JavaScript is disabled in your browser. Please enable JavaScript to view this website.
AB17994

Anti-FEN1 antibody

3

(2 Reviews)

|

(7 Publications)

Rabbit Polyclonal FEN1 antibody. Suitable for IHC-P, IP, WB and reacts with Human samples. Cited in 7 publications. Immunogen corresponding to Synthetic Peptide within Human FEN1.

View Alternative Names

RAD2, FEN1, Flap endonuclease 1, FEN-1, DNase IV, Flap structure-specific endonuclease 1, Maturation factor 1, MF1, hFEN-1

3 Images
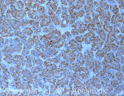
Immunohistochemistry (Formalin/PFA-fixed paraffin-embedded sections) - Anti-FEN1 antibody (AB17994)
  • IHC-P

Supplier Data

Immunohistochemistry (Formalin/PFA-fixed paraffin-embedded sections) - Anti-FEN1 antibody (AB17994)

Immunohistochemistry (Formalin/PFA-fixed paraffin-embedded sections) analysis of human testicular seminoma tissue labelling FEN1 with ab179944 at 1/1000 dilution. Heat mediated antigen retrieval performed with citrate buffer pH 6 before commencing with IHC staining protocol.

Immunoprecipitation - Anti-FEN1 antibody (AB17994)
  • IP

Supplier Data

Immunoprecipitation - Anti-FEN1 antibody (AB17994)

FEN1 was immunoprecipitated from HeLa whole cell lysate (1 mg per IP reaction, 20% loaded) with ab17994 at 6 μg per reaction. Western blot was performed on the immunoprecipitate using ab17994 at 1 μg/mL.

Lane 1 : ab17994 IP in HeLa whole cell lysate.

Lane 2 : ab17994 IP in HeLa whole cell lysate.

Lane 3 : Control IgG in HeLa whole cell lysate.

Detection : Chemiluminescence with an exposure time of 30 seconds

All lanes:

Immunoprecipitation - Anti-FEN1 antibody (ab17994)

Predicted band size: 43 kDa

false

Western blot - Anti-FEN1 antibody (AB17994)
  • WB

Unknown

Western blot - Anti-FEN1 antibody (AB17994)

All lanes:

Western blot - Anti-FEN1 antibody (ab17994) at 0.1 µg/mL

Lane 1:

HeLa whole cell lysate

Lane 2:

HEK293T whole cell lysate

Predicted band size: 43 kDa

false

Exposure time: 30s

Key facts

Host species

Rabbit

Clonality

Polyclonal

Isotype

IgG

Carrier free

No

Reacts with

Human

Applications

IP, IHC-P, WB

applications

Immunogen

Synthetic Peptide within Human FEN1. The exact immunogen used to generate this antibody is proprietary information.

P39748

Reactivity data

{ "title": "Reactivity Data", "filters": { "stats": ["", "Species", "Dilution Info", "Notes"], "tabs": { "all-applications": {"fullname" : "All Applications", "shortname": "All Applications"}, "IHCP" : {"fullname" : "Immunohistochemistry (Formalin/PFA-fixed paraffin-embedded sections)", "shortname":"IHC-P"}, "IP" : {"fullname" : "Immunoprecipitation", "shortname":"IP"}, "WB" : {"fullname" : "Western blot", "shortname":"WB"} }, "product-promise": { "all": "all", "testedAndGuaranteed": "tested", "guaranteed": "expected", "predicted": "predicted", "notRecommended": "not-recommended" } }, "values": { "Human": { "IHCP-species-checked": "testedAndGuaranteed", "IHCP-species-dilution-info": "1/200 - 1/1000", "IHCP-species-notes": "<p></p> Perform heat-mediated antigen retrieval with citrate buffer pH 6 before commencing with IHC staining protocol.", "IP-species-checked": "testedAndGuaranteed", "IP-species-dilution-info": "2-10 µg/mg of lysate", "IP-species-notes": "<p></p>", "WB-species-checked": "testedAndGuaranteed", "WB-species-dilution-info": "1/2000 - 1/10000", "WB-species-notes": "<p></p>" }, "Bat": { "IHCP-species-checked": "predicted", "IHCP-species-dilution-info": "", "IHCP-species-notes": "", "IP-species-checked": "predicted", "IP-species-dilution-info": "", "IP-species-notes": "", "WB-species-checked": "predicted", "WB-species-dilution-info": "", "WB-species-notes": "" }, "Chimpanzee": { "IHCP-species-checked": "predicted", "IHCP-species-dilution-info": "", "IHCP-species-notes": "", "IP-species-checked": "predicted", "IP-species-dilution-info": "", "IP-species-notes": "", "WB-species-checked": "predicted", "WB-species-dilution-info": "", "WB-species-notes": "" }, "Chinese hamster": { "IHCP-species-checked": "predicted", "IHCP-species-dilution-info": "", "IHCP-species-notes": "", "IP-species-checked": "predicted", "IP-species-dilution-info": "", "IP-species-notes": "", "WB-species-checked": "predicted", "WB-species-dilution-info": "", "WB-species-notes": "" }, "Cow": { "IHCP-species-checked": "predicted", "IHCP-species-dilution-info": "", "IHCP-species-notes": "", "IP-species-checked": "predicted", "IP-species-dilution-info": "", "IP-species-notes": "", "WB-species-checked": "predicted", "WB-species-dilution-info": "", "WB-species-notes": "" }, "Gorilla": { "IHCP-species-checked": "predicted", "IHCP-species-dilution-info": "", "IHCP-species-notes": "", "IP-species-checked": "predicted", "IP-species-dilution-info": "", "IP-species-notes": "", "WB-species-checked": "predicted", "WB-species-dilution-info": "", "WB-species-notes": "" }, "Horse": { "IHCP-species-checked": "predicted", "IHCP-species-dilution-info": "", "IHCP-species-notes": "", "IP-species-checked": "predicted", "IP-species-dilution-info": "", "IP-species-notes": "", "WB-species-checked": "predicted", "WB-species-dilution-info": "", "WB-species-notes": "" }, "Orangutan": { "IHCP-species-checked": "predicted", "IHCP-species-dilution-info": "", "IHCP-species-notes": "", "IP-species-checked": "predicted", "IP-species-dilution-info": "", "IP-species-notes": "", "WB-species-checked": "predicted", "WB-species-dilution-info": "", "WB-species-notes": "" }, "Pig": { "IHCP-species-checked": "predicted", "IHCP-species-dilution-info": "", "IHCP-species-notes": "", "IP-species-checked": "predicted", "IP-species-dilution-info": "", "IP-species-notes": "", "WB-species-checked": "predicted", "WB-species-dilution-info": "", "WB-species-notes": "" }, "Sheep": { "IHCP-species-checked": "predicted", "IHCP-species-dilution-info": "", "IHCP-species-notes": "", "IP-species-checked": "predicted", "IP-species-dilution-info": "", "IP-species-notes": "", "WB-species-checked": "predicted", "WB-species-dilution-info": "", "WB-species-notes": "" } } }

Properties and storage information

Form
Liquid
Purification technique
Affinity purification Immunogen
Storage buffer
pH: 7 - 8 Preservative: 0.1% Sodium azide Constituents: PBS, 1.815% Tris, 1.764% Sodium citrate
Shipped at conditions
Blue Ice
Appropriate short-term storage conditions
+4°C
Appropriate long-term storage conditions
-20°C
Aliquoting information
Upon delivery aliquot
Storage information
Avoid freeze / thaw cycle

Supplementary information

This supplementary information is collated from multiple sources and compiled automatically.

Flap Endonuclease 1 known as FEN1 or FEN-1 is an important protein involved in DNA replication and repair. This protein shows a molecular weight of approximately 42 kDa. FEN1 functions as an endonuclease where it removes 5’ overhanging flaps in DNA products that occur during DNA replication and repair processes. It expresses in a wide range of human tissues with significant presence in the nucleus where DNA synthesis mainly occurs.
Biological function summary

FEN1 plays an important role in the Okazaki fragment maturation during lagging strand synthesis and long-patch base excision repair. FEN1 is not a solitary actor; it forms a part of larger complexes essential for maintaining genomic stability. It works closely with proliferating cell nuclear antigen (PCNA) to enhance its function and to interact with other proteins essential for the stability of the DNA.

Pathways

DNA replication and repair processes heavily rely on the activity of FEN1. It’s a component of the DNA replication fork protection and repair pathway and interacts with other proteins such as DNA polymerase and DNA ligase I to complete the repair process. Efficient DNA replication ensures accurate genomic duplication preventing mutations that could lead to severe cellular malfunction.

FEN1 is linked to the development of cancer and neurodegenerative diseases like Huntington's disease. FEN1 mutations or malfunction can result in genomic instability and an increased risk of tumorigenesis. In the context of neurodegenerative diseases deficiencies in FEN1 activity may disrupt the repair of oxidative DNA damage which is an important feature of disorders like Huntington's. These insights highlight the need for further research into FEN1's role and interactions to develop potential therapeutic strategies.

Product protocols

For this product, it's our understanding that no specific protocols are required. You can visit:

Target data

Structure-specific nuclease with 5'-flap endonuclease and 5'-3' exonuclease activities involved in DNA replication and repair. During DNA replication, cleaves the 5'-overhanging flap structure that is generated by displacement synthesis when DNA polymerase encounters the 5'-end of a downstream Okazaki fragment. It enters the flap from the 5'-end and then tracks to cleave the flap base, leaving a nick for ligation. Also involved in the long patch base excision repair (LP-BER) pathway, by cleaving within the apurinic/apyrimidinic (AP) site-terminated flap. Acts as a genome stabilization factor that prevents flaps from equilibrating into structures that lead to duplications and deletions. Also possesses 5'-3' exonuclease activity on nicked or gapped double-stranded DNA, and exhibits RNase H activity. Also involved in replication and repair of rDNA and in repairing mitochondrial DNA.
See full target information FEN1

Publications (7)

Recent publications for all applications. Explore the full list and refine your search

Journal of molecular biology 436:168672 PubMed38908783

2024

Human CST Stimulates Base Excision Repair to Prevent the Accumulation of Oxidative DNA Damage.

Applications

Unspecified application

Species

Unspecified reactive species

Brandon C Wysong,P Logan Schuck,Madhumita Sridharan,Sophie Carrison,Yuichihiro Murakami,Lata Balakrishnan,Jason A Stewart

European journal of histochemistry : EJH 67: PubMed37195011

2023

Metformin sensitises osteosarcoma to chemotherapy <em>via</em> the IGF-1R/miR-610/FEN1 pathway.

Applications

Unspecified application

Species

Unspecified reactive species

Suwei Dong,Yanbin Xiao,Ziqiang Zhu,Xiang Ma,Zhuohui Peng,Jianping Kang,Jianqiang Wang,Yunqing Wang,Zhen Li

Genes 14: PubMed36672839

2022

Flap Endonuclease 1 Endonucleolytically Processes RNA to Resolve R-Loops through DNA Base Excision Repair.

Applications

Unspecified application

Species

Unspecified reactive species

Eduardo E Laverde,Aris A Polyzos,Pawlos P Tsegay,Mohammad Shaver,Joshua D Hutcheson,Lata Balakrishnan,Cynthia T McMurray,Yuan Liu

Molecular cell 81:2640-2655.e8 PubMed34019811

2021

Unrestrained poly-ADP-ribosylation provides insights into chromatin regulation and human disease.

Applications

Unspecified application

Species

Unspecified reactive species

Evgeniia Prokhorova,Thomas Agnew,Anne R Wondisford,Michael Tellier,Nicole Kaminski,Danique Beijer,James Holder,Josephine Groslambert,Marcin J Suskiewicz,Kang Zhu,Julia M Reber,Sarah C Krassnig,Luca Palazzo,Shona Murphy,Michael L Nielsen,Aswin Mangerich,Dragana Ahel,Jonathan Baets,Roderick J O'Sullivan,Ivan Ahel

Proceedings of the National Academy of Sciences of the United States of America 118: PubMed33782138

2021

Modeling DNA trapping of anticancer therapeutic targets using missense mutations identifies dominant synthetic lethal interactions.

Applications

Unspecified application

Species

Unspecified reactive species

Akil Hamza,Leanne Amitzi,Lina Ma,Maureen R M Driessen,Nigel J O'Neil,Philip Hieter

OncoTargets and therapy 12:10089-10098 PubMed31819503

2019

miR-193b Increases the Chemosensitivity of Osteosarcoma Cells by Promoting FEN1-Mediated Autophagy.

Applications

Unspecified application

Species

Unspecified reactive species

Suwei Dong,Yanbin Xiao,Xiang Ma,Wei He,Jianping Kang,Zhuohui Peng,Lei Wang,Zhen Li

Scientific reports 9:351 PubMed30674977

2019

Three Prime Repair Exonuclease 1 (TREX1) expression correlates with cervical cancer cells growth in vitro and disease progression in vivo.

Applications

Unspecified application

Species

Unspecified reactive species

Bruna Prati,Walason da Silva Abjaude,Lara Termini,Mirian Morale,Suellen Herbster,Adhemar Longatto-Filho,Rafaella Almeida Lima Nunes,Lizeth Carolina Córdoba Camacho,Silvia Helena Rabelo-Santos,Luiz Carlos Zeferino,Francisco Aguayo,Enrique Boccardo
View all publications

Product promise

We are committed to supporting your work with high-quality reagents, and we're here for you every step of the way. In the unlikely event that one of our products does not perform as expected, you're protected by our Product Promise.
For full details, please see our Terms & Conditions

Please note: All products are 'FOR RESEARCH USE ONLY. NOT FOR USE IN DIAGNOSTIC OR THERAPEUTIC PROCEDURES'.

For licensing inquiries, please contact partnerships@abcam.com