JavaScript is disabled in your browser. Please enable JavaScript to view this website.
AB250869

Anti-FGD2 antibody [EPR15306] - BSA and Azide free

Be the first to review this product! Submit a review

|

(0 Publication)

Rabbit Recombinant Monoclonal FGD2 antibody. Carrier free. Suitable for ICC/IF, WB, IHC-P and reacts with Human samples.

View Alternative Names

ZFYVE4, FGD2, Zinc finger FYVE domain-containing protein 4

4 Images
Western blot - Anti-FGD2 antibody [EPR15306] - BSA and Azide free (AB250869)
  • WB

Supplier Data

Western blot - Anti-FGD2 antibody [EPR15306] - BSA and Azide free (AB250869)

This data was developed using ab185968, the same antibody clone in a different buffer formulation.

All lanes:

Western blot - Anti-FGD2 antibody [EPR15306] - N-terminal (<a href='/en-us/products/primary-antibodies/fgd2-antibody-epr15306-n-terminal-ab185968'>ab185968</a>) at 1/10000 dilution

Lane 1:

Human tonsil tissue lysate at 20 µg

Lane 2:

Human lymph node tissue lysate at 20 µg

Lane 3:

Raji cell lysate at 20 µg

Secondary

All lanes:

Anti-Rabbit IgG (HRP), specific to the non-reduced form of IgG at 1/1000 dilution

Predicted band size: 75 kDa

Observed band size: 75 kDa

false

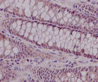
Immunohistochemistry (Formalin/PFA-fixed paraffin-embedded sections) - Anti-FGD2 antibody [EPR15306] - BSA and Azide free (AB250869)
  • IHC-P

Supplier Data

Immunohistochemistry (Formalin/PFA-fixed paraffin-embedded sections) - Anti-FGD2 antibody [EPR15306] - BSA and Azide free (AB250869)

This data was developed using ab185968, the same antibody clone in a different buffer formulation.

Immunohistochemical analysis of paraffin-embedded Human colon tissue labeling FGD2 with ab185968 at 1/50 dilution followed by prediluted HRP Polymer for Rabbit IgG. Counter stained with Hematoxylin.

Perform heat mediated antigen retrieval with EDTA buffer pH 9 before commencing with IHC staining protocol.

Immunocytochemistry/ Immunofluorescence - Anti-FGD2 antibody [EPR15306] - BSA and Azide free (AB250869)
  • ICC/IF

Supplier Data

Immunocytochemistry/ Immunofluorescence - Anti-FGD2 antibody [EPR15306] - BSA and Azide free (AB250869)

This data was developed using ab185968, the same antibody clone in a different buffer formulation.

Immunofluorescent analysis of 4% paraformaldehyde-fixed 293T cells labeling FGD2 with ab185968 at 1/100 dilution followed by Goat anti rabbit IgG (Alexa Fluor®555) secondary antibody at 1/200 dilution. Counter stained with Dapi (blue).

Immunocytochemistry/ Immunofluorescence - Anti-FGD2 antibody [EPR15306] - BSA and Azide free (AB250869)
  • ICC/IF

Supplier Data

Immunocytochemistry/ Immunofluorescence - Anti-FGD2 antibody [EPR15306] - BSA and Azide free (AB250869)

This data was developed using ab185968, the same antibody clone in a different buffer formulation.

Immunofluorescent analysis of acetone-fixed Raji cells labeling FGD2 with ab185968 at 1/100 dilution followed by Goat anti rabbit IgG (Alexa Fluor®488) secondary antibody at 1/200 dilution. Counter stained with Dapi (blue).

Key facts

Host species

Rabbit

Clonality

Monoclonal

Clone number

EPR15306

Isotype

IgG

Carrier free

Yes

Reacts with

Human

Applications

IHC-P, ICC/IF, WB

applications

Immunogen

The exact immunogen used to generate this antibody is proprietary information.

Reactivity data

{ "title": "Reactivity Data", "filters": { "stats": ["", "Species", "Dilution Info", "Notes"], "tabs": { "all-applications": {"fullname" : "All Applications", "shortname": "All Applications"}, "ICCIF" : {"fullname" : "Immunocytochemistry/ Immunofluorescence", "shortname":"ICC/IF"}, "WB" : {"fullname" : "Western blot", "shortname":"WB"}, "IHCP" : {"fullname" : "Immunohistochemistry (Formalin/PFA-fixed paraffin-embedded sections)", "shortname":"IHC-P"} }, "product-promise": { "all": "all", "testedAndGuaranteed": "tested", "guaranteed": "expected", "predicted": "predicted", "notRecommended": "not-recommended" } }, "values": { "Human": { "ICCIF-species-checked": "testedAndGuaranteed", "ICCIF-species-dilution-info": "", "ICCIF-species-notes": "<p></p>", "WB-species-checked": "testedAndGuaranteed", "WB-species-dilution-info": "", "WB-species-notes": "<p></p>", "IHCP-species-checked": "testedAndGuaranteed", "IHCP-species-dilution-info": "", "IHCP-species-notes": "<p></p> Perform heat-mediated antigen retrieval with Tris/EDTA buffer pH 9.0 before commencing with IHC staining protocol." }, "Mouse": { "ICCIF-species-checked": "predicted", "ICCIF-species-dilution-info": "", "ICCIF-species-notes": "", "WB-species-checked": "predicted", "WB-species-dilution-info": "", "WB-species-notes": "", "IHCP-species-checked": "predicted", "IHCP-species-dilution-info": "", "IHCP-species-notes": "" }, "Rat": { "ICCIF-species-checked": "predicted", "ICCIF-species-dilution-info": "", "ICCIF-species-notes": "", "WB-species-checked": "predicted", "WB-species-dilution-info": "", "WB-species-notes": "", "IHCP-species-checked": "predicted", "IHCP-species-dilution-info": "", "IHCP-species-notes": "" } } }

Product details

ab250869 is the carrier-free version of ab185968.

Patented technology
Our RabMAb® technology is a patented hybridoma-based technology for making rabbit monoclonal antibodies. For details on our patents, please refer to RabMAb® patents.

What are the advantages of a recombinant monoclonal antibody?
This product is a recombinant monoclonal antibody, which offers several advantages including:

  • - High batch-to-batch consistency and reproducibility
  • - Improved sensitivity and specificity
  • - Long-term security of supply
  • - Animal-free batch production

For more information, read more on recombinant antibodies.

Conjugation ready
Our carrier-free antibodies are typically supplied in a PBS-only formulation, purified and free of BSA, sodium azide and glycerol. This conjugation-ready format is designed for use with fluorochromes, metal isotopes, oligonucleotides, and enzymes, which makes them ideal for antibody labelling, functional and cell-based assays, flow-based assays (e.g. mass cytometry) and Multiplex Imaging applications.

Use our conjugation kits for antibody conjugates that are ready-to-use in as little as 20 minutes with 1 minute hands-on-time and 100% antibody recovery: available for fluorescent dyes, HRP, biotin and gold.

Compatibility
This product is compatible with the Maxpar® Antibody Labeling Kit from Fluidigm, without the need for antibody preparation. Maxpar® is a trademark of Fluidigm Canada Inc.

Properties and storage information

Form
Liquid
Purification technique
Affinity purification Protein A
Storage buffer
pH: 7.2 - 7.4 Constituents: PBS
Shipped at conditions
Blue Ice
Appropriate short-term storage conditions
+4°C
Appropriate long-term storage conditions
+4°C
Storage information
Do Not Freeze

Supplementary information

This supplementary information is collated from multiple sources and compiled automatically.

FGD2 also known as FYVE RhoGEF and PH domain-containing protein 6 (FGD1) is a protein with a mass of about 92 kDa. FGD2 functions mechanically as a guanine nucleotide exchange factor (GEF) that activates Rho GTPases. This protein is mostly expressed in hematopoietic tissues including the spleen and lymph nodes. FGD2 facilitates actin cytoskeleton organization which is essential for various cellular processes.
Biological function summary

FGD2 has a role in cellular signaling and cytoskeletal dynamics. It regulates the activation of Rho GTPases such as Cdc42 a small signaling G protein. FGD2 does not function within a known protein complex but partners with other signaling molecules to influence cell shape and movement. This biological activity affects how cells respond to external stimuli.

Pathways

FGD2 is involved in regulating cytoskeleton organization and cell signaling pathways. In the context of the Wnt signaling pathway FGD2 interacts with proteins that modulate cytoskeletal rearrangement such as Rac1 and Cdc42. These interactions suggest FGD2 influences pathways critical for cell division and differentiation.

Abnormalities in FGD2 are related to immune system disorders and some cancers. Dysregulated FGD2 expression associates especially with Hodgkin's lymphoma where it affects actin polymerization and cell migration. Additionally alterations in FGD2 interact with beta-catenin in Wnt signaling pathways related to tumorigenesis. Understanding FGD2's role can provide insights into therapeutic strategies for disorders linked to actin cytoskeletal defects.

Product protocols

For this product, it's our understanding that no specific protocols are required. You can visit:

Target data

Activates CDC42, a member of the Ras-like family of Rho- and Rac proteins, by exchanging bound GDP for free GTP. Activates JNK1 via CDC42 but not RAC1. Binds to phosphatidylinositol 4,5-bisphosphate, phosphatidylinositol 3,4,5-trisphosphate, phosphatidylinositol 5-monophosphate, phosphatidylinositol 4-monophosphate and phosphatidylinositol 3-monophosphate (By similarity).
See full target information FGD2

Product promise

We are committed to supporting your work with high-quality reagents, and we're here for you every step of the way. In the unlikely event that one of our products does not perform as expected, you're protected by our Product Promise.
For full details, please see our Terms & Conditions

Please note: All products are 'FOR RESEARCH USE ONLY. NOT FOR USE IN DIAGNOSTIC OR THERAPEUTIC PROCEDURES'.

For licensing inquiries, please contact partnerships@abcam.com