JavaScript is disabled in your browser. Please enable JavaScript to view this website.
AB231253

Anti-Ferritin Heavy Chain antibody

Be the first to review this product! Submit a review

|

(6 Publications)

Rabbit Polyclonal Ferritin Heavy Chain antibody. Suitable for WB, IHC-P and reacts with Pig, Human samples. Cited in 6 publications. Immunogen corresponding to Recombinant Full Length Protein corresponding to Pig FTH1.

View Alternative Names

FTH, FTHL6, OK/SW-cl.84, PIG15, FTH1, Ferritin heavy chain, Ferritin H subunit, Cell proliferation-inducing gene 15 protein

7 Images
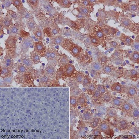
Immunohistochemistry (Formalin/PFA-fixed paraffin-embedded sections) - Anti-Ferritin Heavy Chain antibody (AB231253)
  • IHC-P

Supplier Data

Immunohistochemistry (Formalin/PFA-fixed paraffin-embedded sections) - Anti-Ferritin Heavy Chain antibody (AB231253)

Paraffin-embedded pig liver tissue stained for Ferritin Heavy Chain with ab231253 at 20 μg/ml in immunohistochemical analysis. DAB staining.

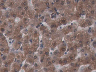
Immunohistochemistry (Formalin/PFA-fixed paraffin-embedded sections) - Anti-Ferritin Heavy Chain antibody (AB231253)
  • IHC-P

Supplier Data

Immunohistochemistry (Formalin/PFA-fixed paraffin-embedded sections) - Anti-Ferritin Heavy Chain antibody (AB231253)

Paraffin-embedded pig kidney tissue stained for Ferritin Heavy Chain with ab231253 at 20 μg/ml in immunohistochemical analysis. DAB staining.

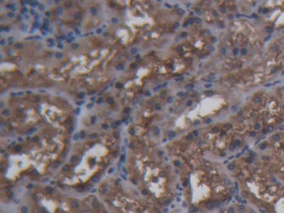
Immunohistochemistry (Formalin/PFA-fixed paraffin-embedded sections) - Anti-Ferritin Heavy Chain antibody (AB231253)
  • IHC-P

Unknown

Immunohistochemistry (Formalin/PFA-fixed paraffin-embedded sections) - Anti-Ferritin Heavy Chain antibody (AB231253)

Paraffin-embedded pig spleen tissue stained for Ferritin Heavy Chain with ab231253 at 20 μg/ml in immunohistochemical analysis. DAB staining.

Western blot - Anti-Ferritin Heavy Chain antibody (AB231253)
  • WB

Supplier Data

Western blot - Anti-Ferritin Heavy Chain antibody (AB231253)

All lanes:

Western blot - Anti-Ferritin Heavy Chain antibody (ab231253) at 2 µg/mL

All lanes:

Pig cerebrum lysate

Predicted band size: 20 kDa,21 kDa,25 kDa,26 kDa,28 kDa,29 kDa,31 kDa,38 kDa

false

Western blot - Anti-Ferritin Heavy Chain antibody (AB231253)
  • WB

Supplier Data

Western blot - Anti-Ferritin Heavy Chain antibody (AB231253)

All lanes:

Western blot - Anti-Ferritin Heavy Chain antibody (ab231253) at 2 µg/mL

All lanes:

Pig liver lysate

Predicted band size: 21 kDa,23 kDa,26 kDa,45 kDa,78 kDa

false

Western blot - Anti-Ferritin Heavy Chain antibody (AB231253)
  • WB

Supplier Data

Western blot - Anti-Ferritin Heavy Chain antibody (AB231253)

All lanes:

Western blot - Anti-Ferritin Heavy Chain antibody (ab231253) at 2 µg/mL

All lanes:

U-87 MG (human glioblastoma-astrocytoma epithelial cell line) cell lysate

Predicted band size: 21 kDa

false

Western blot - Anti-Ferritin Heavy Chain antibody (AB231253)
  • WB

Supplier Data

Western blot - Anti-Ferritin Heavy Chain antibody (AB231253)

All lanes:

Western blot - Anti-Ferritin Heavy Chain antibody (ab231253) at 2 µg/mL

All lanes:

Recombinant pig Ferritin Heavy Chain protein

Predicted band size: 21 kDa

false

Key facts

Host species

Rabbit

Clonality

Polyclonal

Isotype

IgG

Carrier free

No

Reacts with

Human, Pig

Applications

WB, IHC-P

applications

Immunogen

Recombinant Full Length Protein corresponding to Pig FTH1.

P19130

Reactivity data

{ "title": "Reactivity Data", "filters": { "stats": ["", "Species", "Dilution Info", "Notes"], "tabs": { "all-applications": {"fullname" : "All Applications", "shortname": "All Applications"}, "WB" : {"fullname" : "Western blot", "shortname":"WB"}, "IHCP" : {"fullname" : "Immunohistochemistry (Formalin/PFA-fixed paraffin-embedded sections)", "shortname":"IHC-P"} }, "product-promise": { "all": "all", "testedAndGuaranteed": "tested", "guaranteed": "expected", "predicted": "predicted", "notRecommended": "not-recommended" } }, "values": { "Human": { "WB-species-checked": "testedAndGuaranteed", "WB-species-dilution-info": "0.2-2 µg/mL", "WB-species-notes": "<p></p>", "IHCP-species-checked": "guaranteed", "IHCP-species-dilution-info": "", "IHCP-species-notes": "" }, "Pig": { "WB-species-checked": "testedAndGuaranteed", "WB-species-dilution-info": "0.2-2 µg/mL", "WB-species-notes": "<p></p>", "IHCP-species-checked": "testedAndGuaranteed", "IHCP-species-dilution-info": "5-20 µg/mL", "IHCP-species-notes": "<p></p>" } } }

Properties and storage information

Form
Liquid
Purification technique
Affinity purification Immunogen
Purification notes
ab231253 was purified by antigen-specific affinity chromatography followed by Protein A affinity chromatography.
Storage buffer
pH: 7.4 Preservative: 0.011% Proclin 300 Constituents: PBS, 55.77% Glycerol (glycerin, glycerine)
Shipped at conditions
Blue Ice
Appropriate short-term storage duration
1-2 weeks
Appropriate short-term storage conditions
+4°C
Appropriate long-term storage conditions
-20°C
Aliquoting information
Upon delivery aliquot
Storage information
Avoid freeze / thaw cycle

Product protocols

For this product, it's our understanding that no specific protocols are required. You can visit:

Target data

Stores iron in a soluble, non-toxic, readily available form. Important for iron homeostasis. Has ferroxidase activity (PubMed : 9003196). Iron is taken up in the ferrous form and deposited as ferric hydroxides after oxidation (PubMed : 9003196). Also plays a role in delivery of iron to cells (By similarity). Mediates iron uptake in capsule cells of the developing kidney (By similarity). Delivery to lysosomes is mediated by the cargo receptor NCOA4 for autophagic degradation and release of iron (PubMed : 24695223, PubMed : 26436293).
See full target information FTH1

Publications (6)

Recent publications for all applications. Explore the full list and refine your search

Cell death discovery 11:303 PubMed40610429

2025

Transcription factor TCF3 promotes bladder cancer development via TMBIM6-Ca-dependent ferroptosis.

Applications

Unspecified application

Species

Unspecified reactive species

Wei-Feng Yang,Wei-Ming Guo,Qing-Tian Luo,Jingfen Lu,Zhou-Ke Tan,Yuan-Chun Ye,Gang Fan

Antioxidants (Basel, Switzerland) 12: PubMed36978895

2023

Role of Cystathionine β-Synthase and 3-Mercaptopyruvate Sulfurtransferase in the Regulation of Proliferation, Migration, and Bioenergetics of Murine Breast Cancer Cells.

Applications

Unspecified application

Species

Unspecified reactive species

Sidneia Sousa Santos,Larissa de Oliveira Cavalcanti Peres Rodrigues,Vanessa Martins,Maria Petrosino,Karim Zuhra,Kelly Ascenção,Abhishek Anand,Reham Mahmoud Abdel-Kader,Mohamed Z Gad,Carole Bourquin,Csaba Szabo

Microbiology spectrum 11:e0190622 PubMed36625575

2023

Characterization of Gut Microbiota Compositions along the Intestinal Tract in Double Knockout Piglets and Their Potential Roles in Iron Absorption.

Applications

Unspecified application

Species

Unspecified reactive species

Xiu-Ling Zhang,Yan-Rong Zhou,Song-Song Xu,Si Xu,Yu-Jian Xiong,Kui Xu,Chang-Jiang Xu,Jing-Jing Che,Lei Huang,Zhi-Guo Liu,Bing-Yuan Wang,Yu-Lian Mu,Shao-Bo Xiao,Kui Li

Nutrients 14: PubMed35956279

2022

Iron Deficiency and Overload Modulate the Inflammatory Responses and Metabolism of Alveolar Macrophages.

Applications

Unspecified application

Species

Unspecified reactive species

Vivian Perng,Shya E Navazesh,Jungjae Park,Joseph R Arballo,Peng Ji

Cell death & disease 12:220 PubMed33637706

2021

Sunitinib treatment promotes metastasis of drug-resistant renal cell carcinoma via TFE3 signaling pathway.

Applications

Unspecified application

Species

Unspecified reactive species

Luchao Li,Shuo Zhao,Zhengfang Liu,Nianzhao Zhang,Shuo Pang,Jikai Liu,Cheng Liu,Yidong Fan

The Journal of nutrition 149:398-405 PubMed30624730

2019

Iron Oversupplementation Causes Hippocampal Iron Overloading and Impairs Social Novelty Recognition in Nursing Piglets.

Applications

Unspecified application

Species

Unspecified reactive species

Peng Ji,Bo Lönnerdal,Kwangwook Kim,Cynthia N Jinno
View all publications

Product promise

We are committed to supporting your work with high-quality reagents, and we're here for you every step of the way. In the unlikely event that one of our products does not perform as expected, you're protected by our Product Promise.
For full details, please see our Terms & Conditions

Please note: All products are 'FOR RESEARCH USE ONLY. NOT FOR USE IN DIAGNOSTIC OR THERAPEUTIC PROCEDURES'.

For licensing inquiries, please contact partnerships@abcam.com