JavaScript is disabled in your browser. Please enable JavaScript to view this website.
AB201975

Anti-Ferritin Light Chain antibody [8E1E7]

Be the first to review this product! Submit a review

|

(3 Publications)

Mouse Monoclonal Ferritin Light Chain antibody. Suitable for WB, IHC-P, ICC/IF and reacts with Human samples. Cited in 3 publications. Immunogen corresponding to Full Length Protein corresponding to Human FTL.

View Alternative Names

Ferritin light chain, Ferritin L subunit, FTL

6 Images
Immunocytochemistry/ Immunofluorescence - Anti-Ferritin Light Chain antibody [8E1E7] (AB201975)
  • ICC/IF

Supplier Data

Immunocytochemistry/ Immunofluorescence - Anti-Ferritin Light Chain antibody [8E1E7] (AB201975)

Immunofluorescence analysis of A431 cells labeling Ferritin Light Chain using ab201975 at 1/200 dilution. Blue : DRAQ5 fluorescent DNA dye. Red : Actin filaments have been labeled with Alexa Fluor- 555 phalloidin.

Immunohistochemistry (Formalin/PFA-fixed paraffin-embedded sections) - Anti-Ferritin Light Chain antibody [8E1E7] (AB201975)
  • IHC-P

Supplier Data

Immunohistochemistry (Formalin/PFA-fixed paraffin-embedded sections) - Anti-Ferritin Light Chain antibody [8E1E7] (AB201975)

Immunohistochemical analysis of paraffin-embedded Human esophageal tissue labeling Ferritin Light Chain with ab201975 at 1/200 dilution with DAB staining

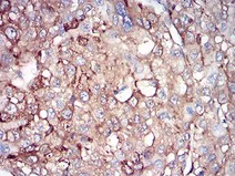
Immunohistochemistry (Formalin/PFA-fixed paraffin-embedded sections) - Anti-Ferritin Light Chain antibody [8E1E7] (AB201975)
  • IHC-P

Supplier Data

Immunohistochemistry (Formalin/PFA-fixed paraffin-embedded sections) - Anti-Ferritin Light Chain antibody [8E1E7] (AB201975)

Immunohistochemical analysis of paraffin-embedded Human liver cancer tissues labeling Ferritin Light Chain using ab201975 at 1/200 dilution with DAB staining.

Western blot - Anti-Ferritin Light Chain antibody [8E1E7] (AB201975)
  • WB

Supplier Data

Western blot - Anti-Ferritin Light Chain antibody [8E1E7] (AB201975)

All lanes:

Western blot - Anti-Ferritin Light Chain antibody [8E1E7] (ab201975) at 1/500 dilution

All lanes:

K562 cell lysate

Predicted band size: 20 kDa

false

Western blot - Anti-Ferritin Light Chain antibody [8E1E7] (AB201975)
  • WB

Supplier Data

Western blot - Anti-Ferritin Light Chain antibody [8E1E7] (AB201975)

All lanes:

Western blot - Anti-Ferritin Light Chain antibody [8E1E7] (ab201975) at 1/500 dilution

Lane 1:

HEK293 cell lysate

Lane 2:

Ferritin Light Chain transfected HEK293 cell lysate

Predicted band size: 20 kDa

false

Western blot - Anti-Ferritin Light Chain antibody [8E1E7] (AB201975)
  • WB

Supplier Data

Western blot - Anti-Ferritin Light Chain antibody [8E1E7] (AB201975)

All lanes:

Western blot - Anti-Ferritin Light Chain antibody [8E1E7] (ab201975) at 1/500 dilution

All lanes:

recombinant human Ferritin Light Chain protein

Predicted band size: 20 kDa

false

Key facts

Host species

Mouse

Clonality

Monoclonal

Clone number

8E1E7

Isotype

IgG1

Carrier free

No

Reacts with

Human

Applications

IHC-P, WB, ICC/IF

applications

Immunogen

Full Length Protein corresponding to Human FTL. The exact immunogen used to generate this antibody is proprietary information.

P02792

Reactivity data

{ "title": "Reactivity Data", "filters": { "stats": ["", "Species", "Dilution Info", "Notes"], "tabs": { "all-applications": {"fullname" : "All Applications", "shortname": "All Applications"}, "WB" : {"fullname" : "Western blot", "shortname":"WB"}, "IHCP" : {"fullname" : "Immunohistochemistry (Formalin/PFA-fixed paraffin-embedded sections)", "shortname":"IHC-P"}, "ICCIF" : {"fullname" : "Immunocytochemistry/ Immunofluorescence", "shortname":"ICC/IF"} }, "product-promise": { "all": "all", "testedAndGuaranteed": "tested", "guaranteed": "expected", "predicted": "predicted", "notRecommended": "not-recommended" } }, "values": { "Human": { "WB-species-checked": "testedAndGuaranteed", "WB-species-dilution-info": "1/500 - 1/2000", "WB-species-notes": "<p></p>", "IHCP-species-checked": "testedAndGuaranteed", "IHCP-species-dilution-info": "1/200 - 1/1000", "IHCP-species-notes": "<p></p>", "ICCIF-species-checked": "testedAndGuaranteed", "ICCIF-species-dilution-info": "1/200 - 1/1000", "ICCIF-species-notes": "<p></p>" } } }

Properties and storage information

Form
Liquid
Purification technique
Affinity purification Protein G
Purification notes
Purified from tissue culture supernatant.
Storage buffer
Preservative: 0.05% Sodium azide Constituents: PBS
Shipped at conditions
Blue Ice
Appropriate short-term storage duration
1-2 weeks
Appropriate short-term storage conditions
+4°C
Appropriate long-term storage conditions
-20°C
Aliquoting information
Upon delivery aliquot
Storage information
Avoid freeze / thaw cycle

Product protocols

For this product, it's our understanding that no specific protocols are required. You can visit:

Target data

Stores iron in a soluble, non-toxic, readily available form. Important for iron homeostasis. Iron is taken up in the ferrous form and deposited as ferric hydroxides after oxidation. Also plays a role in delivery of iron to cells. Mediates iron uptake in capsule cells of the developing kidney (By similarity). Delivery to lysosomes by the cargo receptor NCOA4 for autophagic degradation and release or iron (PubMed : 24695223).
See full target information FTL

Publications (3)

Recent publications for all applications. Explore the full list and refine your search

Science progress 108:368504251336080 PubMed40247604

2025

Sex differences in brain iron deposition and microglial ferritin in Alzheimer's disease.

Applications

Unspecified application

Species

Unspecified reactive species

Syed Mushfiqur Rahman,Chunfeng Tan,Akiyoshi Kakita,Jose Felix Moruno-Manchon

Annals of neurology 94:1048-1066 PubMed37605362

2023

Ferroptosis of Microglia in Aging Human White Matter Injury.

Applications

Unspecified application

Species

Unspecified reactive species

Philip A Adeniyi,Xi Gong,Ellie MacGregor,Kiera Degener-O'Brien,Evelyn McClendon,Mariel Garcia,Oscar Romero,Joshua Russell,Taasin Srivastava,Jeremy Miller,C Dirk Keene,Stephen A Back

JCI insight 6: PubMed33884962

2021

PD-L1 tumor-intrinsic signaling and its therapeutic implication in triple-negative breast cancer.

Applications

Unspecified application

Species

Unspecified reactive species

Chunhua Chen,Shiheng Li,Junli Xue,Manlong Qi,Xin Liu,Yan Huang,Jinghua Hu,Haidong Dong,Kun Ling
View all publications

Product promise

We are committed to supporting your work with high-quality reagents, and we're here for you every step of the way. In the unlikely event that one of our products does not perform as expected, you're protected by our Product Promise.
For full details, please see our Terms & Conditions

Please note: All products are 'FOR RESEARCH USE ONLY. NOT FOR USE IN DIAGNOSTIC OR THERAPEUTIC PROCEDURES'.

For licensing inquiries, please contact partnerships@abcam.com