JavaScript is disabled in your browser. Please enable JavaScript to view this website.
AB218400

Anti-Ferritin Light Chain antibody [FTL/1386]

Be the first to review this product! Submit a review

|

(9 Publications)

Mouse Monoclonal Ferritin Light Chain antibody. Suitable for IHC-P, WB, Protein Array and reacts with Human, Recombinant full length protein - Human samples. Cited in 9 publications. Immunogen corresponding to Recombinant Fragment Protein within Human FTL aa 1 to C-terminus.

View Alternative Names

Ferritin light chain, Ferritin L subunit, FTL

9 Images
Immunohistochemistry (Formalin/PFA-fixed paraffin-embedded sections) - Anti-Ferritin Light Chain antibody [FTL/1386] (AB218400)
  • IHC-P

Supplier Data

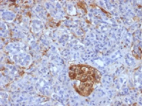
Immunohistochemistry (Formalin/PFA-fixed paraffin-embedded sections) - Anti-Ferritin Light Chain antibody [FTL/1386] (AB218400)

Immunohistochemical analysis of formalin-fixed, paraffin-embedded human pancreas tissue labeling Ferritin Light Chain with ab218400 at 0.2 μg/ml.

Immunohistochemistry (Formalin/PFA-fixed paraffin-embedded sections) - Anti-Ferritin Light Chain antibody [FTL/1386] (AB218400)
  • IHC-P

Supplier Data

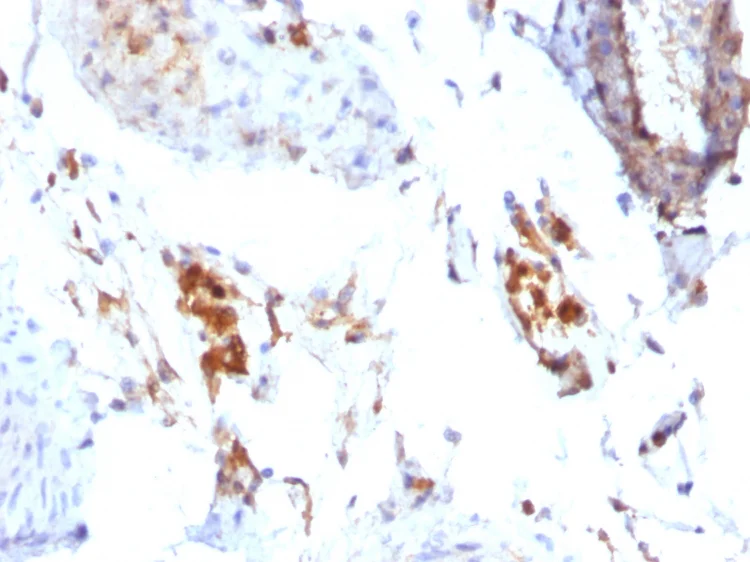
Immunohistochemistry (Formalin/PFA-fixed paraffin-embedded sections) - Anti-Ferritin Light Chain antibody [FTL/1386] (AB218400)

Immunohistochemistry (Formalin/PFA-fixed paraffin-embedded sections) analysis of human testicular carcinoma tissue labelling Ferritin Light Chain with ab218400 at 0.5 μg/mL (30 minutes at room temperature). Staining of formalin-fixed tissues requires boiling tissue sections in 10mM Citrate Buffer, pH 6.0, for 10-20 minutes followed by cooling at room temperature for 20 minutes.

Immunohistochemistry (Formalin/PFA-fixed paraffin-embedded sections) - Anti-Ferritin Light Chain antibody [FTL/1386] (AB218400)
  • IHC-P

Unknown

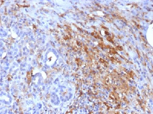
Immunohistochemistry (Formalin/PFA-fixed paraffin-embedded sections) - Anti-Ferritin Light Chain antibody [FTL/1386] (AB218400)

Immunohistochemical analysis of formalin-fixed, paraffin-embedded human pancreas tissue labeling Ferritin Light Chain with ab218400 at 0.2 μg/ml.

Western blot - Anti-Ferritin Light Chain antibody [FTL/1386] (AB218400)
  • WB

Lab

Western blot - Anti-Ferritin Light Chain antibody [FTL/1386] (AB218400)

ab218400 Anti-Ferritin Light Chain antibody [FTL/1386] was shown to specifically react with Ferritin Light Chain in wild-type HeLa cells (ab255928). Loss of signal was observed when knockout cell line ab265534 (knockout cell lysate ab256927) was used. Wild-type and Ferritin Light Chain knockout samples were subjected to SDS-PAGE. ab218400 and Anti-alpha Tubulin antibody [EP1332Y] - Microtubule Marker (ab52866) were incubated overnight at 4°C at 1 in 1000 dilution and 1 in 20000 dilution respectively. Blots were developed with Goat anti-Mouse IgG H&L (IRDye® 800CW) preadsorbed (ab216772) and Goat Anti-Rabbit IgG H&L (IRDye® 680RD) preadsorbed (ab216777) secondary antibodies at 1 in 20000 dilution for 1 hour at room temperature before imaging.

All lanes:

Western blot - Anti-Ferritin Light Chain antibody [FTL/1386] (ab218400) at 1/500 dilution

Lane 1:

Wild-type HeLa cell lysate at 20 µg

Lane 2:

FTL knockout HeLa cell lysate at 20 µg

Lane 2:

Western blot - Human FTL knockout HeLa cell line (<a href='/en-us/products/cell-lines/human-ftl-knockout-hela-cell-line-ab265533'>ab265533</a>)

Secondary

All lanes:

Western blot - Goat anti-Mouse IgG H&L (IRDye® 800CW) preadsorbed (<a href='/en-us/products/secondary-antibodies/goat-mouse-igg-h-l-irdye-800cw-preadsorbed-ab216772'>ab216772</a>) at 1/20000 dilution

Predicted band size: 20 kDa

Observed band size: 20 kDa

false

Western blot - Anti-Ferritin Light Chain antibody [FTL/1386] (AB218400)
  • WB

Lab

Western blot - Anti-Ferritin Light Chain antibody [FTL/1386] (AB218400)

Lanes 1 - 4 : Merged signal (red and green). Green - ab218400 observed at 20 kDa. Red - loading control, ab181602, observed at 37 kDa.

ab218400 was shown to recognize Ferritin Light Chain in wild-type HAP1 cells as signal was lost at the expected MW in FTL (Ferritin Light Chain) knockout cells. Additional cross-reactive bands were observed in the wild-type and knockout cells. Wild-type and FTL (Ferritin Light Chain) knockout samples were subjected to SDS-PAGE. ab218400 and ab181602 (Rabbit anti-GAPDH loading control) were incubated overnight at 4°C at 1/1000 dilution and 1/20000 dilution respectively. Blots were developed with Goat anti-Mouse IgG H&L (IRDye® 800CW) preabsorbed ab216772 and Goat anti-Rabbit IgG H&L (IRDye® 680RD) preabsorbed ab216777 secondary antibodies at 1/20000 dilution for 1 hour at room temperature before imaging.

All lanes:

Western blot - Anti-Ferritin Light Chain antibody [FTL/1386] (ab218400) at 1/1000 dilution

Lane 1:

Wild-type HAP1 whole cell lysate at 20 µg

Lane 2:

FTL (Ferritin Light Chain) knockout HAP1 whole cell lysate at 20 µg

Lane 3:

A549 whole cell lysate at 20 µg

Lane 4:

Hep G2 whole cell lysate at 20 µg

Predicted band size: 20 kDa

false

Western blot - Anti-Ferritin Light Chain antibody [FTL/1386] (AB218400)
  • WB

Lab

Western blot - Anti-Ferritin Light Chain antibody [FTL/1386] (AB218400)

Lanes 1- 2 : Merged signal (red and green). Green - ab218400 observed at 20 kDa. Red - Anti-alpha Tubulin antibody [EP1332Y] - Microtubule Marker (ab52866) observed at 50 kDa.

ab218400 was shown to react with Ferritin Light Chain in wild-type HeLa cells in western blot. Loss of signal was observed when knockout cell line ab265534 (knockout cell lysate ab256927) was used. Wild-type HeLa and Ferritin Light Chain knockout HeLa cell lysates were subjected to SDS-PAGE. Membrane was blocked for 1 hour at room temperature in 0.1% TBST with 3% non-fat dried milk. ab218400 and Anti-alpha Tubulin antibody [EP1332Y] - Microtubule Marker (ab52866) overnight at 4°C at a 1 in 1000 dilution and a 1 in 20000 dilution respectively. Blots were developed with Goat anti-Mouse IgG H&L (IRDye®800CW) preadsorbed (ab216772) and Goat Anti-Rabbit IgG H&L (IRDye®680RD) preadsorbed (ab216777) secondary antibodies at 1 in 20000 dilution for 1 hour at room temperature before imaging.

All lanes:

Western blot - Anti-Ferritin Light Chain antibody [FTL/1386] (ab218400) at 1/1000 dilution

Lane 1:

Wild-type HeLa cell lysate at 20 µg

Lane 2:

FTL knockout HeLa cell lysate at 20 µg

Lane 2:

Western blot - Human FTL knockout HeLa cell line (<a href='/en-us/products/cell-lines/human-ftl-knockout-hela-cell-line-ab265534'>ab265534</a>)

Predicted band size: 20 kDa

Observed band size: 20 kDa

false

Protein Array - Anti-Ferritin Light Chain antibody [FTL/1386] (AB218400)
  • Protein Array

Unknown

Protein Array - Anti-Ferritin Light Chain antibody [FTL/1386] (AB218400)

ab218400 was tested in protein array against over 19000 different full-length human proteins.
Z- and S- Score : The Z-score represents the strength of a signal that a monoclonal antibody (MAb) (in combination with a fluorescently-tagged anti-IgG secondary antibody) produces when binding to a particular protein on the HuProtTM array. Z-scores are described in units of standard deviations (SD's) above the mean value of all signals generated on that array. If targets on HuProtTM are arranged in descending order of the Z-score, the S-score is the difference (also in units of SD's) between the Z-score. S-score therefore represents the relative target specificity of a MAb to its intended target.
A MAb is specific to its intended target if the MAb has an S-score of at least 2.5. For example, if a MAb binds to protein X with a Z-score of 43 and to protein Y with a Z-score of 14, then the S-score for the binding of that MAb to protein X is equal to 29.

Western blot - Anti-Ferritin Light Chain antibody [FTL/1386] (AB218400)
  • WB

Supplier Data

Western blot - Anti-Ferritin Light Chain antibody [FTL/1386] (AB218400)

All lanes:

Western blot - Anti-Ferritin Light Chain antibody [FTL/1386] (ab218400) at 0.2 µg/mL

Lanes 1 - 2:

HeLa cell lysate

Lane 3:

Human liver lysate

Lane 4:

Human testis lysate

Predicted band size: 20 kDa,31 kDa

Observed band size: 35 kDa

false

Western blot - Anti-Ferritin Light Chain antibody [FTL/1386] (AB218400)
  • WB

Supplier Data

Western blot - Anti-Ferritin Light Chain antibody [FTL/1386] (AB218400)

All lanes:

Western blot - Anti-Ferritin Light Chain antibody [FTL/1386] (ab218400) at 2 µg/mL

All lanes:

Human kidney tissue lysate

Predicted band size: 20 kDa

false

Key facts

Host species

Mouse

Clonality

Monoclonal

Clone number

FTL/1386

Isotype

IgG2b

Carrier free

No

Reacts with

Human

Applications

WB, IHC-P, Protein Array

applications

Immunogen

Recombinant Fragment Protein within Human FTL aa 1 to C-terminus. The exact immunogen used to generate this antibody is proprietary information.

P02792

Reactivity data

{ "title": "Reactivity Data", "filters": { "stats": ["", "Species", "Dilution Info", "Notes"], "tabs": { "all-applications": {"fullname" : "All Applications", "shortname": "All Applications"}, "IHCP" : {"fullname" : "Immunohistochemistry (Formalin/PFA-fixed paraffin-embedded sections)", "shortname":"IHC-P"}, "WB" : {"fullname" : "Western blot", "shortname":"WB"}, "ProteinArray" : {"fullname" : "Protein Array", "shortname":"Protein Array"} }, "product-promise": { "all": "all", "testedAndGuaranteed": "tested", "guaranteed": "expected", "predicted": "predicted", "notRecommended": "not-recommended" } }, "values": { "Human": { "IHCP-species-checked": "testedAndGuaranteed", "IHCP-species-dilution-info": "0.25-0.5 µg/mL", "IHCP-species-notes": "<p></p>", "WB-species-checked": "testedAndGuaranteed", "WB-species-dilution-info": "1-2 µg/mL", "WB-species-notes": "<p></p>", "ProteinArray-species-checked": "guaranteed", "ProteinArray-species-dilution-info": "", "ProteinArray-species-notes": "" }, "Recombinant full length protein - Human": { "IHCP-species-checked": "notRecommended", "IHCP-species-dilution-info": "", "IHCP-species-notes": "", "WB-species-checked": "notRecommended", "WB-species-dilution-info": "", "WB-species-notes": "", "ProteinArray-species-checked": "testedAndGuaranteed", "ProteinArray-species-dilution-info": "", "ProteinArray-species-notes": "<p></p>" } } }

Properties and storage information

Form
Liquid
Purification technique
Affinity purification Protein A/G
Purification notes
ab218400 is purified from Bioreactor Concentrate by Protein A/G.
Storage buffer
pH: 7.2 - 7.4 Preservative: 0.05% Sodium azide Constituents: PBS, 0.05% BSA
Shipped at conditions
Blue Ice
Appropriate short-term storage duration
1-2 weeks
Appropriate short-term storage conditions
+4°C
Appropriate long-term storage conditions
-20°C
Aliquoting information
Upon delivery aliquot
Storage information
Avoid freeze / thaw cycle

Product protocols

For this product, it's our understanding that no specific protocols are required. You can visit:

Target data

Stores iron in a soluble, non-toxic, readily available form. Important for iron homeostasis. Iron is taken up in the ferrous form and deposited as ferric hydroxides after oxidation. Also plays a role in delivery of iron to cells. Mediates iron uptake in capsule cells of the developing kidney (By similarity). Delivery to lysosomes by the cargo receptor NCOA4 for autophagic degradation and release or iron (PubMed : 24695223).
See full target information FTL

Publications (9)

Recent publications for all applications. Explore the full list and refine your search

Scientific reports 15:1754 PubMed39799153

2025

Exploring Liraglutide's mechanism in reducing renal fibrosis: the Fsp1-CoQ10-NAD(P)H pathway.

Applications

Unspecified application

Species

Unspecified reactive species

Qi Chen,Ji-Xian Song,Zhi Zhang,Ji-Ren An,Yu-Jing Gou,Miao Tan,Yashuo Zhao

Diabetes, metabolic syndrome and obesity : targets and therapy 17:4105-4113 PubMed39502451

2024

Pathological Characteristics of Ferroptosis in Kidney Tissues in Type 2 Diabetic Patients with Diabetic Kidney Disease.

Applications

Unspecified application

Species

Unspecified reactive species

Min Li,Song Zhao,Yan Liu,Qian Wang,Yongzhe Chen,Yaru Zhou

Journal of cellular and molecular medicine 28:e18543 PubMed39054575

2024

Cardiomyocyte-specific overexpression of FPN1 diminishes cardiac hypertrophy induced by chronic intermittent hypoxia.

Applications

Unspecified application

Species

Unspecified reactive species

Ji-Xian Song,Shan Xu,Qi Chen,Yujing Gou,Chen-Bing Zhao,Cui-Ling Jia,Han Liu,Zhi Zhang,Bo-Liang Li,Yuhui Gao,Yashuo Zhao,En-Sheng Ji

Current issues in molecular biology 45:10193-10210 PubMed38132482

2023

Hydrogen Attenuates Chronic Intermittent Hypoxia-Induced Cardiac Hypertrophy by Regulating Iron Metabolism.

Applications

Unspecified application

Species

Unspecified reactive species

Jixian Song,Qi Chen,Shan Xu,Yujing Gou,Yajing Guo,Cuiling Jia,Chenbing Zhao,Zhi Zhang,Boliang Li,Yashuo Zhao,Ensheng Ji

American journal of physiology. Lung cellular and molecular physiology 325:L419-L433 PubMed37489262

2023

New insights into the natural history of bronchopulmonary dysplasia from proteomics and multiplexed immunohistochemistry.

Applications

Unspecified application

Species

Unspecified reactive species

Andrew M Dylag,Ravi S Misra,Gautam Bandyopadhyay,Cory Poole,Heidie L Huyck,Matthew G Jehrio,Jeannie Haak,Gail H Deutsch,Carly Dvorak,Heather M Olson,Vanessa Paurus,Philip J Katzman,Jongmin Woo,Jeffrey M Purkerson,Joshua N Adkins,Thomas J Mariani,Geremy C Clair,Gloria S Pryhuber

Acta neuropathologica communications 11:69 PubMed37118836

2023

Microglial CD68 and L-ferritin upregulation in response to phosphorylated-TDP-43 pathology in the amyotrophic lateral sclerosis brain.

Applications

Unspecified application

Species

Unspecified reactive species

Molly E V Swanson,Miran Mrkela,Helen C Murray,Maize C Cao,Clinton Turner,Maurice A Curtis,Richard L M Faull,Adam K Walker,Emma L Scotter

Cell biology international 46:1062-1073 PubMed35143099

2022

Rifaximin protects SH-SY5Y neuronal cells from iron overload-induced cytotoxicity via inhibiting STAT3/NF-κB signaling.

Applications

Unspecified application

Species

Unspecified reactive species

Zheng Zhang,Qi Yuan,Xiaoxuan Hu,Jinmao Liao,Jia Kuang

Science advances 7: PubMed34039609

2021

Iron-sulfur cluster deficiency can be sensed by IRP2 and regulates iron homeostasis and sensitivity to ferroptosis independent of IRP1 and FBXL5.

Applications

Unspecified application

Species

Unspecified reactive species

Erdem M Terzi,Vladislav O Sviderskiy,Samantha W Alvarez,Gabrielle C Whiten,Richard Possemato

Molecules (Basel, Switzerland) 22: PubMed28858244

2017

Andrographolide Suppresses MV4-11 Cell Proliferation through the Inhibition of FLT3 Signaling, Fatty Acid Synthesis and Cellular Iron Uptake.

Applications

Unspecified application

Species

Unspecified reactive species

Xiao Chen,Jianbin Zhang,Lixia Yuan,Yifei Lay,Yin Kwan Wong,Teck Kwang Lim,Chye Sun Ong,Qingsong Lin,Jigang Wang,Zichun Hua
View all publications

Product promise

We are committed to supporting your work with high-quality reagents, and we're here for you every step of the way. In the unlikely event that one of our products does not perform as expected, you're protected by our Product Promise.
For full details, please see our Terms & Conditions

Please note: All products are 'FOR RESEARCH USE ONLY. NOT FOR USE IN DIAGNOSTIC OR THERAPEUTIC PROCEDURES'.

For licensing inquiries, please contact partnerships@abcam.com