human embryonic kidney epithelial cell) whole cell lysate with ab228975 at 1/30 dilution (2μg in 0.35mg lysates). Western blot was performed on the immunoprecipitate using ab228975 1/1000 dilution (0.55 μg/ml). VeriBlot for IP Detection Reagent (HRP) (ab131366) was used as the secondary antibody at 1/5000 dilution.

Lane 1 : HEK-293 (human embryonic kidney epithelial cell) whole cell lysate 10μg
Lane 2 : ab228975 IP in HEK-293 whole cell lysate
Lane 3 : Rabbit monoclonal IgG (ab172730) instead of ab228975 in HEK-293 whole cell lysate.

Blocking and dilution buffer and concentration : 5% NFDM/TBST.

Exposure time : 100 seconds.

All lanes:

Immunoprecipitation - Anti-FCGRT/FCRN antibody [EPR22627-25] (ab228975)

Predicted band size: 40 kDa

false

Western blot - Anti-FCGRT/FCRN antibody [EPR22627-25] (AB228975)
  • WB

Unknown

Western blot - Anti-FCGRT/FCRN antibody [EPR22627-25] (AB228975)

Blocking/Diluting buffer and concentration : 5% NFDM/TBST.

Human FCGRT/FCRN possesses one potential glycosylation site. The molecular weight of deglycosylated FCGRT/FCRN is consistent with the literature (PMID : 12163559).

All lanes:

Western blot - Anti-FCGRT/FCRN antibody [EPR22627-25] (ab228975) at 1/1000 dilution

Lane 1:

Human placenta tissue lysate at 20 µg

Lane 2:

Human placenta treated with PNGase F tissue lysate at 20 µg

Secondary

All lanes:

Western blot - VeriBlot for IP Detection Reagent (HRP) (<a href='/en-us/products/reagents/veriblot-for-ip-detection-reagent-hrp-ab131366'>ab131366</a>) at 1/1000 dilution

Predicted band size: 40 kDa

false

Exposure time: 3min

Western blot - Anti-FCGRT/FCRN antibody [EPR22627-25] (AB228975)
  • WB

Lab

Western blot - Anti-FCGRT/FCRN antibody [EPR22627-25] (AB228975)

Lanes 1-4 : Merged signal (red and green). Green - ab228975 observed at 40 kDa. Red - loading control ab8245 observed at 38 kDa.

ab228975 Anti-FCGRT/FCRN antibody [EPR22627-25] was shown to specifically react with FCGRT/FCRN in wild-type HEK-293T cells. Loss of signal was observed when knockout cell line ab265075 (knockout cell lysate ab257435) was used. Wild-type and FCGRT/FCRN knockout samples were subjected to SDS-PAGE. ab228975 and Anti-GAPDH antibody [6C5] - Loading Control (ab8245) were incubated overnight at 4°C at 1 in 1000 dilution and 1 in 20000 dilution respectively. Blots were developed with Goat anti-Rabbit IgG H&L (IRDye® 800CW) preadsorbed (ab216773) and Goat anti-Mouse IgG H&L (IRDye® 680RD) preadsorbed (ab216776) secondary antibodies at 1 in 20000 dilution for 1 hour at room temperature before imaging.

All lanes:

Western blot - Anti-FCGRT/FCRN antibody [EPR22627-25] (ab228975) at 1/1000 dilution

Lane 1:

Wild-type HEK-293T (non-ATCC) cell lysate at 20 µg

Lane 2:

Western blot - Human FCGRT (FCRN) knockout HEK-293T cell lysate (<a href='/en-us/products/cell-lysates/human-fcgrt-fcrn-knockout-hek-293t-cell-lysate-ab257435'>ab257435</a>)

Lane 2:

Human FCGRT (FCRN) knockout HEK-293T (non-ATCC) cell lysate (<a href='/en-us/products/cell-lysates/human-fcgrt-fcrn-knockout-hek-293t-cell-lysate-ab257435'>ab257435</a>)

Lane 3:

HEK293 (ATCC) cell lysate at 20 µg

Lane 4:

LNCaP cell lysate at 20 µg

Secondary

All lanes:

Western blot - Goat anti-Rabbit IgG H&L (IRDye® 800CW) preadsorbed (<a href='/en-us/products/secondary-antibodies/goat-rabbit-igg-h-l-irdye-800cw-preadsorbed-ab216773'>ab216773</a>) at 1/10000 dilution

Predicted band size: 40 kDa

Observed band size: 40 kDa

false

Western blot - Anti-FCGRT/FCRN antibody [EPR22627-25] (AB228975)
  • WB

Unknown

Western blot - Anti-FCGRT/FCRN antibody [EPR22627-25] (AB228975)

Blocking/Diluting buffer and concentration : 5% NFDM/TBST.

Exposure times : Lane 1 : 37 secs; Lane 2-4 : 3 mins.

Negative control : LNCaP (PMID : 27974681) and HeLa (PMID : 21216798).

All lanes:

Western blot - Anti-FCGRT/FCRN antibody [EPR22627-25] (ab228975) at 1/1000 dilution

Lane 1:

THP-1 (human monocytic leukemia monocyte), whole cell lysate at 20 µg

Lane 2:

HEK-293 (human embryonic kidney epithelial cell), whole cell lysate at 20 µg

Lane 3:

LNCaP (human prostate carcinoma epithelial cell), whole cell lysate at 20 µg

Lane 4:

HeLa (human cervix adenocarcinoma epithelial cell), whole cell lysate at 20 µg

Secondary

All lanes:

Western blot - Goat Anti-Rabbit IgG H&L (HRP) (<a href='/en-us/products/secondary-antibodies/goat-rabbit-igg-h-l-hrp-ab97051'>ab97051</a>) at 1/100000 dilution

Predicted band size: 40 kDa

false

  • Carrier free

    Anti-FCGRT/FCRN antibody [EPR22627-25] - BSA and Azide free

Key facts

Host species

Rabbit

Clonality

Monoclonal

Clone number

EPR22627-25

Isotype

IgG

Carrier free

No

Reacts with

Human

Applications

IHC-P, WB, IP, Flow Cyt

applications

Immunogen

The exact immunogen used to generate this antibody is proprietary information.

Reactivity data

{ "title": "Reactivity Data", "filters": { "stats": ["", "Species", "Dilution Info", "Notes"], "tabs": { "all-applications": {"fullname" : "All Applications", "shortname": "All Applications"}, "IP" : {"fullname" : "Immunoprecipitation", "shortname":"IP"}, "FlowCyt" : {"fullname" : "Flow Cytometry", "shortname":"Flow Cyt"}, "WB" : {"fullname" : "Western blot", "shortname":"WB"}, "ICCIF" : {"fullname" : "Immunocytochemistry/ Immunofluorescence", "shortname":"ICC/IF"}, "IHCP" : {"fullname" : "Immunohistochemistry (Formalin/PFA-fixed paraffin-embedded sections)", "shortname":"IHC-P"} }, "product-promise": { "all": "all", "testedAndGuaranteed": "tested", "guaranteed": "expected", "predicted": "predicted", "notRecommended": "not-recommended" } }, "values": { "Human": { "IP-species-checked": "testedAndGuaranteed", "IP-species-dilution-info": "1/30", "IP-species-notes": "<p></p>", "FlowCyt-species-checked": "testedAndGuaranteed", "FlowCyt-species-dilution-info": "1/500", "FlowCyt-species-notes": "<p></p>", "WB-species-checked": "testedAndGuaranteed", "WB-species-dilution-info": "1/1000", "WB-species-notes": "<p></p>", "ICCIF-species-checked": "notRecommended", "ICCIF-species-dilution-info": "", "ICCIF-species-notes": "<p></p>", "IHCP-species-checked": "testedAndGuaranteed", "IHCP-species-dilution-info": "1/4000", "IHCP-species-notes": "<p></p>" } } }

Product details

What is this antibody validated in?
Anti-FCGRT/FCRN antibody [EPR22627-25] (ab228975) is a rabbit recombinant monoclonal antibody and is validated for use in Western Blot (WB), Flow Cytometry (Flow Cyt), Immunoprecipitation (IP), Immunohistochemistry (IHC-P) in Human samples.

What is the molecular weight of FCGRT/FCRN?
Anti-FCGRT/FCRN [EPR22627-25] (ab228975) specifically detects a band for FCGRT/FCRN (UniProt: P55899) at a molecular weight of 40kDa.

Trial sizes available!
Test your antibody or perform pre-screening before committing to a larger quantity. Sold in 10µl. Discover our selection of trial-size antibodies.

Specificity confirmed
The specificity of Anti-FCGRT/FCRN antibody [EPR22627-25] (ab228975) has been confirmed by Western blot testing in FCGRT Knockout HEK293T cell line, ab265075.

Other related products
We have a range of other formats of antibody clone [EPR22627-25] also available for your convenience: ab228975, Carrier free - ab256121

Patented technology
Our RabMAb® technology is a patented hybridoma-based technology for making rabbit monoclonal antibodies. For details on our patents, please refer to RabMAb® patents.

What are the advantages of a recombinant monoclonal antibody?
This product is a recombinant monoclonal antibody, which offers several advantages including:

  • - High batch-to-batch consistency and reproducibility
  • - Improved sensitivity and specificity
  • - Long-term security of supply
  • - Animal-free batch production

For more information, read more on recombinant antibodies.

Properties and storage information

Form
Liquid
Purification technique
Affinity purification Protein A
Storage buffer
pH: 7.2 - 7.4 Preservative: 0.01% Sodium azide Constituents: PBS, 40% Glycerol (glycerin, glycerine), 0.05% BSA
Shipped at conditions
Blue Ice
Appropriate short-term storage duration
1-2 weeks
Appropriate short-term storage conditions
+4°C
Appropriate long-term storage conditions
-20°C
Aliquoting information
Upon delivery aliquot
Storage information
Avoid freeze / thaw cycle

Supplementary information

This supplementary information is collated from multiple sources and compiled automatically.

The protein FCGRT also known as FCRN or FcRn has a significant role in the immune system by binding to the Fc region of immunoglobulin G (IgG). This binding prolongs the half-life of IgG by preventing its lysosomal degradation. The molecular mass of the FCGRT protein is roughly 52 kDa. It is prominently expressed in epithelial and endothelial cells across several tissues including the placenta and liver ensuring IgG stability in circulation.
Biological function summary

FCGRT/FCRN is involved in the transportation and recycling of IgG antibodies. It forms a complex with beta-2 microglobulin that contributes to its function. This complex allows IgG antibodies to traverse cellular barriers such as epithelial cells without being digested. This protein is important in maintaining humoral immunity by regulating IgG levels in the bloodstream and similar processes can be observed in mouse FCRN and cynomolgus monkey milk indicating a conserved mechanism across species.

Pathways

FCGRT/FCRN plays a part in the neonatal Fc receptor pathway. This pathway influences IgG homeostasis and impacts antigen presentation to T cells. By doing so it affects immune surveillance and immune tolerance mechanisms. The pathway involves interactions with related proteins such as albumin which also binds to FCRN for extending its half-life in serum.

Disruptions in FCGRT/FCRN functionality relate to autoimmune conditions and inflammatory diseases. Conditions such as lupus and myasthenia gravis show altered IgG recycling or transportation implicating FCRN in their pathology. Accordingly researchers have explored FCRN inhibitors as potential therapeutic interventions. These inhibitors aim to modulate the interaction between FCRN and IgG therefore impacting the disease progression linked to these disorders.

Product protocols

For this product, it's our understanding that no specific protocols are required. You can visit:

Target data

Cell surface receptor that transfers passive humoral immunity from the mother to the newborn. Binds to the Fc region of monomeric immunoglobulin gamma and mediates its selective uptake from milk (PubMed : 10933786, PubMed : 7964511). IgG in the milk is bound at the apical surface of the intestinal epithelium. The resultant FcRn-IgG complexes are transcytosed across the intestinal epithelium and IgG is released from FcRn into blood or tissue fluids. Throughout life, contributes to effective humoral immunity by recycling IgG and extending its half-life in the circulation. Mechanistically, monomeric IgG binding to FcRn in acidic endosomes of endothelial and hematopoietic cells recycles IgG to the cell surface where it is released into the circulation (PubMed : 10998088). In addition of IgG, regulates homeostasis of the other most abundant circulating protein albumin/ALB (PubMed : 24469444, PubMed : 28330995).. (Microbial infection) Acts as an uncoating receptor for a panel of echoviruses including Echovirus 5, 6, 7, 9, 11, 13, 25 and 29.
See full target information FCGRT

Publications (7)

Recent publications for all applications. Explore the full list and refine your search

Journal of nanobiotechnology 23:612 PubMed41023976

2025

Lactobacillus johnsonii-derived extracellular vesicles restore mucosal immunity via taurine-linked Th17/Treg and IgA/IgG regulation in colitis.

Applications

Unspecified application

Species

Unspecified reactive species

Hailan Zhao,Ningning Yue,Zhiliang Mai,Yuan Zhang,Chengmei Tian,Chen Kong,Longbin Huang,Ruiyue Shi,Yujie Liang,Jun Yao,Yuqiang Nie,Defeng Li,Biao Nie,Lisheng Wang

PLoS pathogens 21:e1013316 PubMed40680075

2025

Functional characterization of DPP4 and FcRn as receptor and coreceptor for classical human astroviruses in Caco-2 cells.

Applications

Unspecified application

Species

Unspecified reactive species

Catalina Aguilera-Flores,María Del Pilar Valencia-Morales,Tomás López,Joaquín Moreno-Contreras,Adam Lentz,Marco A Espinoza,Rebecca M DuBois,Susana López,Carlos F Arias

International journal of molecular sciences 26: PubMed39940693

2025

Establishment of a Panel of Human Cell Lines to Identify Cellular Receptors Used by to Infect Cells.

Applications

Unspecified application

Species

Unspecified reactive species

Anastasiia O Sosnovtseva,Thi Hoa Le,Dmitry S Karpov,Pavel O Vorobyev,Yana D Gumennaya,Olga N Alekseeva,Peter M Chumakov,Anastasia V Lipatova

Bioactive materials 42:573-586 PubMed39308551

2024

Fc-empowered exosomes with superior epithelial layer transmission and lung distribution ability for pulmonary vaccination.

Applications

Unspecified application

Species

Unspecified reactive species

Fan Meng,Haonan Xing,Jingru Li,Yingqi Liu,Li Tang,Zehong Chen,Xiran Jia,Zenglin Yin,Jing Yi,Mei Lu,Xiuli Gao,Aiping Zheng

Genes to cells : devoted to molecular & cellular mechanisms 29:983-1001 PubMed39266307

2024

Neonatal Fc receptor is a functional receptor for classical human astrovirus.

Applications

Unspecified application

Species

Unspecified reactive species

Kei Haga,Takashi Tokui,Kana Miyamoto,Reiko Takai-Todaka,Shiori Kudo,Azusa Ishikawa,Ryoka Ishiyama,Akiko Kato,Masaru Yokoyama,Kazuhiko Katayama,Akira Nakanishi

The Journal of biological chemistry 300:107558 PubMed39002669

2024

Core fucosylation within the Fc-FcγR degradation pathway promotes enhanced IgG levels via exogenous L-fucose.

Applications

Unspecified application

Species

Unspecified reactive species

Yuhan Sun,Xing Xu,Tiangui Wu,Tomohiko Fukuda,Tomoya Isaji,Sayaka Morii,Miyako Nakano,Jianguo Gu

Frontiers in pharmacology 12:709343 PubMed34421602

2021

Activation of FcRn Mediates a Primary Resistance Response to Sorafenib in Hepatocellular Carcinoma by Single-Cell RNA Sequencing.

Applications

Unspecified application

Species

Unspecified reactive species

Xin Guan,Yi Wu,Shuqin Zhang,Zhiyi Liu,Qingjie Fan,Shuai Fang,Sennan Qiao,Fei Sun,Chongyang Liang
View all publications

Product promise

We are committed to supporting your work with high-quality reagents, and we're here for you every step of the way. In the unlikely event that one of our products does not perform as expected, you're protected by our Product Promise.
For full details, please see our Terms & Conditions

Please note: All products are 'FOR RESEARCH USE ONLY. NOT FOR USE IN DIAGNOSTIC OR THERAPEUTIC PROCEDURES'.

For licensing inquiries, please contact partnerships@abcam.com