JavaScript is disabled in your browser. Please enable JavaScript to view this website.
AB75972

Anti-Ferritin Heavy Chain antibody [EPR3005Y]

5

(3 Reviews)

|

(66 Publications)

Anti-Ferritin Heavy Chain antibody [EPR3005Y] (ab75972) is a rabbit monoclonal antibody detecting Ferritin Heavy Chain in Western Blot, IHC-P. Suitable for Human.

- Biophysical QC for unrivalled batch-batch consistency
- Over 30 publications
- Trusted since 2009

View Alternative Names

FTH, FTHL6, OK/SW-cl.84, PIG15, FTH1, Ferritin heavy chain, Ferritin H subunit, Cell proliferation-inducing gene 15 protein

7 Images
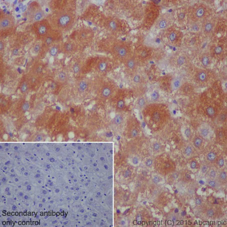
Immunohistochemistry (Formalin/PFA-fixed paraffin-embedded sections) - Anti-Ferritin Heavy Chain antibody [EPR3005Y] (AB75972)
  • IHC-P

Lab

Immunohistochemistry (Formalin/PFA-fixed paraffin-embedded sections) - Anti-Ferritin Heavy Chain antibody [EPR3005Y] (AB75972)

ab75972 staining Ferritin Heavy Chain in Human liver tissue sections by Immunohistochemistry (IHC-P - paraformaldehyde-fixed paraffin-embedded sections). Tissue was fixed with paraformaldehyde and antigen retrieval was by heat mediation in a EDTA buffer. Samples were incubated with primary antibody at a dilution of 1/200. A goat anti-rabbit IgG H&L (HRP) ab97051 was used as the secondary antibody at a dilution of 1/500.

Negative control 1 : PBS in place of primary antibody.

Western blot - Anti-Ferritin Heavy Chain antibody [EPR3005Y] (AB75972)
  • WB

Lab

Western blot - Anti-Ferritin Heavy Chain antibody [EPR3005Y] (AB75972)

All lanes:

Western blot - Anti-Ferritin Heavy Chain antibody [EPR3005Y] (ab75972) at 1/5000 dilution

All lanes:

Human fetal liver at 10 µg

Secondary

All lanes:

Anti-Rabbit IgG (HRP), specific to the non-reduced form of IgG at 1/1000 dilution

Predicted band size: 21 kDa

false

Western blot - Anti-Ferritin Heavy Chain antibody [EPR3005Y] (AB75972)
  • WB

Lab

Western blot - Anti-Ferritin Heavy Chain antibody [EPR3005Y] (AB75972)

All lanes:

Western blot - Anti-Ferritin Heavy Chain antibody [EPR3005Y] (ab75972) at 1/2000 dilution

All lanes:

HeLa (Human epithelial cell line from cervix adenocarcinoma) whole cell lysate at 10 µg

Secondary

All lanes:

Western blot - Goat Anti-Rabbit IgG H&L (HRP) (<a href='/en-us/products/secondary-antibodies/goat-rabbit-igg-h-l-hrp-ab97051'>ab97051</a>) at 1/20000 dilution

Predicted band size: 21 kDa

false

Western blot - Anti-Ferritin Heavy Chain antibody [EPR3005Y] (AB75972)
  • WB

Lab

Western blot - Anti-Ferritin Heavy Chain antibody [EPR3005Y] (AB75972)

Blocking and diluting buffer : 5% NFDM/TBST

ab75972 works better in some lysates prepared from 1% SDS Hot lysis method. For Lysate preparation protocol, please refer to the protocol section of the website and/or here.

All lanes:

Western blot - Anti-Ferritin Heavy Chain antibody [EPR3005Y] (ab75972) at 1/1000 dilution

Lane 1:

MCF-7 (Human breast adenocarcinoma cell line) whole cell lysates prepared from 1% SDS Hot lysis method. at 20 µg

Lane 2:

MCF-7 (Human breast adenocarcinoma cell line) whole cell lysates prepared from RIPA lysis method at 20 µg

Lane 3:

HeLa (Human epithelial cell line from cervix adenocarcinoma) whole cell lysates prepared from 1% SDS Hot lysis method at 20 µg

Lane 4:

HeLa (Human epithelial cell line from cervix adenocarcinoma) whole cell lysates prepared from RIPA lysis method at 20 µg

Secondary

All lanes:

Western blot - Goat Anti-Rabbit IgG H&L (HRP) (<a href='/en-us/products/secondary-antibodies/goat-rabbit-igg-h-l-hrp-ab97051'>ab97051</a>) at 1/20000 dilution

Predicted band size: 21 kDa

Observed band size: 21 kDa

false

Exposure time: 3min

Western blot - Anti-Ferritin Heavy Chain antibody [EPR3005Y] (AB75972)
  • WB

Unknown

Western blot - Anti-Ferritin Heavy Chain antibody [EPR3005Y] (AB75972)

Lanes 1 - 3:

Western blot - Anti-Ferritin Heavy Chain antibody [EPR3005Y] (ab75972) at 1/500 dilution

Lane 4:

Western blot - Anti-Ferritin Heavy Chain antibody [EPR3005Y] (ab75972) at 1/2000 dilution

Lane 5:

Western blot - Anti-Ferritin Heavy Chain antibody [EPR3005Y] (ab75972) at 1/5000 dilution

Lane 1:

Human liver lysate at 10 µg

Lane 2:

SH-SY5Y (Human neuroblastoma cell line from bone marrow) cell lysate at 10 µg

Lanes 3 - 4:

Human brain lysate at 10 µg

Lane 5:

HeLa cell lysate at 10 µg

Secondary

All lanes:

HRP labelled goat anti-rabbit at 1/2000 dilution

Predicted band size: 21 kDa

Observed band size: 21 kDa

false

Western blot - Anti-Ferritin Heavy Chain antibody [EPR3005Y] (AB75972)
  • WB

Lab

Western blot - Anti-Ferritin Heavy Chain antibody [EPR3005Y] (AB75972)

Blocking and diluting buffer and concentration : 5% NFDM/TBST.

All lanes:

Western blot - Anti-Ferritin Heavy Chain antibody [EPR3005Y] (ab75972) at 1/1000 dilution

Lane 1:

293T (Human embryonic kidney epithelial cell) whole cell lysate at 20 µg

Lane 2:

Ferritin Heavy Chain KO 293T (Human embryonic kidney epithelial cell) whole cell lysate at 20 µg

Secondary

All lanes:

Western blot - Goat Anti-Rabbit IgG H&L (HRP) (<a href='/en-us/products/secondary-antibodies/goat-rabbit-igg-h-l-hrp-ab97051'>ab97051</a>) at 1/20000 dilution

Predicted band size: 21 kDa

Observed band size: 21 kDa

false

Exposure time: 60s

Western blot - Anti-Ferritin Heavy Chain antibody [EPR3005Y] (AB75972)
  • WB

Lab

Western blot - Anti-Ferritin Heavy Chain antibody [EPR3005Y] (AB75972)

Blocking and diluting buffer and concentration : 5% NFDM/TBST.

All lanes:

Western blot - Anti-Ferritin Heavy Chain antibody [EPR3005Y] (ab75972) at 1/1000 dilution

Lane 1:

HeLa (Human cervix adenocarcinoma epithelial cell) + si -scramble whole cell lysate, 20 μg

Lane 2:

HeLa (Human cervix adenocarcinoma epithelial cell) + si - Ferritin Heavy Chain whole cell lysate, 20 μg

Secondary

All lanes:

Western blot - Goat Anti-Rabbit IgG H&L (HRP) (<a href='/en-us/products/secondary-antibodies/goat-rabbit-igg-h-l-hrp-ab97051'>ab97051</a>) at 1/20000 dilution

Predicted band size: 21 kDa

Observed band size: 21 kDa

false

Exposure time: 20s

  • Carrier free

    Anti-Ferritin Heavy Chain antibody [EPR3005Y] - BSA and Azide free

  • 578 PE

    PE Anti-Ferritin Heavy Chain antibody [EPR3005Y]

  • 519 Alexa Fluor® 488

    Alexa Fluor® 488 Anti-Ferritin Heavy Chain antibody [EPR3005Y]

  • 565 Alexa Fluor® 555

    Alexa Fluor® 555 Anti-Ferritin Heavy Chain antibody [EPR3005Y]

  • 617 Alexa Fluor® 594

    Alexa Fluor® 594 Anti-Ferritin Heavy Chain antibody [EPR3005Y]

  • 665 Alexa Fluor® 647

    Alexa Fluor® 647 Anti-Ferritin Heavy Chain antibody [EPR3005Y]

  • 660 APC

    APC Anti-Ferritin Heavy Chain antibody [EPR3005Y]

  • 775 Alexa Fluor® 750

    Alexa Fluor® 750 Anti-Ferritin Heavy Chain antibody [EPR3005Y]

Key facts

Host species

Rabbit

Clonality

Monoclonal

Clone number

EPR3005Y

Isotype

IgG

Carrier free

No

Reacts with

Human

Applications

WB, IHC-P

applications

Immunogen

The exact immunogen used to generate this antibody is proprietary information.

Specificity

This antibody recognizes only the Ferritin heavy chain.

Clone EPR3005Y has low sensitivity in WB, for low expression samples please use clone EPR3004Y (product ab75973).

Reactivity data

{ "title": "Reactivity Data", "filters": { "stats": ["", "Species", "Dilution Info", "Notes"], "tabs": { "all-applications": {"fullname" : "All Applications", "shortname": "All Applications"}, "IHCP" : {"fullname" : "Immunohistochemistry (Formalin/PFA-fixed paraffin-embedded sections)", "shortname":"IHC-P"}, "WB" : {"fullname" : "Western blot", "shortname":"WB"}, "ICCIF" : {"fullname" : "Immunocytochemistry/ Immunofluorescence", "shortname":"ICC/IF"} }, "product-promise": { "all": "all", "testedAndGuaranteed": "tested", "guaranteed": "expected", "predicted": "predicted", "notRecommended": "not-recommended" } }, "values": { "Human": { "IHCP-species-checked": "testedAndGuaranteed", "IHCP-species-dilution-info": "1/100 - 1/250", "IHCP-species-notes": "<p></p>", "WB-species-checked": "testedAndGuaranteed", "WB-species-dilution-info": "1/500 - 1/2000", "WB-species-notes": "<p></p>", "ICCIF-species-checked": "notRecommended", "ICCIF-species-dilution-info": "", "ICCIF-species-notes": "<p></p>" } } }

Product details

What is this antibody validated in?
Anti-Ferritin Heavy Chain antibody [EPR3005Y] (ab75972) is a rabbit recombinant monoclonal antibody and is validated for use in Western Blot (WB), Immunohistochemistry (IHC-P) in Human samples.

What is the molecular weight of Ferritin Heavy Chain?
Anti-Ferritin Heavy Chain [EPR3005Y] (ab75972) specifically detects a band for Ferritin Heavy Chain (UniProt: P02794) at a molecular weight of 21kDa.

Trusted by the scientific community
Anti-Ferritin Heavy Chain [EPR3005Y] (ab75972) was first used in a scientific publication in 2009 and has been cited over 30 times in peer-reviewed journals.

Trial sizes available!
Test your antibody or perform pre-screening before committing to a larger quantity. Sold in 10µl. Discover our selection of trial-size antibodies.

Other related products
We have a range of other formats of antibody clone [EPR3005Y] also available for your convenience: ab75972, Carrier free - ab247418, APC - ab319237, PE - ab319385, Alexa Fluor® 488 - ab319519, Alexa Fluor® 647 - ab319632, Alexa Fluor® 594 - ab319736, Alexa Fluor® 555 - ab319878, Alexa Fluor® 750 - ab321705

Species reactivity
Mouse, Rat: We have preliminary internal testing data to indicate this antibody may not react with these species.
Please contact us for more information.

Patented technology
Our RabMAb® technology is a patented hybridoma-based technology for making rabbit monoclonal antibodies. For details on our patents, please refer to RabMAb® patents.

What are the advantages of a recombinant monoclonal antibody?
This product is a recombinant monoclonal antibody, which offers several advantages including:

  • - High batch-to-batch consistency and reproducibility
  • - Improved sensitivity and specificity
  • - Long-term security of supply
  • - Animal-free batch production

For more information, read more on recombinant antibodies.

Properties and storage information

Form
Liquid
Purification technique
Affinity purification Protein A
Storage buffer
pH: 7.2 - 7.4 Preservative: 0.01% Sodium azide Constituents: PBS, 40% Glycerol (glycerin, glycerine), 0.05% BSA
Shipped at conditions
Blue Ice
Appropriate short-term storage duration
1-2 weeks
Appropriate short-term storage conditions
+4°C
Appropriate long-term storage conditions
-20°C
Aliquoting information
Upon delivery aliquot
Storage information
Avoid freeze / thaw cycle

Product protocols

For this product, it's our understanding that no specific protocols are required. You can visit:

Target data

Stores iron in a soluble, non-toxic, readily available form. Important for iron homeostasis. Has ferroxidase activity (PubMed : 9003196). Iron is taken up in the ferrous form and deposited as ferric hydroxides after oxidation (PubMed : 9003196). Also plays a role in delivery of iron to cells (By similarity). Mediates iron uptake in capsule cells of the developing kidney (By similarity). Delivery to lysosomes is mediated by the cargo receptor NCOA4 for autophagic degradation and release of iron (PubMed : 24695223, PubMed : 26436293).
See full target information FTH1

Publications (66)

Recent publications for all applications. Explore the full list and refine your search

Cancer drug resistance (Alhambra, Calif.) 8:40 PubMed40843357

2025

Corosolic acid increases the therapeutic effect of cisplatin on gastric cancer by regulating Gpx4-dependent ferroptosis.

Applications

Unspecified application

Species

Unspecified reactive species

Liubing Lin,Jian Wang,Shun Sheng,Yanting Shen,Xiaolin Liu,Rongzhong Xu,Yong Li

World journal of gastrointestinal oncology 17:106781 PubMed40837761

2025

regulates cell proliferation, migration, apoptosis and ferroptosis in gastric cancer.

Applications

Unspecified application

Species

Unspecified reactive species

Qi Zhang,Zu-Guo Yuan,Kai-Feng Zheng,Ke Chen

Journal of orthopaedic translation 54:8-25 PubMed40688343

2025

Oxidative stress activates YAP/TEAD1/NCOA4 axis to promote ferroptosis of endplate chondrocytes and aggravate intervertebral disc degeneration.

Applications

Unspecified application

Species

Unspecified reactive species

Heran Wang,Xiaodong Liu,Xingzhi Jing,Bofei Zhang,Xin Liu,Xiaoyang Liu,Fei Jia,Cheng Su,Wenchao Wang,Xingang Cui

Cell biology and toxicology 41:52 PubMed40000487

2025

Molecular mechanism of ZC3H13 -mediated ferroptosis in doxorubicin resistance of triple negative breast cancer.

Applications

Unspecified application

Species

Unspecified reactive species

Li Huang,Lei Han,Shuai Liang,Guohui Han

Nature communications 16:509 PubMed39779666

2025

S100P is a ferroptosis suppressor to facilitate hepatocellular carcinoma development by rewiring lipid metabolism.

Applications

Unspecified application

Species

Unspecified reactive species

Min Yang,Weiwei Cui,Xiaoting Lv,Gaozhong Xiong,Caiyu Sun,Haocheng Xuan,Wei Ma,Xiuling Cui,Yeping Cheng,Lihui Han,Bo Chu

Advanced science (Weinheim, Baden-Wurttemberg, Germany) 12:e2411380 PubMed39680749

2024

Mesenchymal Stem Cells Prevent SLC39A14-Dependent Hepatocyte Ferroptosis through Exosomal miR-16-5p in Liver Graft.

Applications

Unspecified application

Species

Unspecified reactive species

Zhizhao Deng,Weiqi Zeng,Yingxin Gao,Zhenyu Yang,Xinling Luo,Xianlong Li,Guoliang Sun,Erfeng Xiong,Fei Huang,Gangjian Luo,Ziqing Hei,Dongdong Yuan

Cancer cell international 24:397 PubMed39639311

2024

Ailanthone disturbs cross-talk between cancer cells and tumor-associated macrophages via HIF1-α/LINC01956/FUS/β-catenin signaling pathway in glioblastoma.

Applications

Unspecified application

Species

Unspecified reactive species

Xubin Deng,Qianbing Zhang,Fa Jin,Fengfei Lu,Guosheng Duan,Luwei Han,Meiling Zhu,Zhengyan Yang,Gong Zhang

Discover oncology 15:636 PubMed39520610

2024

Asparaginase and isoaspartyl peptidase 1 RNA interference suppresses the growth of nasopharyngeal carcinoma cells.

Applications

Unspecified application

Species

Unspecified reactive species

Bo Feng,Yingying Pei,Weiwei Zhang,Qi Zheng,Yan Zhou

Molecular medicine reports 30: PubMed39422033

2024

RON receptor tyrosine kinase regulates glycolysis through MAPK/CREB signaling to affect ferroptosis and chemotherapy sensitivity of thyroid cancer cells.

Applications

Unspecified application

Species

Unspecified reactive species

Xin Jin,Haonan Zhu,Xingyu Chen,Yining Yang,Dongliang Song

The Turkish journal of gastroenterology : the official journal of Turkish Society of Gastroenterology 35:690-698 PubMed39344518

2024

IL6ST: A Novel Therapeutic Target for Managing and Treating Colorectal Cancer Via Ferroptosis.

Applications

Unspecified application

Species

Unspecified reactive species

Kun Zhao,Baoguo He,Kuijin Xue,Bin Cao,Keyu Ren,Yanchun Jin,Shanwei Rong,Liangzhou Wei,Hongyun Wei
View all publications

Product promise

We are committed to supporting your work with high-quality reagents, and we're here for you every step of the way. In the unlikely event that one of our products does not perform as expected, you're protected by our Product Promise.
For full details, please see our Terms & Conditions

Please note: All products are 'FOR RESEARCH USE ONLY. NOT FOR USE IN DIAGNOSTIC OR THERAPEUTIC PROCEDURES'.

For licensing inquiries, please contact partnerships@abcam.com