JavaScript is disabled in your browser. Please enable JavaScript to view this website.
AB239076

Anti-FCRL4 antibody [EPR21961]

5

(1 Review)

|

(4 Publications)

Anti-FCRL4 antibody [EPR21961] (ab239076) is a rabbit monoclonal antibody detecting FCRL4 in IHC-P. Suitable for Human.

- Biophysical QC for unrivalled batch-batch consistency

View Alternative Names

CD307d, FCRH4, IFGP2, IRTA1, FCRL4, Fc receptor-like protein 4, FcR-like protein 4, FcRL4, Fc receptor homolog 4, IFGP family protein 2, Immune receptor translocation-associated protein 1, FcRH4, hIFGP2

2 Images
Immunohistochemistry (Formalin/PFA-fixed paraffin-embedded sections) - Anti-FCRL4 antibody [EPR21961] (AB239076)
  • IHC-P

Supplier Data

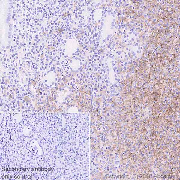
Immunohistochemistry (Formalin/PFA-fixed paraffin-embedded sections) - Anti-FCRL4 antibody [EPR21961] (AB239076)

Immunohistochemical analysis of paraffin-embedded human tonsil tissue labeling FCRL4 with ab239076 at 1/500 dilution, followed by a ready to use Goat Anti-Rabbit IgG H&L (HRP) antibody. Cytoplasmic and membranous staining on a subset of lymphocytes in human tonsil (PMID : 12881317) is observed. Counterstained with hematoxylin.

Secondary antibody only control : Used PBS instead of primary antibody, secondary antibody is Goat Anti-Rabbit IgG H&L (HRP) ready to use.

Heat mediated antigen retrieval using ab93684 (Tris/EDTA buffer, pH 9.0).

Immunohistochemistry (Formalin/PFA-fixed paraffin-embedded sections) - Anti-FCRL4 antibody [EPR21961] (AB239076)
  • IHC-P

Supplier Data

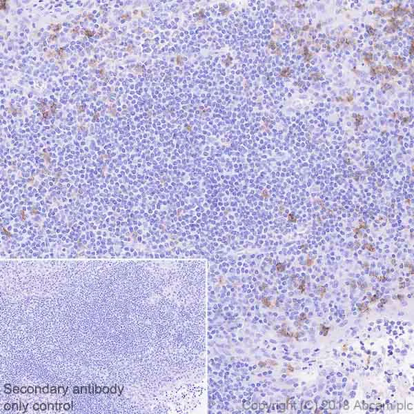
Immunohistochemistry (Formalin/PFA-fixed paraffin-embedded sections) - Anti-FCRL4 antibody [EPR21961] (AB239076)

Immunohistochemical analysis of paraffin-embedded marginal zone lymphoma tissue labeling FCRL4 with ab239076 at 1/500 dilution, followed by a ready to use Goat Anti-Rabbit IgG H&L (HRP) antibody. Cytoplasmic and membranous staining on the marginal zone lymphoma cells (PMID : 12881317) is observed. Counterstained with hematoxylin.

Secondary antibody only control : Used PBS instead of primary antibody, secondary antibody is Goat Anti-Rabbit IgG H&L (HRP) ready to use.

Heat mediated antigen retrieval using ab93684 (Tris/EDTA buffer, pH 9.0).

Key facts

Host species

Rabbit

Clonality

Monoclonal

Clone number

EPR21961

Isotype

IgG

Carrier free

No

Reacts with

Human

Applications

IHC-P

applications

Immunogen

The exact immunogen used to generate this antibody is proprietary information.

Reactivity data

{ "title": "Reactivity Data", "filters": { "stats": ["", "Species", "Dilution Info", "Notes"], "tabs": { "all-applications": {"fullname" : "All Applications", "shortname": "All Applications"}, "IHCP" : {"fullname" : "Immunohistochemistry (Formalin/PFA-fixed paraffin-embedded sections)", "shortname":"IHC-P"} }, "product-promise": { "all": "all", "testedAndGuaranteed": "tested", "guaranteed": "expected", "predicted": "predicted", "notRecommended": "not-recommended" } }, "values": { "Human": { "IHCP-species-checked": "testedAndGuaranteed", "IHCP-species-dilution-info": "1/500", "IHCP-species-notes": "<p>Heat mediated antigen retrieval using <a href='/en-us/products/buffers/antigen-retrieval-buffer-100x-tris-edta-buffer-ph-90-ab93684'>ab93684</a> (Tris/EDTA buffer, pH 9.0).</p> Perform heat-mediated antigen retrieval with Tris/EDTA buffer pH 9.0 before commencing with IHC staining protocol." } } }

Product details

What is this antibody validated in?
Anti-FCRL4 antibody [EPR21961] (ab239076) is a rabbit recombinant monoclonal antibody and is validated for use in Immunohistochemistry (IHC-P) in Human samples.

Trial sizes available!
Test your antibody or perform pre-screening before committing to a larger quantity. Sold in 10µl. Discover our selection of trial-size antibodies.

Other related products
We have a range of other formats of antibody clone [EPR21961] also available for your convenience: ab239076, Carrier free - ab239754, Alexa Fluor® 647 - ab320114

Patented technology
Our RabMAb® technology is a patented hybridoma-based technology for making rabbit monoclonal antibodies. For details on our patents, please refer to RabMAb® patents.

What are the advantages of a recombinant monoclonal antibody?
This product is a recombinant monoclonal antibody, which offers several advantages including:

  • - High batch-to-batch consistency and reproducibility
  • - Improved sensitivity and specificity
  • - Long-term security of supply
  • - Animal-free batch production

For more information, read more on recombinant antibodies.

Properties and storage information

Form
Liquid
Purification technique
Affinity purification Protein A
Storage buffer
pH: 7.2 - 7.4 Preservative: 0.01% Sodium azide Constituents: PBS, 40% Glycerol (glycerin, glycerine), 0.05% BSA
Shipped at conditions
Blue Ice
Appropriate short-term storage duration
1-2 weeks
Appropriate short-term storage conditions
+4°C
Appropriate long-term storage conditions
-20°C
Aliquoting information
Upon delivery aliquot
Storage information
Avoid freeze / thaw cycle

Supplementary information

This supplementary information is collated from multiple sources and compiled automatically.

FCRL4 also known as Fc receptor-like 4 is a transmembrane protein with a molecular mass of about 70 kDa. It belongs to a family of receptors similar to Fc receptors and is expressed mainly on a subset of B cells particularly on those in tonsils and mucosal tissues. This receptor is relevant because it modulates immune responses and can influence how B cells react to environmental antigens. FCRL4 expression differs from its family members suggesting a specialized function within the immune system.
Biological function summary

FCRL4 contributes to the regulation of B cell activation and differentiation. FCRL4 has been identified to form complexes with other proteins at the cellular membrane influencing signaling cascades that dampen B cell receptor signaling. This control over signaling pathways is critical for maintaining immune homeostasis and preventing overactive immune responses which can lead to autoimmune conditions. By acting through these complexes FCRL4 helps determine B cell fate during immune responses.

Pathways

FCRL4 is involved in immune regulatory pathways associated with lymphocyte activation. It intersects with the B cell receptor signaling pathway and modulates the interaction between B cell immunological synapse components. FCRL4 interacts with proteins like CD307d within these pathways serving a regulatory role in limiting excessive B cell activation. The control exerted by FCRL4 within these pathways is essential for preventing unnecessary immune activation that could be harmful.

FCRL4 holds significance in chronic infections and autoimmune disorders. Abnormal expression or malfunction of FCRL4 associates with conditions such as Sjögren's syndrome where inappropriate immune function affects secretory glands. In chronic infections FCRL4 expression identifies exhausted B cell populations that are less responsive to antigenic stimulation affecting the body's ability to fight infections. CD307d often links to FCRL4 in such cases where they may together alter disease progression by affecting B cell function in disease settings.

Product protocols

For this product, it's our understanding that no specific protocols are required. You can visit:

Target data

May function as an inhibitor of the B-cell receptor signaling. May function in the B-cell-mediated immune response.
See full target information FCRL4

Publications (4)

Recent publications for all applications. Explore the full list and refine your search

Regenerative biomaterials 12:rbaf089 PubMed41048976

2025

ROS scavenging MnO nanozyme regulated immune microenvironment and affects intercellular interaction to promote wound healing in diabetes.

Applications

Unspecified application

Species

Unspecified reactive species

Zhuoyuan Li,Ao Zheng,Chen Liang,Zhiyuan Mao,Tanjun Deng,Lingyan Cao,Chen Wang

Genome medicine 15:14 PubMed36869384

2023

Tumor microenvironment remodeling after neoadjuvant immunotherapy in non-small cell lung cancer revealed by single-cell RNA sequencing.

Applications

Unspecified application

Species

Unspecified reactive species

Junjie Hu,Lele Zhang,Haoran Xia,Yilv Yan,Xinsheng Zhu,Fenghuan Sun,Liangdong Sun,Shuangyi Li,Dianke Li,Jin Wang,Ya Han,Jing Zhang,Dongliang Bian,Huansha Yu,Yan Chen,Pengyu Fan,Qiang Ma,Gening Jiang,Chenfei Wang,Peng Zhang

Journal of clinical and experimental hematopathology : JCEH 62:195-201 PubMed36436933

2022

Immunohistochemistry for IRTA1 and MNDA helps differentiate gastric MALT lymphoma from chronic gastritis/reactive lymphocyte hyperplasia.

Applications

Unspecified application

Species

Unspecified reactive species

Yoshiyuki Ayada,Takuro Igawa,Yusuke Naoi,Kyosuke Horikawa,Tetsuya Tabata,Takehiro Tanaka,Tadashi Yoshino

Frontiers in immunology 12:778329 PubMed34975867

2021

Colorectal Cancer-Associated Immune Exhaustion Involves T and B Lymphocytes and Conventional NK Cells and Correlates With a Shorter Overall Survival.

Applications

Unspecified application

Species

Unspecified reactive species

Carlo Sorrentino,Luigi D'Antonio,Cristiano Fieni,Stefania Livia Ciummo,Emma Di Carlo
View all publications

Product promise

We are committed to supporting your work with high-quality reagents, and we're here for you every step of the way. In the unlikely event that one of our products does not perform as expected, you're protected by our Product Promise.
For full details, please see our Terms & Conditions

Please note: All products are 'FOR RESEARCH USE ONLY. NOT FOR USE IN DIAGNOSTIC OR THERAPEUTIC PROCEDURES'.

For licensing inquiries, please contact partnerships@abcam.com