JavaScript is disabled in your browser. Please enable JavaScript to view this website.
AB137683

Anti-FCP1 antibody

Be the first to review this product! Submit a review

|

(1 Publication)

Rabbit Polyclonal FCP1 antibody. Suitable for IHC-P, WB and reacts with Human samples. Cited in 1 publication. Immunogen corresponding to Synthetic Peptide within Human CTDP1 aa 1-50.

View Alternative Names

FCP1, CTDP1, RNA polymerase II subunit A C-terminal domain phosphatase, TFIIF-associating CTD phosphatase

3 Images
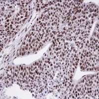
Immunohistochemistry (Formalin/PFA-fixed paraffin-embedded sections) - Anti-FCP1 antibody (AB137683)
  • IHC-P

Unknown

Immunohistochemistry (Formalin/PFA-fixed paraffin-embedded sections) - Anti-FCP1 antibody (AB137683)

Immunohistochemical analysis of paraffin-embedded Human HeLa xenograft tissue labelling FCP1 with ab137683 at 1/100 dilution.

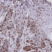
Immunohistochemistry (Formalin/PFA-fixed paraffin-embedded sections) - Anti-FCP1 antibody (AB137683)
  • IHC-P

Unknown

Immunohistochemistry (Formalin/PFA-fixed paraffin-embedded sections) - Anti-FCP1 antibody (AB137683)

Immunohistochemical analysis of paraffin-embedded Human Cal27 xenograft tissue labelling FCP1 with ab137683 at 1/100 dilution.

Western blot - Anti-FCP1 antibody (AB137683)
  • WB

Unknown

Western blot - Anti-FCP1 antibody (AB137683)

7.5% SDS PAGE

All lanes:

Western blot - Anti-FCP1 antibody (ab137683) at 1/1000 dilution

Lane 1:

A431 whole cell lysate at 30 µg

Lane 2:

H1299 whole cell lysate at 30 µg

Predicted band size: 104 kDa

false

Key facts

Host species

Rabbit

Clonality

Polyclonal

Isotype

IgG

Carrier free

No

Reacts with

Human

Applications

IHC-P, WB

applications

Immunogen

Synthetic Peptide within Human CTDP1 aa 1-50. The exact immunogen used to generate this antibody is proprietary information.

Q9Y5B0

Reactivity data

{ "title": "Reactivity Data", "filters": { "stats": ["", "Species", "Dilution Info", "Notes"], "tabs": { "all-applications": {"fullname" : "All Applications", "shortname": "All Applications"}, "IHCP" : {"fullname" : "Immunohistochemistry (Formalin/PFA-fixed paraffin-embedded sections)", "shortname":"IHC-P"}, "WB" : {"fullname" : "Western blot", "shortname":"WB"} }, "product-promise": { "all": "all", "testedAndGuaranteed": "tested", "guaranteed": "expected", "predicted": "predicted", "notRecommended": "not-recommended" } }, "values": { "Human": { "IHCP-species-checked": "testedAndGuaranteed", "IHCP-species-dilution-info": "1/100 - 1/1000", "IHCP-species-notes": "<p>Or Tris-EDTA buffer (pH8.0)</p> Perform heat-mediated antigen retrieval with citrate buffer pH 6 before commencing with IHC staining protocol.", "WB-species-checked": "testedAndGuaranteed", "WB-species-dilution-info": "1/500 - 1/3000", "WB-species-notes": "<p></p>" } } }

Properties and storage information

Form
Liquid
Purification technique
Affinity purification Immunogen
Storage buffer
pH: 7 Preservative: 0.01% Thimerosal (merthiolate) Constituents: PBS, 40% Glycerol (glycerin, glycerine)
Shipped at conditions
Blue Ice
Appropriate short-term storage conditions
+4°C
Appropriate long-term storage conditions
-20°C
Aliquoting information
Upon delivery aliquot
Storage information
Avoid freeze / thaw cycle

Supplementary information

This supplementary information is collated from multiple sources and compiled automatically.

FCP1 also known as TFIIF-stimulated CTD phosphatase 1 is a protein phosphatase involved in mRNA synthesis important for transcription regulation by dephosphorylating RNA polymerase II. It carries a molecular weight of approximately 160 kDa. FCP1 is expressed in a range of tissues including liver brain and muscle indicating its widespread importance in cellular processes.
Biological function summary

CTD phosphatase 1 modulates gene expression by regulating the phosphorylation state of RNA polymerase II a critical component of the pre-initiation complex in transcription. FCP1 works as part of a larger transcriptional complex interacting with proteins such as TFIIF which aids its recruitment to the RNA polymerase II subunit. This interaction ensures the proper cycle of transcription terminating the elongation phase and allowing re-initiation.

Pathways

The dephosphorylation activity of FCP1 integrates into the transcription elongation and pre-mRNA processing pathways. It remains associated with the transcription elongation factor TFIIF to sustain transcription efficiency. Additionally FCP1 plays a role in the regulation of RNA polymerase II's interaction with other factors such as CDK9 which connects it to transcription elongation and processing.

Irregularities in FCP1 expression or function associate with cancer and neurodegeneration. Its role in regulating RNA polymerase II phosphorylation suggests a link to oncogenesis given RNA polymerase II's pivotal role in transcribing growth-related genes. Moreover studies indicate FCP1's connection to neurodegenerative diseases through its interactions with tau protein highlighting possible implications for Alzheimer's disease pathology.

Product protocols

For this product, it's our understanding that no specific protocols are required. You can visit:

Target data

Processively dephosphorylates 'Ser-2' and 'Ser-5' of the heptad repeats YSPTSPS in the C-terminal domain of the largest RNA polymerase II subunit. This promotes the activity of RNA polymerase II. Plays a role in the exit from mitosis by dephosphorylating crucial mitotic substrates (USP44, CDC20 and WEE1) that are required for M-phase-promoting factor (MPF)/CDK1 inactivation.
See full target information CTDP1

Publications (1)

Recent publications for all applications. Explore the full list and refine your search

Oncology letters 10:2947-2952 PubMed26722269

2015

Carboxy-terminal domain phosphatase 1 silencing results in the inhibition of tumor formation ability in gastric cancer cells.

Applications

Unspecified application

Species

Unspecified reactive species

Hongbing Fu,Dejun Yang,Changming Wang,Jiapeng Xu,Weimin Wang,Ronglin Yan,Qingping Cai
View all publications

Product promise

We are committed to supporting your work with high-quality reagents, and we're here for you every step of the way. In the unlikely event that one of our products does not perform as expected, you're protected by our Product Promise.
For full details, please see our Terms & Conditions

Please note: All products are 'FOR RESEARCH USE ONLY. NOT FOR USE IN DIAGNOSTIC OR THERAPEUTIC PROCEDURES'.

For licensing inquiries, please contact partnerships@abcam.com