JavaScript is disabled in your browser. Please enable JavaScript to view this website.
AB289993

Anti-FGFR2 antibody [EPR24075-418] - BSA and Azide free

  • BOND RX™ Validated
  • RabMAb
  • Recombinant
  • KO Validated
  • What is this?

Be the first to review this product! Submit a review

|

(0 Publication)

Rabbit Recombinant Monoclonal FGFR2 antibody. Carrier free. Suitable for ICC/IF, IP, Flow Cyt, WB, IHC-P and reacts with Human samples.

View Alternative Names

CD332, BEK, KGFR, KSAM, FGFR2, Fibroblast growth factor receptor 2, FGFR-2, K-sam, Keratinocyte growth factor receptor

8 Images
Western blot - Anti-FGFR2 antibody [EPR24075-418] - BSA and Azide free (AB289993)
  • WB

Lab

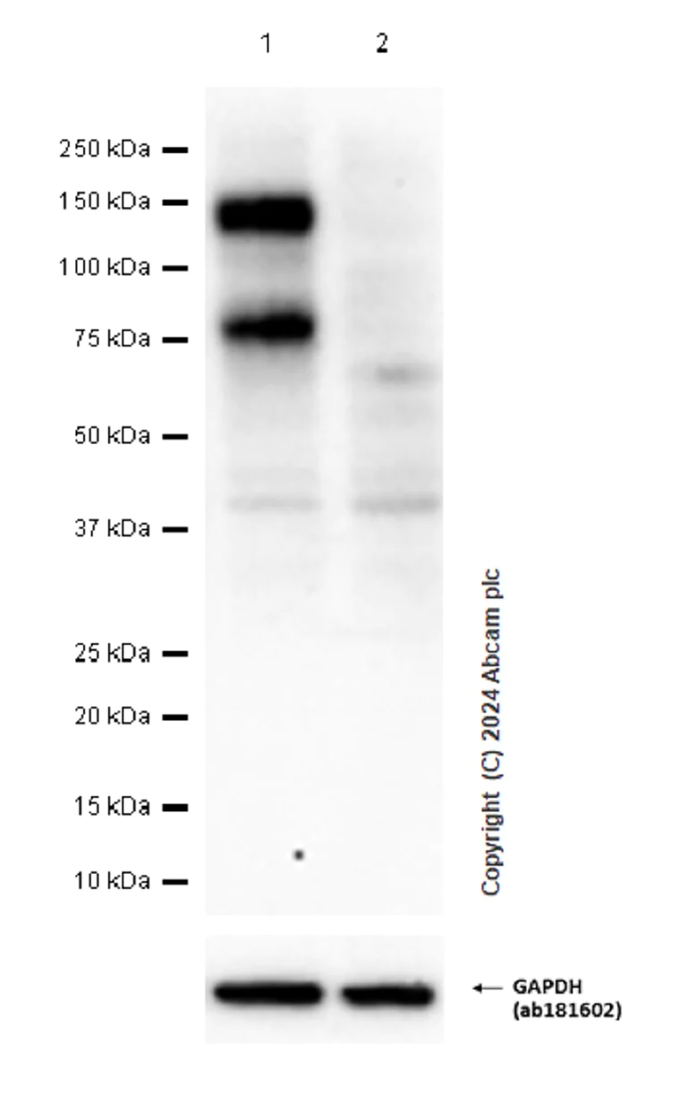
Western blot - Anti-FGFR2 antibody [EPR24075-418] - BSA and Azide free (AB289993)

This data was developed using ab289968, the same antibody clone in a different buffer formulation.

In Western blot, Anti-GAPDH antibody [EPR16891] - Loading Control (ab181602) at 1/1000000 dilution.

This blot was developed using a high sensitivity ECL substrate. The high-sensitivity ECL substrate used allows for the detection of proteins in the mid-femtogram range.

All lanes:

Western blot - Anti-FGFR2 antibody [EPR24075-418] (<a href='/en-us/products/primary-antibodies/fgfr2-antibody-epr24075-418-ab289968'>ab289968</a>) at 1/1000 dilution

Lane 1:

Wild-type HAP1 (human chronic myelogenous leukemia near-haploid cell) whole cell lysate at 20 µg

Lane 2:

FGFR2 KO HAP1 whole cell lysate at 20 µg

Secondary

All lanes:

Western blot - Goat Anti-Rabbit IgG H&L (HRP) (<a href='/en-us/products/secondary-antibodies/goat-rabbit-igg-h-l-hrp-ab97051'>ab97051</a>) at 1/20000 dilution

Observed band size: 85 kDa,145 kDa

true

Exposure time: 80s

Immunohistochemistry (Formalin/PFA-fixed paraffin-embedded sections) - Anti-FGFR2 antibody [EPR24075-418] - BSA and Azide free (AB289993)
  • IHC-P

Lab

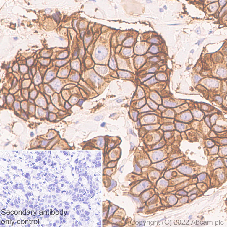
Immunohistochemistry (Formalin/PFA-fixed paraffin-embedded sections) - Anti-FGFR2 antibody [EPR24075-418] - BSA and Azide free (AB289993)

This data was developed using ab289968, the same antibody clone in a different buffer formμlation.

Immunohistochemical analysis of paraffin-embedded Human gastric adenocarcinoma tissue labelling FGFR2 with ab289968 at 1/100 dilution, followed LeicaDS9800 (Bond™, Polymer Refine Detection). Membraneous staining on human gastric adenocarcinoma (PMID : 24518603). The section was incubated with ab289968 for 30 mins at room temperature. The immunostaining was performed on a Leica Biosystems BOND® RX instrument. Counterstained with Hematoxylin.

Secondary antibody only control : Secondary antibody is LeicaDS9800 (Bond™, Polymer Refine Detection).

Heat mediated antigen retrieval with Tris-EDTA buffer (pH 9.0, epitope retrieval solution2) for 20 mins

Immunocytochemistry/ Immunofluorescence - Anti-FGFR2 antibody [EPR24075-418] - BSA and Azide free (AB289993)
  • ICC/IF

Lab

Immunocytochemistry/ Immunofluorescence - Anti-FGFR2 antibody [EPR24075-418] - BSA and Azide free (AB289993)

This data was developed using ab289968, the same antibody clone in a different buffer formulation.

Immunofluorescent analysis of 4% Paraformaldehyde-fixed, 0.1% Triton X-100 permeabilized KATO III cells labeling FGFR2 with ab289968 at 1/50 dilution, followed by ab150081 Goat Anti-Rabbit IgG H&L (Alexa Fluor® 488) preadsorbed antibody at 1/1000 dilution (Green). Confocal image showing membrane staining in the KATO III cell line, while no staining was observed in the SW620 cell line. Negative control : SW620 (PMID : 24968263). ab195889 Anti-alpha Tubulin mouse monoclonal antibody - Microtubule Marker (Alexa Fluor® 594) was used to counterstain tubulin at 1/200 dilution (Red). The Nuclear counterstain was DAPI (Blue).

Immunohistochemistry (Formalin/PFA-fixed paraffin-embedded sections) - Anti-FGFR2 antibody [EPR24075-418] - BSA and Azide free (AB289993)
  • IHC-P

Lab

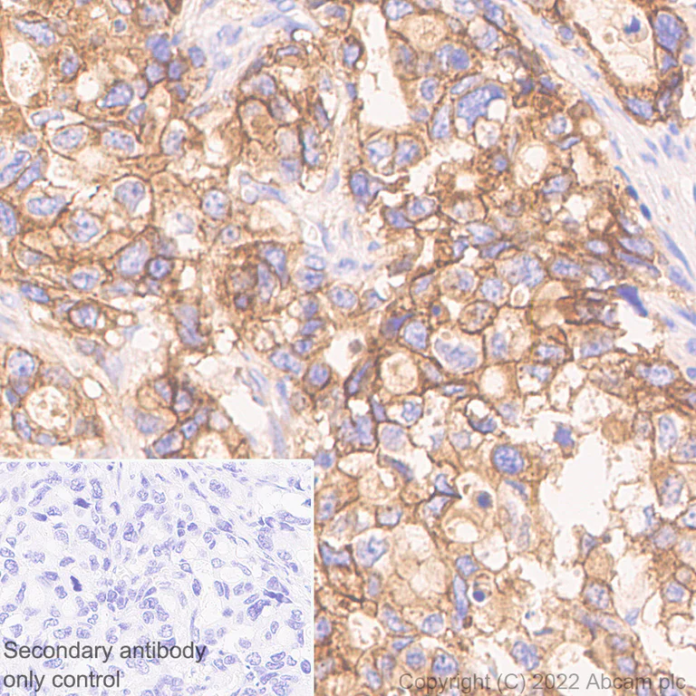
Immunohistochemistry (Formalin/PFA-fixed paraffin-embedded sections) - Anti-FGFR2 antibody [EPR24075-418] - BSA and Azide free (AB289993)

This data was developed using ab289968, the same antibody clone in a different buffer formulation.

Immunohistochemical analysis of paraffin-embedded Human breast carcinoma tissue labelling FGFR2 with ab289968 at 1/100 dilution, followed by LeicaDS9800 (Bond™, Polymer Refine Detection). The section was incubated with ab289968 for 30 mins at room temperature. The immunostaining was performed on a Leica Biosystems BOND® RX instrument. Counterstained with Hematoxylin.

Secondary antibody only control : Secondary antibody is LeicaDS9800 (Bond™, Polymer Refine Detection).

Heat mediated antigen retrieval with Tris-EDTA buffer (pH 9.0, epitope retrieval solution2) for 20 mins

Immunohistochemistry (Formalin/PFA-fixed paraffin-embedded sections) - Anti-FGFR2 antibody [EPR24075-418] - BSA and Azide free (AB289993)
  • IHC-P

Lab

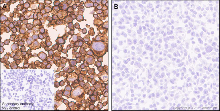
Immunohistochemistry (Formalin/PFA-fixed paraffin-embedded sections) - Anti-FGFR2 antibody [EPR24075-418] - BSA and Azide free (AB289993)

This data was developed using ab289968, the same antibody clone in a different buffer formulation.

Immunohistochemical analysis of paraffin-embedded (A) KATO III cells labeling FGFR2 with ab289968 at 1/100 dilution followed by LeicaDS9800 (Bond™, Polymer Refine Detection). Positive staining on (A) KATO III cells. Negative control : no staining on (B) SW620 cells (PMID : 24968263). The section was incubated with ab289968 for 30 mins at room temperature. The immunostaining was performed on a Leica Biosystems BOND® RX instrument Counterstained with Hematoxylin.

Secondary antibody only control : Secondary antibody is LeicaDS9800 (Bond™, Polymer Refine Detection).

Heat mediated antigen retrieval with Tris-EDTA buffer (pH 9.0, epitope retrieval solution2) for 20 mins

Flow Cytometry - Anti-FGFR2 antibody [EPR24075-418] - BSA and Azide free (AB289993)
  • Flow Cyt

Lab

Flow Cytometry - Anti-FGFR2 antibody [EPR24075-418] - BSA and Azide free (AB289993)

This data was developed using ab289968, the same antibody clone in a different buffer formulation.

Flow cytometric analysis of SW620 (human colorectal adenocarcinoma epithelial cell, Left) / KATO III (human gastric carcinoma, Right) cells labelling FGFR2 with ab289968 at 1/500 dilution (0.1μg) (Red) compared with a Rabbit monoclonal IgG (ab172730) (Black) isotype control and an unlabelled control (cells without incubation with primary antibody and secondary antibody) (Blue). Goat Anti-Rabbit IgG (Alexa Fluor® 488, ab150081) at 1/2000 dilution was used as the secondary antibody. Negative control : SW620 (PMID : 24968263). Gated on viable cells.

Immunoprecipitation - Anti-FGFR2 antibody [EPR24075-418] - BSA and Azide free (AB289993)
  • IP

Lab

Immunoprecipitation - Anti-FGFR2 antibody [EPR24075-418] - BSA and Azide free (AB289993)

This data was developed using ab289968, the same antibody clone in a different buffer formµlation.

FGFR2 was immunoprecipitated from 0.35 mg KATO III (human gastric carcinoma) whole cell lysate 10 µg with ab289968 at 1/30 dilution (2µg in 0.35mg lysates). Western blot was performed on the immunoprecipitate using ab289968 at 1/1000 dilution.VeriBlot for IP secondary antibody(HRP)(ab131366) was used at 1/5000 dilution.

Lane 1 : KATO III (human gastric carcinoma) whole cell lysate 10 µg

Lane 2 : ab289968 IP in KATO III whole cell lysate

Lane 3 : Rabbit monoclonal IgG (ab172730) instead of ab289968 in KATO III whole cell lysate

Blocking and dilution buffer and concentration : 5% NFDM/TBST.

Exposure time : 5.5 seconds

All lanes:

Immunoprecipitation - Anti-FGFR2 antibody [EPR24075-418] (<a href='/en-us/products/primary-antibodies/fgfr2-antibody-epr24075-418-ab289968'>ab289968</a>)

Predicted band size: 92 kDa

Observed band size: 145 kDa,85 kDa

false

Western blot - Anti-FGFR2 antibody [EPR24075-418] - BSA and Azide free (AB289993)
  • WB

Lab

Western blot - Anti-FGFR2 antibody [EPR24075-418] - BSA and Azide free (AB289993)

This data was developed using ab289968, the same antibody clone in a different buffer formulation.

Blocking and diluting buffer and concentration : 5% NFDM/TBST

The antibody recognizes endogenous levels of total FGFR2 protein and a C-terminal truncated form K-sam (PMID : 17505008).

Negative control : SW620 (PMID : 24968263)

Exposure time : 10 seconds

All lanes:

Western blot - Anti-FGFR2 antibody [EPR24075-418] (<a href='/en-us/products/primary-antibodies/fgfr2-antibody-epr24075-418-ab289968'>ab289968</a>) at 1/1000 dilution

Lane 1:

KATO III (human gastric carcinoma) whole cell lysate at 20 µg

Lane 2:

SW620 (human colorectal adenocarcinoma epithelial cell) whole cell lysate at 20 µg

Secondary

All lanes:

Goat Anti-Rabbit IgG, (H+L), Peroxidase conjugated (<a href='/en-us/products/secondary-antibodies/goat-rabbit-igg-h-l-hrp-ab97051'>ab97051</a>) at 1/100000 dilution

Predicted band size: 92 kDa

Observed band size: 145 kDa,85 kDa

false

Key facts

Host species

Rabbit

Clonality

Monoclonal

Clone number

EPR24075-418

Isotype

IgG

Carrier free

Yes

Reacts with

Human

Applications

ICC/IF, IP, Flow Cyt, IHC-P, WB

applications

Immunogen

The exact immunogen used to generate this antibody is proprietary information.

Reactivity data

{ "title": "Reactivity Data", "filters": { "stats": ["", "Species", "Dilution Info", "Notes"], "tabs": { "all-applications": {"fullname" : "All Applications", "shortname": "All Applications"}, "ICCIF" : {"fullname" : "Immunocytochemistry/ Immunofluorescence", "shortname":"ICC/IF"}, "IP" : {"fullname" : "Immunoprecipitation", "shortname":"IP"}, "FlowCyt" : {"fullname" : "Flow Cytometry", "shortname":"Flow Cyt"}, "WB" : {"fullname" : "Western blot", "shortname":"WB"}, "IHCP" : {"fullname" : "Immunohistochemistry (Formalin/PFA-fixed paraffin-embedded sections)", "shortname":"IHC-P"} }, "product-promise": { "all": "all", "testedAndGuaranteed": "tested", "guaranteed": "expected", "predicted": "predicted", "notRecommended": "not-recommended" } }, "values": { "Human": { "ICCIF-species-checked": "testedAndGuaranteed", "ICCIF-species-dilution-info": "", "ICCIF-species-notes": "<p></p>", "IP-species-checked": "testedAndGuaranteed", "IP-species-dilution-info": "", "IP-species-notes": "<p></p>", "FlowCyt-species-checked": "testedAndGuaranteed", "FlowCyt-species-dilution-info": "", "FlowCyt-species-notes": "<p></p>", "WB-species-checked": "testedAndGuaranteed", "WB-species-dilution-info": "", "WB-species-notes": "<p></p>", "IHCP-species-checked": "testedAndGuaranteed", "IHCP-species-dilution-info": "", "IHCP-species-notes": "<p></p>" }, "Mouse": { "ICCIF-species-checked": "notRecommended", "ICCIF-species-dilution-info": "", "ICCIF-species-notes": "", "IP-species-checked": "notRecommended", "IP-species-dilution-info": "", "IP-species-notes": "", "FlowCyt-species-checked": "notRecommended", "FlowCyt-species-dilution-info": "", "FlowCyt-species-notes": "", "WB-species-checked": "notRecommended", "WB-species-dilution-info": "", "WB-species-notes": "<p></p>", "IHCP-species-checked": "notRecommended", "IHCP-species-dilution-info": "", "IHCP-species-notes": "<p></p>" }, "Rat": { "ICCIF-species-checked": "notRecommended", "ICCIF-species-dilution-info": "", "ICCIF-species-notes": "", "IP-species-checked": "notRecommended", "IP-species-dilution-info": "", "IP-species-notes": "", "FlowCyt-species-checked": "notRecommended", "FlowCyt-species-dilution-info": "", "FlowCyt-species-notes": "", "WB-species-checked": "notRecommended", "WB-species-dilution-info": "", "WB-species-notes": "<p></p>", "IHCP-species-checked": "notRecommended", "IHCP-species-dilution-info": "", "IHCP-species-notes": "<p></p>" } } }

You may be interested in:

AB309321

Human FGFR2 ELISA Kit - Extracellular

0

0 Reviews

View product

We recommend this product because it’s often used in the same experiment or related research.

We advise that you always check the datasheet to ensure it fits your experiments, or contact ourtechnical teamfor help.

Product details

ab289993 is the carrier-free version of ab289968.

Patented technology
Our RabMAb® technology is a patented hybridoma-based technology for making rabbit monoclonal antibodies. For details on our patents, please refer to RabMAb® patents.

What are the advantages of a recombinant monoclonal antibody?
This product is a recombinant monoclonal antibody, which offers several advantages including:

  • - High batch-to-batch consistency and reproducibility
  • - Improved sensitivity and specificity
  • - Long-term security of supply
  • - Animal-free batch production

For more information, read more on recombinant antibodies.

Conjugation ready
Our carrier-free antibodies are typically supplied in a PBS-only formulation, purified and free of BSA, sodium azide and glycerol. This conjugation-ready format is designed for use with fluorochromes, metal isotopes, oligonucleotides, and enzymes, which makes them ideal for antibody labelling, functional and cell-based assays, flow-based assays (e.g. mass cytometry) and Multiplex Imaging applications.

Use our conjugation kits for antibody conjugates that are ready-to-use in as little as 20 minutes with 1 minute hands-on-time and 100% antibody recovery: available for fluorescent dyes, HRP, biotin and gold.

Compatibility
This product is compatible with the Maxpar® Antibody Labeling Kit from Fluidigm, without the need for antibody preparation. Maxpar® is a trademark of Fluidigm Canada Inc.

Properties and storage information

Form
Liquid
Purification technique
Affinity purification Protein A
Storage buffer
pH: 7.2 - 7.4 Constituents: 100% PBS
Shipped at conditions
Blue Ice
Appropriate short-term storage conditions
+4°C
Appropriate long-term storage conditions
+4°C

Supplementary information

This supplementary information is collated from multiple sources and compiled automatically.

The fibroblast growth factor receptor 2 (FGFR2) also known as CD332 is a protein that functions as a transmembrane receptor tyrosine kinase. FGFR2 is important in signal transduction where it binds to fibroblast growth factors triggering downstream intracellular pathways. FGFR2 has two main isoforms FGFR2b and FGFR2c created through alternative splicing. The molecular weight of FGFR2 varies by isoform typically around 100-110 kDa. It gets expressed in various tissues including epithelial and mesenchymal tissues.
Biological function summary

FGFR2 plays a role in diverse cellular processes like proliferation differentiation and migration. As part of a receptor-ligand complex FGFR2 partners with fibroblast growth factors to initiate signaling cascades. It contributes to embryonic development tissue repair and angiogenesis. FGFR2b expression predominantly appears in epithelial cells while FGFR2c is found in mesenchymal cells reflecting its distinct role in tissue-specific signaling.

Pathways

FGFR2 integrates into key signaling networks especially the MAPK and PI3K/AKT pathways. It interacts with proteins like FRS2 and GRB2 which facilitate the activation of downstream signals promoting cell survival and growth. FGFR2's engagement in these pathways is critical for maintaining normal cellular functions and contributes to its involvement in regulating complex cellular responses.

FGFR2 mutations have connections with certain cancers and craniosynostosis syndromes. Alterations in FGFR2 signaling pathways can lead to aberrant cellular growth and have been found in various cancers including breast and gastric cancer. In craniosynostosis syndromes mutations in FGFR2 affect bone development linking it with disorders like Apert syndrome. These conditions demonstrate the pivotal role of FGFR2 in maintaining cellular homeostasis and the consequences of its dysfunction.

Product protocols

For this product, it's our understanding that no specific protocols are required. You can visit:

Target data

Tyrosine-protein kinase that acts as a cell-surface receptor for fibroblast growth factors and plays an essential role in the regulation of cell proliferation, differentiation, migration and apoptosis, and in the regulation of embryonic development. Required for normal embryonic patterning, trophoblast function, limb bud development, lung morphogenesis, osteogenesis and skin development. Plays an essential role in the regulation of osteoblast differentiation, proliferation and apoptosis, and is required for normal skeleton development. Promotes cell proliferation in keratinocytes and immature osteoblasts, but promotes apoptosis in differentiated osteoblasts. Phosphorylates PLCG1, FRS2 and PAK4. Ligand binding leads to the activation of several signaling cascades. Activation of PLCG1 leads to the production of the cellular signaling molecules diacylglycerol and inositol 1,4,5-trisphosphate. Phosphorylation of FRS2 triggers recruitment of GRB2, GAB1, PIK3R1 and SOS1, and mediates activation of RAS, MAPK1/ERK2, MAPK3/ERK1 and the MAP kinase signaling pathway, as well as of the AKT1 signaling pathway. FGFR2 signaling is down-regulated by ubiquitination, internalization and degradation. Mutations that lead to constitutive kinase activation or impair normal FGFR2 maturation, internalization and degradation lead to aberrant signaling. Over-expressed FGFR2 promotes activation of STAT1.
See full target information FGFR2

Product promise

We are committed to supporting your work with high-quality reagents, and we're here for you every step of the way. In the unlikely event that one of our products does not perform as expected, you're protected by our Product Promise.
For full details, please see our Terms & Conditions

Associated Products

Select an associated product type
Alternative Version
Primary Antibodies

AB309606

Alexa Fluor® 488 Anti-FGFR2 antibody [EPR24075-418]

primary-antibodies

alexa-fluor-488-fgfr2-antibody-epr24075-418-ab309606

0

(0 reviews)

Please note: All products are 'FOR RESEARCH USE ONLY. NOT FOR USE IN DIAGNOSTIC OR THERAPEUTIC PROCEDURES'.

For licensing inquiries, please contact partnerships@abcam.com