JavaScript is disabled in your browser. Please enable JavaScript to view this website.
AB240277

Anti-Ferritin Heavy Chain antibody [EPR18878] - BSA and Azide free

Be the first to review this product! Submit a review

|

(2 Publications)

Rabbit Recombinant Monoclonal Ferritin Heavy Chain antibody. Carrier free. Suitable for WB, IHC-P and reacts with Mouse, Rat samples. Cited in 2 publications.

View Alternative Names

Fth, Fth1, Ferritin heavy chain, Ferritin H subunit

3 Images
Immunohistochemistry (Formalin/PFA-fixed paraffin-embedded sections) - Anti-Ferritin Heavy Chain antibody [EPR18878] - BSA and Azide free (AB240277)
  • IHC-P

Supplier Data

Immunohistochemistry (Formalin/PFA-fixed paraffin-embedded sections) - Anti-Ferritin Heavy Chain antibody [EPR18878] - BSA and Azide free (AB240277)

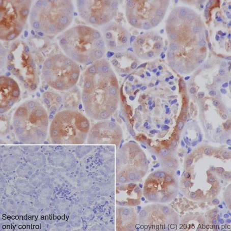
Immunohistochemical analysis of paraffin-embedded Mouse kidney tissue labeling Ferritin Heavy Chain with ab183781 at 1/400 dilution, followed by Goat Anti-Rabbit IgG H&L (HRP) (ab97051) at 1/500 dilution. Cytoplasm staining on the mouse kidney is observed. Counter stained with Hematoxylin.

Secondary antibody only control : Used PBS instead of primary antibody, secondary antibody is Goat Anti-Rabbit IgG H&L (HRP) (ab97051) at 1/500 dilution.

This data was developed using the same antibody clone in a different buffer formulation containing PBS, BSA, glycerol, and sodium azide (ab183781).

Perform heat mediated antigen retrieval with Tris/EDTA buffer pH 9.0 before commencing with IHC staining protocol.

Immunohistochemistry (Formalin/PFA-fixed paraffin-embedded sections) - Anti-Ferritin Heavy Chain antibody [EPR18878] - BSA and Azide free (AB240277)
  • IHC-P

Supplier Data

Immunohistochemistry (Formalin/PFA-fixed paraffin-embedded sections) - Anti-Ferritin Heavy Chain antibody [EPR18878] - BSA and Azide free (AB240277)

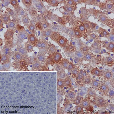
Immunohistochemical analysis of paraffin-embedded Mouse liver tissue labeling Ferritin Heavy Chain with ab183781 at 1/400 dilution, followed by Goat Anti-Rabbit IgG H&L (HRP) (ab97051) at 1/500 dilution. Cytoplasm staining on hepatic cell of the mouse liver is observed. Counter stained with Hematoxylin.

Secondary antibody only control : Used PBS instead of primary antibody, secondary antibody is Goat Anti-Rabbit IgG H&L (HRP) (ab97051) at 1/500 dilution.

This data was developed using the same antibody clone in a different buffer formulation containing PBS, BSA, glycerol, and sodium azide (ab183781).

Perform heat mediated antigen retrieval with Tris/EDTA buffer pH 9.0 before commencing with IHC staining protocol.

Immunohistochemistry (Formalin/PFA-fixed paraffin-embedded sections) - Anti-Ferritin Heavy Chain antibody [EPR18878] - BSA and Azide free (AB240277)
  • IHC-P

Supplier Data

Immunohistochemistry (Formalin/PFA-fixed paraffin-embedded sections) - Anti-Ferritin Heavy Chain antibody [EPR18878] - BSA and Azide free (AB240277)

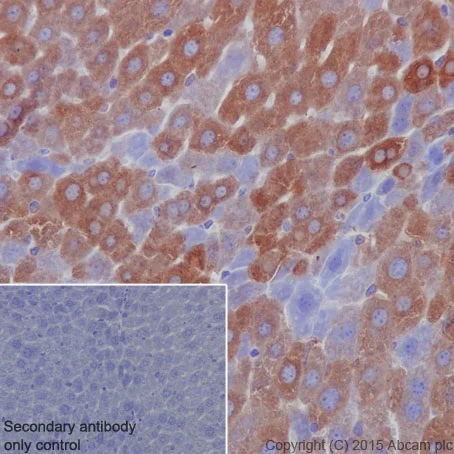
Immunohistochemical analysis of paraffin-embedded Rat liver tissue labeling Ferritin Heavy Chain with ab183781 at 1/400 dilution, followed by Goat Anti-Rabbit IgG H&L (HRP) (ab97051) at 1/500 dilution. Cytoplasm staining on hepatic cell of the rat liver is observed. Counter stained with Hematoxylin.

Secondary antibody only control : Used PBS instead of primary antibody, secondary antibody is Goat Anti-Rabbit IgG H&L (HRP) (ab97051) at 1/500 dilution.

This data was developed using the same antibody clone in a different buffer formulation containing PBS, BSA, glycerol, and sodium azide (ab183781).

Perform heat mediated antigen retrieval with Tris/EDTA buffer pH 9.0 before commencing with IHC staining protocol.

  • Unconjugated

    Anti-Ferritin Heavy Chain antibody [EPR18878]

  • HRP

    HRP Anti-Ferritin Heavy Chain antibody [EPR18878]

Key facts

Host species

Rabbit

Clonality

Monoclonal

Clone number

EPR18878

Isotype

IgG

Carrier free

Yes

Reacts with

Mouse, Rat

Applications

IHC-P, WB

applications

Immunogen

The exact immunogen used to generate this antibody is proprietary information.

Reactivity data

{ "title": "Reactivity Data", "filters": { "stats": ["", "Species", "Dilution Info", "Notes"], "tabs": { "all-applications": {"fullname" : "All Applications", "shortname": "All Applications"}, "WB" : {"fullname" : "Western blot", "shortname":"WB"}, "IHCP" : {"fullname" : "Immunohistochemistry (Formalin/PFA-fixed paraffin-embedded sections)", "shortname":"IHC-P"} }, "product-promise": { "all": "all", "testedAndGuaranteed": "tested", "guaranteed": "expected", "predicted": "predicted", "notRecommended": "not-recommended" } }, "values": { "Mouse": { "WB-species-checked": "guaranteed", "WB-species-dilution-info": "", "WB-species-notes": "<p></p>", "IHCP-species-checked": "testedAndGuaranteed", "IHCP-species-dilution-info": "", "IHCP-species-notes": "<p></p>" }, "Rat": { "WB-species-checked": "guaranteed", "WB-species-dilution-info": "", "WB-species-notes": "<p></p>", "IHCP-species-checked": "predicted", "IHCP-species-dilution-info": "", "IHCP-species-notes": "" } } }

Product details

ab240277 is the carrier-free version of ab183781.

Patented technology
Our RabMAb® technology is a patented hybridoma-based technology for making rabbit monoclonal antibodies. For details on our patents, please refer to RabMAb® patents.

What are the advantages of a recombinant monoclonal antibody?
This product is a recombinant monoclonal antibody, which offers several advantages including:

  • - High batch-to-batch consistency and reproducibility
  • - Improved sensitivity and specificity
  • - Long-term security of supply
  • - Animal-free batch production

For more information, read more on recombinant antibodies.

Conjugation ready
Our carrier-free antibodies are typically supplied in a PBS-only formulation, purified and free of BSA, sodium azide and glycerol. This conjugation-ready format is designed for use with fluorochromes, metal isotopes, oligonucleotides, and enzymes, which makes them ideal for antibody labelling, functional and cell-based assays, flow-based assays (e.g. mass cytometry) and Multiplex Imaging applications.

Use our conjugation kits for antibody conjugates that are ready-to-use in as little as 20 minutes with 1 minute hands-on-time and 100% antibody recovery: available for fluorescent dyes, HRP, biotin and gold.

Compatibility
This product is compatible with the Maxpar® Antibody Labeling Kit from Fluidigm, without the need for antibody preparation. Maxpar® is a trademark of Fluidigm Canada Inc.

Properties and storage information

Form
Liquid
Purification technique
Affinity purification Protein A
Storage buffer
pH: 7.2 - 7.4 Constituents: PBS
Shipped at conditions
Blue Ice
Appropriate short-term storage conditions
+4°C
Appropriate long-term storage conditions
+4°C
Storage information
Do Not Freeze

Product protocols

For this product, it's our understanding that no specific protocols are required. You can visit:

Target data

Stores iron in a soluble, non-toxic, readily available form (By similarity). Important for iron homeostasis (By similarity). Has ferroxidase activity (By similarity). Iron is taken up in the ferrous form and deposited as ferric hydroxides after oxidation (By similarity). Also plays a role in delivery of iron to cells (PubMed : 19154717). Mediates iron uptake in capsule cells of the developing kidney (PubMed : 19154717). Degraded to release iron upon autophagy activation by nutrient starvation (PubMed : 25327288).
See full target information Fth1

Publications (2)

Recent publications for all applications. Explore the full list and refine your search

European journal of histochemistry : EJH 65: PubMed34587716

2021

Long noncoding RNA Meg3 mediates ferroptosis induced by oxygen and glucose deprivation combined with hyperglycemia in rat brain microvascular endothelial cells, through modulating the p53/GPX4 axis.

Applications

Unspecified application

Species

Unspecified reactive species

Cheng Chen,Yan Huang,Pingping Xia,Fan Zhang,Longyan Li,E Wang,Qulian Guo,Zhi Ye

Cell death & disease 12:625 PubMed34135312

2021

Clobetasol promotes neuromuscular plasticity in mice after motoneuronal loss via sonic hedgehog signaling, immunomodulation and metabolic rebalancing.

Applications

Unspecified application

Species

Unspecified reactive species

Nunzio Vicario,Federica M Spitale,Daniele Tibullo,Cesarina Giallongo,Angela M Amorini,Grazia Scandura,Graziana Spoto,Miriam W Saab,Simona D'Aprile,Cristiana Alberghina,Renata Mangione,Joshua D Bernstock,Cirino Botta,Massimo Gulisano,Emanuele Buratti,Giampiero Leanza,Robert Zorec,Michele Vecchio,Michelino Di Rosa,Giovanni Li Volti,Giuseppe Lazzarino,Rosalba Parenti,Rosario Gulino
View all publications

Product promise

We are committed to supporting your work with high-quality reagents, and we're here for you every step of the way. In the unlikely event that one of our products does not perform as expected, you're protected by our Product Promise.
For full details, please see our Terms & Conditions

Please note: All products are 'FOR RESEARCH USE ONLY. NOT FOR USE IN DIAGNOSTIC OR THERAPEUTIC PROCEDURES'.

For licensing inquiries, please contact partnerships@abcam.com