JavaScript is disabled in your browser. Please enable JavaScript to view this website.
AB126381

Anti-FERDL3 antibody

Be the first to review this product! Submit a review

|

(1 Publication)

Rabbit Polyclonal FERDL3 antibody. Suitable for IHC-P, WB and reacts with Human samples. Cited in 1 publication. Immunogen corresponding to Recombinant Fragment Protein within Human FERD3L aa 1-100.

View Alternative Names

BHLHA31, NATO3, NTWIST, FERD3L, Fer3-like protein, Basic helix-loop-helix protein N-twist, Class A basic helix-loop-helix protein 31, Nephew of atonal 3, Neuronal twist, bHLHa31

2 Images
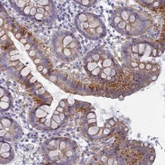
Immunohistochemistry (Formalin/PFA-fixed paraffin-embedded sections) - Anti-FERDL3 antibody (AB126381)
  • IHC-P

Unknown

Immunohistochemistry (Formalin/PFA-fixed paraffin-embedded sections) - Anti-FERDL3 antibody (AB126381)

ab126381, at 1/50 dilution, staining FERDL3 in paraffin-embedded Human colon tissue by Immunohistochemistry.

Western blot - Anti-FERDL3 antibody (AB126381)
  • WB

Unknown

Western blot - Anti-FERDL3 antibody (AB126381)

Lane 1 : Marker [kDa] 250; 130; 95; 72; 55; 36; 28; 17; 10
Lane 2 : Negative control (vector only transfected HEK293T lysate)
Lane 3 : Over-expression Lysate (Co-expressed with a C-terminal myc-DDK tag (~3.1 kDa) in mammalian HEK293T cells.

All lanes:

Western blot - Anti-FERDL3 antibody (ab126381)

Predicted band size: 19 kDa

false

Key facts

Host species

Rabbit

Clonality

Polyclonal

Isotype

IgG

Carrier free

No

Reacts with

Human

Applications

WB, IHC-P

applications

Immunogen

Recombinant Fragment Protein within Human FERD3L aa 1-100. The exact immunogen used to generate this antibody is proprietary information.

Q96RJ6

Reactivity data

{ "title": "Reactivity Data", "filters": { "stats": ["", "Species", "Dilution Info", "Notes"], "tabs": { "all-applications": {"fullname" : "All Applications", "shortname": "All Applications"}, "IHCP" : {"fullname" : "Immunohistochemistry (Formalin/PFA-fixed paraffin-embedded sections)", "shortname":"IHC-P"}, "WB" : {"fullname" : "Western blot", "shortname":"WB"} }, "product-promise": { "all": "all", "testedAndGuaranteed": "tested", "guaranteed": "expected", "predicted": "predicted", "notRecommended": "not-recommended" } }, "values": { "Human": { "IHCP-species-checked": "testedAndGuaranteed", "IHCP-species-dilution-info": "1/50 - 1/200", "IHCP-species-notes": "<p></p> Perform heat-mediated antigen retrieval with citrate buffer pH 6 before commencing with IHC staining protocol.", "WB-species-checked": "testedAndGuaranteed", "WB-species-dilution-info": "0.04-0.4 µg/mL", "WB-species-notes": "<p></p>" } } }

Properties and storage information

Form
Liquid
Purification technique
Affinity purification Immunogen
Storage buffer
pH: 7.2 Preservative: 0.02% Sodium azide Constituents: 59% PBS, 40% Glycerol (glycerin, glycerine)
Shipped at conditions
Blue Ice
Appropriate short-term storage conditions
+4°C
Appropriate long-term storage conditions
-20°C
Aliquoting information
Upon delivery aliquot
Storage information
Avoid freeze / thaw cycle

Supplementary information

This supplementary information is collated from multiple sources and compiled automatically.

FERDL3 also known as Feline Epidermal Receptor Like Domain-containing protein 3 is a protein that weighs approximately 45 kilodaltons. This protein localizes at the cell membrane and primarily in tissues such as epidermal cells and renal tissues. FERDL3 possesses enzymatic activity acting as a kinase that adds phosphate groups to specific substrates usually transmitting signals from extracellular stimuli to intracellular pathways. Its expression changes depending on developmental stages and cellular environment conditions.
Biological function summary

The Feline Epidermal Receptor Like Domain-containing protein 3 plays a role in cellular signaling impacting cell growth and differentiation. FERDL3 is part of a signaling receptor complex that involves accessory proteins which modulate its function. The protein's activity influences the cellular response to external growth factors contributing to processes like cell cycle progression and regulation of apoptosis. Its interactions with other protein partners can affect diverse cellular outcomes.

Pathways

FERDL3 integrates into the MAPK/ERK signaling pathway a critical pathway for transmitting signals from the cell surface to the nucleus. This pathway involves kinases including some closely related proteins like MEK and ERK which together orchestrate cellular proliferation and survival. FERDL3 also plays a role in the PI3K/AKT pathway impacting cellular metabolism and growth through pathways shared by proteins such as PI3K acting as a mediator that enables cross-talk between pathways to adjust cellular responses.

FERDL3 relates to conditions like skin cancer and renal fibrosis. Abnormal expression or mutation of FERDL3 can contribute to uncontrolled cell proliferation and survival facilitating tumorigenesis in skin cells. In renal tissues the altered function of FERDL3 associates with excessive extracellular matrix deposition contributing to fibrosis. Research shows potential interactions with proteins like EGFR (Epidermal Growth Factor Receptor) in these disease contexts highlighting its participation in disease development and progression.

Product protocols

For this product, it's our understanding that no specific protocols are required. You can visit:

Target data

Transcription factor that binds to the E-box and functions as inhibitor of transcription. DNA binding requires dimerization with an E protein. Inhibits transcription activation by ASCL1/MASH1 by sequestering E proteins (By similarity).
See full target information FERD3L

Publications (1)

Recent publications for all applications. Explore the full list and refine your search

Translational cancer research 11:519-529 PubMed35402183

2022

CircPTN promotes angiogenesis via the MiR-595/LYRM5 signaling pathway in non-small cell lung cancer.

Applications

Unspecified application

Species

Unspecified reactive species

Shengcong Guo,Zejun Mao,Guodong Zhang,Botao Xu,Xiangfeng He
View all publications

Product promise

We are committed to supporting your work with high-quality reagents, and we're here for you every step of the way. In the unlikely event that one of our products does not perform as expected, you're protected by our Product Promise.
For full details, please see our Terms & Conditions

Please note: All products are 'FOR RESEARCH USE ONLY. NOT FOR USE IN DIAGNOSTIC OR THERAPEUTIC PROCEDURES'.

For licensing inquiries, please contact partnerships@abcam.com