JavaScript is disabled in your browser. Please enable JavaScript to view this website.
AB287969

Anti-Ferritin antibody [RM1036] - BSA and Azide free

Be the first to review this product! Submit a review

|

(0 Publication)

Rabbit Recombinant Multiclonal Ferritin Heavy Chain antibody. Carrier free. Suitable for Flow Cyt (Intra), WB, IHC-P and reacts with Mouse, Human, Rat samples.

View Alternative Names

FTH, FTHL6, OK/SW-cl.84, PIG15, FTH1, Ferritin heavy chain, Ferritin H subunit, Cell proliferation-inducing gene 15 protein

7 Images
Immunohistochemistry (Formalin/PFA-fixed paraffin-embedded sections) - Anti-Ferritin antibody [RM1036] - BSA and Azide free (AB287969)
  • IHC-P

Supplier Data

Immunohistochemistry (Formalin/PFA-fixed paraffin-embedded sections) - Anti-Ferritin antibody [RM1036] - BSA and Azide free (AB287969)

This data was developed using ab287968, the same antibody clone in a different buffer formulation.

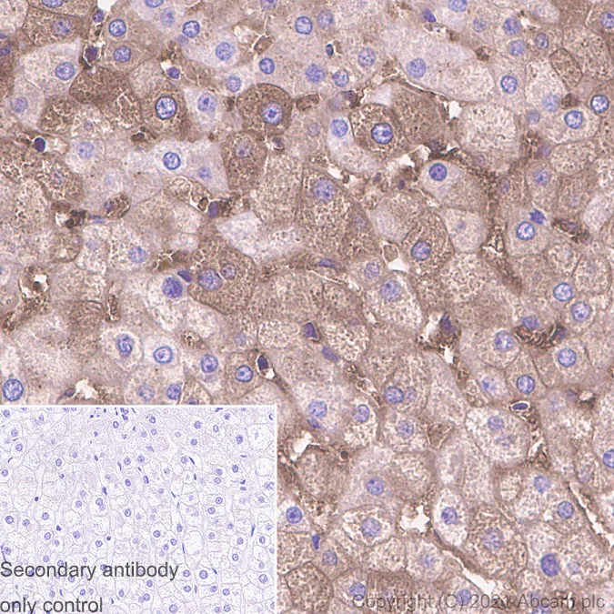
Immunohistochemical analysis of paraffin-embedded Human liver tissue labelling FTH1 with ab287968 at 1/100 followed by a ready to use Goat Anti-Rabbit IgG H&L (HRP polymer). Positive staining on the human liver. The section was incubated with ab287968 at 4°C overnight. Counterstained with Hematoxylin.

Secondary antibody only control : Secondary antibody is a ready to use Goat Anti-Rabbit IgG H&L (HRP polymer).

Heat mediated antigen retrieval using ab93684 (Tris/EDTA buffer, pH 9.0)

Flow Cytometry (Intracellular) - Anti-Ferritin antibody [RM1036] - BSA and Azide free (AB287969)
  • Flow Cyt (Intra)

Supplier Data

Flow Cytometry (Intracellular) - Anti-Ferritin antibody [RM1036] - BSA and Azide free (AB287969)

This data was developed using ab287968, the same antibody clone in a different buffer formulation.

Flow cytometric analysis of 4% paraformaldehyde fixed 90% methanol permeabilized HeLa (Human cervix adenocarcinoma epithelial cell) cells labelling FTH1 with ab287968 at 1/50 dilution (1ug)/ red (Red) compared with a Rabbit monoclonal IgG (ab172730) (Black) isotype control and an unlabelled control (cells without incubation with primary antibody and secondary antibody) (Blue). A Goat Anti-Rabbit IgG (Alexa Fluor® 488, ab150081) at 1/2000 dilution was used as the secondary antibody.

Immunohistochemistry (Formalin/PFA-fixed paraffin-embedded sections) - Anti-Ferritin antibody [RM1036] - BSA and Azide free (AB287969)
  • IHC-P

Supplier Data

Immunohistochemistry (Formalin/PFA-fixed paraffin-embedded sections) - Anti-Ferritin antibody [RM1036] - BSA and Azide free (AB287969)

This data was developed using ab287968, the same antibody clone in a different buffer formulation.

Immunohistochemical analysis of paraffin-embedded Mouse liver tissue labelling FTH1 with ab287968 at 1/5000 followed by a ready to use Goat Anti-Rabbit IgG H&L (HRP polymer). Positive staining on the mouse liver. The section was incubated with ab287968 at 4°C overnight. Counterstained with Hematoxylin.

Secondary antibody only control : Secondary antibody is a ready to use Goat Anti-Rabbit IgG H&L (HRP polymer).

Heat mediated antigen retrieval using ab93684 (Tris/EDTA buffer, pH 9.0)

Immunohistochemistry (Formalin/PFA-fixed paraffin-embedded sections) - Anti-Ferritin antibody [RM1036] - BSA and Azide free (AB287969)
  • IHC-P

Supplier Data

Immunohistochemistry (Formalin/PFA-fixed paraffin-embedded sections) - Anti-Ferritin antibody [RM1036] - BSA and Azide free (AB287969)

This data was developed using ab287968, the same antibody clone in a different buffer formulation.

Immunohistochemical analysis of paraffin-embedded Rat liver tissue labelling FTH1 with ab287968 at 1/5000 followed by a ready to use Goat Anti-Rabbit IgG H&L (HRP polymer). Positive staining on the rat liver. The section was incubated with ab287968 at 4°C overnight. Counterstained with Hematoxylin.

Secondary antibody only control : Secondary antibody is a ready to use Goat Anti-Rabbit IgG H&L (HRP polymer).

Heat mediated antigen retrieval using ab93684 (Tris/EDTA buffer, pH 9.0)

Flow Cytometry (Intracellular) - Anti-Ferritin antibody [RM1036] - BSA and Azide free (AB287969)
  • Flow Cyt (Intra)

Supplier Data

Flow Cytometry (Intracellular) - Anti-Ferritin antibody [RM1036] - BSA and Azide free (AB287969)

This data was developed using ab287968, the same antibody clone in a different buffer formulation.

Flow cytometric analysis of 4% paraformaldehyde fixed 90% methanol permeabilized RAW 264.7 (Mouse Abelson murine leukemia virus-induced tumor macrophage) cells labelling FTH1 with ab287969 at 1/51 dilution (1ug)/ red (Red) compared with a Rabbit monoclonal IgG (ab172730) (Black) isotype control and an unlabelled control (cells without incubation with primary antibody and secondary antibody) (Blue). A Goat Anti-Rabbit IgG (Alexa Fluor® 488, ab150081) at 1/2001 dilution was used as the secondary antibody.

Western blot - Anti-Ferritin antibody [RM1036] - BSA and Azide free (AB287969)
  • WB

Supplier Data

Western blot - Anti-Ferritin antibody [RM1036] - BSA and Azide free (AB287969)

This data was developed using ab287968, the same antibody clone in a different buffer formulation.

Blocking and diluting buffer and concentration : 5% NFDM/TBST

Exposure time : Lane 1-3 : 50s
Lane 4-8 : 3min

All lanes:

Western blot - Anti-Ferritin antibody [RM1036] (<a href='/en-us/products/primary-antibodies/ferritin-antibody-rm1036-ab287968'>ab287968</a>) at 1/1000 dilution

Lane 1:

Human Liver at 20 µg

Lane 2:

Mouse liver at 20 µg

Lane 3:

Rat Liver at 20 µg

Lane 4:

HeLa (Human cervix adenocarcinoma epithelial cell) whole cell lysate at 20 µg

Lane 5:

SH-SY5Y (Human neuroblastoma epithelial cell) whole cell lysate at 20 µg

Lane 6:

Hepa1-6 (Mouse hepatoma epithelial cell) whole cell lysate at 20 µg

Lane 7:

C6 (Rat glial tumor glial cell) whole cell lysate at 20 µg

Lane 8:

PC-12 (Rat adrenal gland pheochromocytoma ) whole cell lysate at 20 µg

Secondary

All lanes:

Western blot - Goat Anti-Rabbit IgG H&L (HRP) (<a href='/en-us/products/secondary-antibodies/goat-rabbit-igg-h-l-hrp-ab97051'>ab97051</a>) at 1/100000 dilution

Predicted band size: 21 kDa

Observed band size: 21 kDa

false

Western blot - Anti-Ferritin antibody [RM1036] - BSA and Azide free (AB287969)
  • WB

Supplier Data

Western blot - Anti-Ferritin antibody [RM1036] - BSA and Azide free (AB287969)

This data was developed using ab287968, the same antibody clone in a different buffer formulation.

Blocking and diluting buffer and concentration : 5% NFDM/TBST

Exposure time : Lane 1-5 : 3min

RIPA is the lysis buffer routinely used for WB (lanes 2 – 6). Preparation of lysates using the 1% SDS hot lysis method is recommended if bands are difficult to detect in RIPA buffer lysate.

All lanes:

Western blot - Anti-Ferritin antibody [RM1036] (<a href='/en-us/products/primary-antibodies/ferritin-antibody-rm1036-ab287968'>ab287968</a>) at 1/1000 dilution

Lane 1:

SH-SY5Y (Human neuroblastoma epithelial cell) whole cell lysate prepared from 1% SDS Hot lysis method at 20 µg

Lane 2:

SH-SY5Y (Human neuroblastoma epithelial cell) whole cell lysate prepared from RIPA lysis method at 20 µg

Lane 3:

HeLa (Human cervix adenocarcinoma epithelial cell) whole cell lysate at 20 µg

Lane 4:

RAW 264.7 (Mouse Abelson murine leukemia virus-induced tumor macrophage) whole cell lysate at 20 µg

Lane 5:

J774A.1 (Mouse reticulum cell sarcoma monocyte macrophage) whole cell lysate at 20 µg

Secondary

All lanes:

Western blot - Goat Anti-Rabbit IgG H&L (HRP) (<a href='/en-us/products/secondary-antibodies/goat-rabbit-igg-h-l-hrp-ab97051'>ab97051</a>) at 1/100000 dilution

Predicted band size: 21 kDa

Observed band size: 21 kDa

false

Key facts

Host species

Rabbit

Clonality

Multiclonal

Clone number

RM1036

Isotype

IgG

Carrier free

Yes

Reacts with

Rat, Human, Mouse

Applications

WB, IHC-P, Flow Cyt (Intra)

applications

Immunogen

The exact immunogen used to generate this antibody is proprietary information.

Reactivity data

{ "title": "Reactivity Data", "filters": { "stats": ["", "Species", "Dilution Info", "Notes"], "tabs": { "all-applications": {"fullname" : "All Applications", "shortname": "All Applications"}, "IP" : {"fullname" : "Immunoprecipitation", "shortname":"IP"}, "FlowCytIntra" : {"fullname" : "Flow Cytometry (Intracellular)", "shortname":"Flow Cyt (Intra)"}, "WB" : {"fullname" : "Western blot", "shortname":"WB"}, "IHCP" : {"fullname" : "Immunohistochemistry (Formalin/PFA-fixed paraffin-embedded sections)", "shortname":"IHC-P"}, "ICCIF" : {"fullname" : "Immunocytochemistry/ Immunofluorescence", "shortname":"ICC/IF"}, "IHCFr" : {"fullname" : "Immunohistochemistry (Frozen sections)", "shortname":"IHC-Fr"} }, "product-promise": { "all": "all", "testedAndGuaranteed": "tested", "guaranteed": "expected", "predicted": "predicted", "notRecommended": "not-recommended" } }, "values": { "Human": { "IP-species-checked": "notRecommended", "IP-species-dilution-info": "", "IP-species-notes": "<p></p>", "FlowCytIntra-species-checked": "testedAndGuaranteed", "FlowCytIntra-species-dilution-info": "", "FlowCytIntra-species-notes": "<p>Unsuitable with rat.</p>", "WB-species-checked": "testedAndGuaranteed", "WB-species-dilution-info": "", "WB-species-notes": "<p></p>", "IHCP-species-checked": "testedAndGuaranteed", "IHCP-species-dilution-info": "", "IHCP-species-notes": "<p></p>", "ICCIF-species-checked": "notRecommended", "ICCIF-species-dilution-info": "", "ICCIF-species-notes": "<p></p>", "IHCFr-species-checked": "notRecommended", "IHCFr-species-dilution-info": "", "IHCFr-species-notes": "" }, "Mouse": { "IP-species-checked": "notRecommended", "IP-species-dilution-info": "", "IP-species-notes": "<p></p>", "FlowCytIntra-species-checked": "testedAndGuaranteed", "FlowCytIntra-species-dilution-info": "", "FlowCytIntra-species-notes": "<p>Unsuitable with rat.</p>", "WB-species-checked": "testedAndGuaranteed", "WB-species-dilution-info": "", "WB-species-notes": "<p></p>", "IHCP-species-checked": "testedAndGuaranteed", "IHCP-species-dilution-info": "", "IHCP-species-notes": "<p></p>", "ICCIF-species-checked": "notRecommended", "ICCIF-species-dilution-info": "", "ICCIF-species-notes": "<p></p>", "IHCFr-species-checked": "notRecommended", "IHCFr-species-dilution-info": "", "IHCFr-species-notes": "<p></p>" }, "Rat": { "IP-species-checked": "notRecommended", "IP-species-dilution-info": "", "IP-species-notes": "", "FlowCytIntra-species-checked": "notRecommended", "FlowCytIntra-species-dilution-info": "", "FlowCytIntra-species-notes": "<p>Unsuitable with rat.</p>", "WB-species-checked": "testedAndGuaranteed", "WB-species-dilution-info": "", "WB-species-notes": "<p></p>", "IHCP-species-checked": "testedAndGuaranteed", "IHCP-species-dilution-info": "", "IHCP-species-notes": "<p></p>", "ICCIF-species-checked": "notRecommended", "ICCIF-species-dilution-info": "", "ICCIF-species-notes": "", "IHCFr-species-checked": "notRecommended", "IHCFr-species-dilution-info": "", "IHCFr-species-notes": "<p></p>" } } }

Product details

ab287969 is the carrier free version of ab287968.

What are recombinant multiclonals?
Recombinant multiclonals are a mixture of recombinant antibodies co-expressed from a library of heavy and light chains. They offer several advantages including:

  • - The sensitivity of polyclonal antibodies by recognising multiple epitopes
  • - High batch-to-batch consistency and reproducibility
  • - Improved sensitivity and specificity
  • - Long-term security of supply
  • - Animal-free batch production

View our range of recombinant multiclonal antibodies.

Patented technology
Our RabMAb® technology is a patented hybridoma-based technology for making rabbit monoclonal antibodies. For details on our patents, please refer to RabMAb® patents.

Conjugation ready
Our carrier-free antibodies are typically supplied in a PBS-only formulation, purified and free of BSA, sodium azide and glycerol. This conjugation-ready format is designed for use with fluorochromes, metal isotopes, oligonucleotides, and enzymes, which makes them ideal for antibody labelling, functional and cell-based assays, flow-based assays (e.g. mass cytometry) and Multiplex Imaging applications.

Use our conjugation kits for antibody conjugates that are ready-to-use in as little as 20 minutes with 1 minute hands-on-time and 100% antibody recovery: available for fluorescent dyes, HRP, biotin and gold.

Compatibility
This product is compatible with the Maxpar® Antibody Labeling Kit from Fluidigm, without the need for antibody preparation. Maxpar® is a trademark of Fluidigm Canada Inc.

Properties and storage information

Form
Liquid
Storage buffer
pH: 7.2 - 7.4 Constituents: PBS
Shipped at conditions
Blue Ice
Appropriate short-term storage conditions
+4°C
Appropriate long-term storage conditions
+4°C

Product protocols

For this product, it's our understanding that no specific protocols are required. You can visit:

Target data

Stores iron in a soluble, non-toxic, readily available form. Important for iron homeostasis. Has ferroxidase activity (PubMed : 9003196). Iron is taken up in the ferrous form and deposited as ferric hydroxides after oxidation (PubMed : 9003196). Also plays a role in delivery of iron to cells (By similarity). Mediates iron uptake in capsule cells of the developing kidney (By similarity). Delivery to lysosomes is mediated by the cargo receptor NCOA4 for autophagic degradation and release of iron (PubMed : 24695223, PubMed : 26436293).
See full target information FTH1

Product promise

We are committed to supporting your work with high-quality reagents, and we're here for you every step of the way. In the unlikely event that one of our products does not perform as expected, you're protected by our Product Promise.
For full details, please see our Terms & Conditions

Please note: All products are 'FOR RESEARCH USE ONLY. NOT FOR USE IN DIAGNOSTIC OR THERAPEUTIC PROCEDURES'.

For licensing inquiries, please contact partnerships@abcam.com