JavaScript is disabled in your browser. Please enable JavaScript to view this website.
AB198876

Anti-FGF20 antibody

4

(1 Review)

|

(1 Publication)

Rabbit Polyclonal FGF20 antibody. Suitable for IHC-P and reacts with Human samples. Cited in 1 publication. Immunogen corresponding to Synthetic Peptide within Human FGF20.

View Alternative Names

Fibroblast growth factor 20, FGF-20, FGF20

1 Images
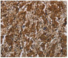
Immunohistochemistry (Formalin/PFA-fixed paraffin-embedded sections) - Anti-FGF20 antibody (AB198876)
  • IHC-P

Supplier Data

Immunohistochemistry (Formalin/PFA-fixed paraffin-embedded sections) - Anti-FGF20 antibody (AB198876)

Immunohistochemical analysis of paraffin-embedded Human liver cancer tissue labeling FGF20 with ab198876 at 1/20 dilution.

Key facts

Host species

Rabbit

Clonality

Polyclonal

Isotype

IgG

Carrier free

No

Reacts with

Human

Applications

IHC-P

applications

Immunogen

Synthetic Peptide within Human FGF20. The exact immunogen used to generate this antibody is proprietary information.

Q9NP95

Reactivity data

{ "title": "Reactivity Data", "filters": { "stats": ["", "Species", "Dilution Info", "Notes"], "tabs": { "all-applications": {"fullname" : "All Applications", "shortname": "All Applications"}, "IHCP" : {"fullname" : "Immunohistochemistry (Formalin/PFA-fixed paraffin-embedded sections)", "shortname":"IHC-P"} }, "product-promise": { "all": "all", "testedAndGuaranteed": "tested", "guaranteed": "expected", "predicted": "predicted", "notRecommended": "not-recommended" } }, "values": { "Human": { "IHCP-species-checked": "testedAndGuaranteed", "IHCP-species-dilution-info": "1/25 - 1/100", "IHCP-species-notes": "<p></p>" } } }

Properties and storage information

Form
Liquid
Purification technique
Affinity purification Immunogen
Storage buffer
pH: 7.4 Preservative: 0.05% Sodium azide Constituents: PBS, 50% Glycerol (glycerin, glycerine)
Shipped at conditions
Blue Ice
Appropriate short-term storage duration
1-2 weeks
Appropriate short-term storage conditions
+4°C
Appropriate long-term storage conditions
-20°C
Aliquoting information
Upon delivery aliquot
Storage information
Avoid freeze / thaw cycle

Supplementary information

This supplementary information is collated from multiple sources and compiled automatically.

FGF20 also known as Fibroblast Growth Factor 20 plays a role in cell proliferation and differentiation. This protein weighs approximately 22 kDa and is secreted into the extracellular space. FGF20 is mainly expressed in the brain with significant levels observed in the substantia nigra region. The protein is also found in other tissues like the heart and kidneys although at lower concentrations.
Biological function summary

FGF20 functions in neurodevelopment and tissue repair. It is not part of a complex but interacts directly with fibroblast growth factor receptors (FGFRs) mostly FGFR1 and FGFR3. These receptors facilitate its role in promoting the growth and survival of specific neuronal cells. FGF20 also aids in the maintenance of dopaminergic neurons which are important for motor control processes.

Pathways

FGF20 is an active participant in the PI3K-Akt signaling pathway and the MAPK/ERK pathway. These pathways are important for regulating cell growth survival and differentiation. FGF20 interacts with other proteins like AKT1 and MAPK1 therefore influencing various developmental processes. Its signaling activities help ensure that cells respond appropriately to external growth signals.

FGF20 has a significant link to Parkinson's disease and cancer. In Parkinson's disease the reduction of FGF20 can lead to decreased protection of dopaminergic neurons potentially worsening the condition. Similarly in certain cancer types the aberrant signaling of FGF20 contributes to tumor growth and progression. The protein interacts with FGFR1 in these contexts emphasizing its regulatory importance in disease mechanisms.

Product protocols

For this product, it's our understanding that no specific protocols are required. You can visit:

Target data

Neurotrophic factor that regulates central nervous development and function.
See full target information FGF20

Publications (1)

Recent publications for all applications. Explore the full list and refine your search

Oncology letters 19:1727-1734 PubMed32194665

2020

Expression of ADAM29 and FAM135B in the pathological evolution from normal esophageal epithelium to esophageal cancer: Their differences and clinical significance.

Applications

Unspecified application

Species

Unspecified reactive species

Tingting Wang,Xiaoyan Lv,Shen Jiang,Shaorong Han,Yanming Wang
View all publications

Product promise

We are committed to supporting your work with high-quality reagents, and we're here for you every step of the way. In the unlikely event that one of our products does not perform as expected, you're protected by our Product Promise.
For full details, please see our Terms & Conditions

Please note: All products are 'FOR RESEARCH USE ONLY. NOT FOR USE IN DIAGNOSTIC OR THERAPEUTIC PROCEDURES'.

For licensing inquiries, please contact partnerships@abcam.com