JavaScript is disabled in your browser. Please enable JavaScript to view this website.
AB215373

Anti-FGF2 antibody [EPR20145-227]

Be the first to review this product! Submit a review

|

(2 Publications)

Rabbit Recombinant Monoclonal FGF2 antibody. Suitable for IP, WB and reacts with Human, Recombinant fragment - Human samples. Cited in 2 publications.

View Alternative Names

FGFB, FGF2, Fibroblast growth factor 2, FGF-2, Basic fibroblast growth factor, Heparin-binding growth factor 2, bFGF, HBGF-2

4 Images
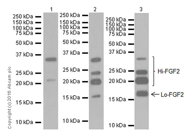
Immunoprecipitation - Anti-FGF2 antibody [EPR20145-227] (AB215373)
  • IP

Supplier Data

Immunoprecipitation - Anti-FGF2 antibody [EPR20145-227] (AB215373)

FGF2 was immunoprecipitated from 0.35 mg of K562 (Human chronic myelogenous leukemia cell line from bone marrow) whole cell lysate with ab215373 at 1/30 dilution.

Western blot was performed from the immunoprecipitate using ab215373 at 1/500 dilution.

VeriBlot for IP Detection Reagent (HRP) (ab131366), was used for detection at 1/1,000 dilution

Lane 1 : K562 whole cell lysate 10μg (Input).

Lane 2 : ab215373 IP in K562 whole cell lysate.

Lane 3 : Rabbit monoclonal IgG (ab172730) instead of ab215373 in K562 whole cell lysate.

Blocking and dilution buffer and concentration : 5% NFDM/TBST.

Exposure time : 1 second.

All lanes:

Immunoprecipitation - Anti-FGF2 antibody [EPR20145-227] (ab215373)

Predicted band size: 30 kDa

false

Western blot - Anti-FGF2 antibody [EPR20145-227] (AB215373)
  • WB

Supplier Data

Western blot - Anti-FGF2 antibody [EPR20145-227] (AB215373)

Blocking/Dilution buffer : 5% NFDM/TBST.

Exposure time : Lane 1/2 : 3 minutes; Lane 3 : 1 minute.

The MW observed is consistent with the literatures (PMID : 18850066, PMID : 24827991).

All lanes:

Western blot - Anti-FGF2 antibody [EPR20145-227] (ab215373) at 1/1000 dilution

Lane 1:

K562 (Human chronic myelogenous leukemia cell line from bone marrow) whole cell lysate at 10 µg

Lane 2:

U-87 MG (Human glioblastoma-astrocytoma epithelial cell line) whole cell lysate at 10 µg

Lane 3:

SK-OV-3 (Human ovarian cancer cell line) whole cell lysate at 10 µg

Secondary

All lanes:

Western blot - Goat Anti-Rabbit IgG H&L (HRP) (<a href='/en-us/products/secondary-antibodies/goat-rabbit-igg-h-l-hrp-ab97051'>ab97051</a>) at 1/100000 dilution

Predicted band size: 30 kDa

Observed band size: 18 kDa,22 kDa,24 kDa,34 kDa

false

Western blot - Anti-FGF2 antibody [EPR20145-227] (AB215373)
  • WB

Supplier Data

Western blot - Anti-FGF2 antibody [EPR20145-227] (AB215373)

Blocking/Dilution buffer : 5% NFDM/TBST.

Exposure time : Lane 1/2 : 3 minutes; Lane 3 : 1 minute.

The MW observed is consistent with the literatures (PMID : 18850066, PMID : 24827991).

All lanes:

Western blot - Anti-FGF2 antibody [EPR20145-227] (ab215373) at 1/1000 dilution

Lane 1:

Human fetal heart lysate at 10 µg

Lane 2:

Human fetal brain lysate at 10 µg

Lane 3:

Human fetal kidney lysate at 10 µg

Secondary

All lanes:

Western blot - Goat Anti-Rabbit IgG H&L (HRP) (<a href='/en-us/products/secondary-antibodies/goat-rabbit-igg-h-l-hrp-ab97051'>ab97051</a>) at 1/100000 dilution

Predicted band size: 30 kDa

Observed band size: 24 kDa,34 kDa

false

Western blot - Anti-FGF2 antibody [EPR20145-227] (AB215373)
  • WB

Supplier Data

Western blot - Anti-FGF2 antibody [EPR20145-227] (AB215373)

Blocking/Dilution buffer : 5% NFDM/TBST.

All lanes:

Western blot - Anti-FGF2 antibody [EPR20145-227] (ab215373) at 1/10000 dilution

All lanes:

Recombinant human FGF2 active protein (aa143-288) at 0.01 µg

Secondary

All lanes:

Western blot - Goat Anti-Rabbit IgG H&L (HRP) (<a href='/en-us/products/secondary-antibodies/goat-rabbit-igg-h-l-hrp-ab97051'>ab97051</a>) at 1/100000 dilution

Predicted band size: 30 kDa

Observed band size: 17 kDa

false

Exposure time: 3s

Key facts

Host species

Rabbit

Clonality

Monoclonal

Clone number

EPR20145-227

Isotype

IgG

Carrier free

No

Reacts with

Human

Applications

WB, IP

applications

Immunogen

The exact immunogen used to generate this antibody is proprietary information.

Reactivity data

{ "title": "Reactivity Data", "filters": { "stats": ["", "Species", "Dilution Info", "Notes"], "tabs": { "all-applications": {"fullname" : "All Applications", "shortname": "All Applications"}, "IP" : {"fullname" : "Immunoprecipitation", "shortname":"IP"}, "WB" : {"fullname" : "Western blot", "shortname":"WB"}, "FlowCytIntra" : {"fullname" : "Flow Cytometry (Intracellular)", "shortname":"Flow Cyt (Intra)"}, "ELISA" : {"fullname" : "ELISA", "shortname":"ELISA"} }, "product-promise": { "all": "all", "testedAndGuaranteed": "tested", "guaranteed": "expected", "predicted": "predicted", "notRecommended": "not-recommended" } }, "values": { "Human": { "IP-species-checked": "testedAndGuaranteed", "IP-species-dilution-info": "1/30", "IP-species-notes": "<p></p>", "WB-species-checked": "testedAndGuaranteed", "WB-species-dilution-info": "1/1000", "WB-species-notes": "<p></p>", "FlowCytIntra-species-checked": "notRecommended", "FlowCytIntra-species-dilution-info": "", "FlowCytIntra-species-notes": "", "ELISA-species-checked": "notRecommended", "ELISA-species-dilution-info": "", "ELISA-species-notes": "" }, "Mouse": { "IP-species-checked": "notRecommended", "IP-species-dilution-info": "", "IP-species-notes": "", "WB-species-checked": "notRecommended", "WB-species-dilution-info": "1/1000", "WB-species-notes": "<p></p>", "FlowCytIntra-species-checked": "notRecommended", "FlowCytIntra-species-dilution-info": "", "FlowCytIntra-species-notes": "<p></p>", "ELISA-species-checked": "notRecommended", "ELISA-species-dilution-info": "", "ELISA-species-notes": "<p></p>" }, "Recombinant fragment - Human": { "IP-species-checked": "notRecommended", "IP-species-dilution-info": "", "IP-species-notes": "", "WB-species-checked": "testedAndGuaranteed", "WB-species-dilution-info": "1/1000", "WB-species-notes": "<p></p>", "FlowCytIntra-species-checked": "notRecommended", "FlowCytIntra-species-dilution-info": "", "FlowCytIntra-species-notes": "", "ELISA-species-checked": "notRecommended", "ELISA-species-dilution-info": "", "ELISA-species-notes": "" } } }

Product details

Patented technology
Our RabMAb® technology is a patented hybridoma-based technology for making rabbit monoclonal antibodies. For details on our patents, please refer to RabMAb® patents.

What are the advantages of a recombinant monoclonal antibody?
This product is a recombinant monoclonal antibody, which offers several advantages including:

  • - High batch-to-batch consistency and reproducibility
  • - Improved sensitivity and specificity
  • - Long-term security of supply
  • - Animal-free batch production

For more information, read more on recombinant antibodies.

Properties and storage information

Form
Liquid
Purification technique
Affinity purification Protein A
Storage buffer
pH: 7.2 - 7.4 Preservative: 0.01% Sodium azide Constituents: PBS, 40% Glycerol (glycerin, glycerine), 0.05% BSA
Shipped at conditions
Blue Ice
Appropriate short-term storage duration
1-2 weeks
Appropriate short-term storage conditions
+4°C
Appropriate long-term storage conditions
-20°C
Aliquoting information
Upon delivery aliquot
Storage information
Avoid freeze / thaw cycle

Supplementary information

This supplementary information is collated from multiple sources and compiled automatically.

FGF2 also known as FGF-2 or basic fibroblast growth factor is a protein that plays important roles in various cellular processes. It is a member of the fibroblast growth factor family and has a molecular weight of approximately 18 kDa. Scientists find FGF2 protein in many tissues including brain myocardium and bone. The protein can exist in different forms including recombinant variants. It interacts with cell surface receptors to exert its effects significantly influencing cell behavior.
Biological function summary

Various functions characterize FGF2 such as cell proliferation differentiation and migration. It does not act alone but is part of a larger protein complex. This complex includes FGF receptors which help mediate the binding of the FGF2 peptide ensuring proper signaling within the cells. FGF2 is important for development and repair processes making it an essential factor in tissue maintenance and regeneration.

Pathways

FGF2 plays a big role in critical pathways like the MAPK/ERK signaling pathway and PI3K/Akt pathway. These pathways help regulate the processes of cell growth and survival. FGF2 interacts with other protein molecules such as FGFR1 and FGFR2 which serve as receptors to propagate the signaling cascade initiated by FGF2 binding. Its interaction in these pathways underlines its role in modulating important cellular responses.

Scientists connect FGF2 with conditions such as cancer and atherosclerosis. The protein's deregulation may lead to abnormal cell proliferation contributing to tumor growth and vascular diseases. FGF2's interaction with proteins like FGFR1 can influence cancer progression and plaque formation in blood vessels. By understanding FGF2's role in these diseases researchers aim to develop targeted therapies that can potentially alter disease outcomes.

Product protocols

For this product, it's our understanding that no specific protocols are required. You can visit:

Target data

Acts as a ligand for FGFR1, FGFR2, FGFR3 and FGFR4 (PubMed : 8663044). Also acts as an integrin ligand which is required for FGF2 signaling (PubMed : 28302677). Binds to integrin ITGAV : ITGB3 (PubMed : 28302677). Plays an important role in the regulation of cell survival, cell division, cell differentiation and cell migration (PubMed : 28302677, PubMed : 8663044). Functions as a potent mitogen in vitro (PubMed : 1721615, PubMed : 3732516, PubMed : 3964259). Can induce angiogenesis (PubMed : 23469107, PubMed : 28302677). Mediates phosphorylation of ERK1/2 and thereby promotes retinal lens fiber differentiation (PubMed : 29501879).
See full target information FGF2

Publications (2)

Recent publications for all applications. Explore the full list and refine your search

Materials today. Bio 31:101500 PubMed39944530

2025

Cardioprotective effects of hUCMSCs-Exosi-EGR1 MN patch in MI/RI by modulating oxidative stress and mitophagy.

Applications

Unspecified application

Species

Unspecified reactive species

Chen Huang,Xun Zhang,Shi-Xiong Wu,Qing Chang,Zhi-Kun Zheng,Jing Xu

International journal of molecular sciences 25: PubMed38674157

2024

Role of Protein Tyrosine Phosphatase Receptor Type E (PTPRE) in Chemoresistant Retinoblastoma.

Applications

Unspecified application

Species

Unspecified reactive species

Lars Mohren,Annika Doege,Natalia Miroschnikov,Oliver Dräger,Maike Anna Busch,Nicole Dünker
View all publications

Product promise

We are committed to supporting your work with high-quality reagents, and we're here for you every step of the way. In the unlikely event that one of our products does not perform as expected, you're protected by our Product Promise.
For full details, please see our Terms & Conditions

Please note: All products are 'FOR RESEARCH USE ONLY. NOT FOR USE IN DIAGNOSTIC OR THERAPEUTIC PROCEDURES'.

For licensing inquiries, please contact partnerships@abcam.com