JavaScript is disabled in your browser. Please enable JavaScript to view this website.
AB246354

Anti-FGF2 antibody [EP1735] - BSA and Azide free

Be the first to review this product! Submit a review

|

(1 Publication)

Rabbit Recombinant Monoclonal FGF2 antibody. Carrier free. Suitable for IP, WB, sELISA, IHC-P and reacts with Human, Synthetic peptide - Human samples. Cited in 1 publication.

View Alternative Names

FGFB, FGF2, Fibroblast growth factor 2, FGF-2, Basic fibroblast growth factor, Heparin-binding growth factor 2, bFGF, HBGF-2

5 Images
Immunohistochemistry (Formalin/PFA-fixed paraffin-embedded sections) - Anti-FGF2 antibody [EP1735] - BSA and Azide free (AB246354)
  • IHC-P

Unknown

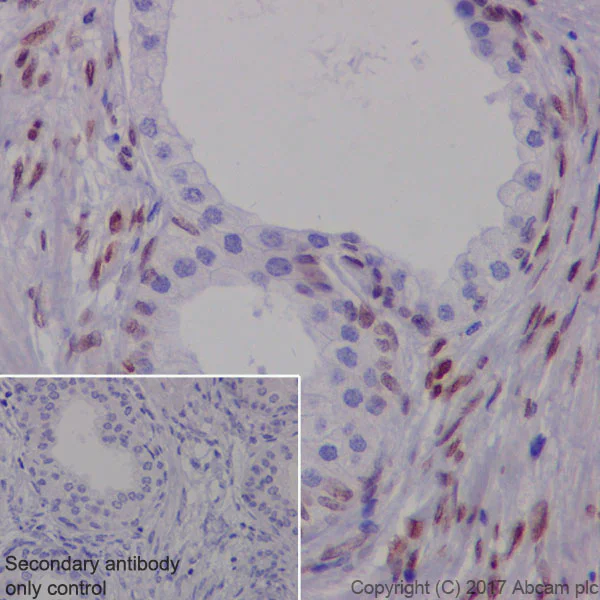
Immunohistochemistry (Formalin/PFA-fixed paraffin-embedded sections) - Anti-FGF2 antibody [EP1735] - BSA and Azide free (AB246354)

Immunohistochemistry (Formalin/PFA-fixed paraffin-embedded sections) analysis of Human prostate tissue sections labeling FGF2 with purified ab92337 at 1/1000 dilution (1.3 μg/ml). Heat mediated antigen retrieval was performed. ImmunoHistoProbe one step HRP Polymer (ready to use) was used as the secondary antibody. Negative control : PBS instead of the primary antibody. Hematoxylin was used as a counterstain.

Immunohistochemistry (Formalin/PFA-fixed paraffin-embedded sections) - Anti-FGF2 antibody [EP1735] - BSA and Azide free (AB246354)
  • IHC-P

Unknown

Immunohistochemistry (Formalin/PFA-fixed paraffin-embedded sections) - Anti-FGF2 antibody [EP1735] - BSA and Azide free (AB246354)

Immunohistochemistry (Formalin/PFA-fixed paraffin-embedded sections) analysis of Human cerebrum tissue sections labeling FGF2 with purified ab92337 at 1/1000 dilution (1.3 ?g/ml). Heat mediated antigen retrieval was performed. ImmunoHistoProbe one step HRP Polymer (ready to use) was used as the secondary antibody. Negative control : PBS instead of the primary antibody. Hematoxylin was used as a counterstain.

Immunohistochemistry (Formalin/PFA-fixed paraffin-embedded sections) - Anti-FGF2 antibody [EP1735] - BSA and Azide free (AB246354)
  • IHC-P

Unknown

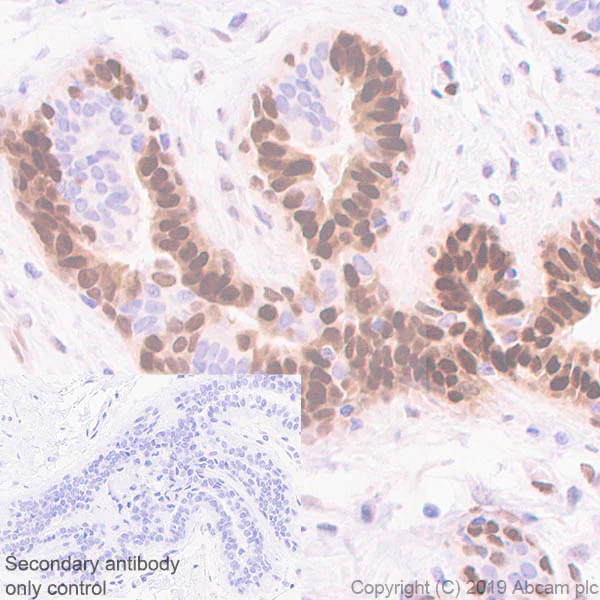
Immunohistochemistry (Formalin/PFA-fixed paraffin-embedded sections) - Anti-FGF2 antibody [EP1735] - BSA and Azide free (AB246354)

Immunohistochemistry (Formalin/PFA-fixed paraffin-embedded sections) analysis of human breast tissue sections labeling FGF2 with Purified ab92337 at 1 : 2400 dilution (0.51 µg/ml). Perform heat mediated antigen retrieval using ab93684 (Tris/EDTA buffer, pH 9.0). Purified)ImmunoHistoProbe one step HRP Polymer (ready to use) was used for detection. Negative control : PBS instead of the primary antibody. Hematoxylin was used as a counterstain.
This data was developed using the same antibody clone in a different buffer formulation containing PBS, BSA, glycerol, and sodium azide (ab92337)

Immunoprecipitation - Anti-FGF2 antibody [EP1735] - BSA and Azide free (AB246354)
  • IP

Lab

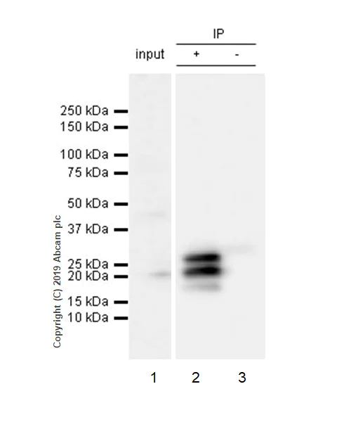
Immunoprecipitation - Anti-FGF2 antibody [EP1735] - BSA and Azide free (AB246354)

ab92337 (Purified) at 1 : 70 dilution (2 μg) immunoprecipitating FGF2 in HeLa whole cell lysate.
Lane 1 (input) : HeLa (Human cervix adenocarcinoma epithelial cell) whole cell lysate 10 μg
Lane 2 (+) : ab92337 & HeLa whole cell lysate
Lane 3 (-) : Rabbit monoclonal IgG (ab172730) instead of ab92337 in HeLa whole cell lysate
For western blotting, VeriBlot for IP Detection Reagent (HRP) (ab131366) was used at 1 : 1000 dilution.
Blocking and diluting buffer : 5% NFDM/TBST.
This data was developed using the same antibody clone in a different buffer formulation containing PBS, BSA, glycerol, and sodium azide (ab92337)
ab92337 recoginzes 3 isoforms of FGF2

All lanes:

Immunoprecipitation - Anti-FGF2 antibody [EP1735] (<a href='/en-us/products/primary-antibodies/fgf2-antibody-ep1735-ab92337'>ab92337</a>)

Predicted band size: 30 kDa

false

Sandwich ELISA - Anti-FGF2 antibody [EP1735] - BSA and Azide free (AB246354)
  • sELISA

Unknown

Sandwich ELISA - Anti-FGF2 antibody [EP1735] - BSA and Azide free (AB246354)

Standard Curve for FGF basic (Analyte : FGF basic protein (Active) (ab9596)); dilution range 1pg/ml to 1μg/ml using Capture Antibody Mouse monoclonal [AS24] to FGF basic (ab17279) at 1μg/ml and Detector Antibody Rabbit monoclonal [EP1735] to FGF basic (ab92337) at 0.5μg/ml.

This data was developed using the same antibody clone in a different buffer formulation containing PBS, BSA and sodium azide (ab92337).

Key facts

Host species

Rabbit

Clonality

Monoclonal

Clone number

EP1735

Isotype

IgG

Carrier free

Yes

Reacts with

Human

Applications

sELISA, IHC-P, IP, WB

applications

Immunogen

The exact immunogen used to generate this antibody is proprietary information.

Reactivity data

{ "title": "Reactivity Data", "filters": { "stats": ["", "Species", "Dilution Info", "Notes"], "tabs": { "all-applications": {"fullname" : "All Applications", "shortname": "All Applications"}, "IP" : {"fullname" : "Immunoprecipitation", "shortname":"IP"}, "WB" : {"fullname" : "Western blot", "shortname":"WB"}, "sELISA" : {"fullname" : "Sandwich ELISA", "shortname":"sELISA"}, "IHCP" : {"fullname" : "Immunohistochemistry (Formalin/PFA-fixed paraffin-embedded sections)", "shortname":"IHC-P"} }, "product-promise": { "all": "all", "testedAndGuaranteed": "tested", "guaranteed": "expected", "predicted": "predicted", "notRecommended": "not-recommended" } }, "values": { "Human": { "IP-species-checked": "testedAndGuaranteed", "IP-species-dilution-info": "", "IP-species-notes": "<p></p>", "WB-species-checked": "guaranteed", "WB-species-dilution-info": "", "WB-species-notes": "<p></p>", "sELISA-species-checked": "guaranteed", "sELISA-species-dilution-info": "", "sELISA-species-notes": "", "IHCP-species-checked": "testedAndGuaranteed", "IHCP-species-dilution-info": "", "IHCP-species-notes": "<p>Perform heat mediated antigen retrieval using <a href='/en-us/products/buffers/antigen-retrieval-buffer-100x-tris-edta-buffer-ph-90-ab93684'>ab93684</a> (Tris/EDTA buffer, pH 9.0).</p>" }, "Synthetic peptide - Human": { "IP-species-checked": "notRecommended", "IP-species-dilution-info": "", "IP-species-notes": "", "WB-species-checked": "notRecommended", "WB-species-dilution-info": "", "WB-species-notes": "", "sELISA-species-checked": "testedAndGuaranteed", "sELISA-species-dilution-info": "", "sELISA-species-notes": "<p>For sandwich ELISA use this antibody as Detection at 0.5 ug/ml with Mouse monoclonal [AS24] to FGF basic (<a href='/en-us/products/unavailable/fgf-basic-antibody-as24-ab17279'>ab17279</a>) as Capture.</p>", "IHCP-species-checked": "notRecommended", "IHCP-species-dilution-info": "", "IHCP-species-notes": "" } } }

You may be interested in:

AB246531

Human FGF2 ELISA Kit

4

1 Reviews

View product

We recommend this product because it’s often used in the same experiment or related research.

We advise that you always check the datasheet to ensure it fits your experiments, or contact ourtechnical teamfor help.

Product details

ab246354 is the carrier-free version of ab92337.

Species reactivity
Mouse, Rat: We have preliminary internal testing data to indicate this antibody may not react with these species.
Please contact us for more information.

Patented technology
Our RabMAb® technology is a patented hybridoma-based technology for making rabbit monoclonal antibodies. For details on our patents, please refer to RabMAb® patents.

What are the advantages of a recombinant monoclonal antibody?
This product is a recombinant monoclonal antibody, which offers several advantages including:

  • - High batch-to-batch consistency and reproducibility
  • - Improved sensitivity and specificity
  • - Long-term security of supply
  • - Animal-free batch production

For more information, read more on recombinant antibodies.

Conjugation ready
Our carrier-free antibodies are typically supplied in a PBS-only formulation, purified and free of BSA, sodium azide and glycerol. This conjugation-ready format is designed for use with fluorochromes, metal isotopes, oligonucleotides, and enzymes, which makes them ideal for antibody labelling, functional and cell-based assays, flow-based assays (e.g. mass cytometry) and Multiplex Imaging applications.

Use our conjugation kits for antibody conjugates that are ready-to-use in as little as 20 minutes with 1 minute hands-on-time and 100% antibody recovery: available for fluorescent dyes, HRP, biotin and gold.

Compatibility
This product is compatible with the Maxpar® Antibody Labeling Kit from Fluidigm, without the need for antibody preparation. Maxpar® is a trademark of Fluidigm Canada Inc.

Properties and storage information

Form
Liquid
Purification technique
Affinity purification Protein A
Storage buffer
pH: 7.2 - 7.4 Constituents: PBS
Shipped at conditions
Blue Ice
Appropriate short-term storage conditions
+4°C
Appropriate long-term storage conditions
+4°C
Storage information
Do Not Freeze

Supplementary information

This supplementary information is collated from multiple sources and compiled automatically.

FGF2 also known as FGF-2 or basic fibroblast growth factor is a protein that plays important roles in various cellular processes. It is a member of the fibroblast growth factor family and has a molecular weight of approximately 18 kDa. Scientists find FGF2 protein in many tissues including brain myocardium and bone. The protein can exist in different forms including recombinant variants. It interacts with cell surface receptors to exert its effects significantly influencing cell behavior.
Biological function summary

Various functions characterize FGF2 such as cell proliferation differentiation and migration. It does not act alone but is part of a larger protein complex. This complex includes FGF receptors which help mediate the binding of the FGF2 peptide ensuring proper signaling within the cells. FGF2 is important for development and repair processes making it an essential factor in tissue maintenance and regeneration.

Pathways

FGF2 plays a big role in critical pathways like the MAPK/ERK signaling pathway and PI3K/Akt pathway. These pathways help regulate the processes of cell growth and survival. FGF2 interacts with other protein molecules such as FGFR1 and FGFR2 which serve as receptors to propagate the signaling cascade initiated by FGF2 binding. Its interaction in these pathways underlines its role in modulating important cellular responses.

Scientists connect FGF2 with conditions such as cancer and atherosclerosis. The protein's deregulation may lead to abnormal cell proliferation contributing to tumor growth and vascular diseases. FGF2's interaction with proteins like FGFR1 can influence cancer progression and plaque formation in blood vessels. By understanding FGF2's role in these diseases researchers aim to develop targeted therapies that can potentially alter disease outcomes.

Product protocols

For this product, it's our understanding that no specific protocols are required. You can visit:

Target data

Acts as a ligand for FGFR1, FGFR2, FGFR3 and FGFR4 (PubMed : 8663044). Also acts as an integrin ligand which is required for FGF2 signaling (PubMed : 28302677). Binds to integrin ITGAV : ITGB3 (PubMed : 28302677). Plays an important role in the regulation of cell survival, cell division, cell differentiation and cell migration (PubMed : 28302677, PubMed : 8663044). Functions as a potent mitogen in vitro (PubMed : 1721615, PubMed : 3732516, PubMed : 3964259). Can induce angiogenesis (PubMed : 23469107, PubMed : 28302677). Mediates phosphorylation of ERK1/2 and thereby promotes retinal lens fiber differentiation (PubMed : 29501879).
See full target information FGF2

Publications (1)

Recent publications for all applications. Explore the full list and refine your search

PloS one 17:e0264775 PubMed35226700

2022

Four in one-Combination therapy using live Lactococcus lactis expressing three therapeutic proteins for the treatment of chronic non-healing wounds.

Applications

Unspecified application

Species

Unspecified reactive species

Jere Kurkipuro,Igor Mierau,Thomas Wirth,Haritha Samaranayake,Wesley Smith,Hanna-Riikka Kärkkäinen,Mirka Tikkanen,Juha Yrjänheikki
View all publications

Product promise

We are committed to supporting your work with high-quality reagents, and we're here for you every step of the way. In the unlikely event that one of our products does not perform as expected, you're protected by our Product Promise.
For full details, please see our Terms & Conditions

Associated Products

Select an associated product type
Alternative Product
Primary Antibodies

AB84027

Biotin Anti-FGF2 antibody

primary-antibodies

biotin-fgf2-antibody-ab84027

0

(0 reviews)

Alternative Product
Primary Antibodies

AB89475

Anti-FGF2 antibody [MM0276-6D38]

primary-antibodies

fgf2-antibody-mm0276-6d38-ab89475

0

(0 reviews)

Alternative Product
Primary Antibodies

AB271983

Anti-FGF2 antibody [EPR20145-219] - BSA and Azide free

primary-antibodies

fgf2-antibody-epr20145-219-bsa-and-azide-free-ab271983

0

(0 reviews)

Alternative Product
Primary Antibodies

AB225477

Alexa Fluor® 647 Anti-FGF2 antibody [EPR20145-219]

primary-antibodies

alexa-fluor-647-fgf2-antibody-epr20145-219-ab225477

0

(0 reviews)

Alternative Product
Primary Antibodies

AB215373

Anti-FGF2 antibody [EPR20145-227]

primary-antibodies

fgf2-antibody-epr20145-227-ab215373

0

(0 reviews)

Alternative Product
Primary Antibodies

AB208687

Anti-FGF2 antibody [EPR20145-219]

primary-antibodies

fgf2-antibody-epr20145-219-ab208687

5

(3 reviews)

Alternative Product
Primary Antibodies

AB222932

Anti-FGF2 antibody [EPR20145-219] - Low endotoxin, Azide free

primary-antibodies

fgf2-antibody-epr20145-219-low-endotoxin-azide-free-ab222932

0

(0 reviews)

Please note: All products are 'FOR RESEARCH USE ONLY. NOT FOR USE IN DIAGNOSTIC OR THERAPEUTIC PROCEDURES'.

For licensing inquiries, please contact partnerships@abcam.com