JavaScript is disabled in your browser. Please enable JavaScript to view this website.
AB824

Anti-FGFR1 antibody [M5G10]

0

(1 Review)

|

(29 Publications)

Mouse Monoclonal FGFR1 antibody. Suitable for Flow Cyt, IHC-P, ICC/IF and reacts with Human samples. Cited in 29 publications. Immunogen corresponding to Recombinant Fragment Protein within Human FGFR1.

View Alternative Names

CD331, BFGFR, CEK, FGFBR, FLG, FLT2, HBGFR, FGFR1, Fibroblast growth factor receptor 1, FGFR-1, Basic fibroblast growth factor receptor 1, Fms-like tyrosine kinase 2, N-sam, Proto-oncogene c-Fgr, bFGF-R-1, FLT-2

3 Images
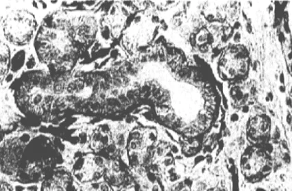
Immunohistochemistry (Formalin/PFA-fixed paraffin-embedded sections) - Anti-FGFR1 antibody [M5G10] (AB824)
  • IHC-P

Supplier Data

Immunohistochemistry (Formalin/PFA-fixed paraffin-embedded sections) - Anti-FGFR1 antibody [M5G10] (AB824)

Immunohistochemistry (Formalin/PFA-fixed paraffin-embedded sections) analysis of human normal salivary gland labelling FGFR1 with ab824 at 10μg/ml.

This image was generated using the ascites version of the product.

Immunocytochemistry/ Immunofluorescence - Anti-FGFR1 antibody [M5G10] (AB824)
  • ICC/IF

Unknown

Immunocytochemistry/ Immunofluorescence - Anti-FGFR1 antibody [M5G10] (AB824)

ICC/IF image of ab824 stained SKNSH cells. The cells were 4% formaldehyde fixed (10 min) and then incubated in 1%BSA / 10% normal goat serum / 0.3M glycine in 0.1% PBS-Tween for 1h to permeabilise the cells and block non-specific protein-protein interactions. The cells were then incubated with the antibody ab824 at 5μg/ml overnight at +4°C. The secondary antibody (green) was DyLight® 488 goat anti- mouse (ab96879) IgG (H+L) used at a 1/250 dilution for 1h. Alexa Fluor® 594 WGA was used to label plasma membranes (red) at a 1/200 dilution for 1h. DAPI was used to stain the cell nuclei (blue) at a concentration of 1.43μM.

This image was generated using the ascites version of the product.

Flow Cytometry - Anti-FGFR1 antibody [M5G10] (AB824)
  • Flow Cyt

Unknown

Flow Cytometry - Anti-FGFR1 antibody [M5G10] (AB824)

Overlay histogram showing MCF7 cells stained with ab824 (red line). The cells were fixed with 80% methanol (5 min) and incubated in 1x PBS / 10% normal goat serum / 0.3M glycine to block non-specific protein-protein interactions. The cells were then incubated with the antibody (ab824, 1μg/1x106 cells) for 30 min at 22°C. The secondary antibody used was DyLight® 488 goat anti-mouse IgG (H+L) (ab96879) at 1/500 dilution for 30 min at 22°C. Isotype control antibody (black line) was mouse IgG1 [ICIGG1] (ab91353, 2μg/1x106 cells) used under the same conditions. Acquisition of >5,000 events was performed.

Please note that Abcam do not have any data for use of this antibody on non-fixed cells. We welcome any customer feedback.

This image was generated using the ascites version of the product.

Key facts

Host species

Mouse

Clonality

Monoclonal

Clone number

M5G10

Isotype

IgG1

Carrier free

No

Reacts with

Human

Applications

ICC/IF, IHC-P, Flow Cyt

applications

Immunogen

Recombinant Fragment Protein within Human FGFR1. The exact immunogen used to generate this antibody is proprietary information.

P11362

Epitope

Epitope is within the sequence His 241 and Val 267 between Ig loops II and III. Epitope is masked in undenatured FGFr1a.

Specificity

Reacts with both alpha and beta isoforms.

Reactivity data

{ "title": "Reactivity Data", "filters": { "stats": ["", "Species", "Dilution Info", "Notes"], "tabs": { "all-applications": {"fullname" : "All Applications", "shortname": "All Applications"}, "FlowCyt" : {"fullname" : "Flow Cytometry", "shortname":"Flow Cyt"}, "IHCP" : {"fullname" : "Immunohistochemistry (Formalin/PFA-fixed paraffin-embedded sections)", "shortname":"IHC-P"}, "ICCIF" : {"fullname" : "Immunocytochemistry/ Immunofluorescence", "shortname":"ICC/IF"} }, "product-promise": { "all": "all", "testedAndGuaranteed": "tested", "guaranteed": "expected", "predicted": "predicted", "notRecommended": "not-recommended" } }, "values": { "Human": { "FlowCyt-species-checked": "testedAndGuaranteed", "FlowCyt-species-dilution-info": "1 µg for 10^6 Cells", "FlowCyt-species-notes": "<p><a href='/en-us/products/primary-antibodies/mouse-igg1-kappa-monoclonal-15-6e10a7-isotype-control-ab170190'>ab170190</a> - Mouse monoclonal IgG1, is suitable for use as an isotype control with this antibody.</p>", "IHCP-species-checked": "testedAndGuaranteed", "IHCP-species-dilution-info": "", "IHCP-species-notes": "<p></p>", "ICCIF-species-checked": "testedAndGuaranteed", "ICCIF-species-dilution-info": "5 µg/mL", "ICCIF-species-notes": "<p></p>" } } }

Product details

This product was changed from ascites to tissue culture supernatant on 19/12/2018. Please note that the dilutions may need to be adjusted accordingly. If you have any questions please do not hesitate to contact our scientific support team.

Properties and storage information

Form
Liquid
Purification technique
Affinity purification Protein G
Purification notes
Purified from TCS
Storage buffer
pH: 7.4 Preservative: 0.02% Sodium azide Constituents: PBS
Shipped at conditions
Blue Ice
Appropriate short-term storage duration
1-2 weeks
Appropriate short-term storage conditions
+4°C
Appropriate long-term storage conditions
-20°C
Aliquoting information
Upon delivery aliquot
Storage information
Avoid freeze / thaw cycle

Supplementary information

This supplementary information is collated from multiple sources and compiled automatically.

FGFR1 also known as fibroblast growth factor receptor 1 is a protein with a molecular weight of approximately 92 kDa. It is a receptor tyrosine kinase that binds to fibroblast growth factors (FGFs) triggering a cascade of downstream signaling pathways. FGFR1 is widely expressed in various tissues including the brain skeletal muscle and the cardiovascular system. The FGFR1 protein plays an essential role in cellular processes such as proliferation differentiation and survival.
Biological function summary

FGFR1 is significant in embryonic development and tissue repair. It does not function alone; rather it forms a complex with fibroblast growth factors and heparan sulfate proteoglycans facilitating receptor dimerization and autophosphorylation. FGFR1 is involved in bone growth angiogenesis and wound healing processes. The interaction of FGFR1 with these complex factors ensures the precise regulation of these critical physiological events in the body.

Pathways

FGFR1 participates actively in the MAPK/ERK and PI3K/AKT signaling pathways. These pathways are vital for transmitting signals from the cell surface to the DNA in the cell nucleus regulating gene expression and affecting cell cycle progression. FGFR1 works alongside similar proteins like FGFR2 influencing cell fate decisions. By modulating these pathways FGFR1 ensures a proper response to environmental signals which maintains homeostasis and adapts to physiological needs.

FGFR1 is implicated in conditions such as cancer and skeletal dysplasias. Abnormal FGFR1 signaling due to mutations or overexpression can lead to tumorigenesis contributing to the development of cancers like breast and lung cancer. The protein FGFR2 is often evaluated in parallel for similar oncogenic activities. Moreover FGFR1-related dysregulation in bone development can result in skeletal disorders highlighting its importance in both normal physiology and pathological conditions. Anti-FGFR therapies and FGFR1 ELISA tools are being explored to better understand and tackle these diseases.

Product protocols

For this product, it's our understanding that no specific protocols are required. You can visit:

Target data

Tyrosine-protein kinase that acts as a cell-surface receptor for fibroblast growth factors and plays an essential role in the regulation of embryonic development, cell proliferation, differentiation and migration. Required for normal mesoderm patterning and correct axial organization during embryonic development, normal skeletogenesis and normal development of the gonadotropin-releasing hormone (GnRH) neuronal system. Phosphorylates PLCG1, FRS2, GAB1 and SHB. Ligand binding leads to the activation of several signaling cascades. Activation of PLCG1 leads to the production of the cellular signaling molecules diacylglycerol and inositol 1,4,5-trisphosphate. Phosphorylation of FRS2 triggers recruitment of GRB2, GAB1, PIK3R1 and SOS1, and mediates activation of RAS, MAPK1/ERK2, MAPK3/ERK1 and the MAP kinase signaling pathway, as well as of the AKT1 signaling pathway. Promotes phosphorylation of SHC1, STAT1 and PTPN11/SHP2. In the nucleus, enhances RPS6KA1 and CREB1 activity and contributes to the regulation of transcription. FGFR1 signaling is down-regulated by IL17RD/SEF, and by FGFR1 ubiquitination, internalization and degradation.
See full target information FGFR1

Publications (29)

Recent publications for all applications. Explore the full list and refine your search

iScience 28:112526 PubMed40487427

2025

STEAP3 promotes triple-negative breast cancer growth through the FGFR1-mediated activation of PI3K/AKT/mTOR signaling.

Applications

Unspecified application

Species

Unspecified reactive species

Lifang Yuan,Yuhan Bao,Junbao Liu,Ping Sun

Development (Cambridge, England) 150: PubMed37756583

2023

Caudal Fgfr1 disruption produces localised spinal mis-patterning and a terminal myelocystocele-like phenotype in mice.

Applications

Unspecified application

Species

Unspecified reactive species

Eirini Maniou,Faduma Farah,Abigail R Marshall,Zoe Crane-Smith,Andrea Krstevski,Athanasia Stathopoulou,Nicholas D E Greene,Andrew J Copp,Gabriel L Galea

BMC biotechnology 23:43 PubMed37789318

2023

Engineered FGF19 protects against intrahepatic cholestatic liver injury in ANIT-induced and Mdr2-/- mice model.

Applications

Unspecified application

Species

Unspecified reactive species

Lu Shi,Tiantian Zhao,Lei Huang,Xiaomin Pan,Tianzhen Wu,Xin Feng,Taoli Chen,Jiamin Wu,Jianlou Niu

Nature 618:862-870 PubMed37286607

2023

Structural basis for FGF hormone signalling.

Applications

Unspecified application

Species

Unspecified reactive species

Lingfeng Chen,Lili Fu,Jingchuan Sun,Zhiqiang Huang,Mingzhen Fang,Allen Zinkle,Xin Liu,Junliang Lu,Zixiang Pan,Yang Wang,Guang Liang,Xiaokun Li,Gaozhi Chen,Moosa Mohammadi

Oxidative medicine and cellular longevity 2023:5012474 PubMed36785790

2023

The Interaction of Apelin and FGFR1 Ameliorated the Kidney Fibrosis through Suppression of TGF-Induced Endothelial-to-Mesenchymal Transition.

Applications

Unspecified application

Species

Unspecified reactive species

Rongfen Gao,Yumin Wu,Qian Yang,Liangdong Chen,Jiwei Chen,Boyong Wang,Zeming Liu,Juan Jin,Jinpeng Li,Gaosong Wu

Endocrinology 164: PubMed36718587

2023

Evocalcet Rescues Secondary Hyperparathyroidism-driven Cortical Porosity in CKD Male Rats.

Applications

Unspecified application

Species

Unspecified reactive species

Tomoka Hasegawa,Shin Tokunaga,Tomomaya Yamamoto,Mariko Sakai,Hiromi Hongo,Takehisa Kawata,Norio Amizuka

Liver international : official journal of the International Association for the Study of the Liver 43:718-732 PubMed36448910

2022

An oral phenylacrylic acid derivative suppressed hepatic stellate cell activation and ameliorated liver fibrosis by blocking TGF-β1 signalling.

Applications

Unspecified application

Species

Unspecified reactive species

Taixiong Xue,Lin Yue,Guonian Zhu,Zui Tan,Hongyao Liu,Cailing Gan,Chen Fan,Xingping Su,Yuting Xie,Tinghong Ye

Cancer cell international 22:174 PubMed35488346

2022

FGFR1 is a potential therapeutic target in neuroblastoma.

Applications

Unspecified application

Species

Unspecified reactive species

Flora Cimmino,Annalaura Montella,Matilde Tirelli,Marianna Avitabile,Vito Alessandro Lasorsa,Feliciano Visconte,Sueva Cantalupo,Teresa Maiorino,Biagio De Angelis,Martina Morini,Aurora Castellano,Franco Locatelli,Mario Capasso,Achille Iolascon

Journal of cellular and molecular medicine 25:10565-10574 PubMed34636482

2021

miRNA-34b/c regulates mucus secretion in RSV-infected airway epithelial cells by targeting FGFR1.

Applications

Unspecified application

Species

Unspecified reactive species

Wenkai Li,Xizi Du,Yu Yang,Lin Yuan,Ming Yang,Ling Qin,Leyuan Wang,Kai Zhou,Yang Xiang,Xiangping Qu,Huijun Liu,Xiaoqun Qin,Gelei Xiao,Chi Liu

Cell proliferation 54:e13081 PubMed34121240

2021

A novel multikinase inhibitor SKLB-YTH-60 ameliorates inflammation and fibrosis in bleomycin-induced lung fibrosis mouse models.

Applications

Unspecified application

Species

Unspecified reactive species

Hongyao Liu,Xiuli Wu,Cailing Gan,Liqun Wang,Guan Wang,Lin Yue,Zhihao Liu,Wei Wei,Xingping Su,Qianyu Zhang,Zui Tan,Yuqin Yao,Liang Ouyang,Luoting Yu,Tinghong Ye
View all publications

Product promise

We are committed to supporting your work with high-quality reagents, and we're here for you every step of the way. In the unlikely event that one of our products does not perform as expected, you're protected by our Product Promise.
For full details, please see our Terms & Conditions

Please note: All products are 'FOR RESEARCH USE ONLY. NOT FOR USE IN DIAGNOSTIC OR THERAPEUTIC PROCEDURES'.

For licensing inquiries, please contact partnerships@abcam.com