JavaScript is disabled in your browser. Please enable JavaScript to view this website.
AB109007

Anti-FDPS/FPS antibody [EPR4628]

Be the first to review this product! Submit a review

|

(0 Publication)

Rabbit Recombinant Monoclonal FDPS/FPS antibody. Suitable for IHC-P, WB, Flow Cyt (Intra) and reacts with Human samples.

View Alternative Names

FPS, KIAA1293, FDPS, Farnesyl pyrophosphate synthase, FPP synthase, Dimethylallyltranstransferase, Farnesyl diphosphate synthase, Geranyltranstransferase

3 Images
Western blot - Anti-FDPS/FPS antibody [EPR4628] (AB109007)
  • WB

Unknown

Western blot - Anti-FDPS/FPS antibody [EPR4628] (AB109007)

All lanes:

Western blot - Anti-FDPS/FPS antibody [EPR4628] (ab109007) at 1/1000 dilution

Lane 1:

THP1 cell lysates

Lane 2:

HepG2 cell lysates

Lane 3:

Human fetal liver lysates

Predicted band size: 48 kDa

false

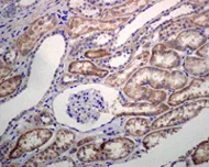
Immunohistochemistry (Formalin/PFA-fixed paraffin-embedded sections) - Anti-FDPS/FPS antibody [EPR4628] (AB109007)
  • IHC-P

Unknown

Immunohistochemistry (Formalin/PFA-fixed paraffin-embedded sections) - Anti-FDPS/FPS antibody [EPR4628] (AB109007)

ab109007 at 1/100 dilution staining FDPS/FPS in Human kidney by Immunohistochemistry, Paraffin-embedded tissue.

Perform heat mediated antigen retrieval before commencing with IHC staining protocol.

Flow Cytometry (Intracellular) - Anti-FDPS/FPS antibody [EPR4628] (AB109007)
  • Flow Cyt (Intra)

Lab

Flow Cytometry (Intracellular) - Anti-FDPS/FPS antibody [EPR4628] (AB109007)

Flow Cytometry analysis of THP-1 (Human monocytic leukemia monocyte) cells labeling FDPS/FPS with purified ab109007 at 1/1000 dilution (1 μg/mL) (Red). Cells were fixed with 4% Paraformaldehyde and permeabilised with 90% Methanol. A Goat anti rabbit IgG (Alexa Fluor® 488, ab150081) secondary antibody was used at 1/2000. Isotype control - Rabbit monoclonal IgG (Black). Unlabeled control - Cell without incubation with primary antibody and secondary antibody (Blue).

Key facts

Host species

Rabbit

Clonality

Monoclonal

Clone number

EPR4628

Isotype

IgG

Carrier free

No

Reacts with

Human

Applications

IHC-P, Flow Cyt (Intra), WB

applications

Immunogen

The exact immunogen used to generate this antibody is proprietary information.

Reactivity data

{ "title": "Reactivity Data", "filters": { "stats": ["", "Species", "Dilution Info", "Notes"], "tabs": { "all-applications": {"fullname" : "All Applications", "shortname": "All Applications"}, "IHCP" : {"fullname" : "Immunohistochemistry (Formalin/PFA-fixed paraffin-embedded sections)", "shortname":"IHC-P"}, "ICCIF" : {"fullname" : "Immunocytochemistry/ Immunofluorescence", "shortname":"ICC/IF"}, "IP" : {"fullname" : "Immunoprecipitation", "shortname":"IP"}, "WB" : {"fullname" : "Western blot", "shortname":"WB"}, "FlowCytIntra" : {"fullname" : "Flow Cytometry (Intracellular)", "shortname":"Flow Cyt (Intra)"} }, "product-promise": { "all": "all", "testedAndGuaranteed": "tested", "guaranteed": "expected", "predicted": "predicted", "notRecommended": "not-recommended" } }, "values": { "Human": { "IHCP-species-checked": "testedAndGuaranteed", "IHCP-species-dilution-info": "1/100 - 1/250", "IHCP-species-notes": "<p>Heat up to 98 degrees C, below boiling, and then let cool for 10-20 min.</p>", "ICCIF-species-checked": "notRecommended", "ICCIF-species-dilution-info": "", "ICCIF-species-notes": "<p></p>", "IP-species-checked": "notRecommended", "IP-species-dilution-info": "", "IP-species-notes": "<p></p>", "WB-species-checked": "testedAndGuaranteed", "WB-species-dilution-info": "1/1000 - 1/10000", "WB-species-notes": "<p></p>", "FlowCytIntra-species-checked": "testedAndGuaranteed", "FlowCytIntra-species-dilution-info": "1/1000", "FlowCytIntra-species-notes": "<p><a href='/en-us/products/primary-antibodies/rabbit-igg-monoclonal-epr25a-isotype-control-ab172730'>ab172730</a> - Rabbit monoclonal IgG, is suitable for use as an isotype control with this antibody.</p>" } } }

You may be interested in:

AB309408

Human FDPS/FPS ELISA Kit

0

0 Reviews

View product

We recommend this product because it’s often used in the same experiment or related research.

We advise that you always check the datasheet to ensure it fits your experiments, or contact ourtechnical teamfor help.

Product details

Species reactivity
Mouse, Rat: We have preliminary internal testing data to indicate this antibody may not react with these species.
Please contact us for more information.

Patented technology
Our RabMAb® technology is a patented hybridoma-based technology for making rabbit monoclonal antibodies. For details on our patents, please refer to RabMAb® patents.

What are the advantages of a recombinant monoclonal antibody?
This product is a recombinant monoclonal antibody, which offers several advantages including:

  • - High batch-to-batch consistency and reproducibility
  • - Improved sensitivity and specificity
  • - Long-term security of supply
  • - Animal-free batch production

For more information, read more on recombinant antibodies.

Properties and storage information

Form
Liquid
Purification technique
Affinity purification Protein A
Storage buffer
pH: 7.2 - 7.4 Preservative: 0.05% Sodium azide Constituents: 50% Tissue culture supernatant, 40% Glycerol (glycerin, glycerine), 9.85% Tris glycine, 0.1% BSA
Shipped at conditions
Blue Ice
Appropriate short-term storage conditions
+4°C
Appropriate long-term storage conditions
-20°C
Storage information
Stable for 12 months at -20°C

Supplementary information

This supplementary information is collated from multiple sources and compiled automatically.

Farnesyl diphosphate synthase (FDPS) also known as farnesyl pyrophosphate synthase (FPS) is an important enzyme that catalyzes the synthesis of farnesyl diphosphate (FPP) from isopentenyl pyrophosphate (IPP) and dimethylallyl pyrophosphate (DMAPP). This enzyme plays an important role in the mevalonate pathway which is essential for the biosynthesis of sterols including cholesterol and other isoprenoids. FDPS is a protein with a molecular mass of approximately 42 kDa. Its expression occurs in various tissues with significant levels in liver brain and bone where it contributes to different cellular metabolic processes.
Biological function summary

Farnesyl diphosphate synthase facilitates the production of FPP a common precursor for the synthesis of isoprenoid compounds such as cholesterol ubiquinones and dolichol. FDPS does not form a complex but works in coordination with other enzymes in the mevalonate pathway. Its activity supports numerous cellular functions including membrane assembly protein prenylation and cell signaling. The enzyme’s role is important for normal cellular growth and development influencing processes like cell differentiation and proliferation.

Pathways

FDPS plays a significant role in the cholesterol biosynthesis and protein prenylation pathways. These pathways are critical for cellular homeostasis and involve several enzymes including HMG-CoA reductase and squalene synthase. The cholesterol biosynthesis pathway includes multiple steps where FPP serves as a lipid intermediate. Meanwhile in protein prenylation FPP contributes to the post-translational modification of proteins such as small GTPases which impacts cell signaling and cytoskeletal organization.

FDPS has a connection to bone diseases such as osteoporosis and also links to cardiovascular disorders. The relationship to osteoporosis arises from its role in bone resorption and osteoclast activity mediated by proteins like RANKL and osteoprotegerin. Cardiovascular disorders may link to altered cholesterol metabolism with FDPS influencing cholesterol biosynthesis and regulation. Inhibition of FDPS activity targets these pathways leading to therapeutic strategies that may address both metabolic and bone health issues.

Product protocols

For this product, it's our understanding that no specific protocols are required. You can visit:

Target data

Key enzyme in isoprenoid biosynthesis which catalyzes the formation of farnesyl diphosphate (FPP), a precursor for several classes of essential metabolites including sterols, dolichols, carotenoids, and ubiquinones. FPP also serves as substrate for protein farnesylation and geranylgeranylation. Catalyzes the sequential condensation of isopentenyl pyrophosphate with the allylic pyrophosphates, dimethylallyl pyrophosphate, and then with the resultant geranylpyrophosphate to the ultimate product farnesyl pyrophosphate.
See full target information FDPS

Product promise

We are committed to supporting your work with high-quality reagents, and we're here for you every step of the way. In the unlikely event that one of our products does not perform as expected, you're protected by our Product Promise.
For full details, please see our Terms & Conditions

Associated Products

Select an associated product type
Alternative Product
Primary Antibodies

AB153805

Anti-FDPS/FPS antibody

primary-antibodies

fdps-fps-antibody-ab153805

0

(0 reviews)

Alternative Product
Primary Antibodies

AB189874

Anti-FDPS/FPS antibody - C-terminal

primary-antibodies

fdps-fps-antibody-c-terminal-ab189874

0

(0 reviews)

Please note: All products are 'FOR RESEARCH USE ONLY. NOT FOR USE IN DIAGNOSTIC OR THERAPEUTIC PROCEDURES'.

For licensing inquiries, please contact partnerships@abcam.com