JavaScript is disabled in your browser. Please enable JavaScript to view this website.
AB239754

Anti-FCRL4 antibody [EPR21961] - BSA and Azide free

Be the first to review this product! Submit a review

|

(1 Publication)

Rabbit Recombinant Monoclonal FCRL4 antibody. Carrier free. Suitable for IHC-P and reacts with Human samples. Cited in 1 publication.

View Alternative Names

CD307d, FCRH4, IFGP2, IRTA1, FCRL4, Fc receptor-like protein 4, FcR-like protein 4, FcRL4, Fc receptor homolog 4, IFGP family protein 2, Immune receptor translocation-associated protein 1, FcRH4, hIFGP2

2 Images
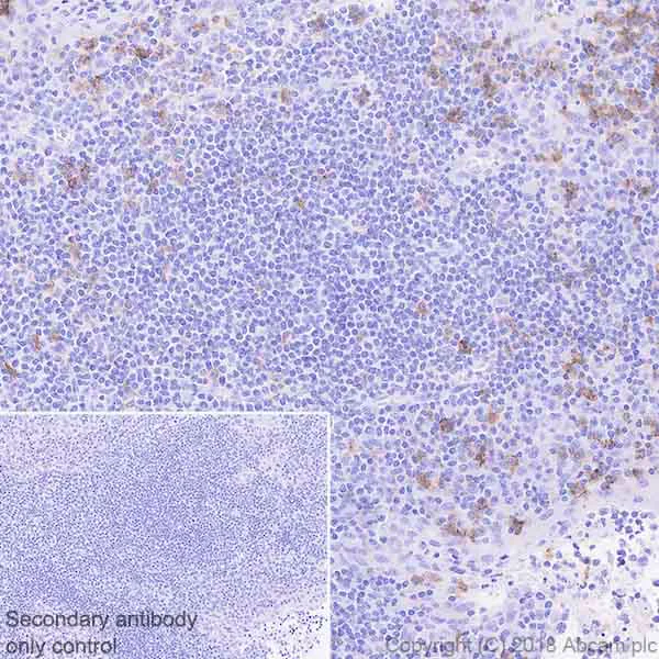
Immunohistochemistry (Formalin/PFA-fixed paraffin-embedded sections) - Anti-FCRL4 antibody [EPR21961] - BSA and Azide free (AB239754)
  • IHC-P

Supplier Data

Immunohistochemistry (Formalin/PFA-fixed paraffin-embedded sections) - Anti-FCRL4 antibody [EPR21961] - BSA and Azide free (AB239754)

Immunohistochemical analysis of paraffin-embedded human tonsil tissue labeling FCRL4 with ab239076 at 1/500 dilution, followed by a ready to use Goat Anti-Rabbit IgG H&L (HRP) antibody. Cytoplasmic and membranous staining on a subset of lymphocytes in human tonsil (PMID : 12881317) is observed. Counterstained with hematoxylin.

Secondary antibody only control : Used PBS instead of primary antibody, secondary antibody is Goat Anti-Rabbit IgG H&L (HRP) ready to use.

Heat mediated antigen retrieval using ab93684 (Tris/EDTA buffer, pH 9.0).

This data was developed using the same antibody clone in a different buffer formulation containing PBS, BSA, glycerol, and sodium azide (ab239076).

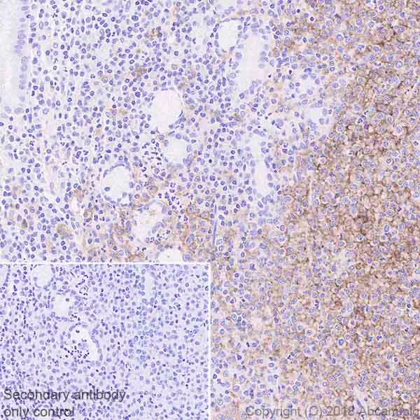
Immunohistochemistry (Formalin/PFA-fixed paraffin-embedded sections) - Anti-FCRL4 antibody [EPR21961] - BSA and Azide free (AB239754)
  • IHC-P

Supplier Data

Immunohistochemistry (Formalin/PFA-fixed paraffin-embedded sections) - Anti-FCRL4 antibody [EPR21961] - BSA and Azide free (AB239754)

Immunohistochemical analysis of paraffin-embedded marginal zone lymphoma tissue labeling FCRL4 with ab239076 at 1/500 dilution, followed by a ready to use Goat Anti-Rabbit IgG H&L (HRP) antibody. Cytoplasmic and membranous staining on the marginal zone lymphoma cells (PMID : 12881317) is observed. Counterstained with hematoxylin.

Secondary antibody only control : Used PBS instead of primary antibody, secondary antibody is Goat Anti-Rabbit IgG H&L (HRP) ready to use.

Heat mediated antigen retrieval using ab93684 (Tris/EDTA buffer, pH 9.0).

This data was developed using the same antibody clone in a different buffer formulation containing PBS, BSA, glycerol, and sodium azide (ab239076).

Key facts

Host species

Rabbit

Clonality

Monoclonal

Clone number

EPR21961

Isotype

IgG

Carrier free

Yes

Reacts with

Human

Applications

IHC-P

applications

Immunogen

The exact immunogen used to generate this antibody is proprietary information.

Reactivity data

{ "title": "Reactivity Data", "filters": { "stats": ["", "Species", "Dilution Info", "Notes"], "tabs": { "all-applications": {"fullname" : "All Applications", "shortname": "All Applications"}, "IHCP" : {"fullname" : "Immunohistochemistry (Formalin/PFA-fixed paraffin-embedded sections)", "shortname":"IHC-P"} }, "product-promise": { "all": "all", "testedAndGuaranteed": "tested", "guaranteed": "expected", "predicted": "predicted", "notRecommended": "not-recommended" } }, "values": { "Human": { "IHCP-species-checked": "testedAndGuaranteed", "IHCP-species-dilution-info": "", "IHCP-species-notes": "<p>Heat mediated antigen retrieval using <a href='/en-us/products/buffers/antigen-retrieval-buffer-100x-tris-edta-buffer-ph-90-ab93684'>ab93684</a> (Tris/EDTA buffer, pH 9.0).</p>" } } }

Product details

ab239754 is the carrier-free version of ab239076.

Conjugation ready
Our carrier-free antibodies are typically supplied in a PBS-only formulation, purified and free of BSA, sodium azide and glycerol. This conjugation-ready format is designed for use with fluorochromes, metal isotopes, oligonucleotides, and enzymes, which makes them ideal for antibody labelling, functional and cell-based assays, flow-based assays (e.g. mass cytometry) and Multiplex Imaging applications.

Use our conjugation kits for antibody conjugates that are ready-to-use in as little as 20 minutes with 1 minute hands-on-time and 100% antibody recovery: available for fluorescent dyes, HRP, biotin and gold.

Compatibility
This product is compatible with the Maxpar® Antibody Labeling Kit from Fluidigm, without the need for antibody preparation. Maxpar® is a trademark of Fluidigm Canada Inc.

Properties and storage information

Form
Liquid
Purification technique
Affinity purification Protein A
Storage buffer
pH: 7.2 - 7.4 Constituents: PBS
Shipped at conditions
Blue Ice
Appropriate short-term storage conditions
+4°C
Appropriate long-term storage conditions
+4°C
Storage information
Do Not Freeze

Supplementary information

This supplementary information is collated from multiple sources and compiled automatically.

FCRL4 also known as Fc receptor-like 4 is a transmembrane protein with a molecular mass of about 70 kDa. It belongs to a family of receptors similar to Fc receptors and is expressed mainly on a subset of B cells particularly on those in tonsils and mucosal tissues. This receptor is relevant because it modulates immune responses and can influence how B cells react to environmental antigens. FCRL4 expression differs from its family members suggesting a specialized function within the immune system.
Biological function summary

FCRL4 contributes to the regulation of B cell activation and differentiation. FCRL4 has been identified to form complexes with other proteins at the cellular membrane influencing signaling cascades that dampen B cell receptor signaling. This control over signaling pathways is critical for maintaining immune homeostasis and preventing overactive immune responses which can lead to autoimmune conditions. By acting through these complexes FCRL4 helps determine B cell fate during immune responses.

Pathways

FCRL4 is involved in immune regulatory pathways associated with lymphocyte activation. It intersects with the B cell receptor signaling pathway and modulates the interaction between B cell immunological synapse components. FCRL4 interacts with proteins like CD307d within these pathways serving a regulatory role in limiting excessive B cell activation. The control exerted by FCRL4 within these pathways is essential for preventing unnecessary immune activation that could be harmful.

FCRL4 holds significance in chronic infections and autoimmune disorders. Abnormal expression or malfunction of FCRL4 associates with conditions such as Sjögren's syndrome where inappropriate immune function affects secretory glands. In chronic infections FCRL4 expression identifies exhausted B cell populations that are less responsive to antigenic stimulation affecting the body's ability to fight infections. CD307d often links to FCRL4 in such cases where they may together alter disease progression by affecting B cell function in disease settings.

Product protocols

For this product, it's our understanding that no specific protocols are required. You can visit:

Target data

May function as an inhibitor of the B-cell receptor signaling. May function in the B-cell-mediated immune response.
See full target information FCRL4

Publications (1)

Recent publications for all applications. Explore the full list and refine your search

Frontiers in medicine 12:1614012 PubMed40959429

2025

A mitochondrial ferroptosis-related gene signature predicts prognosis and immune landscape in colon cancer.

Applications

Unspecified application

Species

Unspecified reactive species

Hou Wang
View all publications

Product promise

We are committed to supporting your work with high-quality reagents, and we're here for you every step of the way. In the unlikely event that one of our products does not perform as expected, you're protected by our Product Promise.
For full details, please see our Terms & Conditions

Please note: All products are 'FOR RESEARCH USE ONLY. NOT FOR USE IN DIAGNOSTIC OR THERAPEUTIC PROCEDURES'.

For licensing inquiries, please contact partnerships@abcam.com