JavaScript is disabled in your browser. Please enable JavaScript to view this website.
AB213609

Anti-FGFR1 (phospho Y653) antibody [EPR843(N)] - BSA and Azide free

4

(1 Review)

|

(1 Publication)

Rabbit Recombinant Monoclonal FGFR1 phospho Y653 antibody. Carrier free. Suitable for WB, I-ELISA, Dot and reacts with Human samples. Cited in 1 publication.

View Alternative Names

CD331, BFGFR, CEK, FGFBR, FLG, FLT2, HBGFR, FGFR1, Fibroblast growth factor receptor 1, FGFR-1, Basic fibroblast growth factor receptor 1, Fms-like tyrosine kinase 2, N-sam, Proto-oncogene c-Fgr, bFGF-R-1, FLT-2

6 Images
Indirect ELISA - Anti-FGFR1 (phospho Y653) antibody [EPR843(N)] - BSA and Azide free (AB213609)
  • I-ELISA

Supplier Data

Indirect ELISA - Anti-FGFR1 (phospho Y653) antibody [EPR843(N)] - BSA and Azide free (AB213609)
Indirect ELISA - Anti-FGFR1 (phospho Y653) antibody [EPR843(N)] - BSA and Azide free (AB213609)
  • I-ELISA

Supplier Data

Indirect ELISA - Anti-FGFR1 (phospho Y653) antibody [EPR843(N)] - BSA and Azide free (AB213609)
Indirect ELISA - Anti-FGFR1 (phospho Y653) antibody [EPR843(N)] - BSA and Azide free (AB213609)
  • I-ELISA

Supplier Data

Indirect ELISA - Anti-FGFR1 (phospho Y653) antibody [EPR843(N)] - BSA and Azide free (AB213609)
Indirect ELISA - Anti-FGFR1 (phospho Y653) antibody [EPR843(N)] - BSA and Azide free (AB213609)
  • I-ELISA

Supplier Data

Indirect ELISA - Anti-FGFR1 (phospho Y653) antibody [EPR843(N)] - BSA and Azide free (AB213609)
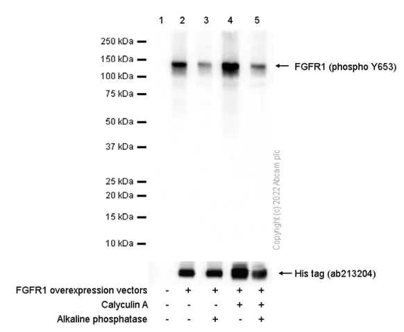
Western blot - Anti-FGFR1 (phospho Y653) antibody [EPR843(N)] - BSA and Azide free (AB213609)
  • WB

Supplier Data

Western blot - Anti-FGFR1 (phospho Y653) antibody [EPR843(N)] - BSA and Azide free (AB213609)

Blocking and diluting buffer : 5% NFDM/TBST.

All lanes:

Western blot - Anti-FGFR1 (phospho Y653) antibody [EPR843(N)] (<a href='/en-us/products/primary-antibodies/fgfr1-phospho-y653-antibody-epr843n-ab173305'>ab173305</a>) at 1/1000 dilution

Lane 1:

HEK-293 (human epithelial cell from embryonic kidney transformed with large T antigen) transfected with an empty expression vector, whole cell lysate at 15 µg

Lane 2:

HEK-293 (human epithelial cell from embryonic kidney transformed with large T antigen) transfected with FGFR1 expression vector, whole cell lysate at 15 µg

Lane 3:

HEK-293 (human epithelial cell from embryonic kidney transformed with large T antigen) transfected with FGFR1 expression vector, then the membrane was incubated with alkaline phosphatase for at 15 µg

Lane 4:

HEK-293 (human epithelial cell from embryonic kidney transformed with large T antigen) transfected with FGFR1 expression vector and 100 nM Calyculin A for an hour, whole cell lysate at 15 µg

Lane 5:

HEK-293 (human epithelial cell from embryonic kidney transformed with large T antigen) transfected with FGFR1 expression vector and 100 nM Calyculin A for an hour, then the membrane was inc at 15 µg

Secondary

All lanes:

Western blot - Goat Anti-Rabbit IgG H&L (HRP) (<a href='/en-us/products/secondary-antibodies/goat-rabbit-igg-h-l-hrp-ab97051'>ab97051</a>) at 1/20000 dilution

true

Exposure time: 5s

Dot Blot - Anti-FGFR1 (phospho Y653) antibody [EPR843(N)] - BSA and Azide free (AB213609)
  • Dot

Supplier Data

Dot Blot - Anti-FGFR1 (phospho Y653) antibody [EPR843(N)] - BSA and Azide free (AB213609)

Dot blot analysis of ab173305 at 1/1000 dilution. The secondary antibody used was Goat Anti-Rabbit IgG H&L (HRP) (ab97051) at 1/100000 dilution.

Lane 1 : FGFR1 non-phospho peptide
Lane 2 : FGFR1 Y653 phospho peptide
Lane 3 : FGFR1 Y654 phospho peptide
Lane 4 : FGFR1 Y653 + Y654 phospho peptide
Lane 5 : FGFR2 non-phospho peptide
Lane 6 : FGFR2 Y656 phospho peptide
Lane 7 : FGFR2 Y657 phospho peptide
Lane 8 : FGFR2 Y656 + Y657 phospho peptide
Lane 9 : FGFR3 non-phospho peptide
Lane 10 : FGFR3 Y647 phospho peptide
Lane 11 : FGFR3 Y648 phospho peptide
Lane 12 : FGFR3 Y647 + Y648 phospho peptide
Lane 13 : FGFR4 non-phospho peptide
Lane 14 : FGFR4 Y642 phospho peptide
Lane 15 : FGFR4 Y643 phospho peptide
Lane 16 : FGFR4 Y642 + Y643 phospho peptide

Key facts

Host species

Rabbit

Clonality

Monoclonal

Clone number

EPR843(N)

Isotype

IgG

Carrier free

Yes

Reacts with

Human

Applications

I-ELISA, WB, Dot

applications

Immunogen

The exact immunogen used to generate this antibody is proprietary information.

Specificity

This antibody recognizes FGFR1 (phospho Y653), FGFR2 (phospho Y656), FGFR3 (phospho Y647) and FGFR4 (phospho Y642). Furthermore, ab173305 also reacts with FGFR1 (phospho Y654) and FGFR4 (phospho Y643).

Reactivity data

{ "title": "Reactivity Data", "filters": { "stats": ["", "Species", "Dilution Info", "Notes"], "tabs": { "all-applications": {"fullname" : "All Applications", "shortname": "All Applications"}, "IHCP" : {"fullname" : "Immunohistochemistry (Formalin/PFA-fixed paraffin-embedded sections)", "shortname":"IHC-P"}, "ICCIF" : {"fullname" : "Immunocytochemistry/ Immunofluorescence", "shortname":"ICC/IF"}, "IP" : {"fullname" : "Immunoprecipitation", "shortname":"IP"}, "FlowCyt" : {"fullname" : "Flow Cytometry", "shortname":"Flow Cyt"}, "WB" : {"fullname" : "Western blot", "shortname":"WB"}, "IELISA" : {"fullname" : "Indirect ELISA", "shortname":"I-ELISA"}, "Dot" : {"fullname" : "Dot Blot", "shortname":"Dot"} }, "product-promise": { "all": "all", "testedAndGuaranteed": "tested", "guaranteed": "expected", "predicted": "predicted", "notRecommended": "not-recommended" } }, "values": { "Human": { "IHCP-species-checked": "notRecommended", "IHCP-species-dilution-info": "", "IHCP-species-notes": "<p></p>", "ICCIF-species-checked": "notRecommended", "ICCIF-species-dilution-info": "", "ICCIF-species-notes": "<p></p>", "IP-species-checked": "notRecommended", "IP-species-dilution-info": "", "IP-species-notes": "<p></p>", "FlowCyt-species-checked": "notRecommended", "FlowCyt-species-dilution-info": "", "FlowCyt-species-notes": "<p></p>", "WB-species-checked": "testedAndGuaranteed", "WB-species-dilution-info": "", "WB-species-notes": "<p></p>", "IELISA-species-checked": "testedAndGuaranteed", "IELISA-species-dilution-info": "", "IELISA-species-notes": "<p></p>", "Dot-species-checked": "testedAndGuaranteed", "Dot-species-dilution-info": "", "Dot-species-notes": "<p></p>" } } }

Product details

ab213609 is the carrier-free version of ab173305.

This antibody was developed as part of a collaboration between Epitomics and Ira Daar at the National Cancer Institute, NIH.

Patented technology
Our RabMAb® technology is a patented hybridoma-based technology for making rabbit monoclonal antibodies. For details on our patents, please refer to RabMAb® patents.

What are the advantages of a recombinant monoclonal antibody?
This product is a recombinant monoclonal antibody, which offers several advantages including:

  • - High batch-to-batch consistency and reproducibility
  • - Improved sensitivity and specificity
  • - Long-term security of supply
  • - Animal-free batch production

For more information, read more on recombinant antibodies.

Conjugation ready
Our carrier-free antibodies are typically supplied in a PBS-only formulation, purified and free of BSA, sodium azide and glycerol. This conjugation-ready format is designed for use with fluorochromes, metal isotopes, oligonucleotides, and enzymes, which makes them ideal for antibody labelling, functional and cell-based assays, flow-based assays (e.g. mass cytometry) and Multiplex Imaging applications.

Use our conjugation kits for antibody conjugates that are ready-to-use in as little as 20 minutes with 1 minute hands-on-time and 100% antibody recovery: available for fluorescent dyes, HRP, biotin and gold.

Compatibility
This product is compatible with the Maxpar® Antibody Labeling Kit from Fluidigm, without the need for antibody preparation. Maxpar® is a trademark of Fluidigm Canada Inc.

Properties and storage information

Form
Liquid
Purification technique
Affinity purification Protein A
Storage buffer
pH: 7.2 - 7.4 Constituents: PBS
Shipped at conditions
Blue Ice
Appropriate short-term storage conditions
+4°C
Appropriate long-term storage conditions
+4°C
Storage information
Do Not Freeze

Supplementary information

This supplementary information is collated from multiple sources and compiled automatically.

FGFR1 also known as fibroblast growth factor receptor 1 is a protein with a molecular weight of approximately 92 kDa. It is a receptor tyrosine kinase that binds to fibroblast growth factors (FGFs) triggering a cascade of downstream signaling pathways. FGFR1 is widely expressed in various tissues including the brain skeletal muscle and the cardiovascular system. The FGFR1 protein plays an essential role in cellular processes such as proliferation differentiation and survival.
Biological function summary

FGFR1 is significant in embryonic development and tissue repair. It does not function alone; rather it forms a complex with fibroblast growth factors and heparan sulfate proteoglycans facilitating receptor dimerization and autophosphorylation. FGFR1 is involved in bone growth angiogenesis and wound healing processes. The interaction of FGFR1 with these complex factors ensures the precise regulation of these critical physiological events in the body.

Pathways

FGFR1 participates actively in the MAPK/ERK and PI3K/AKT signaling pathways. These pathways are vital for transmitting signals from the cell surface to the DNA in the cell nucleus regulating gene expression and affecting cell cycle progression. FGFR1 works alongside similar proteins like FGFR2 influencing cell fate decisions. By modulating these pathways FGFR1 ensures a proper response to environmental signals which maintains homeostasis and adapts to physiological needs.

FGFR1 is implicated in conditions such as cancer and skeletal dysplasias. Abnormal FGFR1 signaling due to mutations or overexpression can lead to tumorigenesis contributing to the development of cancers like breast and lung cancer. The protein FGFR2 is often evaluated in parallel for similar oncogenic activities. Moreover FGFR1-related dysregulation in bone development can result in skeletal disorders highlighting its importance in both normal physiology and pathological conditions. Anti-FGFR therapies and FGFR1 ELISA tools are being explored to better understand and tackle these diseases.

Product protocols

For this product, it's our understanding that no specific protocols are required. You can visit:

Target data

Tyrosine-protein kinase that acts as a cell-surface receptor for fibroblast growth factors and plays an essential role in the regulation of embryonic development, cell proliferation, differentiation and migration. Required for normal mesoderm patterning and correct axial organization during embryonic development, normal skeletogenesis and normal development of the gonadotropin-releasing hormone (GnRH) neuronal system. Phosphorylates PLCG1, FRS2, GAB1 and SHB. Ligand binding leads to the activation of several signaling cascades. Activation of PLCG1 leads to the production of the cellular signaling molecules diacylglycerol and inositol 1,4,5-trisphosphate. Phosphorylation of FRS2 triggers recruitment of GRB2, GAB1, PIK3R1 and SOS1, and mediates activation of RAS, MAPK1/ERK2, MAPK3/ERK1 and the MAP kinase signaling pathway, as well as of the AKT1 signaling pathway. Promotes phosphorylation of SHC1, STAT1 and PTPN11/SHP2. In the nucleus, enhances RPS6KA1 and CREB1 activity and contributes to the regulation of transcription. FGFR1 signaling is down-regulated by IL17RD/SEF, and by FGFR1 ubiquitination, internalization and degradation.
See full target information FGFR1 phospho Y653

Publications (1)

Recent publications for all applications. Explore the full list and refine your search

iScience 27:110668 PubMed39246442

2024

Multiplex imaging of localized prostate tumors reveals altered spatial organization of AR-positive cells in the microenvironment.

Applications

Unspecified application

Species

Unspecified reactive species

Çiğdem Ak,Zeynep Sayar,Guillaume Thibault,Erik A Burlingame,M J Kuykendall,Jennifer Eng,Alex Chitsazan,Koei Chin,Andrew C Adey,Christopher Boniface,Paul T Spellman,George V Thomas,Ryan P Kopp,Emek Demir,Young Hwan Chang,Vasilis Stavrinides,Sebnem Ece Eksi
View all publications

Product promise

We are committed to supporting your work with high-quality reagents, and we're here for you every step of the way. In the unlikely event that one of our products does not perform as expected, you're protected by our Product Promise.
For full details, please see our Terms & Conditions

Please note: All products are 'FOR RESEARCH USE ONLY. NOT FOR USE IN DIAGNOSTIC OR THERAPEUTIC PROCEDURES'.

For licensing inquiries, please contact partnerships@abcam.com