JavaScript is disabled in your browser. Please enable JavaScript to view this website.
AB204310

Anti-Ferredoxin Reductase antibody

Be the first to review this product! Submit a review

|

(6 Publications)

Rabbit Polyclonal Ferredoxin Reductase antibody. Suitable for IHC-P, ICC, WB and reacts with Human samples. Cited in 6 publications. Immunogen corresponding to Recombinant Fragment Protein within Human FDXR aa 1-150.

View Alternative Names

ADXR, FDXR, AR, Adrenodoxin reductase, Ferredoxin--NADP(+) reductase, Ferredoxin reductase

6 Images
Immunohistochemistry (Formalin/PFA-fixed paraffin-embedded sections) - Anti-Ferredoxin Reductase antibody (AB204310)
  • IHC-P

Supplier Data

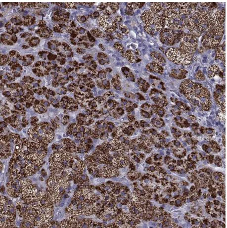
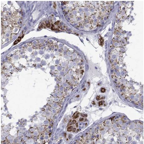
Immunohistochemistry (Formalin/PFA-fixed paraffin-embedded sections) - Anti-Ferredoxin Reductase antibody (AB204310)

Paraffin embedded human testis tissue stained for Ferredoxin Reductase using ab204310 at 1/500 dilution in immunohistochemical analysis.

Heat mediated antigen retrieval was performed with citrate buffer pH 6 before the IHC staining protocol.

Immunohistochemistry (Formalin/PFA-fixed paraffin-embedded sections) - Anti-Ferredoxin Reductase antibody (AB204310)
  • IHC-P

Supplier Data

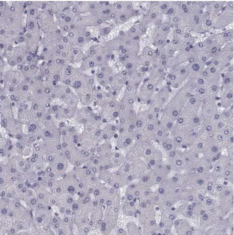
Immunohistochemistry (Formalin/PFA-fixed paraffin-embedded sections) - Anti-Ferredoxin Reductase antibody (AB204310)

Paraffin embedded human liver tissue stained for Ferredoxin Reductase using ab204310 at 1/500 dilution in immunohistochemical analysis. Shows no positivity in hepatocytes cells as expected.

Heat mediated antigen retrieval was performed with citrate buffer pH 6 before the IHC staining protocol.

Immunocytochemistry - Anti-Ferredoxin Reductase antibody (AB204310)
  • ICC

Supplier Data

Immunocytochemistry - Anti-Ferredoxin Reductase antibody (AB204310)

Immunocytochemistry analysis of U-2 OS cells (PFA-fixed/Triton X-100 permeabilized) labeling Ferredoxin Reductase with ab204310 at 2 μg/mL.

Immunohistochemistry (Formalin/PFA-fixed paraffin-embedded sections) - Anti-Ferredoxin Reductase antibody (AB204310)
  • IHC-P

Supplier Data

Immunohistochemistry (Formalin/PFA-fixed paraffin-embedded sections) - Anti-Ferredoxin Reductase antibody (AB204310)

Paraffin embedded human adrenal gland tissue stained for Ferredoxin Reductase using ab204310 at 1/500 dilution in immunohistochemical analysis.

Heat mediated antigen retrieval was performed with citrate buffer pH 6 before the IHC staining protocol.

Western blot - Anti-Ferredoxin Reductase antibody (AB204310)
  • WB

Supplier Data

Western blot - Anti-Ferredoxin Reductase antibody (AB204310)

All lanes:

Western blot - Anti-Ferredoxin Reductase antibody (ab204310) at 0.4 µg/mL

Lane 1:

RT4 (human urinary bladder cancer cell line) cell lysate

Lane 2:

U-251 MG (formally U-373 MG) (human brain glioma cell line) cell lysate

Predicted band size: 54 kDa

false

Western blot - Anti-Ferredoxin Reductase antibody (AB204310)
  • WB

Supplier Data

Western blot - Anti-Ferredoxin Reductase antibody (AB204310)

All lanes:

Western blot - Anti-Ferredoxin Reductase antibody (ab204310) at 0.4 µg/mL

Lane 1:

A549 (human lung carcinoma cell line) cell lysate

Lane 2:

U-251 MG (formally U-373 MG) (human brain glioma cell line) cell lysate

Predicted band size: 54 kDa

false

Key facts

Host species

Rabbit

Clonality

Polyclonal

Isotype

IgG

Carrier free

No

Reacts with

Human

Applications

WB, IHC-P, ICC

applications

Immunogen

Recombinant Fragment Protein within Human FDXR aa 1-150. The exact immunogen used to generate this antibody is proprietary information.

P22570

Reactivity data

{ "title": "Reactivity Data", "filters": { "stats": ["", "Species", "Dilution Info", "Notes"], "tabs": { "all-applications": {"fullname" : "All Applications", "shortname": "All Applications"}, "IHCP" : {"fullname" : "Immunohistochemistry (Formalin/PFA-fixed paraffin-embedded sections)", "shortname":"IHC-P"}, "ICC" : {"fullname" : "Immunocytochemistry", "shortname":"ICC"}, "WB" : {"fullname" : "Western blot", "shortname":"WB"} }, "product-promise": { "all": "all", "testedAndGuaranteed": "tested", "guaranteed": "expected", "predicted": "predicted", "notRecommended": "not-recommended" } }, "values": { "Human": { "IHCP-species-checked": "testedAndGuaranteed", "IHCP-species-dilution-info": "1/200 - 1/500", "IHCP-species-notes": "<p></p> Perform heat-mediated antigen retrieval with citrate buffer pH 6 before commencing with IHC staining protocol.", "ICC-species-checked": "testedAndGuaranteed", "ICC-species-dilution-info": "0.25-2 µg/mL", "ICC-species-notes": "<p></p>", "WB-species-checked": "testedAndGuaranteed", "WB-species-dilution-info": "0.04-0.4 µg/mL", "WB-species-notes": "<p></p>" } } }

Properties and storage information

Form
Liquid
Purification technique
Affinity purification Immunogen
Storage buffer
pH: 7.2 Preservative: 0.02% Sodium azide Constituents: PBS, 40% Glycerol (glycerin, glycerine)
Shipped at conditions
Blue Ice
Appropriate short-term storage duration
1-2 weeks
Appropriate short-term storage conditions
+4°C
Appropriate long-term storage conditions
-20°C
Aliquoting information
Upon delivery aliquot
Storage information
Avoid freeze / thaw cycle

Product protocols

For this product, it's our understanding that no specific protocols are required. You can visit:

Target data

Serves as the first electron transfer protein in all the mitochondrial P450 systems including cholesterol side chain cleavage in all steroidogenic tissues, steroid 11-beta hydroxylation in the adrenal cortex, 25-OH-vitamin D3-24 hydroxylation in the kidney, and sterol C-27 hydroxylation in the liver.
See full target information FDXR

Publications (6)

Recent publications for all applications. Explore the full list and refine your search

Clinical and experimental otorhinolaryngology 17:206-216 PubMed39104018

2024

Novel Variant of FDXR as a Molecular Etiology of Postlingual Post-synaptic Auditory Neuropathy Spectrum Disorder via Mitochondrial Dysfunction: Reiteration of the Correlation between Genotype and Cochlear Implantation Outcomes.

Applications

Unspecified application

Species

Unspecified reactive species

Bong Jik Kim,Yujin Kim,Ju Ang Kim,Jin Hee Han,Min Young Kim,Hee Kyung Yang,Chae-Seo Rhee,Young Cheol Kang,Chun-Hyung Kim,Byung Yoon Choi

Genetics in medicine open 2:100841 PubMed39669623

2023

Clinical study of ferredoxin-reductase-related mitochondriopathy: Genotype-phenotype correlation and proposal of ancestry-based carrier screening in the Mexican population.

Applications

Unspecified application

Species

Unspecified reactive species

Teresa Campbell,Jesse Slone,Hallie Metzger,Wensheng Liu,Stephanie Sacharow,Amy Yang,Mariya Moosajee,Chiara La Morgia,Valerio Carelli,Flavia Palombo,Matthew A Lines,A Micheil Innes,Rebecca J Levy,Derek Neilson,Nicola Longo,Taosheng Huang

Molecular therapy. Methods & clinical development 18:84-97 PubMed32995353

2020

Systemic Delivery of AAV- Mitigates the Phenotypes of Mitochondrial Disorders in Mutant Mice.

Applications

Unspecified application

Species

Unspecified reactive species

Li Yang,Jesse Slone,Weiwei Zou,Luis F Queme,Michael P Jankowski,Fei Yin,Taosheng Huang

Nutrients 11: PubMed31500291

2019

Distinct TP53 Mutation Subtypes Differentially Influence Cellular Iron Metabolism.

Applications

Unspecified application

Species

Unspecified reactive species

Stephen L Clarke,Laurie R Thompson,Eshan Dandekar,Aishwarya Srinivasan,McKale R Montgomery

Human molecular genetics 27:2224 PubMed29554255

2018

Biallelic mutations in the ferredoxin reductase gene cause novel mitochondriopathy with optic atrophy.

Applications

Unspecified application

Species

Unspecified reactive species

Yanyan Peng,Deepali N Shinde,C Alexander Valencia,Jun-Song Mo,Jill Rosenfeld,Megan Truitt Cho,Adam Chamberlin,Zhuo Li,Jie Liu,Baoheng Gui

Human molecular genetics 26:4937-4950 PubMed29040572

2017

Biallelic mutations in the ferredoxin reductase gene cause novel mitochondriopathy with optic atrophy.

Applications

Unspecified application

Species

Unspecified reactive species

Yanyan Peng,Deepali N Shinde,C Alexander Valencia,Jun-Song Mo,Jill Rosenfeld,Megan Truitt Cho,Adam Chamberlin,Zhuo Li,Jie Liu,Baoheng Gui,Rachel Brockhage,Alice Basinger,Brenda Alvarez-Leon,Peter Heydemann,Pilar L Magoulas,Andrea M Lewis,Fernando Scaglia,Solange Gril,Shuk Ching Chong,Matthew Bower,Kristin G Monaghan,Rebecca Willaert,Maria-Renee Plona,Rich Dineen,Francisca Milan,George Hoganson,Zoe Powis,Katherine L Helbig,Jennifer Keller-Ramey,Belinda Harris,Laura C Anderson,Torrian Green,Stacey J Sukoff Rizzo,Julie Kaylor,Jiani Chen,Min-Xin Guan,Elizabeth Sellars,Steven P Sparagana,James B Gibson,Laura G Reinholdt,Sha Tang,Taosheng Huang
View all publications

Product promise

We are committed to supporting your work with high-quality reagents, and we're here for you every step of the way. In the unlikely event that one of our products does not perform as expected, you're protected by our Product Promise.
For full details, please see our Terms & Conditions

Please note: All products are 'FOR RESEARCH USE ONLY. NOT FOR USE IN DIAGNOSTIC OR THERAPEUTIC PROCEDURES'.

For licensing inquiries, please contact partnerships@abcam.com