JavaScript is disabled in your browser. Please enable JavaScript to view this website.
AB325965

Anti-FGFR2IIIb/FGFR2b antibody [EPR30797-567] - BSA and Azide free

Be the first to review this product! Submit a review

|

(0 Publication)

Rabbit Recombinant Monoclonal FGFR2 antibody. Carrier free. Suitable for WB, IHC-P and reacts with Transfected cell line - Human, Human samples.

View Alternative Names

CD332, BEK, KGFR, KSAM, Fibroblast growth factor receptor 2, FGFR-2, K-sam, Keratinocyte growth factor receptor

7 Images
Immunohistochemistry (Formalin/PFA-fixed paraffin-embedded sections) - Anti-FGFR2IIIb/FGFR2b antibody [EPR30797-567] - BSA and Azide free (AB325965)
  • IHC-P

Supplier Data

Immunohistochemistry (Formalin/PFA-fixed paraffin-embedded sections) - Anti-FGFR2IIIb/FGFR2b antibody [EPR30797-567] - BSA and Azide free (AB325965)

This data was developed using ab322553, the same antibody clone in a different buffer formulation.

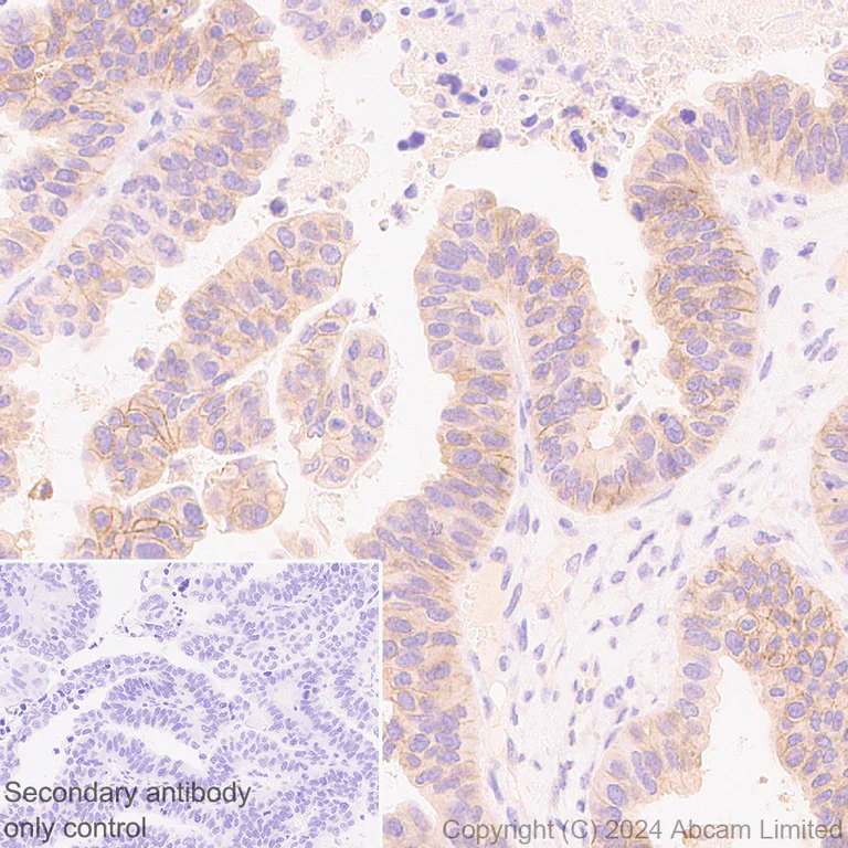
Immunohistochemical analysis of paraffin-embedded Human ovarian carcinoma tissue labeling FGFR2IIIb/FGFR2b with ab322553 at 1/100 (5.0 ug/ml) dilution followed by a ready to use LeicaDS9800 (Bond™ Polymer Refine Detection).

Positive staining on human ovarian carcinoma. The section was incubated with ab322553 for 30 mins at room temperature.
The immunostaining was performed on a Leica Biosystems BOND® RX instrument

Counterstained with Hematoxylin.

Secondary antibody only control : Secondary antibody is a ready to use LeicaDS9800 (Bond™ Polymer Refine Detection).

Heat mediated antigen retrieval was performed with Tris-EDTA buffer (pH 9.0 Epitope Retrieval Solution2) for 20 mins

Immunohistochemistry (Formalin/PFA-fixed paraffin-embedded sections) - Anti-FGFR2IIIb/FGFR2b antibody [EPR30797-567] - BSA and Azide free (AB325965)
  • IHC-P

Supplier Data

Immunohistochemistry (Formalin/PFA-fixed paraffin-embedded sections) - Anti-FGFR2IIIb/FGFR2b antibody [EPR30797-567] - BSA and Azide free (AB325965)

This data was developed using ab322553, the same antibody clone in a different buffer formulation.

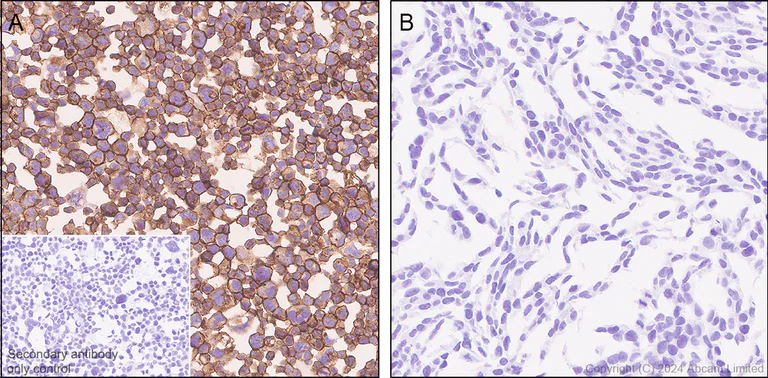
Immunohistochemical analysis of paraffin-embedded (A) KATO III (human stomach spherical cell) cell pellet. (B) HepG2 (human hepatocellular carcinoma epithelial cell) cell pellet. tissue labeling FGFR2IIIb/FGFR2b with ab322553 at 1/500 (1.0 ug/ml) dilution followed by a ready to use LeicaDS9800 (Bond™ Polymer Refine Detection).

Positive staining on KATO III (image A). Negative staining on HepG2 (image B). The section was incubated with ab322553 for 30 mins at room temperature.
The immunostaining was performed on a Leica Biosystems BOND® RX instrument

Counterstained with Hematoxylin.

Secondary antibody only control : Secondary antibody is a ready to use LeicaDS9800 (Bond™ Polymer Refine Detection).

Heat mediated antigen retrieval was performed with Tris-EDTA buffer (pH 9.0 Epitope Retrieval Solution2) for 20 mins

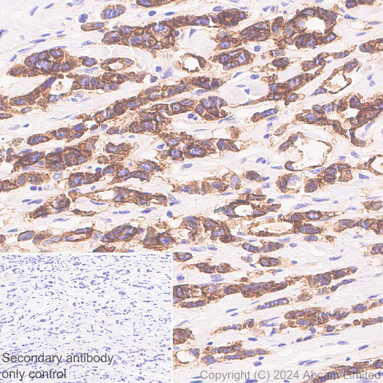
Immunohistochemistry (Formalin/PFA-fixed paraffin-embedded sections) - Anti-FGFR2IIIb/FGFR2b antibody [EPR30797-567] - BSA and Azide free (AB325965)
  • IHC-P

Supplier Data

Immunohistochemistry (Formalin/PFA-fixed paraffin-embedded sections) - Anti-FGFR2IIIb/FGFR2b antibody [EPR30797-567] - BSA and Azide free (AB325965)

This data was developed using ab322553, the same antibody clone in a different buffer formulation.

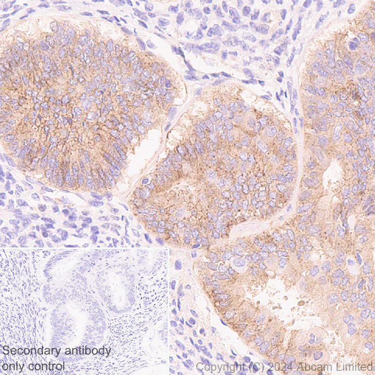
Immunohistochemical analysis of paraffin-embedded Human endometrial carcinoma tissue labeling FGFR2IIIb/FGFR2b with ab322553 at 1/100 (5.0 ug/ml) dilution followed by a ready to use LeicaDS9800 (Bond™ Polymer Refine Detection).

Positive staining on human endometrial carcinoma. The section was incubated with ab322553 for 30 mins at room temperature.
The immunostaining was performed on a Leica Biosystems BOND® RX instrument

Counterstained with Hematoxylin.

Secondary antibody only control : Secondary antibody is a ready to use LeicaDS9800 (Bond™ Polymer Refine Detection).

Heat mediated antigen retrieval was performed with Tris-EDTA buffer (pH 9.0 Epitope Retrieval Solution2) for 20 mins

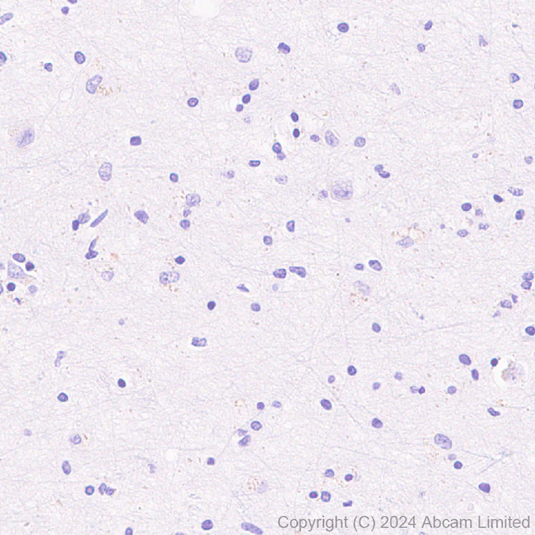
Immunohistochemistry (Formalin/PFA-fixed paraffin-embedded sections) - Anti-FGFR2IIIb/FGFR2b antibody [EPR30797-567] - BSA and Azide free (AB325965)
  • IHC-P

Supplier Data

Immunohistochemistry (Formalin/PFA-fixed paraffin-embedded sections) - Anti-FGFR2IIIb/FGFR2b antibody [EPR30797-567] - BSA and Azide free (AB325965)

This data was developed using ab322553, the same antibody clone in a different buffer formulation.

Immunohistochemical analysis of paraffin-embedded Human cerebrum tissue labeling FGFR2IIIb/FGFR2b with ab322553 at 1/100 (5.0 ug/ml) dilution followed by a ready to use LeicaDS9800 (Bond™ Polymer Refine Detection).

Negative control : no staining on human cerebrum. The section was incubated with ab322553 for 30 mins at room temperature.
The immunostaining was performed on a Leica Biosystems BOND® RX instrument

Counterstained with Hematoxylin.

Secondary antibody only control : Secondary antibody is a ready to use LeicaDS9800 (Bond™ Polymer Refine Detection).

Heat mediated antigen retrieval was performed with Tris-EDTA buffer (pH 9.0 Epitope Retrieval Solution2) for 20 mins

Immunohistochemistry (Formalin/PFA-fixed paraffin-embedded sections) - Anti-FGFR2IIIb/FGFR2b antibody [EPR30797-567] - BSA and Azide free (AB325965)
  • IHC-P

Supplier Data

Immunohistochemistry (Formalin/PFA-fixed paraffin-embedded sections) - Anti-FGFR2IIIb/FGFR2b antibody [EPR30797-567] - BSA and Azide free (AB325965)

This data was developed using ab322553, the same antibody clone in a different buffer formulation.

Immunohistochemical analysis of paraffin-embedded Human stomach adenocarcinoma tissue labeling FGFR2IIIb/FGFR2b with ab322553 at 1/100 (5.0 ug/ml) dilution followed by a ready to use LeicaDS9800 (Bond™ Polymer Refine Detection).

Positive staining on human stomach adenocarcinoma (only one of 45 human stomach adenocarcinoma cases was positive). The section was incubated with ab322553 for 30 mins at room temperature.
The immunostaining was performed on a Leica Biosystems BOND® RX instrument

Counterstained with Hematoxylin.

Secondary antibody only control : Secondary antibody is a ready to use LeicaDS9800 (Bond™ Polymer Refine Detection).

Heat mediated antigen retrieval was performed with Tris-EDTA buffer (pH 9.0 Epitope Retrieval Solution2) for 20 mins

Western blot - Anti-FGFR2IIIb/FGFR2b antibody [EPR30797-567] - BSA and Azide free (AB325965)
  • WB

Supplier Data

Western blot - Anti-FGFR2IIIb/FGFR2b antibody [EPR30797-567] - BSA and Azide free (AB325965)

This data was developed using ab322553, the same antibody clone in a different buffer formulation.

Blocking and diluting buffer and concentration : 5% NFDM/TBST.

Negative control : HepG2(PMID : 20093481)

Low expression : LoVo(PMID : PMID : 22701813)

The expression profile/ molecular weight observed is consistent with what has been described in the literature (PMID : 24968263).

In Western blot Anti-GAPDH antibody [EPR16891] - Loading Control (ab181602) staining at 1/200000 dilution.

All lanes:

Western blot - Anti-FGFR2IIIb/FGFR2b antibody [EPR30797-567] (<a href='/en-us/products/primary-antibodies/fgfr2iiib-fgfr2b-antibody-epr30797-567-ab322553'>ab322553</a>) at 1/1000 dilution

Lane 1:

KATO III (human stomach spherical) whole cell lysate at 40 µg

Lane 2:

HepG2 (human hepatocelullar carcinoma epithelial cell) whole cell lysate at 40 µg

Lane 3:

LoVo (human colorectal adenocarcinoma epithelial cell) whole cell lysate at 40 µg

Secondary

All lanes:

Western blot - Goat Anti-Rabbit IgG H&L (HRP) (<a href='/en-us/products/secondary-antibodies/goat-rabbit-igg-h-l-hrp-ab97051'>ab97051</a>) at 1/20000 dilution

Observed band size: 85-135 kDa,36 kDa

false

Exposure time: 3s

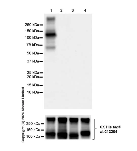
Western blot - Anti-FGFR2IIIb/FGFR2b antibody [EPR30797-567] - BSA and Azide free (AB325965)
  • WB

Supplier Data

Western blot - Anti-FGFR2IIIb/FGFR2b antibody [EPR30797-567] - BSA and Azide free (AB325965)

This data was developed using ab322553, the same antibody clone in a different buffer formulation.

Blocking and diluting buffer and concentration : 5% NFDM/TBST.

This antibody does not cross-react with human FGFR2IIIc FGFR3IIIb and FGFR1IIIb.

Samples are non-boiled as boiling may cause protein aggregation.

In Western blot Anti-6X His tag® antibody [EPR20547] - ChIP Grade (ab213204) staining at 1/5000 dilution.

All lanes:

Western blot - Anti-FGFR2IIIb/FGFR2b antibody [EPR30797-567] (<a href='/en-us/products/primary-antibodies/fgfr2iiib-fgfr2b-antibody-epr30797-567-ab322553'>ab322553</a>) at 1/1000 dilution

Lane 1:

293T cells transfected with a human FGFR2IIIb expression vector containing a His-tag, whole cell lysate at 20 µg

Lane 2:

293T cells transfected with a human FGFR2IIIc expression vector containing a His-tag, whole cell lysate at 20 µg

Lane 3:

293T cells transfected with a human FGFR3IIIb expression vector containing a His-tag, whole cell lysate at 20 µg

Lane 4:

293T cells transfected with a human FGFR1IIIb expression vector containing a His-tag, whole cell lysate at 20 µg

Secondary

All lanes:

Western blot - Goat Anti-Rabbit IgG H&L (HRP) (<a href='/en-us/products/secondary-antibodies/goat-rabbit-igg-h-l-hrp-ab97051'>ab97051</a>) at 1/100000 dilution

Observed band size: 135 kDa

false

Exposure time: 3s

Key facts

Host species

Rabbit

Clonality

Monoclonal

Clone number

EPR30797-567

Isotype

IgG

Carrier free

Yes

Reacts with

Human

Applications

WB, IHC-P

applications

Immunogen

The exact immunogen used to generate this antibody is proprietary information.

Reactivity data

{ "title": "Reactivity Data", "filters": { "stats": ["", "Species", "Dilution Info", "Notes"], "tabs": { "all-applications": {"fullname" : "All Applications", "shortname": "All Applications"}, "WB" : {"fullname" : "Western blot", "shortname":"WB"}, "IHCP" : {"fullname" : "Immunohistochemistry (Formalin/PFA-fixed paraffin-embedded sections)", "shortname":"IHC-P"} }, "product-promise": { "all": "all", "testedAndGuaranteed": "tested", "guaranteed": "expected", "predicted": "predicted", "notRecommended": "not-recommended" } }, "values": { "Human": { "WB-species-checked": "testedAndGuaranteed", "WB-species-dilution-info": "", "WB-species-notes": "<p></p>", "IHCP-species-checked": "testedAndGuaranteed", "IHCP-species-dilution-info": "", "IHCP-species-notes": "<p></p> Perform heat-mediated antigen retrieval with Tris/EDTA buffer pH 9.0 before commencing with IHC staining protocol." }, "Transfected cell line - Human": { "WB-species-checked": "testedAndGuaranteed", "WB-species-dilution-info": "", "WB-species-notes": "<p></p>", "IHCP-species-checked": "notRecommended", "IHCP-species-dilution-info": "", "IHCP-species-notes": "" } } }

Product details

ab325965 is the carrier-free version of ab322553

Patented technology
Our RabMAb® technology is a patented hybridoma-based technology for making rabbit monoclonal antibodies. For details on our patents, please refer to RabMAb® patents.

What are the advantages of a recombinant monoclonal antibody?
This product is a recombinant monoclonal antibody, which offers several advantages including:

  • - High batch-to-batch consistency and reproducibility
  • - Improved sensitivity and specificity
  • - Long-term security of supply
  • - Animal-free batch production

For more information, read more on recombinant antibodies.

Conjugation ready
Our carrier-free antibodies are typically supplied in a PBS-only formulation, purified and free of BSA, sodium azide and glycerol. This conjugation-ready format is designed for use with fluorochromes, metal isotopes, oligonucleotides, and enzymes, which makes them ideal for antibody labelling, functional and cell-based assays, flow-based assays (e.g. mass cytometry) and Multiplex Imaging applications.

Use our conjugation kits for antibody conjugates that are ready-to-use in as little as 20 minutes with 1 minute hands-on-time and 100% antibody recovery: available for fluorescent dyes, HRP, biotin and gold.

Compatibility
This product is compatible with the Maxpar® Antibody Labeling Kit from Fluidigm, without the need for antibody preparation. Maxpar® is a trademark of Fluidigm Canada Inc.

Properties and storage information

Form
Liquid
Purification technique
Affinity purification Protein A
Storage buffer
pH: 7.2 - 7.4 Constituents: PBS
Shipped at conditions
Blue Ice
Appropriate short-term storage conditions
+4°C
Appropriate long-term storage conditions
+4°C
Storage information
Do Not Freeze

Product protocols

For this product, it's our understanding that no specific protocols are required. You can visit:

Target data

Tyrosine-protein kinase that acts as a cell-surface receptor for fibroblast growth factors and plays an essential role in the regulation of cell proliferation, differentiation, migration and apoptosis, and in the regulation of embryonic development. Required for normal embryonic patterning, trophoblast function, limb bud development, lung morphogenesis, osteogenesis and skin development. Plays an essential role in the regulation of osteoblast differentiation, proliferation and apoptosis, and is required for normal skeleton development. Promotes cell proliferation in keratinocytes and immature osteoblasts, but promotes apoptosis in differentiated osteoblasts. Phosphorylates PLCG1, FRS2 and PAK4. Ligand binding leads to the activation of several signaling cascades. Activation of PLCG1 leads to the production of the cellular signaling molecules diacylglycerol and inositol 1,4,5-trisphosphate. Phosphorylation of FRS2 triggers recruitment of GRB2, GAB1, PIK3R1 and SOS1, and mediates activation of RAS, MAPK1/ERK2, MAPK3/ERK1 and the MAP kinase signaling pathway, as well as of the AKT1 signaling pathway. FGFR2 signaling is down-regulated by ubiquitination, internalization and degradation. Mutations that lead to constitutive kinase activation or impair normal FGFR2 maturation, internalization and degradation lead to aberrant signaling. Over-expressed FGFR2 promotes activation of STAT1.
See full target information Fibroblast growth factor receptor 2

Product promise

We are committed to supporting your work with high-quality reagents, and we're here for you every step of the way. In the unlikely event that one of our products does not perform as expected, you're protected by our Product Promise.
For full details, please see our Terms & Conditions

Please note: All products are 'FOR RESEARCH USE ONLY. NOT FOR USE IN DIAGNOSTIC OR THERAPEUTIC PROCEDURES'.

For licensing inquiries, please contact partnerships@abcam.com