JavaScript is disabled in your browser. Please enable JavaScript to view this website.
AB92337

Anti-FGF2 antibody [EP1735]

4

(2 Reviews)

|

(22 Publications)

Rabbit Recombinant Monoclonal FGF2 antibody. Suitable for IP, WB, sELISA, IHC-P and reacts with Human samples. Cited in 22 publications.

View Alternative Names

FGFB, FGF2, Fibroblast growth factor 2, FGF-2, Basic fibroblast growth factor, Heparin-binding growth factor 2, bFGF, HBGF-2

7 Images
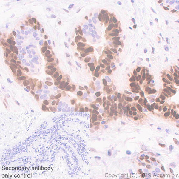
Immunohistochemistry (Formalin/PFA-fixed paraffin-embedded sections) - Anti-FGF2 antibody [EP1735] (AB92337)
  • IHC-P

Unknown

Immunohistochemistry (Formalin/PFA-fixed paraffin-embedded sections) - Anti-FGF2 antibody [EP1735] (AB92337)

Immunohistochemistry (Formalin/PFA-fixed paraffin-embedded sections) analysis of human breast tissue sections labeling FGF2 with Purified ab92337 at 1 : 2400 dilution (0.51 µg/ml). Perform heat mediated antigen retrieval using ab93684 (Tris/EDTA buffer, pH 9.0). Purified)ImmunoHistoProbe one step HRP Polymer (ready to use) was used for detection. Negative control : PBS instead of the primary antibody. Hematoxylin was used as a counterstain.

Immunohistochemistry (Formalin/PFA-fixed paraffin-embedded sections) - Anti-FGF2 antibody [EP1735] (AB92337)
  • IHC-P

Unknown

Immunohistochemistry (Formalin/PFA-fixed paraffin-embedded sections) - Anti-FGF2 antibody [EP1735] (AB92337)

Immunohistochemistry (Formalin/PFA-fixed paraffin-embedded sections) analysis of Human prostate tissue sections labeling FGF2 with purified ab92337 at 1/1000 dilution (1.3 μg/ml). Heat mediated antigen retrieval was performed. ImmunoHistoProbe one step HRP Polymer (ready to use) was used as the secondary antibody. Negative control : PBS instead of the primary antibody. Hematoxylin was used as a counterstain.

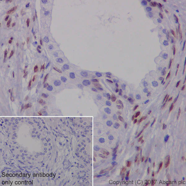
Immunohistochemistry (Formalin/PFA-fixed paraffin-embedded sections) - Anti-FGF2 antibody [EP1735] (AB92337)
  • IHC-P

Unknown

Immunohistochemistry (Formalin/PFA-fixed paraffin-embedded sections) - Anti-FGF2 antibody [EP1735] (AB92337)

Immunohistochemistry (Formalin/PFA-fixed paraffin-embedded sections) analysis of Human cerebrum tissue sections labeling FGF2 with purified ab92337 at 1/1000 dilution (1.3 ?g/ml). Heat mediated antigen retrieval was performed. ImmunoHistoProbe one step HRP Polymer (ready to use) was used as the secondary antibody. Negative control : PBS instead of the primary antibody. Hematoxylin was used as a counterstain.

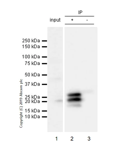
Immunoprecipitation - Anti-FGF2 antibody [EP1735] (AB92337)
  • IP

Lab

Immunoprecipitation - Anti-FGF2 antibody [EP1735] (AB92337)

ab92337 (Purified) at 1 : 70 dilution (2 µg) immunoprecipitating FGF2 in HeLa whole cell lysate.
Lane 1 (input) : HeLa (Human cervix adenocarcinoma epithelial cell) whole cell lysate 10 µg
Lane 2 (+) : ab92337 & HeLa whole cell lysate
Lane 3 (-) : Rabbit monoclonal IgG (ab172730) instead of ab92337 in HeLa whole cell lysate
For western blotting, VeriBlot for IP Detection Reagent (HRP) (ab131366) was used at 1 : 1000 dilution.
Blocking and diluting buffer : 5% NFDM/TBST.
This data was developed using the same antibody clone in a different buffer formulation containing PBS, BSA, glycerol, and sodium azide (ab92337)
ab92337 recoginzes 3 isoforms of FGF2

All lanes:

Immunoprecipitation - Anti-FGF2 antibody [EP1735] (ab92337)

Predicted band size: 30 kDa

false

Sandwich ELISA - Anti-FGF2 antibody [EP1735] (AB92337)
  • sELISA

Unknown

Sandwich ELISA - Anti-FGF2 antibody [EP1735] (AB92337)

Standard Curve for FGF basic (Analyte : FGF basic protein (Active) (ab9596)); dilution range 1pg/ml to 1μg/ml using Capture Antibody Mouse monoclonal [AS24] to FGF basic (ab17279) at 1μg/ml and Detector Antibody Rabbit monoclonal [EP1735] to FGF basic (ab92337) at 0.5μg/ml.

Western blot - Anti-FGF2 antibody [EP1735] (AB92337)
  • WB

Lab

Western blot - Anti-FGF2 antibody [EP1735] (AB92337)

ab92337 recoginzes 3 isoforms of FGF2

All lanes:

Western blot - Anti-FGF2 antibody [EP1735] (ab92337) at 1/5000 dilution

All lanes:

HeLa (Human cervix adenocarcinoma epithelial cell) whole cell lysates at 15 µg

Secondary

All lanes:

Western blot - Goat Anti-Rabbit IgG H&L (HRP) (<a href='/en-us/products/secondary-antibodies/goat-rabbit-igg-h-l-hrp-ab97051'>ab97051</a>) at 1/20000 dilution

Predicted band size: 30 kDa

Observed band size: 17-30 kDa

false

Western blot - Anti-FGF2 antibody [EP1735] (AB92337)
  • WB

Lab

Western blot - Anti-FGF2 antibody [EP1735] (AB92337)

ab92337 recoginzes 3 isoforms of FGF2

All lanes:

Western blot - Anti-FGF2 antibody [EP1735] (ab92337) at 1/1000 dilution

All lanes:

K-562 (Human chronic myelogenous leukemia lymphoblast) whole cell lysates at 15 µg

Secondary

All lanes:

Western blot - Goat Anti-Rabbit IgG H&L (HRP) (<a href='/en-us/products/secondary-antibodies/goat-rabbit-igg-h-l-hrp-ab97051'>ab97051</a>) at 1/20000 dilution

Predicted band size: 30 kDa

Observed band size: 17-30 kDa

false

Key facts

Host species

Rabbit

Clonality

Monoclonal

Clone number

EP1735

Isotype

IgG

Carrier free

No

Reacts with

Human

Applications

IHC-P, IP, sELISA, WB

applications

Immunogen

The exact immunogen used to generate this antibody is proprietary information.

Reactivity data

{ "title": "Reactivity Data", "filters": { "stats": ["", "Species", "Dilution Info", "Notes"], "tabs": { "all-applications": {"fullname" : "All Applications", "shortname": "All Applications"}, "IP" : {"fullname" : "Immunoprecipitation", "shortname":"IP"}, "WB" : {"fullname" : "Western blot", "shortname":"WB"}, "sELISA" : {"fullname" : "Sandwich ELISA", "shortname":"sELISA"}, "IHCP" : {"fullname" : "Immunohistochemistry (Formalin/PFA-fixed paraffin-embedded sections)", "shortname":"IHC-P"} }, "product-promise": { "all": "all", "testedAndGuaranteed": "tested", "guaranteed": "expected", "predicted": "predicted", "notRecommended": "not-recommended" } }, "values": { "Human": { "IP-species-checked": "testedAndGuaranteed", "IP-species-dilution-info": "1/10 - 1/100", "IP-species-notes": "<p></p>", "WB-species-checked": "testedAndGuaranteed", "WB-species-dilution-info": "1/1000 - 1/10000", "WB-species-notes": "<p></p>", "sELISA-species-checked": "testedAndGuaranteed", "sELISA-species-dilution-info": "0.5 µg/mL", "sELISA-species-notes": "<p>For sandwich ELISA, use this antibody as Detection at 0.5 µg/ml with Mouse monoclonal [AS24] to FGF basic (<a href='/en-us/products/unavailable/fgf-basic-antibody-as24-ab17279'>ab17279</a>) as Capture.</p>", "IHCP-species-checked": "testedAndGuaranteed", "IHCP-species-dilution-info": "1/2400", "IHCP-species-notes": "<p>Perform heat mediated antigen retrieval using <a href='/en-us/products/buffers/antigen-retrieval-buffer-100x-tris-edta-buffer-ph-90-ab93684'>ab93684</a> (Tris/EDTA buffer, pH 9.0).</p>" } } }

You may be interested in:

AB246531

Human FGF2 ELISA Kit

4

1 Reviews

View product

We recommend this product because it’s often used in the same experiment or related research.

We advise that you always check the datasheet to ensure it fits your experiments, or contact ourtechnical teamfor help.

Product details

Species reactivity
Mouse, Rat: We have preliminary internal testing data to indicate this antibody may not react with these species.
Please contact us for more information.

Patented technology
Our RabMAb® technology is a patented hybridoma-based technology for making rabbit monoclonal antibodies. For details on our patents, please refer to RabMAb® patents.

What are the advantages of a recombinant monoclonal antibody?
This product is a recombinant monoclonal antibody, which offers several advantages including:

  • - High batch-to-batch consistency and reproducibility
  • - Improved sensitivity and specificity
  • - Long-term security of supply
  • - Animal-free batch production

For more information, read more on recombinant antibodies.

Properties and storage information

Form
Liquid
Purification technique
Affinity purification Protein A
Storage buffer
pH: 7.2 - 7.4 Preservative: 0.01% Sodium azide Constituents: 59% PBS, 40% Glycerol (glycerin, glycerine), 0.05% BSA
Shipped at conditions
Blue Ice
Appropriate short-term storage conditions
+4°C
Appropriate long-term storage conditions
-20°C
Aliquoting information
Upon delivery aliquot
Storage information
Avoid freeze / thaw cycle

Supplementary information

This supplementary information is collated from multiple sources and compiled automatically.

FGF2 also known as FGF-2 or basic fibroblast growth factor is a protein that plays important roles in various cellular processes. It is a member of the fibroblast growth factor family and has a molecular weight of approximately 18 kDa. Scientists find FGF2 protein in many tissues including brain myocardium and bone. The protein can exist in different forms including recombinant variants. It interacts with cell surface receptors to exert its effects significantly influencing cell behavior.
Biological function summary

Various functions characterize FGF2 such as cell proliferation differentiation and migration. It does not act alone but is part of a larger protein complex. This complex includes FGF receptors which help mediate the binding of the FGF2 peptide ensuring proper signaling within the cells. FGF2 is important for development and repair processes making it an essential factor in tissue maintenance and regeneration.

Pathways

FGF2 plays a big role in critical pathways like the MAPK/ERK signaling pathway and PI3K/Akt pathway. These pathways help regulate the processes of cell growth and survival. FGF2 interacts with other protein molecules such as FGFR1 and FGFR2 which serve as receptors to propagate the signaling cascade initiated by FGF2 binding. Its interaction in these pathways underlines its role in modulating important cellular responses.

Scientists connect FGF2 with conditions such as cancer and atherosclerosis. The protein's deregulation may lead to abnormal cell proliferation contributing to tumor growth and vascular diseases. FGF2's interaction with proteins like FGFR1 can influence cancer progression and plaque formation in blood vessels. By understanding FGF2's role in these diseases researchers aim to develop targeted therapies that can potentially alter disease outcomes.

Product protocols

For this product, it's our understanding that no specific protocols are required. You can visit:

Target data

Acts as a ligand for FGFR1, FGFR2, FGFR3 and FGFR4 (PubMed : 8663044). Also acts as an integrin ligand which is required for FGF2 signaling (PubMed : 28302677). Binds to integrin ITGAV : ITGB3 (PubMed : 28302677). Plays an important role in the regulation of cell survival, cell division, cell differentiation and cell migration (PubMed : 28302677, PubMed : 8663044). Functions as a potent mitogen in vitro (PubMed : 1721615, PubMed : 3732516, PubMed : 3964259). Can induce angiogenesis (PubMed : 23469107, PubMed : 28302677). Mediates phosphorylation of ERK1/2 and thereby promotes retinal lens fiber differentiation (PubMed : 29501879).
See full target information FGF2

Publications (22)

Recent publications for all applications. Explore the full list and refine your search

International journal of environmental research and public health 20: PubMed37444145

2023

Examining the Effects of Gestational Physical Activity and Hofbauer Cell Polarization on Angiogenic Factors.

Applications

Unspecified application

Species

Unspecified reactive species

Alexandra D Goudreau,Layli Tanara,Velislava Tzaneva,Kristi B Adamo

Acta cirurgica brasileira 38:e381723 PubMed37098927

2023

Investigation of the histopathological level of Ki-67, caspase-3 expressions of the effects of hesperidin on wound healing in the rat esophagus.

Applications

Unspecified application

Species

Unspecified reactive species

Cemalettin Durgun,Gülsen Kirman,Engin Deveci

Journal of thoracic disease 14:4983-4997 PubMed36647508

2023

Development and validation of a combined metabolism and immune prognostic model in lung adenocarcinoma.

Applications

Unspecified application

Species

Unspecified reactive species

Yu Shi,Shihui Dai,Yu Lei

Clinical and translational medicine 13:e1166 PubMed36639835

2023

XBP1-elicited environment by chemotherapy potentiates repopulation of tongue cancer cells by enhancing miR-22/lncRNA/KAT6B-dependent NF-κB signalling.

Applications

Unspecified application

Species

Unspecified reactive species

Xiaoting Jia,Ge Wang,Lihong Wu,Hao Pan,Li Ling,Jianlei Zhang,Qingquan Wen,Jie Cui,Zhimin He,Bin Qi,Shuxu Zhang,Liyun Luo,Guopei Zheng

Regenerative therapy 21:560-573 PubMed36475023

2022

Proteomics reveals the potential mechanism of Tanshinone IIA in promoting the expansion of human bone marrow mesenchymal stem cells.

Applications

Unspecified application

Species

Unspecified reactive species

Pei Yuan,Hong-Yan Qin,Jia-Yun Wei,Geshuyi Chen,Xun Li

Discover. Oncology 13:102 PubMed36224455

2022

Silencing of long non-coding RNA TUC338 inhibits the malignant phenotype of nasopharyngeal cancer cells via modulating the miR-1226-3p/FGF2 axis.

Applications

Unspecified application

Species

Unspecified reactive species

Jian Wang,Liping Li,Xue Jiang,Bin Wang,Xiaodong Hu,Weiwei Liu,Ying Zhang

Cell death & disease 13:417 PubMed35487888

2022

ICAM-1 promotes cancer progression by regulating SRC activity as an adapter protein in colorectal cancer.

Applications

Unspecified application

Species

Unspecified reactive species

Eun-Ji Lim,Jae-Hyeok Kang,Yeon-Ju Kim,Seungmo Kim,Su-Jae Lee

Oncogene 41:2685-2695 PubMed35379924

2022

27-hydroxycholesterol linked high cholesterol diet to lung adenocarcinoma metastasis.

Applications

Unspecified application

Species

Unspecified reactive species

Xingkai Li,Hengchi Chen,Lizhen Zhang,Li Chen,Wei Wei,Shugeng Gao,Qi Xue,Yue Li,Bing Wang,Jiagen Li,Yushun Gao,Yanliang Lin

Folia neuropathologica 60:76-91 PubMed35359148

2022

Inhibition of poly (ADP-ribose) polymerase 1 in neuron cells might enhance the therapeutic effect of leonurine under cholesterol stimulation.

Applications

Unspecified application

Species

Unspecified reactive species

Bo Hou,Zhigang Huan,Chao Zhang,Zhiyong Chen,Lingmei Ha,Shengxuan Huang

Regenerative medicine 17:219-232 PubMed35249360

2022

Astragalus and human mesenchymal stem cells promote wound healing by mediating immunomodulatory effects through paracrine signaling.

Applications

Unspecified application

Species

Unspecified reactive species

Jiaqi Wang,Dandan Zhang,Ying Zhu,Xiumei Mo,Patrick C McHugh,Qiang Tong
View all publications

Product promise

We are committed to supporting your work with high-quality reagents, and we're here for you every step of the way. In the unlikely event that one of our products does not perform as expected, you're protected by our Product Promise.
For full details, please see our Terms & Conditions

Associated Products

Select an associated product type
Alternative Product
Primary Antibodies

AB84027

Biotin Anti-FGF2 antibody

primary-antibodies

biotin-fgf2-antibody-ab84027

0

(0 reviews)

Alternative Product
Primary Antibodies

AB89475

Anti-FGF2 antibody [MM0276-6D38]

primary-antibodies

fgf2-antibody-mm0276-6d38-ab89475

0

(0 reviews)

Alternative Product
Primary Antibodies

AB271983

Anti-FGF2 antibody [EPR20145-219] - BSA and Azide free

primary-antibodies

fgf2-antibody-epr20145-219-bsa-and-azide-free-ab271983

0

(0 reviews)

Alternative Product
Primary Antibodies

AB225477

Alexa Fluor® 647 Anti-FGF2 antibody [EPR20145-219]

primary-antibodies

alexa-fluor-647-fgf2-antibody-epr20145-219-ab225477

0

(0 reviews)

Alternative Product
Primary Antibodies

AB215373

Anti-FGF2 antibody [EPR20145-227]

primary-antibodies

fgf2-antibody-epr20145-227-ab215373

0

(0 reviews)

Alternative Product
Primary Antibodies

AB208687

Anti-FGF2 antibody [EPR20145-219]

primary-antibodies

fgf2-antibody-epr20145-219-ab208687

5

(3 reviews)

Alternative Product
Primary Antibodies

AB222932

Anti-FGF2 antibody [EPR20145-219] - Low endotoxin, Azide free

primary-antibodies

fgf2-antibody-epr20145-219-low-endotoxin-azide-free-ab222932

0

(0 reviews)

Please note: All products are 'FOR RESEARCH USE ONLY. NOT FOR USE IN DIAGNOSTIC OR THERAPEUTIC PROCEDURES'.

For licensing inquiries, please contact partnerships@abcam.com