JavaScript is disabled in your browser. Please enable JavaScript to view this website.
AB236666

Anti-FDFT1 antibody

Be the first to review this product! Submit a review

|

(1 Publication)

Rabbit Polyclonal FDFT1 antibody. Suitable for WB, IHC-P, ICC/IF and reacts with Mouse, Human samples. Cited in 1 publication. Immunogen corresponding to Recombinant Fragment Protein within Human FDFT1 aa 1-300.

View Alternative Names

Squalene synthase, SQS, SS, FPP:FPP farnesyltransferase, Farnesyl-diphosphate farnesyltransferase, Farnesyl-diphosphate farnesyltransferase 1, FDFT1

4 Images
Western blot - Anti-FDFT1 antibody (AB236666)
  • WB

Supplier Data

Western blot - Anti-FDFT1 antibody (AB236666)

All lanes:

Western blot - Anti-FDFT1 antibody (ab236666) at 1/1000 dilution

Lane 1:

HEK-293T (human epithelial cell line from embryonic kidney transformed with large T antigen) cell lysate

Lane 2:

Mouse liver lysate

Secondary

All lanes:

Goat polyclonal to rabbit IgG at 1/10000 dilution

Predicted band size: 48 kDa

false

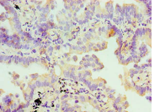
Immunohistochemistry (Formalin/PFA-fixed paraffin-embedded sections) - Anti-FDFT1 antibody (AB236666)
  • IHC-P

Supplier Data

Immunohistochemistry (Formalin/PFA-fixed paraffin-embedded sections) - Anti-FDFT1 antibody (AB236666)

Paraffin-embedded human liver cancer tissue stained for FDFT1 using ab236666 at 1/100 dilution in immunohistochemical analysis.

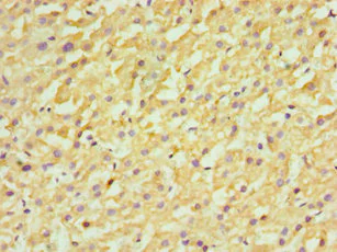
Immunohistochemistry (Formalin/PFA-fixed paraffin-embedded sections) - Anti-FDFT1 antibody (AB236666)
  • IHC-P

Supplier Data

Immunohistochemistry (Formalin/PFA-fixed paraffin-embedded sections) - Anti-FDFT1 antibody (AB236666)

Paraffin-embedded human lung cancer tissue stained for FDFT1 using ab236666 at 1/100 dilution in immunohistochemical analysis.

Immunocytochemistry/ Immunofluorescence - Anti-FDFT1 antibody (AB236666)
  • ICC/IF

Supplier Data

Immunocytochemistry/ Immunofluorescence - Anti-FDFT1 antibody (AB236666)

HEK-293 (human epithelial cell line from embryonic kidney) cells labeling FDFT1 using ab236666 at 1/100 dilution in ICC/IF. Secondary antibody was Alexa Fluor® 488-conjugated goat anti-rabbit IgG (H+L).

Key facts

Host species

Rabbit

Clonality

Polyclonal

Isotype

IgG

Carrier free

No

Reacts with

Mouse, Human

Applications

ICC/IF, IHC-P, WB

applications

Immunogen

Recombinant Fragment Protein within Human FDFT1 aa 1-300. The exact immunogen used to generate this antibody is proprietary information.

P37268

Reactivity data

{ "title": "Reactivity Data", "filters": { "stats": ["", "Species", "Dilution Info", "Notes"], "tabs": { "all-applications": {"fullname" : "All Applications", "shortname": "All Applications"}, "WB" : {"fullname" : "Western blot", "shortname":"WB"}, "IHCP" : {"fullname" : "Immunohistochemistry (Formalin/PFA-fixed paraffin-embedded sections)", "shortname":"IHC-P"}, "ICCIF" : {"fullname" : "Immunocytochemistry/ Immunofluorescence", "shortname":"ICC/IF"} }, "product-promise": { "all": "all", "testedAndGuaranteed": "tested", "guaranteed": "expected", "predicted": "predicted", "notRecommended": "not-recommended" } }, "values": { "Human": { "WB-species-checked": "testedAndGuaranteed", "WB-species-dilution-info": "1/1000.00000 - 1/5000.00000", "WB-species-notes": "<p></p>", "IHCP-species-checked": "testedAndGuaranteed", "IHCP-species-dilution-info": "1/20.00000 - 1/200.00000", "IHCP-species-notes": "<p></p>", "ICCIF-species-checked": "testedAndGuaranteed", "ICCIF-species-dilution-info": "1/50.00000 - 1/200.00000", "ICCIF-species-notes": "<p></p>" }, "Mouse": { "WB-species-checked": "testedAndGuaranteed", "WB-species-dilution-info": "1/1000.00000 - 1/5000.00000", "WB-species-notes": "<p></p>", "IHCP-species-checked": "guaranteed", "IHCP-species-dilution-info": "", "IHCP-species-notes": "", "ICCIF-species-checked": "guaranteed", "ICCIF-species-dilution-info": "", "ICCIF-species-notes": "" } } }

Properties and storage information

Form
Liquid
Purification technique
Affinity purification Immunogen
Storage buffer
pH: 7.3 Preservative: 0.02% Sodium azide Constituents: PBS, 50% Glycerol (glycerin, glycerine)
Shipped at conditions
Blue Ice
Appropriate short-term storage duration
1-2 weeks
Appropriate short-term storage conditions
+4°C
Appropriate long-term storage conditions
-20°C
Aliquoting information
Upon delivery aliquot
Storage information
Avoid freeze / thaw cycle

Supplementary information

This supplementary information is collated from multiple sources and compiled automatically.

FDFT1 also known as squalene synthase catalyzes the first committed step in cholesterol biosynthesis. This enzyme functions as a dimer and has a molecular weight of approximately 47 kDa. FDFT1 is widely expressed in the liver where cholesterol synthesis primarily occurs but you can also find it present in many tissues throughout the body. As a membrane-bound protein it anchors to the endoplasmic reticulum where it carries out its enzymatic role.
Biological function summary

FDFT1 facilitates the conversion of farnesyl diphosphate to squalene a critical precursor in sterol and cholesterol synthesis. This enzyme does not work in isolation but acts as a part of the larger sterol biosynthesis pathway. The activity of FDFT1 aligns with key metabolic demands particularly in tissues with high rates of cell division or hormone production making it essential for maintaining cellular sterol homeostasis.

Pathways

FDFT1 is an important enzyme in the mevalonate pathway and cholesterol biosynthesis pathway. This enzyme interacts closely with proteins such as HMG-CoA reductase and lanosterol synthase which are pivotal in these pathways. This relationship ensures the proper flow from acetyl-CoA to cholesterol and other isoprenoids critical for cell membrane integrity and signaling functions.

Disruptions in FDFT1 activity can lead to conditions like hypercholesterolemia and related cardiovascular diseases. Excess or deficiency in its function impacts cholesterol levels directly making it a target for cholesterol-lowering therapies. FDFT1's activity also connects to the proteins NPC1 and LDL receptor which play a role in cholesterol transport and uptake further linking it to pathways that contribute to atherosclerosis when dysregulated.

Product protocols

For this product, it's our understanding that no specific protocols are required. You can visit:

Target data

Catalyzes the condensation of 2 farnesyl pyrophosphate (FPP) moieties to form squalene. Proceeds in two distinct steps. In the first half-reaction, two molecules of FPP react to form the stable presqualene diphosphate intermediate (PSQPP), with concomitant release of a proton and a molecule of inorganic diphosphate. In the second half-reaction, PSQPP undergoes heterolysis, isomerization, and reduction with NADPH or NADH to form squalene. It is the first committed enzyme of the sterol biosynthesis pathway.
See full target information FDFT1

Publications (1)

Recent publications for all applications. Explore the full list and refine your search

Nature communications 14:3372 PubMed37291151

2023

Astrocyte-oligodendrocyte interaction regulates central nervous system regeneration.

Applications

Unspecified application

Species

Unspecified reactive species

Irene Molina-Gonzalez,Rebecca K Holloway,Zoeb Jiwaji,Owen Dando,Sarah A Kent,Katie Emelianova,Amy F Lloyd,Lindsey H Forbes,Ayisha Mahmood,Thomas Skripuletz,Viktoria Gudi,James A Febery,Jeffrey A Johnson,Jill H Fowler,Tanja Kuhlmann,Anna Williams,Siddharthan Chandran,Martin Stangel,Andrew J M Howden,Giles E Hardingham,Veronique E Miron
View all publications

Product promise

We are committed to supporting your work with high-quality reagents, and we're here for you every step of the way. In the unlikely event that one of our products does not perform as expected, you're protected by our Product Promise.
For full details, please see our Terms & Conditions

Associated Products

Select an associated product type
Alternative Product
Primary Antibodies

AB236675

Anti-FDFT1 antibody

primary-antibodies

fdft1-antibody-ab236675

0

(0 reviews)

Alternative Product
Primary Antibodies

AB232552

Anti-FDFT1 antibody [EPR16481] - BSA and Azide free

primary-antibodies

fdft1-antibody-epr16481-bsa-and-azide-free-ab232552

0

(0 reviews)

Alternative Product
Primary Antibodies

AB195046

Anti-FDFT1 antibody [EPR16481]

primary-antibodies

fdft1-antibody-epr16481-ab195046

0

(0 reviews)

Please note: All products are 'FOR RESEARCH USE ONLY. NOT FOR USE IN DIAGNOSTIC OR THERAPEUTIC PROCEDURES'.

For licensing inquiries, please contact partnerships@abcam.com