JavaScript is disabled in your browser. Please enable JavaScript to view this website.
AB287968

Anti-Ferritin antibody [RM1036]

Be the first to review this product! Submit a review

|

(8 Publications)

Rabbit Recombinant Multiclonal Ferritin Heavy Chain antibody. Suitable for Flow Cyt (Intra), WB, IHC-P and reacts with Mouse, Human, Rat samples. Cited in 8 publications.

View Alternative Names

FTH, FTHL6, OK/SW-cl.84, PIG15, FTH1, Ferritin heavy chain, Ferritin H subunit, Cell proliferation-inducing gene 15 protein

7 Images
Immunohistochemistry (Formalin/PFA-fixed paraffin-embedded sections) - Anti-Ferritin antibody [RM1036] (AB287968)
  • IHC-P

Supplier Data

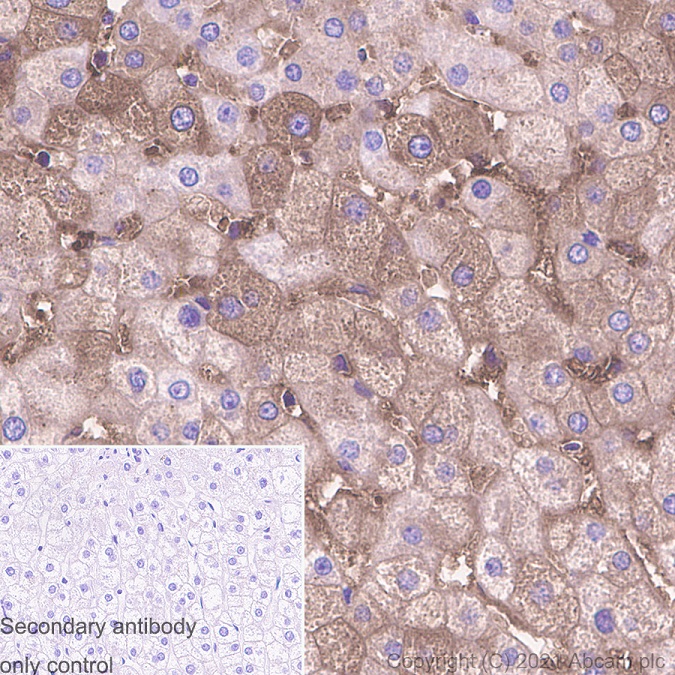
Immunohistochemistry (Formalin/PFA-fixed paraffin-embedded sections) - Anti-Ferritin antibody [RM1036] (AB287968)

Immunohistochemical analysis of paraffin-embedded Human liver tissue labelling FTH1 with ab287968 at 1/100 followed by a ready to use Goat Anti-Rabbit IgG H&L (HRP polymer). Positive staining on the human liver. The section was incubated with ab287968 at 4°C overnight. Counterstained with Hematoxylin.

Secondary antibody only control : Secondary antibody is a ready to use Goat Anti-Rabbit IgG H&L (HRP polymer).

Heat mediated antigen retrieval using ab93684 (Tris/EDTA buffer, pH 9.0)

Flow Cytometry (Intracellular) - Anti-Ferritin antibody [RM1036] (AB287968)
  • Flow Cyt (Intra)

Supplier Data

Flow Cytometry (Intracellular) - Anti-Ferritin antibody [RM1036] (AB287968)

Flow cytometric analysis of 4% paraformaldehyde fixed 90% methanol permeabilized HeLa (Human cervix adenocarcinoma epithelial cell) cells labelling FTH1 with ab287968 at 1/50 dilution (1ug)/ red (Red) compared with a Rabbit monoclonal IgG (ab172730) (Black) isotype control and an unlabelled control (cells without incubation with primary antibody and secondary antibody) (Blue). A Goat Anti-Rabbit IgG (Alexa Fluor® 488, ab150081) at 1/2000 dilution was used as the secondary antibody.

Flow Cytometry (Intracellular) - Anti-Ferritin antibody [RM1036] (AB287968)
  • Flow Cyt (Intra)

Supplier Data

Flow Cytometry (Intracellular) - Anti-Ferritin antibody [RM1036] (AB287968)

Flow cytometric analysis of 4% paraformaldehyde fixed 90% methanol permeabilized RAW 264.7 (Mouse Abelson murine leukemia virus-induced tumor macrophage) cells labelling FTH1 with ab287969 at 1/51 dilution (1ug)/ red (Red) compared with a Rabbit monoclonal IgG (ab172730) (Black) isotype control and an unlabelled control (cells without incubation with primary antibody and secondary antibody) (Blue). A Goat Anti-Rabbit IgG (Alexa Fluor® 488, ab150081) at 1/2001 dilution was used as the secondary antibody.

Immunohistochemistry (Formalin/PFA-fixed paraffin-embedded sections) - Anti-Ferritin antibody [RM1036] (AB287968)
  • IHC-P

Supplier Data

Immunohistochemistry (Formalin/PFA-fixed paraffin-embedded sections) - Anti-Ferritin antibody [RM1036] (AB287968)

Immunohistochemical analysis of paraffin-embedded Mouse liver tissue labelling FTH1 with ab287968 at 1/5000 followed by a ready to use Goat Anti-Rabbit IgG H&L (HRP polymer). Positive staining on the mouse liver. The section was incubated with ab287968 at 4°C overnight. Counterstained with Hematoxylin.

Secondary antibody only control : Secondary antibody is a ready to use Goat Anti-Rabbit IgG H&L (HRP polymer).

Heat mediated antigen retrieval using ab93684 (Tris/EDTA buffer, pH 9.0)

Immunohistochemistry (Formalin/PFA-fixed paraffin-embedded sections) - Anti-Ferritin antibody [RM1036] (AB287968)
  • IHC-P

Supplier Data

Immunohistochemistry (Formalin/PFA-fixed paraffin-embedded sections) - Anti-Ferritin antibody [RM1036] (AB287968)

Immunohistochemical analysis of paraffin-embedded Rat liver tissue labelling FTH1 with ab287968 at 1/5000 followed by a ready to use Goat Anti-Rabbit IgG H&L (HRP polymer). Positive staining on the rat liver. The section was incubated with ab287968 at 4°C overnight. Counterstained with Hematoxylin.

Secondary antibody only control : Secondary antibody is a ready to use Goat Anti-Rabbit IgG H&L (HRP polymer).

Heat mediated antigen retrieval using ab93684 (Tris/EDTA buffer, pH 9.0)

Western blot - Anti-Ferritin antibody [RM1036] (AB287968)
  • WB

Supplier Data

Western blot - Anti-Ferritin antibody [RM1036] (AB287968)

Blocking and diluting buffer and concentration : 5% NFDM/TBST

Exposure time : Lane 1-5 : 3min

RIPA is the lysis buffer routinely used for WB (lanes 2 – 6). Preparation of lysates using the 1% SDS hot lysis method is recommended if bands are difficult to detect in RIPA buffer lysate.

All lanes:

Western blot - Anti-Ferritin antibody [RM1036] (ab287968) at 1/1000 dilution

Lane 1:

SH-SY5Y (Human neuroblastoma epithelial cell) whole cell lysate prepared from 1% SDS Hot lysis method at 20 µg

Lane 2:

SH-SY5Y (Human neuroblastoma epithelial cell) whole cell lysate prepared from RIPA lysis method at 20 µg

Lane 3:

HeLa (Human cervix adenocarcinoma epithelial cell) whole cell lysate at 20 µg

Lane 4:

RAW 264.7 (Mouse Abelson murine leukemia virus-induced tumor macrophage) whole cell lysate at 20 µg

Lane 5:

J774A.1 (Mouse reticulum cell sarcoma monocyte macrophage) whole cell lysate at 20 µg

Secondary

All lanes:

Western blot - Goat Anti-Rabbit IgG H&L (HRP) (<a href='/en-us/products/secondary-antibodies/goat-rabbit-igg-h-l-hrp-ab97051'>ab97051</a>) at 1/100000 dilution

Predicted band size: 21 kDa

Observed band size: 21 kDa

false

Western blot - Anti-Ferritin antibody [RM1036] (AB287968)
  • WB

Supplier Data

Western blot - Anti-Ferritin antibody [RM1036] (AB287968)

Blocking and diluting buffer and concentration : 5% NFDM/TBST

Exposure time : Lane 1-3 : 50s
Lane 4-8 : 3min

All lanes:

Western blot - Anti-Ferritin antibody [RM1036] (ab287968) at 1/1000 dilution

Lane 1:

Human Liver at 20 µg

Lane 2:

Mouse liver at 20 µg

Lane 3:

Rat Liver at 20 µg

Lane 4:

HeLa (Human cervix adenocarcinoma epithelial cell) whole cell lysate at 20 µg

Lane 5:

SH-SY5Y (Human neuroblastoma epithelial cell) whole cell lysate at 20 µg

Lane 6:

Hepa1-6 (Mouse hepatoma epithelial cell) whole cell lysate at 20 µg

Lane 7:

C6 (Rat glial tumor glial cell) whole cell lysate at 20 µg

Lane 8:

PC-12 (Rat adrenal gland pheochromocytoma ) whole cell lysate at 20 µg

Secondary

All lanes:

Western blot - Goat Anti-Rabbit IgG H&L (HRP) (<a href='/en-us/products/secondary-antibodies/goat-rabbit-igg-h-l-hrp-ab97051'>ab97051</a>) at 1/100000 dilution

Predicted band size: 21 kDa

Observed band size: 21 kDa

false

  • Carrier free

    Anti-Ferritin antibody [RM1036] - BSA and Azide free

Key facts

Host species

Rabbit

Clonality

Multiclonal

Clone number

RM1036

Isotype

IgG

Carrier free

No

Reacts with

Rat, Human, Mouse

Applications

WB, IHC-P, Flow Cyt (Intra)

applications

Immunogen

The exact immunogen used to generate this antibody is proprietary information.

Reactivity data

{ "title": "Reactivity Data", "filters": { "stats": ["", "Species", "Dilution Info", "Notes"], "tabs": { "all-applications": {"fullname" : "All Applications", "shortname": "All Applications"}, "IP" : {"fullname" : "Immunoprecipitation", "shortname":"IP"}, "FlowCytIntra" : {"fullname" : "Flow Cytometry (Intracellular)", "shortname":"Flow Cyt (Intra)"}, "WB" : {"fullname" : "Western blot", "shortname":"WB"}, "IHCP" : {"fullname" : "Immunohistochemistry (Formalin/PFA-fixed paraffin-embedded sections)", "shortname":"IHC-P"}, "ICCIF" : {"fullname" : "Immunocytochemistry/ Immunofluorescence", "shortname":"ICC/IF"}, "IHCFr" : {"fullname" : "Immunohistochemistry (Frozen sections)", "shortname":"IHC-Fr"} }, "product-promise": { "all": "all", "testedAndGuaranteed": "tested", "guaranteed": "expected", "predicted": "predicted", "notRecommended": "not-recommended" } }, "values": { "Human": { "IP-species-checked": "notRecommended", "IP-species-dilution-info": "", "IP-species-notes": "<p></p>", "FlowCytIntra-species-checked": "testedAndGuaranteed", "FlowCytIntra-species-dilution-info": "", "FlowCytIntra-species-notes": "<p>unsuitable with Rat.</p>", "WB-species-checked": "testedAndGuaranteed", "WB-species-dilution-info": "", "WB-species-notes": "<p></p>", "IHCP-species-checked": "testedAndGuaranteed", "IHCP-species-dilution-info": "", "IHCP-species-notes": "<p></p>", "ICCIF-species-checked": "notRecommended", "ICCIF-species-dilution-info": "", "ICCIF-species-notes": "<p></p>", "IHCFr-species-checked": "notRecommended", "IHCFr-species-dilution-info": "", "IHCFr-species-notes": "" }, "Mouse": { "IP-species-checked": "notRecommended", "IP-species-dilution-info": "", "IP-species-notes": "<p></p>", "FlowCytIntra-species-checked": "testedAndGuaranteed", "FlowCytIntra-species-dilution-info": "", "FlowCytIntra-species-notes": "<p>unsuitable with Rat.</p>", "WB-species-checked": "testedAndGuaranteed", "WB-species-dilution-info": "", "WB-species-notes": "<p></p>", "IHCP-species-checked": "testedAndGuaranteed", "IHCP-species-dilution-info": "", "IHCP-species-notes": "<p></p>", "ICCIF-species-checked": "notRecommended", "ICCIF-species-dilution-info": "", "ICCIF-species-notes": "<p></p>", "IHCFr-species-checked": "notRecommended", "IHCFr-species-dilution-info": "", "IHCFr-species-notes": "<p></p>" }, "Rat": { "IP-species-checked": "notRecommended", "IP-species-dilution-info": "", "IP-species-notes": "", "FlowCytIntra-species-checked": "notRecommended", "FlowCytIntra-species-dilution-info": "", "FlowCytIntra-species-notes": "<p>unsuitable with Rat.</p>", "WB-species-checked": "testedAndGuaranteed", "WB-species-dilution-info": "", "WB-species-notes": "<p></p>", "IHCP-species-checked": "testedAndGuaranteed", "IHCP-species-dilution-info": "", "IHCP-species-notes": "<p></p>", "ICCIF-species-checked": "notRecommended", "ICCIF-species-dilution-info": "", "ICCIF-species-notes": "", "IHCFr-species-checked": "notRecommended", "IHCFr-species-dilution-info": "", "IHCFr-species-notes": "<p></p>" } } }

Product details

What are recombinant multiclonals?
Recombinant multiclonals are a mixture of recombinant antibodies co-expressed from a library of heavy and light chains. They offer several advantages including:

  • - The sensitivity of polyclonal antibodies by recognising multiple epitopes
  • - High batch-to-batch consistency and reproducibility
  • - Improved sensitivity and specificity
  • - Long-term security of supply
  • - Animal-free batch production

View our range of recombinant multiclonal antibodies.

Patented technology
Our RabMAb® technology is a patented hybridoma-based technology for making rabbit monoclonal antibodies. For details on our patents, please refer to RabMAb® patents.

Properties and storage information

Form
Liquid
Storage buffer
pH: 7.2 - 7.4 Preservative: 0.01% Sodium azide Constituents: PBS, 40% Glycerol (glycerin, glycerine), 0.05% BSA
Shipped at conditions
Blue Ice
Appropriate short-term storage duration
1-2 weeks
Appropriate short-term storage conditions
+4°C
Appropriate long-term storage conditions
-20°C
Aliquoting information
Upon delivery aliquot
Storage information
Avoid freeze / thaw cycle

Product protocols

For this product, it's our understanding that no specific protocols are required. You can visit:

Target data

Stores iron in a soluble, non-toxic, readily available form. Important for iron homeostasis. Has ferroxidase activity (PubMed : 9003196). Iron is taken up in the ferrous form and deposited as ferric hydroxides after oxidation (PubMed : 9003196). Also plays a role in delivery of iron to cells (By similarity). Mediates iron uptake in capsule cells of the developing kidney (By similarity). Delivery to lysosomes is mediated by the cargo receptor NCOA4 for autophagic degradation and release of iron (PubMed : 24695223, PubMed : 26436293).
See full target information FTH1

Publications (8)

Recent publications for all applications. Explore the full list and refine your search

Frontiers in cellular neuroscience 19:1624817 PubMed40842566

2025

Translocator protein deficiency blocks the ferroptosis of malignant peripheral nerve sheath tumors through glutathione peroxidase 4.

Applications

Unspecified application

Species

Unspecified reactive species

Xiaoli Zhang,Zhuonan Pu,Chun Ran,Xingnan Zhang,Chao Guo,Yuxuan Deng,Jinqiu Liu,Yingdan Chen,Jie Feng,Song Liu

Renal failure 47:2523573 PubMed40583332

2025

Hesperetin attenuates ischemia/reperfusion-induced acute kidney injury by regulating ferroptosis in mice.

Applications

Unspecified application

Species

Unspecified reactive species

Xiaoyu Xie,Chen Guan,Ningxin Zhang,Chenyu Li,Zengying Liu,Chengyu Yang,Liting Wang,Yan Xu

European journal of medical research 30:463 PubMed40481609

2025

Endothelial cell iron overload and ferroptosis mediate thrombosis and inflammation through the miR-32-5p/neurofibromin 2 pathway.

Applications

Unspecified application

Species

Unspecified reactive species

Ying Deng,Xueguang Lin,Jun Wei,Bo Chen,Huafang Yan,Bo Wang,Jialong Li,Yuqun Zhao,Bo Yu,Jingdong Tang,Shuai Jiang

Cancer chemotherapy and pharmacology 94:493-505 PubMed39002022

2024

Ferroptosis - a potential feature underlying neratinib-induced colonic epithelial injury.

Applications

Unspecified application

Species

Unspecified reactive species

Triet P M Nguyen,Susan L Woods,Kate R Secombe,Simon Tang,Aurelia S Elz,Scott Ayton,John Finnie,Aadya Nagpal,Normand Pouliot,Joanne M Bowen

Acta biochimica et biophysica Sinica 56:280-290 PubMed38273781

2024

Human umbilical cord mesenchymal stem cells protect against ferroptosis in acute liver failure through the IGF1-hepcidin-FPN1 axis and inhibiting iron loading.

Applications

Unspecified application

Species

Unspecified reactive species

Haiqin Cheng,Yaqian Shi,Xuewei Li,Ning Jin,Mengyao Zhang,Zhizhen Liu,Yuxiang Liang,Jun Xie

Pharmaceutics 15: PubMed37376162

2023

Theranostic Role of Iron Oxide Nanoparticle for Treating Renal Anemia: Evidence of Efficacy and Significance by MRI, Histology and Biomarkers.

Applications

Unspecified application

Species

Unspecified reactive species

Jong-Kai Hsiao,Chih-Lung Chen,Wen-Yuan Hsieh,Ko-Lin Kuo

Molecular & cellular proteomics : MCP 22:100523 PubMed36870567

2023

Cerebrospinal Fluid Protein Markers Indicate Neuro-Damage in SARS-CoV-2-Infected Nonhuman Primates.

Applications

Unspecified application

Species

Unspecified reactive species

Sudipa Maity,Meredith G Mayer,Qingbo Shu,Hellmers Linh,Duran Bao,Robert V Blair,Yanlin He,Christopher J Lyon,Tony Y Hu,Tracy Fischer,Jia Fan

International journal of biological sciences 19:1063-1079 PubMed36923926

2023

Polyphyllin B Suppresses Gastric Tumor Growth by Modulating Iron Metabolism and Inducing Ferroptosis.

Applications

Unspecified application

Species

Unspecified reactive species

Can Hu,Dan Zu,Jingli Xu,Hangdong Xu,Li Yuan,Jiahui Chen,Qin Wei,Yanqiang Zhang,Jing Han,Tao Lu,Jinyun Dong,Jiang-Jiang Qin,Zhiyuan Xu,Xiangdong Cheng
View all publications

Product promise

We are committed to supporting your work with high-quality reagents, and we're here for you every step of the way. In the unlikely event that one of our products does not perform as expected, you're protected by our Product Promise.
For full details, please see our Terms & Conditions

Please note: All products are 'FOR RESEARCH USE ONLY. NOT FOR USE IN DIAGNOSTIC OR THERAPEUTIC PROCEDURES'.

For licensing inquiries, please contact partnerships@abcam.com