JavaScript is disabled in your browser. Please enable JavaScript to view this website.
AB229784

Anti-Ferritin Light Chain antibody

Be the first to review this product! Submit a review

|

(1 Publication)

Rabbit Polyclonal Ferritin Light Chain antibody. Suitable for WB, IHC-P and reacts with Mouse, Human samples. Cited in 1 publication. Immunogen corresponding to Recombinant Fragment Protein within Human FTL.

View Alternative Names

Ferritin light chain, Ferritin L subunit, FTL

2 Images
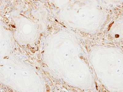
Immunohistochemistry (Formalin/PFA-fixed paraffin-embedded sections) - Anti-Ferritin Light Chain antibody (AB229784)
  • IHC-P

Supplier Data

Immunohistochemistry (Formalin/PFA-fixed paraffin-embedded sections) - Anti-Ferritin Light Chain antibody (AB229784)

Paraffin-embedded Ca922 xenograft tissue stained for Ferritin Light Chain with ab229784 at 1/100 dilution in immunohistochemical analysis.

Western blot - Anti-Ferritin Light Chain antibody (AB229784)
  • WB

Supplier Data

Western blot - Anti-Ferritin Light Chain antibody (AB229784)

12% SDS-PAGE

All lanes:

Western blot - Anti-Ferritin Light Chain antibody (ab229784) at 1/1000 dilution

All lanes:

mouse liver tissue extract at 50 µg

Predicted band size: 20 kDa

true

Key facts

Host species

Rabbit

Clonality

Polyclonal

Isotype

IgG

Carrier free

No

Reacts with

Mouse, Human

Applications

WB, IHC-P

applications

Immunogen

Recombinant Fragment Protein within Human FTL. The exact immunogen used to generate this antibody is proprietary information.

P02792

Reactivity data

{ "title": "Reactivity Data", "filters": { "stats": ["", "Species", "Dilution Info", "Notes"], "tabs": { "all-applications": {"fullname" : "All Applications", "shortname": "All Applications"}, "WB" : {"fullname" : "Western blot", "shortname":"WB"}, "IHCP" : {"fullname" : "Immunohistochemistry (Formalin/PFA-fixed paraffin-embedded sections)", "shortname":"IHC-P"} }, "product-promise": { "all": "all", "testedAndGuaranteed": "tested", "guaranteed": "expected", "predicted": "predicted", "notRecommended": "not-recommended" } }, "values": { "Human": { "WB-species-checked": "guaranteed", "WB-species-dilution-info": "1/500 - 1/3000", "WB-species-notes": "<p></p>", "IHCP-species-checked": "testedAndGuaranteed", "IHCP-species-dilution-info": "1/100 - 1/1000", "IHCP-species-notes": "<p></p>" }, "Mouse": { "WB-species-checked": "testedAndGuaranteed", "WB-species-dilution-info": "1/500 - 1/3000", "WB-species-notes": "<p></p>", "IHCP-species-checked": "guaranteed", "IHCP-species-dilution-info": "", "IHCP-species-notes": "" }, "Rhesus monkey": { "WB-species-checked": "predicted", "WB-species-dilution-info": "", "WB-species-notes": "", "IHCP-species-checked": "predicted", "IHCP-species-dilution-info": "", "IHCP-species-notes": "" } } }

Properties and storage information

Form
Liquid
Purification technique
Affinity purification Immunogen
Storage buffer
pH: 7 Preservative: 0.01% Thimerosal (merthiolate) Constituents: 10% Glycerol (glycerin, glycerine), 1.21% Tris, 0.75% Glycine
Shipped at conditions
Blue Ice
Appropriate short-term storage duration
1-2 weeks
Appropriate short-term storage conditions
+4°C
Appropriate long-term storage conditions
-20°C
Aliquoting information
Upon delivery aliquot
Storage information
Avoid freeze / thaw cycle

Product protocols

For this product, it's our understanding that no specific protocols are required. You can visit:

Target data

Stores iron in a soluble, non-toxic, readily available form. Important for iron homeostasis. Iron is taken up in the ferrous form and deposited as ferric hydroxides after oxidation. Also plays a role in delivery of iron to cells. Mediates iron uptake in capsule cells of the developing kidney (By similarity). Delivery to lysosomes by the cargo receptor NCOA4 for autophagic degradation and release or iron (PubMed : 24695223).
See full target information FTL

Publications (1)

Recent publications for all applications. Explore the full list and refine your search

PeerJ 9:e11512 PubMed34141479

2021

Neuromedin U and neurotensin may promote the development of the tumour microenvironment in neuroblastoma.

Applications

Unspecified application

Species

Unspecified reactive species

Daheng Yang,Xianwei Zhang,Zheqian Li,Fei Xu,Chenjie Tang,Hongbing Chen
View all publications

Product promise

We are committed to supporting your work with high-quality reagents, and we're here for you every step of the way. In the unlikely event that one of our products does not perform as expected, you're protected by our Product Promise.
For full details, please see our Terms & Conditions

Please note: All products are 'FOR RESEARCH USE ONLY. NOT FOR USE IN DIAGNOSTIC OR THERAPEUTIC PROCEDURES'.

For licensing inquiries, please contact partnerships@abcam.com