JavaScript is disabled in your browser. Please enable JavaScript to view this website.
AB59180

Anti-FGFR1 (phospho Y766) antibody

2

(1 Review)

|

(3 Publications)

Rabbit Polyclonal FGFR1 phospho Y766 antibody. Suitable for WB, IHC-P and reacts with Human samples. Cited in 3 publications. Immunogen corresponding to Synthetic Peptide within Human FGFR1 phospho Y766 aa 700-800.

View Alternative Names

CD331, BFGFR, CEK, FGFBR, FLG, FLT2, HBGFR, FGFR1, Fibroblast growth factor receptor 1, FGFR-1, Basic fibroblast growth factor receptor 1, Fms-like tyrosine kinase 2, N-sam, Proto-oncogene c-Fgr, bFGF-R-1, FLT-2

2 Images
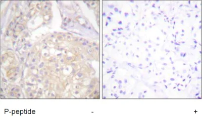
Immunohistochemistry (Formalin/PFA-fixed paraffin-embedded sections) - Anti-FGFR1 (phospho Y766) antibody (AB59180)
  • IHC-P

Unknown

Immunohistochemistry (Formalin/PFA-fixed paraffin-embedded sections) - Anti-FGFR1 (phospho Y766) antibody (AB59180)

Immunohistochemistry analysis of paraffin-embedded human breast carcinoma tissue using ab59180 with and without the addition of the synthetic phosphopeptide derived from human FGFR1 around the phosphorylation site of tyrosine 766.

Western blot - Anti-FGFR1 (phospho Y766) antibody (AB59180)
  • WB

Unknown

Western blot - Anti-FGFR1 (phospho Y766) antibody (AB59180)

All lanes:

Western blot - Anti-FGFR1 (phospho Y766) antibody (ab59180)

Lane 1:

EGF-treated HepG2 cell extract

Lane 2:

EGF-treated HepG2 cell extract with blocking phosphopeptide

Predicted band size: 92 kDa

false

Key facts

Host species

Rabbit

Clonality

Polyclonal

Isotype

IgG

Carrier free

No

Reacts with

Human

Applications

IHC-P, WB

applications

Immunogen

Synthetic Peptide within Human FGFR1 phospho Y766 aa 700-800. The exact immunogen used to generate this antibody is proprietary information.

P11362

Reactivity data

{ "title": "Reactivity Data", "filters": { "stats": ["", "Species", "Dilution Info", "Notes"], "tabs": { "all-applications": {"fullname" : "All Applications", "shortname": "All Applications"}, "WB" : {"fullname" : "Western blot", "shortname":"WB"}, "IHCP" : {"fullname" : "Immunohistochemistry (Formalin/PFA-fixed paraffin-embedded sections)", "shortname":"IHC-P"} }, "product-promise": { "all": "all", "testedAndGuaranteed": "tested", "guaranteed": "expected", "predicted": "predicted", "notRecommended": "not-recommended" } }, "values": { "Human": { "WB-species-checked": "testedAndGuaranteed", "WB-species-dilution-info": "1/500 - 1/1000", "WB-species-notes": "<p></p>", "IHCP-species-checked": "testedAndGuaranteed", "IHCP-species-dilution-info": "", "IHCP-species-notes": "<p></p>" }, "Mouse": { "WB-species-checked": "predicted", "WB-species-dilution-info": "", "WB-species-notes": "", "IHCP-species-checked": "predicted", "IHCP-species-dilution-info": "", "IHCP-species-notes": "" }, "Rat": { "WB-species-checked": "predicted", "WB-species-dilution-info": "", "WB-species-notes": "", "IHCP-species-checked": "predicted", "IHCP-species-dilution-info": "", "IHCP-species-notes": "" } } }

Properties and storage information

Form
Liquid
Purification technique
Affinity purification Immunogen
Purification notes
Affinity purified from rabbit antiserum by affinity chromatography using epitope specific phosphopeptide. The antibody against non phosphopeptide was removed by chromatography using non phosphopeptide corresponding to the phosphorylation site
Storage buffer
pH: 7.4 Preservative: 0.02% Sodium azide Constituents: PBS, 50% Glycerol (glycerin, glycerine), 0.87% Sodium chloride
Shipped at conditions
Blue Ice
Appropriate short-term storage conditions
+4°C
Appropriate long-term storage conditions
-20°C
Storage information
Stable for 12 months at -20°C

Supplementary information

This supplementary information is collated from multiple sources and compiled automatically.

FGFR1 also known as fibroblast growth factor receptor 1 is a protein with a molecular weight of approximately 92 kDa. It is a receptor tyrosine kinase that binds to fibroblast growth factors (FGFs) triggering a cascade of downstream signaling pathways. FGFR1 is widely expressed in various tissues including the brain skeletal muscle and the cardiovascular system. The FGFR1 protein plays an essential role in cellular processes such as proliferation differentiation and survival.
Biological function summary

FGFR1 is significant in embryonic development and tissue repair. It does not function alone; rather it forms a complex with fibroblast growth factors and heparan sulfate proteoglycans facilitating receptor dimerization and autophosphorylation. FGFR1 is involved in bone growth angiogenesis and wound healing processes. The interaction of FGFR1 with these complex factors ensures the precise regulation of these critical physiological events in the body.

Pathways

FGFR1 participates actively in the MAPK/ERK and PI3K/AKT signaling pathways. These pathways are vital for transmitting signals from the cell surface to the DNA in the cell nucleus regulating gene expression and affecting cell cycle progression. FGFR1 works alongside similar proteins like FGFR2 influencing cell fate decisions. By modulating these pathways FGFR1 ensures a proper response to environmental signals which maintains homeostasis and adapts to physiological needs.

FGFR1 is implicated in conditions such as cancer and skeletal dysplasias. Abnormal FGFR1 signaling due to mutations or overexpression can lead to tumorigenesis contributing to the development of cancers like breast and lung cancer. The protein FGFR2 is often evaluated in parallel for similar oncogenic activities. Moreover FGFR1-related dysregulation in bone development can result in skeletal disorders highlighting its importance in both normal physiology and pathological conditions. Anti-FGFR therapies and FGFR1 ELISA tools are being explored to better understand and tackle these diseases.

Product protocols

For this product, it's our understanding that no specific protocols are required. You can visit:

Target data

Tyrosine-protein kinase that acts as a cell-surface receptor for fibroblast growth factors and plays an essential role in the regulation of embryonic development, cell proliferation, differentiation and migration. Required for normal mesoderm patterning and correct axial organization during embryonic development, normal skeletogenesis and normal development of the gonadotropin-releasing hormone (GnRH) neuronal system. Phosphorylates PLCG1, FRS2, GAB1 and SHB. Ligand binding leads to the activation of several signaling cascades. Activation of PLCG1 leads to the production of the cellular signaling molecules diacylglycerol and inositol 1,4,5-trisphosphate. Phosphorylation of FRS2 triggers recruitment of GRB2, GAB1, PIK3R1 and SOS1, and mediates activation of RAS, MAPK1/ERK2, MAPK3/ERK1 and the MAP kinase signaling pathway, as well as of the AKT1 signaling pathway. Promotes phosphorylation of SHC1, STAT1 and PTPN11/SHP2. In the nucleus, enhances RPS6KA1 and CREB1 activity and contributes to the regulation of transcription. FGFR1 signaling is down-regulated by IL17RD/SEF, and by FGFR1 ubiquitination, internalization and degradation.
See full target information FGFR1 phospho Y766

Publications (3)

Recent publications for all applications. Explore the full list and refine your search

Structure (London, England : 1993) 26:446-458.e8 PubMed29478821

2018

Disease Variants of FGFR3 Reveal Molecular Basis for the Recognition and Additional Roles for Cdc37 in Hsp90 Chaperone System.

Applications

Unspecified application

Species

Unspecified reactive species

Tom D Bunney,Alison J Inglis,Domenico Sanfelice,Brendan Farrell,Christopher J Kerr,Gary S Thompson,Glenn R Masson,Nethaji Thiyagarajan,Dmitri I Svergun,Roger L Williams,Alexander L Breeze,Matilda Katan

The Journal of biological chemistry 292:9240-9251 PubMed28389563

2017

Structure of the WipA protein reveals a novel tyrosine protein phosphatase effector from .

Applications

Unspecified application

Species

Unspecified reactive species

Nikos Pinotsis,Gabriel Waksman

The Journal of biological chemistry 287:7190-202 PubMed22247553

2012

Fibronectin induces endothelial cell migration through β1 integrin and Src-dependent phosphorylation of fibroblast growth factor receptor-1 at tyrosines 653/654 and 766.

Applications

WB, WB

Species

Human, Mouse

Li Zou,Sheng Cao,Ningling Kang,Robert C Huebert,Vijay H Shah
View all publications

Product promise

We are committed to supporting your work with high-quality reagents, and we're here for you every step of the way. In the unlikely event that one of our products does not perform as expected, you're protected by our Product Promise.
For full details, please see our Terms & Conditions

Please note: All products are 'FOR RESEARCH USE ONLY. NOT FOR USE IN DIAGNOSTIC OR THERAPEUTIC PROCEDURES'.

For licensing inquiries, please contact partnerships@abcam.com