JavaScript is disabled in your browser. Please enable JavaScript to view this website.
AB63601

Anti-FGFR1 antibody

5

(2 Reviews)

|

(9 Publications)

Rabbit Polyclonal FGFR1 antibody. Suitable for WB, IHC-P and reacts with Human samples. Cited in 9 publications. Immunogen corresponding to Synthetic Peptide within Human FGFR1.

View Alternative Names

CD331, BFGFR, CEK, FGFBR, FLG, FLT2, HBGFR, FGFR1, Fibroblast growth factor receptor 1, FGFR-1, Basic fibroblast growth factor receptor 1, Fms-like tyrosine kinase 2, N-sam, Proto-oncogene c-Fgr, bFGF-R-1, FLT-2

3 Images
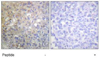
Immunohistochemistry (Formalin/PFA-fixed paraffin-embedded sections) - Anti-FGFR1 antibody (AB63601)
  • IHC-P

Unknown

Immunohistochemistry (Formalin/PFA-fixed paraffin-embedded sections) - Anti-FGFR1 antibody (AB63601)

ab63601, at 1/50 dilution, staining FGFR1 in human breast carcinoma by Immunohistochemistry on paraffin-embedded tissue, in the absence (left image) or presence (right image) of immunising peptide.

Western blot - Anti-FGFR1 antibody (AB63601)
  • WB

Supplier Data

Western blot - Anti-FGFR1 antibody (AB63601)

All lanes:

Western blot - Anti-FGFR1 antibody (ab63601)

All lanes:

HepG2 cell lysate

Predicted band size: 92 kDa

false

Western blot - Anti-FGFR1 antibody (AB63601)
  • WB

Supplier Data

Western blot - Anti-FGFR1 antibody (AB63601)

All lanes:

Western blot - Anti-FGFR1 antibody (ab63601)

Lane 1:

HepG2 cell lysate

Lane 2:

HepG2 cell lysate with Synthesized peptide

Predicted band size: 92 kDa

false

Key facts

Host species

Rabbit

Clonality

Polyclonal

Isotype

IgG

Carrier free

No

Reacts with

Human

Applications

IHC-P, WB

applications

Immunogen

Synthetic Peptide within Human FGFR1. The exact immunogen used to generate this antibody is proprietary information.

P11362

Reactivity data

{ "title": "Reactivity Data", "filters": { "stats": ["", "Species", "Dilution Info", "Notes"], "tabs": { "all-applications": {"fullname" : "All Applications", "shortname": "All Applications"}, "WB" : {"fullname" : "Western blot", "shortname":"WB"}, "IHCP" : {"fullname" : "Immunohistochemistry (Formalin/PFA-fixed paraffin-embedded sections)", "shortname":"IHC-P"} }, "product-promise": { "all": "all", "testedAndGuaranteed": "tested", "guaranteed": "expected", "predicted": "predicted", "notRecommended": "not-recommended" } }, "values": { "Human": { "WB-species-checked": "testedAndGuaranteed", "WB-species-dilution-info": "1/500 - 1/1000", "WB-species-notes": "<p></p>", "IHCP-species-checked": "testedAndGuaranteed", "IHCP-species-dilution-info": "1/50 - 1/100", "IHCP-species-notes": "<p></p>" }, "Mouse": { "WB-species-checked": "predicted", "WB-species-dilution-info": "", "WB-species-notes": "", "IHCP-species-checked": "predicted", "IHCP-species-dilution-info": "", "IHCP-species-notes": "" }, "Rat": { "WB-species-checked": "predicted", "WB-species-dilution-info": "", "WB-species-notes": "", "IHCP-species-checked": "predicted", "IHCP-species-dilution-info": "", "IHCP-species-notes": "" } } }

Properties and storage information

Form
Liquid
Purification technique
Affinity purification Immunogen
Purification notes
ab63601 was affinity-purified from rabbit antiserum by affinity-chromatography using epitope-specific immunogen.
Storage buffer
pH: 7.4 Preservative: 0.02% Sodium azide Constituents: PBS, 50% Glycerol (glycerin, glycerine), 0.87% Sodium chloride
Shipped at conditions
Blue Ice
Appropriate short-term storage conditions
+4°C
Appropriate long-term storage conditions
-20°C
Storage information
Stable for 12 months at -20°C

Supplementary information

This supplementary information is collated from multiple sources and compiled automatically.

FGFR1 also known as fibroblast growth factor receptor 1 is a protein with a molecular weight of approximately 92 kDa. It is a receptor tyrosine kinase that binds to fibroblast growth factors (FGFs) triggering a cascade of downstream signaling pathways. FGFR1 is widely expressed in various tissues including the brain skeletal muscle and the cardiovascular system. The FGFR1 protein plays an essential role in cellular processes such as proliferation differentiation and survival.
Biological function summary

FGFR1 is significant in embryonic development and tissue repair. It does not function alone; rather it forms a complex with fibroblast growth factors and heparan sulfate proteoglycans facilitating receptor dimerization and autophosphorylation. FGFR1 is involved in bone growth angiogenesis and wound healing processes. The interaction of FGFR1 with these complex factors ensures the precise regulation of these critical physiological events in the body.

Pathways

FGFR1 participates actively in the MAPK/ERK and PI3K/AKT signaling pathways. These pathways are vital for transmitting signals from the cell surface to the DNA in the cell nucleus regulating gene expression and affecting cell cycle progression. FGFR1 works alongside similar proteins like FGFR2 influencing cell fate decisions. By modulating these pathways FGFR1 ensures a proper response to environmental signals which maintains homeostasis and adapts to physiological needs.

FGFR1 is implicated in conditions such as cancer and skeletal dysplasias. Abnormal FGFR1 signaling due to mutations or overexpression can lead to tumorigenesis contributing to the development of cancers like breast and lung cancer. The protein FGFR2 is often evaluated in parallel for similar oncogenic activities. Moreover FGFR1-related dysregulation in bone development can result in skeletal disorders highlighting its importance in both normal physiology and pathological conditions. Anti-FGFR therapies and FGFR1 ELISA tools are being explored to better understand and tackle these diseases.

Product protocols

For this product, it's our understanding that no specific protocols are required. You can visit:

Target data

Tyrosine-protein kinase that acts as a cell-surface receptor for fibroblast growth factors and plays an essential role in the regulation of embryonic development, cell proliferation, differentiation and migration. Required for normal mesoderm patterning and correct axial organization during embryonic development, normal skeletogenesis and normal development of the gonadotropin-releasing hormone (GnRH) neuronal system. Phosphorylates PLCG1, FRS2, GAB1 and SHB. Ligand binding leads to the activation of several signaling cascades. Activation of PLCG1 leads to the production of the cellular signaling molecules diacylglycerol and inositol 1,4,5-trisphosphate. Phosphorylation of FRS2 triggers recruitment of GRB2, GAB1, PIK3R1 and SOS1, and mediates activation of RAS, MAPK1/ERK2, MAPK3/ERK1 and the MAP kinase signaling pathway, as well as of the AKT1 signaling pathway. Promotes phosphorylation of SHC1, STAT1 and PTPN11/SHP2. In the nucleus, enhances RPS6KA1 and CREB1 activity and contributes to the regulation of transcription. FGFR1 signaling is down-regulated by IL17RD/SEF, and by FGFR1 ubiquitination, internalization and degradation.
See full target information FGFR1

Publications (9)

Recent publications for all applications. Explore the full list and refine your search

Cancers 15: PubMed37509297

2023

An Assessment of the Penile Squamous Cell Carcinoma Surfaceome for Biomarker and Therapeutic Target Discovery.

Applications

Unspecified application

Species

Unspecified reactive species

George Daniel Grass,Dalia Ercan,Alyssa N Obermayer,Timothy Shaw,Paul A Stewart,Jad Chahoud,Jasreman Dhillon,Alex Lopez,Peter A S Johnstone,Silvia Regina Rogatto,Philippe E Spiess,Steven A Eschrich

Frontiers in cardiovascular medicine 9:1011167 PubMed36211556

2022

Fibroblast growth factor receptor signaling in cardiomyocytes is protective in the acute phase following ischemia-reperfusion injury.

Applications

Unspecified application

Species

Unspecified reactive species

Dzmitry Matsiukevich,Stacey L House,Carla Weinheimer,Attila Kovacs,David M Ornitz

Oncology letters 17:2303-2307 PubMed30719110

2019

A potential novel therapy for FGFR1-amplified pancreatic cancer with bone metastasis, screened by next-generation sequencing and a patient-derived xenograft model.

Applications

Unspecified application

Species

Unspecified reactive species

Zhonghai Guan,Huanrong Lan,Dan Sun,Xuanwei Wang,Ketao Jin

American journal of physiology. Lung cellular and molecular physiology 316:L229-L244 PubMed30307313

2018

Consequences of early postnatal lipopolysaccharide exposure on developing lungs in mice.

Applications

Unspecified application

Species

Unspecified reactive species

Amrit Kumar Shrestha,Matthew L Bettini,Renuka T Menon,Vashisht Y N Gopal,Shixia Huang,Dean P Edwards,Mohan Pammi,Roberto Barrios,Binoy Shivanna

Cellular physiology and biochemistry : internation 42:1623-1634 PubMed28738356

2017

Thermal Preconditioning May Prevent Tendon Adhesion by Up-Regulating HSP72 in Rats.

Applications

Unspecified application

Species

Unspecified reactive species

Yang Tan,Qin-Fen Wu,Qiang Wu,Xin-Ti Tan,Liao-Bin Chen,Xin Wang

The Journal of clinical investigation 126:1871-84 PubMed27064282

2016

Tyrosine kinase inhibitor NVP-BGJ398 functionally improves FGFR3-related dwarfism in mouse model.

Applications

Unspecified application

Species

Unspecified reactive species

Davide Komla-Ebri,Emilie Dambroise,Ina Kramer,Catherine Benoist-Lasselin,Nabil Kaci,Cindy Le Gall,Ludovic Martin,Patricia Busca,Florent Barbault,Diana Graus-Porta,Arnold Munnich,Michaela Kneissel,Federico Di Rocco,Martin Biosse-Duplan,Laurence Legeai-Mallet

American journal of physiology. Gastrointestinal a 308:G678-90 PubMed25721301

2015

Fibroblast growth factor 10 alters the balance between goblet and Paneth cells in the adult mouse small intestine.

Applications

Unspecified application

Species

Unspecified reactive species

Denise Al Alam,Soula Danopoulos,Kathy Schall,Frederic G Sala,Dana Almohazey,G Esteban Fernandez,Senta Georgia,Mark R Frey,Henri R Ford,Tracy Grikscheit,Saverio Bellusci

PLoS biology 7:e1000172 PubMed19688034

2009

Persistent cAMP-signals triggered by internalized G-protein-coupled receptors.

Applications

WB

Species

Mouse

Davide Calebiro,Viacheslav O Nikolaev,Maria Cristina Gagliani,Tiziana de Filippis,Christian Dees,Carlo Tacchetti,Luca Persani,Martin J Lohse

Calcified tissue international 85:235-46 PubMed19609735

2009

Survey of the enthesopathy of X-linked hypophosphatemia and its characterization in Hyp mice.

Applications

IHC-P

Species

Mouse

Guoying Liang,Lee D Katz,Karl L Insogna,Thomas O Carpenter,Carolyn M Macica
View all publications

Product promise

We are committed to supporting your work with high-quality reagents, and we're here for you every step of the way. In the unlikely event that one of our products does not perform as expected, you're protected by our Product Promise.
For full details, please see our Terms & Conditions

Please note: All products are 'FOR RESEARCH USE ONLY. NOT FOR USE IN DIAGNOSTIC OR THERAPEUTIC PROCEDURES'.

For licensing inquiries, please contact partnerships@abcam.com