JavaScript is disabled in your browser. Please enable JavaScript to view this website.
AB59194

Anti-FGFR1 (phospho Y654) antibody

4

(3 Reviews)

|

(40 Publications)

Anti-FGFR1 (phospho Y654) antibody (ab59194) is a rabbit polyclonal antibody detecting FGFR1 in Western Blot, IHC-P, ICC/IF. Suitable for African green monkey, Human, Mouse, Rat.

- Over 30 publications
- Trusted since 2007

View Alternative Names

CD331, BFGFR, CEK, FGFBR, FLG, FLT2, HBGFR, FGFR1, Fibroblast growth factor receptor 1, FGFR-1, Basic fibroblast growth factor receptor 1, Fms-like tyrosine kinase 2, N-sam, Proto-oncogene c-Fgr, bFGF-R-1, FLT-2

8 Images
Western blot - Anti-FGFR1 (phospho Y654) antibody (AB59194)
  • WB

Supplier Data

Western blot - Anti-FGFR1 (phospho Y654) antibody (AB59194)

Loading control : Beta Actin

All lanes:

Western blot - Anti-FGFR1 (phospho Y654) antibody (ab59194) at 1/1000 dilution

Lane 1:

293 untreated lysates at 20 µg

Lane 2:

293 treated with 200 ng/mL EGF for 30 minutes at 20 µg

Lane 3:

HeLa untreated lysates at 20 µg

Lane 4:

HeLa treated with 200 ng/mL EGF for 30 minutes at 20 µg

Secondary

All lanes:

Goat Anti-Rabbit IgG (H+L) HRP at 1/10000 dilution

Predicted band size: 92 kDa

false

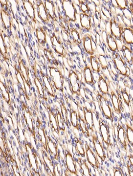
Immunohistochemistry (Formalin/PFA-fixed paraffin-embedded sections) - Anti-FGFR1 (phospho Y654) antibody (AB59194)
  • IHC-P

Lab

Immunohistochemistry (Formalin/PFA-fixed paraffin-embedded sections) - Anti-FGFR1 (phospho Y654) antibody (AB59194)

IHC image of FGFR1 (phospho Y654) staining in Human breast adenocarcinoma formalin fixed paraffin embedded tissue section, performed on a Leica Bond™ system using the standard protocol F. The section was pre-treated using heat mediated antigen retrieval with sodium citrate buffer (pH6, epitope retrieval solution 1) for 20 mins. The section was then incubated with ab59194, 1μg/ml, for 15 mins at room temperature and detected using an HRP conjugated compact polymer system. DAB was used as the chromogen. The section was then counterstained with haematoxylin and mounted with DPX.

For other IHC staining systems (automated and non-automated) customers should optimize variable parameters such as antigen retrieval conditions, primary antibody concentration and antibody incubation times.

Immunocytochemistry/ Immunofluorescence - Anti-FGFR1 (phospho Y654) antibody (AB59194)
  • ICC/IF

Unknown

Immunocytochemistry/ Immunofluorescence - Anti-FGFR1 (phospho Y654) antibody (AB59194)

ICC/IF image of ab59194 stained SKNSH cells. The cells were 4% formaldehyde fixed (10 min) and then incubated in 1%BSA / 10% normal goat serum / 0.3M glycine in 0.1% PBS-Tween for 1h to permeabilise the cells and block non-specific protein-protein interactions. The cells were then incubated with the antibody (ab59194, 5µg/ml) overnight at +4°C. The secondary antibody (green) was ab96899, DyLight® 488 goat anti-rabbit IgG (H+L) used at a 1/250 dilution for 1h. Alexa Fluor® 594 WGA was used to label plasma membranes (red) at a 1/200 dilution for 1h. DAPI was used to stain the cell nuclei (blue) at a concentration of 1.43µM.

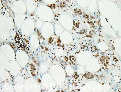
Immunohistochemistry (Formalin/PFA-fixed paraffin-embedded sections) - Anti-FGFR1 (phospho Y654) antibody (AB59194)
  • IHC-P

Supplier Data

Immunohistochemistry (Formalin/PFA-fixed paraffin-embedded sections) - Anti-FGFR1 (phospho Y654) antibody (AB59194)

Immunohistochemical analysis of paraffin-embedded mouse kidney tissue using FGFR1 (phospho Y654) antibody (ab59194) at 1/200 dilution. Primary antibody was incubated at 4°C overnight. Antigen retrieval was Tris-EDTA,pH8.0. Secondary antibody was diluted at 1/200 and incubation was at room temperature for 30 minutes.

Immunocytochemistry/ Immunofluorescence - Anti-FGFR1 (phospho Y654) antibody (AB59194)
  • ICC/IF

Supplier Data

Immunocytochemistry/ Immunofluorescence - Anti-FGFR1 (phospho Y654) antibody (AB59194)

Immunofluorescent analysis of rat lung tissue labeling FGFR1 (phospho Y654) with ab59194 at 1/200 at 4°C overnight. Alexa flour 594 labeled Secondary antibody was diluted at 1 : 2000 (room temperature, 50min).

Western blot - Anti-FGFR1 (phospho Y654) antibody (AB59194)
  • WB

Supplier Data

Western blot - Anti-FGFR1 (phospho Y654) antibody (AB59194)

All lanes:

Western blot - Anti-FGFR1 (phospho Y654) antibody (ab59194) at 1/1000 dilution

All lanes:

HeLa cell lysate

Predicted band size: 92 kDa

false

Immunocytochemistry/ Immunofluorescence - Anti-FGFR1 (phospho Y654) antibody (AB59194)
  • ICC/IF

Supplier Data

Immunocytochemistry/ Immunofluorescence - Anti-FGFR1 (phospho Y654) antibody (AB59194)

Immunofluorescent analysis of COS7 cells labeling FGFR1 (phospho-Tyr654) with ab59194 at 1 : 100. The image on the right is blocked with the phosphopeptide prior to imunnoflurescent labeling.

Western blot - Anti-FGFR1 (phospho Y654) antibody (AB59194)
  • WB

Unknown

Western blot - Anti-FGFR1 (phospho Y654) antibody (AB59194)

All lanes:

Western blot - Anti-FGFR1 (phospho Y654) antibody (ab59194) at 1/500 dilution

Lane 1:

293 cell extract treated with insulin (0.01U/ml, 15 mins)

Lane 2:

293 cell extract treated with insulin (0.01U/ml, 15 mins) with immunizing phosphopeptide

Predicted band size: 92 kDa

Observed band size: 120 kDa

false

Key facts

Host species

Rabbit

Clonality

Polyclonal

Isotype

IgG

Carrier free

No

Reacts with

Mouse, Rat, Human, African green monkey

Applications

IHC-P, WB, ICC/IF

applications

Immunogen

Synthetic Peptide within Human FGFR1 phospho Y654 aa 600-700. The exact immunogen used to generate this antibody is proprietary information.

P11362

Specificity

Binds human and mouse FGFR1 only when phosphorylated at tyrosine 654 and rat FGFR1 only when phosphorylated at tyrosine 561.

Reactivity data

{ "title": "Reactivity Data", "filters": { "stats": ["", "Species", "Dilution Info", "Notes"], "tabs": { "all-applications": {"fullname" : "All Applications", "shortname": "All Applications"}, "WB" : {"fullname" : "Western blot", "shortname":"WB"}, "IHCP" : {"fullname" : "Immunohistochemistry (Formalin/PFA-fixed paraffin-embedded sections)", "shortname":"IHC-P"}, "ICCIF" : {"fullname" : "Immunocytochemistry/ Immunofluorescence", "shortname":"ICC/IF"} }, "product-promise": { "all": "all", "testedAndGuaranteed": "tested", "guaranteed": "expected", "predicted": "predicted", "notRecommended": "not-recommended" } }, "values": { "Human": { "WB-species-checked": "testedAndGuaranteed", "WB-species-dilution-info": "1/500 - 1/1000", "WB-species-notes": "<p></p>", "IHCP-species-checked": "testedAndGuaranteed", "IHCP-species-dilution-info": "", "IHCP-species-notes": "<p></p>", "ICCIF-species-checked": "testedAndGuaranteed", "ICCIF-species-dilution-info": "", "ICCIF-species-notes": "<p></p>" }, "Mouse": { "WB-species-checked": "guaranteed", "WB-species-dilution-info": "", "WB-species-notes": "", "IHCP-species-checked": "testedAndGuaranteed", "IHCP-species-dilution-info": "", "IHCP-species-notes": "<p></p>", "ICCIF-species-checked": "guaranteed", "ICCIF-species-dilution-info": "", "ICCIF-species-notes": "" }, "Rat": { "WB-species-checked": "guaranteed", "WB-species-dilution-info": "", "WB-species-notes": "", "IHCP-species-checked": "guaranteed", "IHCP-species-dilution-info": "", "IHCP-species-notes": "", "ICCIF-species-checked": "testedAndGuaranteed", "ICCIF-species-dilution-info": "", "ICCIF-species-notes": "<p></p>" }, "African green monkey": { "WB-species-checked": "guaranteed", "WB-species-dilution-info": "", "WB-species-notes": "", "IHCP-species-checked": "guaranteed", "IHCP-species-dilution-info": "", "IHCP-species-notes": "", "ICCIF-species-checked": "testedAndGuaranteed", "ICCIF-species-dilution-info": "", "ICCIF-species-notes": "<p></p>" } } }

Product details

What is this antibody validated in?
Anti-FGFR1 (phospho Y654) antibody (ab59194) is a rabbit polyclonal antibody and is validated for use in Western Blot (WB), Immunohistochemistry (IHC-P), Immunocytochemistry/immunofluorescence (ICC/IF) in African green monkey, Human, Mouse, Rat samples.

What is the molecular weight of FGFR1?
Anti-FGFR1 (phospho Y654) (ab59194) specifically detects a band for FGFR1 (UniProt: P11362) at a molecular weight of 92kDa.

Trusted by the scientific community
Anti-FGFR1 (phospho Y654) (ab59194) was first used in a scientific publication in 2007 and has been cited over 30 times in peer-reviewed journals.

Properties and storage information

Form
Liquid
Purification technique
Affinity purification Immunogen
Purification notes
Affinity purified from rabbit antiserum by affinity chromatography using epitope specific phosphopeptide. The antibody against non-phosphopeptide was removed by chromatography using non-phosphopeptide corresponding to the phosphorylation site.
Storage buffer
pH: 7.4 Preservative: 0.02% Sodium azide Constituents: PBS, 50% Glycerol (glycerin, glycerine), 0.87% Sodium chloride
Shipped at conditions
Blue Ice
Appropriate short-term storage conditions
+4°C
Appropriate long-term storage conditions
-20°C
Storage information
Stable for 12 months at -20°C

Supplementary information

This supplementary information is collated from multiple sources and compiled automatically.

FGFR1 also known as fibroblast growth factor receptor 1 is a protein with a molecular weight of approximately 92 kDa. It is a receptor tyrosine kinase that binds to fibroblast growth factors (FGFs) triggering a cascade of downstream signaling pathways. FGFR1 is widely expressed in various tissues including the brain skeletal muscle and the cardiovascular system. The FGFR1 protein plays an essential role in cellular processes such as proliferation differentiation and survival.
Biological function summary

FGFR1 is significant in embryonic development and tissue repair. It does not function alone; rather it forms a complex with fibroblast growth factors and heparan sulfate proteoglycans facilitating receptor dimerization and autophosphorylation. FGFR1 is involved in bone growth angiogenesis and wound healing processes. The interaction of FGFR1 with these complex factors ensures the precise regulation of these critical physiological events in the body.

Pathways

FGFR1 participates actively in the MAPK/ERK and PI3K/AKT signaling pathways. These pathways are vital for transmitting signals from the cell surface to the DNA in the cell nucleus regulating gene expression and affecting cell cycle progression. FGFR1 works alongside similar proteins like FGFR2 influencing cell fate decisions. By modulating these pathways FGFR1 ensures a proper response to environmental signals which maintains homeostasis and adapts to physiological needs.

FGFR1 is implicated in conditions such as cancer and skeletal dysplasias. Abnormal FGFR1 signaling due to mutations or overexpression can lead to tumorigenesis contributing to the development of cancers like breast and lung cancer. The protein FGFR2 is often evaluated in parallel for similar oncogenic activities. Moreover FGFR1-related dysregulation in bone development can result in skeletal disorders highlighting its importance in both normal physiology and pathological conditions. Anti-FGFR therapies and FGFR1 ELISA tools are being explored to better understand and tackle these diseases.

Product protocols

For this product, it's our understanding that no specific protocols are required. You can visit:

Target data

Tyrosine-protein kinase that acts as a cell-surface receptor for fibroblast growth factors and plays an essential role in the regulation of embryonic development, cell proliferation, differentiation and migration. Required for normal mesoderm patterning and correct axial organization during embryonic development, normal skeletogenesis and normal development of the gonadotropin-releasing hormone (GnRH) neuronal system. Phosphorylates PLCG1, FRS2, GAB1 and SHB. Ligand binding leads to the activation of several signaling cascades. Activation of PLCG1 leads to the production of the cellular signaling molecules diacylglycerol and inositol 1,4,5-trisphosphate. Phosphorylation of FRS2 triggers recruitment of GRB2, GAB1, PIK3R1 and SOS1, and mediates activation of RAS, MAPK1/ERK2, MAPK3/ERK1 and the MAP kinase signaling pathway, as well as of the AKT1 signaling pathway. Promotes phosphorylation of SHC1, STAT1 and PTPN11/SHP2. In the nucleus, enhances RPS6KA1 and CREB1 activity and contributes to the regulation of transcription. FGFR1 signaling is down-regulated by IL17RD/SEF, and by FGFR1 ubiquitination, internalization and degradation.
See full target information FGFR1 phospho Y654

Publications (40)

Recent publications for all applications. Explore the full list and refine your search

Journal of neuroinflammation 22:170 PubMed40581646

2025

Genetically-engineered Salmonella typhimurium expressing FGF21 promotes neurological recovery in ischemic stroke via FGFR1/AMPK/mTOR pathway.

Applications

Unspecified application

Species

Unspecified reactive species

Dongchen Xu,Min Wen,Bingwa Lebohang Anesu,Xijun Chen,Yuhao Chen,Wenqi Qian,Chenguang Yang,Jin Hai Zheng,Yinan Zhou,Haoqi Ni,Kunlin Jin,Qichuan Zhuge,Su Yang

Materials today. Bio 26:101104 PubMed38952539

2024

Turning sublimed sulfur and bFGF into a nanocomposite to accelerate wound healing via co-activate FGFR and Hippo signaling pathway.

Applications

Unspecified application

Species

Unspecified reactive species

Jieqiong Cao,Zijian Su,Yibo Zhang,Zhiqi Chen,Jingsheng Li,Yulin Cai,Yiming Chang,Minghua Lei,Qianyi He,Weicai Li,Xuan Liao,Shuixing Zhang,An Hong,Xiaojia Chen

Nature communications 14:4467 PubMed37491377

2023

Circular RNA encoded MET variant promotes glioblastoma tumorigenesis.

Applications

Unspecified application

Species

Unspecified reactive species

Jian Zhong,Xujia Wu,Yixin Gao,Junju Chen,Maolei Zhang,Huangkai Zhou,Jia Yang,Feizhe Xiao,Xuesong Yang,Nunu Huang,Haoyue Qi,Xiuxing Wang,Fan Bai,Yu Shi,Nu Zhang

Heliyon 9:e14952 PubMed37123894

2023

FGF21/FGFR1-β-KL cascade in cardiomyocytes modulates angiogenesis and inflammation under metabolic stress.

Applications

Unspecified application

Species

Unspecified reactive species

Namrita Kaur,Sanskruti Ravindra Gare,Andrea Ruiz-Velasco,Jessica M Miller,Riham R E Abouleisa,Qinghui Ou,Jiahan Shen,Handrean Soran,Tamer M A Mohamed,Wei Liu

Liver international : official journal of the International Association for the Study of the Liver 43:718-732 PubMed36448910

2022

An oral phenylacrylic acid derivative suppressed hepatic stellate cell activation and ameliorated liver fibrosis by blocking TGF-β1 signalling.

Applications

Unspecified application

Species

Unspecified reactive species

Taixiong Xue,Lin Yue,Guonian Zhu,Zui Tan,Hongyao Liu,Cailing Gan,Chen Fan,Xingping Su,Yuting Xie,Tinghong Ye

Clinical and experimental pharmacology & physiology 50:59-67 PubMed36111374

2022

Fibroblast growth factor 10 ameliorates renal ischaemia-reperfusion injury by attenuating mitochondrial damage.

Applications

Unspecified application

Species

Unspecified reactive species

Lixia Yu,Xiaojiao Yi,Cailong Yu,Fugen Wang,Xiaohua Tan

Molecular cancer 21:156 PubMed35906694

2022

A truncated derivative of FGFR1 kinase cooperates with FLT3 and KIT to transform hematopoietic stem cells in syndromic and de novo AML.

Applications

Unspecified application

Species

Unspecified reactive species

Baohuan Cai,Yun Liu,Yating Chong,Stephanie Fay Mori,Atsuko Matsunaga,Hualei Zhang,Xuexiu Fang,Chang-Sheng Chang,John K Cowell,Tianxiang Hu

Breast cancer research : BCR 24:42 PubMed35725493

2022

Preventing ovariectomy-induced weight gain decreases tumor burden in rodent models of obesity and postmenopausal breast cancer.

Applications

Unspecified application

Species

Unspecified reactive species

Elizabeth A Wellberg,Karen A Corleto,L Allyson Checkley,Sonali Jindal,Ginger Johnson,Janine A Higgins,Sarina Obeid,Steven M Anderson,Ann D Thor,Pepper J Schedin,Paul S MacLean,Erin D Giles

Theranostics 12:4513-4535 PubMed35832075

2022

Blockade of phosphotyrosine pathways suggesting SH2 superbinder as a novel therapy for pulmonary fibrosis.

Applications

Unspecified application

Species

Unspecified reactive species

Meng Wang,An-Dong Liu,Qian Niu,Xiao Feng,Yuan-Yi Zheng,Shuai-Jun Chen,Hui Xu,Qian Li,Guo-Qing Hou,Xiao-Yang Bi,Yu-Zhi Lu,Pei-Pei Cheng,Li-Mei Liang,Ye-Han Jiang,Li-Qin Zhao,Fei Liu,Lin-Jie Song,Li-Ling Zhou,Ling-Yan Xiao,Feng Chen,Shawn Shun-Cheng Li,Wan-Li Ma,Xuan Cao,Hong Ye

Molecular cell 81:4300-4318.e13 PubMed34437836

2021

Structured elements drive extensive circular RNA translation.

Applications

Unspecified application

Species

Unspecified reactive species

Chun-Kan Chen,Ran Cheng,Janos Demeter,Jin Chen,Shira Weingarten-Gabbay,Lihua Jiang,Michael P Snyder,Jonathan S Weissman,Eran Segal,Peter K Jackson,Howard Y Chang
View all publications

Product promise

We are committed to supporting your work with high-quality reagents, and we're here for you every step of the way. In the unlikely event that one of our products does not perform as expected, you're protected by our Product Promise.
For full details, please see our Terms & Conditions

Please note: All products are 'FOR RESEARCH USE ONLY. NOT FOR USE IN DIAGNOSTIC OR THERAPEUTIC PROCEDURES'.

For licensing inquiries, please contact partnerships@abcam.com