JavaScript is disabled in your browser. Please enable JavaScript to view this website.
AB275093

Anti-FGL1 antibody [EPR24018-27] - BSA and Azide free

Be the first to review this product! Submit a review

|

(0 Publication)

Rabbit Recombinant Monoclonal FGL1 antibody. Carrier free. Suitable for IP, WB, Flow Cyt (Intra), IHC-P and reacts with Human samples.

View Alternative Names

HFREP1, FGL1, Fibrinogen-like protein 1, HP-041, Hepassocin, Hepatocyte-derived fibrinogen-related protein 1, Liver fibrinogen-related protein 1, HPS, HFREP-1, LFIRE-1

7 Images
Immunohistochemistry (Formalin/PFA-fixed paraffin-embedded sections) - Anti-FGL1 antibody [EPR24018-27] - BSA and Azide free (AB275093)
  • IHC-P

Unknown

Immunohistochemistry (Formalin/PFA-fixed paraffin-embedded sections) - Anti-FGL1 antibody [EPR24018-27] - BSA and Azide free (AB275093)

This data was developed using ab275091, the same antibody clone in a different buffer formulation.

Immunohistochemical analysis of paraffin-embedded human hepatocellular carcinoma tissue labeling FGL1 with ab275091 at 1/500 dilution followed by a ready to use Rabbit specific IHC polymer detection kit HRP/DAB (ab209101). Cytoplasmic staining in human hepatocellular carcinoma (PMID : 14981537). The section was incubated with ab275091 for 30 mins at room temperature. The immunostaining was performed on a Leica Biosystems BOND® RX instrument Counterstained with Hematoxylin.

Secondary antibody only control : Secondary antibody is a ready to use Rabbit specific IHC polymer detection kit HRP/DAB (ab209101).

Heat mediated antigen retrieval with Tris-EDTA buffer (pH 9.0, epitope retrieval solution2) for 20 mins.

Flow Cytometry (Intracellular) - Anti-FGL1 antibody [EPR24018-27] - BSA and Azide free (AB275093)
  • Flow Cyt (Intra)

Unknown

Flow Cytometry (Intracellular) - Anti-FGL1 antibody [EPR24018-27] - BSA and Azide free (AB275093)

This data was developed using ab275091, the same antibody clone in a different buffer formulation.

Intracellular flow cytometric analysis of 4% paraformaldehyde fixed 90% methanol permeabilized HepG2 (human hepatocellular carcinoma epithelial cell) cells labelling FGL1 with ab275091 at 1/50 dilution (1ug) (Red) compared with a Rabbit monoclonal IgG (ab172730) isotype control (Black) and an unlabelled control (cells without incubation with primary antibody and secondary antibody) (Blue).

A Goat anti rabbit IgG (Alexa Fluor®488, ab150077) at 1/2000 dilution was used as the secondary antibody.

Immunohistochemistry (Formalin/PFA-fixed paraffin-embedded sections) - Anti-FGL1 antibody [EPR24018-27] - BSA and Azide free (AB275093)
  • IHC-P

Unknown

Immunohistochemistry (Formalin/PFA-fixed paraffin-embedded sections) - Anti-FGL1 antibody [EPR24018-27] - BSA and Azide free (AB275093)

This data was developed using ab275091, the same antibody clone in a different buffer formulation.

Immunohistochemical analysis of paraffin-embedded human cerebrum tissue labeling FGL1 with ab275091 at 1/500 dilution followed by a ready to use Rabbit specific IHC polymer detection kit HRP/DAB (ab209101). Negative control : No staining in human cerebrum (PMID : 14981537). The section was incubated with ab275091 for 30 mins at room temperature. The immunostaining was performed on a Leica Biosystems BOND® RX instrument. Counterstained with Hematoxylin.

Secondary antibody only control : Secondary antibody is a ready to use Rabbit specific IHC polymer detection kit HRP/DAB (ab209101).

Heat mediated antigen retrieval with Tris-EDTA buffer (pH 9.0, epitope retrieval solution2) for 20 mins.

Immunohistochemistry (Formalin/PFA-fixed paraffin-embedded sections) - Anti-FGL1 antibody [EPR24018-27] - BSA and Azide free (AB275093)
  • IHC-P

Unknown

Immunohistochemistry (Formalin/PFA-fixed paraffin-embedded sections) - Anti-FGL1 antibody [EPR24018-27] - BSA and Azide free (AB275093)

This data was developed using ab275091, the same antibody clone in a different buffer formulation.

Immunohistochemical analysis of paraffin-embedded human liver tissue labeling FGL1 with ab275091 at 1/500 dilution followed by a ready to use Rabbit specific IHC polymer detection kit HRP/DAB (ab209101). Cytoplasmic staining in human liver (PMID : 11470158). The section was incubated with ab275091 for 30 mins at room temperature. The immunostaining was performed on a Leica Biosystems BOND® RX instrument. Counterstained with Hematoxylin.

Secondary antibody only control : Secondary antibody is ready to use Rabbit specific IHC polymer detection kit HRP/DAB (ab209101).

Heat mediated antigen retrieval with Tris-EDTA buffer (pH 9.0, epitope retrieval solution2) for 20 mins.

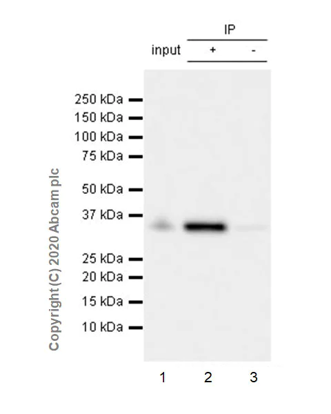
Immunoprecipitation - Anti-FGL1 antibody [EPR24018-27] - BSA and Azide free (AB275093)
  • IP

Unknown

Immunoprecipitation - Anti-FGL1 antibody [EPR24018-27] - BSA and Azide free (AB275093)

This data was developed using ab275091, the same antibody clone in a different buffer formulation.

FGL1 was immunoprecipitated from 0.35 mg HepG2 (human hepatocellular carcinoma epithelial cell) whole cell lysate with ab275091 at 1/30 dilution (2ug in 0.35mg lysates). Western blot was performed on the immunoprecipitate using ab275091 at 1/1000 dilution. VeriBlot for IP Detection Reagent (HRP)(ab131366) was used at 1/5000 dilution.

Lane 1 : HepG2 (human hepatocellular carcinoma epithelial cell) whole cell lysate 10 ug

Lane 2 : ab275091 IP in HepG2 whole cell lysate

Lane 3 : Rabbit monoclonal IgG (ab172730) instead of abID1 in HepG2 whole cell lysate

Blocking and dilution buffer and concentration : 5% NFDM/TBST.

Exposure time : 3 seconds.

All lanes:

Immunoprecipitation - Anti-FGL1 antibody [EPR24018-27] (<a href='/en-us/products/primary-antibodies/fgl1-antibody-epr24018-27-ab275091'>ab275091</a>)

Predicted band size: 36 kDa

Observed band size: 34 kDa

false

Western blot - Anti-FGL1 antibody [EPR24018-27] - BSA and Azide free (AB275093)
  • WB

Unknown

Western blot - Anti-FGL1 antibody [EPR24018-27] - BSA and Azide free (AB275093)

This data was developed using ab275091, the same antibody clone in a different buffer formulation.

Blocking and dilution buffer : 5% NFDM/TBST.

Exposure time : 15 seconds.

The molecular weight observed is consistent with what has been described in the literature (PMID : 11004478).

Negative control : Human brain (PMID : 11470158).

All lanes:

Western blot - Anti-FGL1 antibody [EPR24018-27] (<a href='/en-us/products/primary-antibodies/fgl1-antibody-epr24018-27-ab275091'>ab275091</a>) at 1/1000 dilution

Lane 1:

Human liver tissue lysate at 20 µg

Lane 2:

Human brain tissue lysate at 20 µg

Lane 3:

HepG2 (human hepatocellular carcinoma epithelial cell) whole cell lysate at 20 µg

Secondary

All lanes:

VeriBlot for IP secondary antibody(HRP)(<a href='/en-us/products/reagents/veriblot-for-ip-detection-reagent-hrp-ab131366'>ab131366</a>) at 1/1000 dilution

Predicted band size: 36 kDa

Observed band size: 34 kDa

false

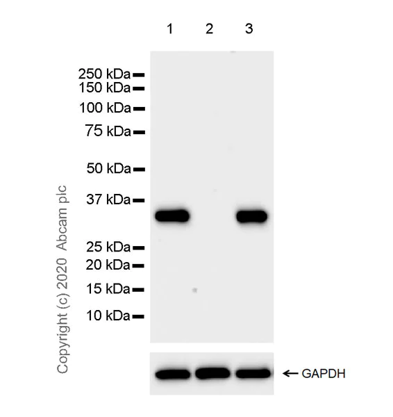
Western blot - Anti-FGL1 antibody [EPR24018-27] - BSA and Azide free (AB275093)
  • WB

Unknown

Western blot - Anti-FGL1 antibody [EPR24018-27] - BSA and Azide free (AB275093)

This data was developed using ab275091, the same antibody clone in a different buffer formulation.

Blocking and dilution buffer : 5% NFDM/TBST.

Exposure time : 3 minutes.

All lanes:

Western blot - Anti-FGL1 antibody [EPR24018-27] (<a href='/en-us/products/primary-antibodies/fgl1-antibody-epr24018-27-ab275091'>ab275091</a>) at 1/1000 dilution

All lanes:

Huh7 (human hepatocellular carcinoma epithelial cell) whole cell lysate at 20 µg

Secondary

All lanes:

Goat Anti-Rabbit IgG, (H+L), Peroxidase conjugated (<a href='/en-us/products/secondary-antibodies/goat-rabbit-igg-h-l-hrp-ab97051'>ab97051</a>) at 1/50000 dilution

Predicted band size: 36 kDa

Observed band size: 34 kDa

false

Key facts

Host species

Rabbit

Clonality

Monoclonal

Clone number

EPR24018-27

Isotype

IgG

Carrier free

Yes

Reacts with

Human

Applications

Flow Cyt (Intra), IHC-P, IP, WB

applications

Immunogen

The exact immunogen used to generate this antibody is proprietary information.

Reactivity data

{ "title": "Reactivity Data", "filters": { "stats": ["", "Species", "Dilution Info", "Notes"], "tabs": { "all-applications": {"fullname" : "All Applications", "shortname": "All Applications"}, "ICCIF" : {"fullname" : "Immunocytochemistry/ Immunofluorescence", "shortname":"ICC/IF"}, "IP" : {"fullname" : "Immunoprecipitation", "shortname":"IP"}, "WB" : {"fullname" : "Western blot", "shortname":"WB"}, "FlowCytIntra" : {"fullname" : "Flow Cytometry (Intracellular)", "shortname":"Flow Cyt (Intra)"}, "IHCP" : {"fullname" : "Immunohistochemistry (Formalin/PFA-fixed paraffin-embedded sections)", "shortname":"IHC-P"} }, "product-promise": { "all": "all", "testedAndGuaranteed": "tested", "guaranteed": "expected", "predicted": "predicted", "notRecommended": "not-recommended" } }, "values": { "Human": { "ICCIF-species-checked": "notRecommended", "ICCIF-species-dilution-info": "", "ICCIF-species-notes": "<p></p>", "IP-species-checked": "testedAndGuaranteed", "IP-species-dilution-info": "", "IP-species-notes": "<p></p>", "WB-species-checked": "testedAndGuaranteed", "WB-species-dilution-info": "", "WB-species-notes": "<p></p>", "FlowCytIntra-species-checked": "testedAndGuaranteed", "FlowCytIntra-species-dilution-info": "", "FlowCytIntra-species-notes": "<p></p>", "IHCP-species-checked": "testedAndGuaranteed", "IHCP-species-dilution-info": "", "IHCP-species-notes": "<p></p>" }, "Mouse": { "ICCIF-species-checked": "notRecommended", "ICCIF-species-dilution-info": "", "ICCIF-species-notes": "<p></p>", "IP-species-checked": "notRecommended", "IP-species-dilution-info": "", "IP-species-notes": "<p></p>", "WB-species-checked": "notRecommended", "WB-species-dilution-info": "", "WB-species-notes": "<p></p>", "FlowCytIntra-species-checked": "notRecommended", "FlowCytIntra-species-dilution-info": "", "FlowCytIntra-species-notes": "<p></p>", "IHCP-species-checked": "notRecommended", "IHCP-species-dilution-info": "", "IHCP-species-notes": "<p></p>" }, "Rat": { "ICCIF-species-checked": "notRecommended", "ICCIF-species-dilution-info": "", "ICCIF-species-notes": "", "IP-species-checked": "notRecommended", "IP-species-dilution-info": "", "IP-species-notes": "", "WB-species-checked": "notRecommended", "WB-species-dilution-info": "", "WB-species-notes": "<p></p>", "FlowCytIntra-species-checked": "notRecommended", "FlowCytIntra-species-dilution-info": "", "FlowCytIntra-species-notes": "", "IHCP-species-checked": "notRecommended", "IHCP-species-dilution-info": "", "IHCP-species-notes": "<p></p>" } } }

Product details

ab275093 is the carrier-free version of ab275091.

Patented technology
Our RabMAb® technology is a patented hybridoma-based technology for making rabbit monoclonal antibodies. For details on our patents, please refer to RabMAb® patents.

What are the advantages of a recombinant monoclonal antibody?
This product is a recombinant monoclonal antibody, which offers several advantages including:

  • - High batch-to-batch consistency and reproducibility
  • - Improved sensitivity and specificity
  • - Long-term security of supply
  • - Animal-free batch production

For more information, read more on recombinant antibodies.

Conjugation ready
Our carrier-free antibodies are typically supplied in a PBS-only formulation, purified and free of BSA, sodium azide and glycerol. This conjugation-ready format is designed for use with fluorochromes, metal isotopes, oligonucleotides, and enzymes, which makes them ideal for antibody labelling, functional and cell-based assays, flow-based assays (e.g. mass cytometry) and Multiplex Imaging applications.

Use our conjugation kits for antibody conjugates that are ready-to-use in as little as 20 minutes with 1 minute hands-on-time and 100% antibody recovery: available for fluorescent dyes, HRP, biotin and gold.

Compatibility
This product is compatible with the Maxpar® Antibody Labeling Kit from Fluidigm, without the need for antibody preparation. Maxpar® is a trademark of Fluidigm Canada Inc.

Properties and storage information

Form
Liquid
Purification technique
Affinity purification Protein A
Storage buffer
Constituents: PBS
Shipped at conditions
Blue Ice
Appropriate short-term storage conditions
+4°C
Appropriate long-term storage conditions
+4°C
Storage information
Do Not Freeze

Supplementary information

This supplementary information is collated from multiple sources and compiled automatically.

Fibrinogen-like protein 1 (FGL1) also known as Hepassocin plays a significant role in modulating immune responses. FGL1 is a member of the fibrinogen family with a molecular mass of approximately 31 kDa. This protein is widely expressed in the liver and is also found in other tissues like the pancreas and lungs. Its structural homology to fibrinogen suggests potential binding capabilities with similar ligands influencing its mechanical actions in cellular processes.
Biological function summary

FGL1 modulates the immune system and maintains its homeostasis. It functions primarily as a ligand for the immune checkpoint receptor LAG-3. This FGL1-LAG-3 interaction inhibits T-cell activity leading to immune tolerance and helping prevent autoimmunity. FGL1 while not a part of a complex demonstrates significant standalone biological activity by affecting immune responses especially under pathological conditions.

Pathways

FGL1 integrates into the immune regulatory framework. It exerts its effects mainly through the immune checkpoint pathway impacting T-cell regulation. In addition to LAG-3 FGL1 interacts closely with the PD-1/PD-L1 pathway which is also important in checkpoint inhibition and immune evasion mechanisms. These pathways together orchestrate the immune surveillance system and play roles in maintaining immune equilibrium.

FGL1 has received attention in cancer particularly in its role of suppressing anti-tumor immunity. Its interaction with LAG-3 makes it a potential target for cancer immunotherapy as high FGL1 levels correlate with poor prognosis in various cancers. Additionally it has implications in autoimmune diseases where its regulation of T-cell activity prevents excessive immune responses. By modulating LAG-3 activity FGL1 emerges as a therapeutic target of interest in autoimmune conditions presenting new opportunities for managing such disorders.

Product protocols

For this product, it's our understanding that no specific protocols are required. You can visit:

Target data

Immune suppressive molecule that inhibits antigen-specific T-cell activation by acting as a major ligand of LAG3 (PubMed : 30580966). Responsible for LAG3 T-cell inhibitory function (PubMed : 30580966). Binds LAG3 independently from MHC class II (MHC-II) (PubMed : 30580966). Secreted by, and promotes growth of, hepatocytes (PubMed : 11470158, PubMed : 19880967).
See full target information FGL1

Product promise

We are committed to supporting your work with high-quality reagents, and we're here for you every step of the way. In the unlikely event that one of our products does not perform as expected, you're protected by our Product Promise.
For full details, please see our Terms & Conditions

Please note: All products are 'FOR RESEARCH USE ONLY. NOT FOR USE IN DIAGNOSTIC OR THERAPEUTIC PROCEDURES'.

For licensing inquiries, please contact partnerships@abcam.com