JavaScript is disabled in your browser. Please enable JavaScript to view this website.
AB268178

Anti-FCGRT/FCRN antibody [FCGRT/2932] - BSA and Azide free

Be the first to review this product! Submit a review

|

(0 Publication)

Mouse Monoclonal FCGRT/FCRN antibody. Carrier free. Suitable for Protein Array, IHC-P and reacts with Human samples. Immunogen corresponding to Recombinant Fragment Protein within Human FCGRT aa 1-250.

View Alternative Names

FCRN, FCGRT, IgG receptor FcRn large subunit p51, FcRn, IgG Fc fragment receptor transporter alpha chain, Neonatal Fc receptor

3 Images
Immunohistochemistry (Formalin/PFA-fixed paraffin-embedded sections) - Anti-FCGRT/FCRN antibody [FCGRT/2932] - BSA and Azide free (AB268178)
  • IHC-P

Unknown

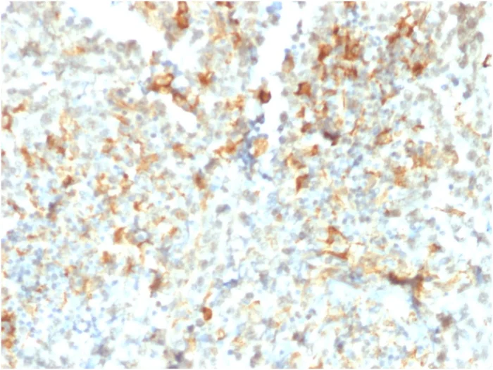
Immunohistochemistry (Formalin/PFA-fixed paraffin-embedded sections) - Anti-FCGRT/FCRN antibody [FCGRT/2932] - BSA and Azide free (AB268178)

Formalin-fixed, paraffin-embedded human testicular cancer tissue stained for FCGRT/FCRN using ab268057 at 4 μg/ml in immunohistochemical analysis.

This data was developed using the same antibody clone in a different buffer formulation containing PBS, BSA and Sodium azide (ab268057)

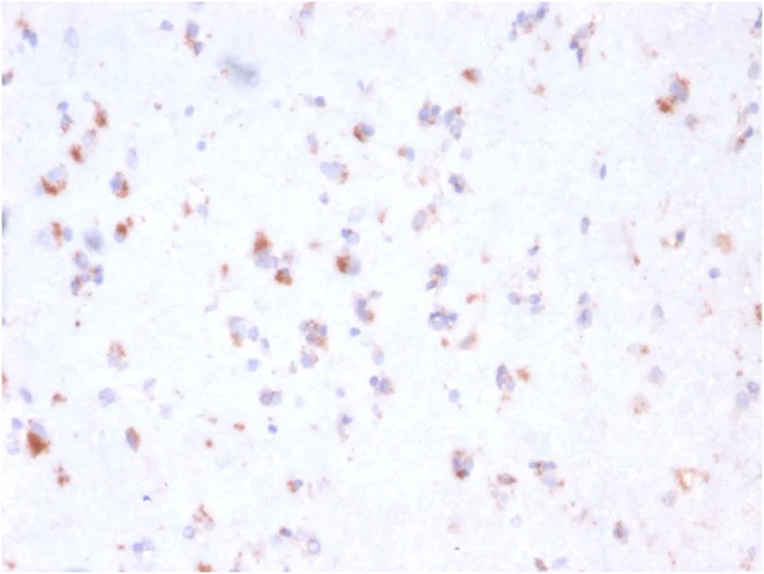
Immunohistochemistry (Formalin/PFA-fixed paraffin-embedded sections) - Anti-FCGRT/FCRN antibody [FCGRT/2932] - BSA and Azide free (AB268178)
  • IHC-P

Unknown

Immunohistochemistry (Formalin/PFA-fixed paraffin-embedded sections) - Anti-FCGRT/FCRN antibody [FCGRT/2932] - BSA and Azide free (AB268178)

Formalin-fixed, paraffin-embedded human cerebellum tissue stained for FCGRT/FCRN using ab268057 at 4 μg/ml in immunohistochemical analysis.

This data was developed using the same antibody clone in a different buffer formulation containing PBS, BSA and Sodium azide (ab268057)

Protein Array - Anti-FCGRT/FCRN antibody [FCGRT/2932] - BSA and Azide free (AB268178)
  • Protein Array

Unknown

Protein Array - Anti-FCGRT/FCRN antibody [FCGRT/2932] - BSA and Azide free (AB268178)

Protein Array containing >19,000 full-length human proteins using ab268057.

Z- and S- Score : The Z-score represents the strength of a signal that a monoclonal antibody (MAb) (in combination with a fluorescently-tagged anti-IgG secondary antibody) produces when binding to a particular protein on the HuProtTM array. Z-scores are described in units of standard deviations (SD's) above the mean value of all signals generated on that array. If targets on HuProtTM are arranged in descending order of the Z-score, the S-score is the difference (also in units of SD's) between the Z-score. S-score therefore represents the relative target specificity of a MAb to its intended target. A MAb is considered to specific to its intended target, if the MAb has an S-score of at least 2.5. For example, if a MAb binds to protein X with a Z-score of 43 and to protein Y with a Z-score of 14, then the S-score for the binding of that MAb to protein X is equal to 29.

This data was developed using the same antibody clone in a different buffer formulation containing PBS, BSA and Sodium azide (ab268057)

Key facts

Host species

Mouse

Clonality

Monoclonal

Clone number

FCGRT/2932

Isotype

IgG2b

Light chain type

kappa

Carrier free

Yes

Reacts with

Human

Applications

IHC-P, Protein Array

applications

Immunogen

Recombinant Fragment Protein within Human FCGRT aa 1-250. The exact immunogen used to generate this antibody is proprietary information.

P55899

Reactivity data

{ "title": "Reactivity Data", "filters": { "stats": ["", "Species", "Dilution Info", "Notes"], "tabs": { "all-applications": {"fullname" : "All Applications", "shortname": "All Applications"}, "ProteinArray" : {"fullname" : "Protein Array", "shortname":"Protein Array"}, "IHCP" : {"fullname" : "Immunohistochemistry (Formalin/PFA-fixed paraffin-embedded sections)", "shortname":"IHC-P"} }, "product-promise": { "all": "all", "testedAndGuaranteed": "tested", "guaranteed": "expected", "predicted": "predicted", "notRecommended": "not-recommended" } }, "values": { "Human": { "ProteinArray-species-checked": "testedAndGuaranteed", "ProteinArray-species-dilution-info": "", "ProteinArray-species-notes": "<p></p>", "IHCP-species-checked": "testedAndGuaranteed", "IHCP-species-dilution-info": "2-4 µg/mL", "IHCP-species-notes": "<p></p> Perform heat-mediated antigen retrieval with Tris/EDTA buffer pH 9.0 before commencing with IHC staining protocol." } } }

Product details

ab268178 is the carrier-free version of ab268057.

Conjugation ready
Our carrier-free antibodies are typically supplied in a PBS-only formulation, purified and free of BSA, sodium azide and glycerol. This conjugation-ready format is designed for use with fluorochromes, metal isotopes, oligonucleotides, and enzymes, which makes them ideal for antibody labelling, functional and cell-based assays, flow-based assays (e.g. mass cytometry) and Multiplex Imaging applications.

Use our conjugation kits for antibody conjugates that are ready-to-use in as little as 20 minutes with 1 minute hands-on-time and 100% antibody recovery: available for fluorescent dyes, HRP, biotin and gold.

Properties and storage information

Form
Liquid
Purification technique
Affinity purification Protein A/G
Purification notes
Purified from bioreactor concentrate.
Storage buffer
pH: 7.2 - 7.4 Constituents: PBS
Shipped at conditions
Blue Ice
Appropriate short-term storage duration
1-2 weeks
Appropriate short-term storage conditions
+4°C
Appropriate long-term storage conditions
-20°C
Aliquoting information
Upon delivery aliquot
Storage information
Avoid freeze / thaw cycle

Supplementary information

This supplementary information is collated from multiple sources and compiled automatically.

The protein FCGRT also known as FCRN or FcRn has a significant role in the immune system by binding to the Fc region of immunoglobulin G (IgG). This binding prolongs the half-life of IgG by preventing its lysosomal degradation. The molecular mass of the FCGRT protein is roughly 52 kDa. It is prominently expressed in epithelial and endothelial cells across several tissues including the placenta and liver ensuring IgG stability in circulation.
Biological function summary

FCGRT/FCRN is involved in the transportation and recycling of IgG antibodies. It forms a complex with beta-2 microglobulin that contributes to its function. This complex allows IgG antibodies to traverse cellular barriers such as epithelial cells without being digested. This protein is important in maintaining humoral immunity by regulating IgG levels in the bloodstream and similar processes can be observed in mouse FCRN and cynomolgus monkey milk indicating a conserved mechanism across species.

Pathways

FCGRT/FCRN plays a part in the neonatal Fc receptor pathway. This pathway influences IgG homeostasis and impacts antigen presentation to T cells. By doing so it affects immune surveillance and immune tolerance mechanisms. The pathway involves interactions with related proteins such as albumin which also binds to FCRN for extending its half-life in serum.

Disruptions in FCGRT/FCRN functionality relate to autoimmune conditions and inflammatory diseases. Conditions such as lupus and myasthenia gravis show altered IgG recycling or transportation implicating FCRN in their pathology. Accordingly researchers have explored FCRN inhibitors as potential therapeutic interventions. These inhibitors aim to modulate the interaction between FCRN and IgG therefore impacting the disease progression linked to these disorders.

Product protocols

For this product, it's our understanding that no specific protocols are required. You can visit:

Target data

Cell surface receptor that transfers passive humoral immunity from the mother to the newborn. Binds to the Fc region of monomeric immunoglobulin gamma and mediates its selective uptake from milk (PubMed : 10933786, PubMed : 7964511). IgG in the milk is bound at the apical surface of the intestinal epithelium. The resultant FcRn-IgG complexes are transcytosed across the intestinal epithelium and IgG is released from FcRn into blood or tissue fluids. Throughout life, contributes to effective humoral immunity by recycling IgG and extending its half-life in the circulation. Mechanistically, monomeric IgG binding to FcRn in acidic endosomes of endothelial and hematopoietic cells recycles IgG to the cell surface where it is released into the circulation (PubMed : 10998088). In addition of IgG, regulates homeostasis of the other most abundant circulating protein albumin/ALB (PubMed : 24469444, PubMed : 28330995).. (Microbial infection) Acts as an uncoating receptor for a panel of echoviruses including Echovirus 5, 6, 7, 9, 11, 13, 25 and 29.
See full target information FCGRT

Product promise

We are committed to supporting your work with high-quality reagents, and we're here for you every step of the way. In the unlikely event that one of our products does not perform as expected, you're protected by our Product Promise.
For full details, please see our Terms & Conditions

Please note: All products are 'FOR RESEARCH USE ONLY. NOT FOR USE IN DIAGNOSTIC OR THERAPEUTIC PROCEDURES'.

For licensing inquiries, please contact partnerships@abcam.com