JavaScript is disabled in your browser. Please enable JavaScript to view this website.
AB323611

Anti-FGL1 antibody [RM1297]

  • BOND RX™ Validated
  • RabMAb
  • Recombinant
  • 20ul selling size
  • What is this?

Be the first to review this product! Submit a review

|

(0 Publication)

Rabbit Recombinant Multiclonal FGL1 antibody. Suitable for WB, IHC-P, ICC/IF, Flow Cyt (Intra), IP and reacts with Human samples.

View Alternative Names

HFREP1, FGL1, Fibrinogen-like protein 1, HP-041, Hepassocin, Hepatocyte-derived fibrinogen-related protein 1, Liver fibrinogen-related protein 1, HPS, HFREP-1, LFIRE-1

8 Images
Immunohistochemistry (Formalin/PFA-fixed paraffin-embedded sections) - Anti-FGL1 antibody [RM1297] (AB323611)
  • IHC-P

Supplier Data

Immunohistochemistry (Formalin/PFA-fixed paraffin-embedded sections) - Anti-FGL1 antibody [RM1297] (AB323611)

Immunohistochemical analysis of paraffin-embedded Human cerebrum tissue labeling FGL1 with ab323611 at 1/2000 (0.25 ug/ml) dilution, followed by a ready to use LeicaDS9800 (Bond™ Polymer Refine Detection).

Negative control : no staining on human cerebrum.
The section was incubated with ab323611 for 30 mins at room temperature.
The immunostaining was performed on a Leica Biosystems BOND® RX instrument

Counterstained with Hematoxylin.

Secondary antibody only control : Secondary antibody is a ready to use LeicaDS9800 (Bond™ Polymer Refine Detection).

Heat mediated antigen retrieval was performed with Tris-EDTA buffer (pH 9.0, Epitope Retrieval Solution2) for 20 mins

Flow Cytometry - Anti-FGL1 antibody [RM1297] (AB323611)
  • Flow Cyt

Supplier Data

Flow Cytometry - Anti-FGL1 antibody [RM1297] (AB323611)

Flow cytometric analysis of 4% paraformaldehyde fixed 90% methanol permeabilized HepG2 (human hepatocellular carcinoma epithelial cell, Right) /HeLa (human cervical adenocarcinoma epithelial cell, Left) cells labelling FGL1 with ab323611 at 1/500 dilution (0.1ug) (Red) compared with a Rabbit monoclonal IgG (ab172730) (Black) isotype control and an unlabelled control (cells without incubation with primary antibody and secondary antibody).

Goat Anti-Rabbit IgG (Alexa Fluor® 488, ab150081) at 1/5000 dilution was used as the secondary antibody.

Negative control : HeLa.

Immunohistochemistry (Formalin/PFA-fixed paraffin-embedded sections) - Anti-FGL1 antibody [RM1297] (AB323611)
  • IHC-P

Supplier Data

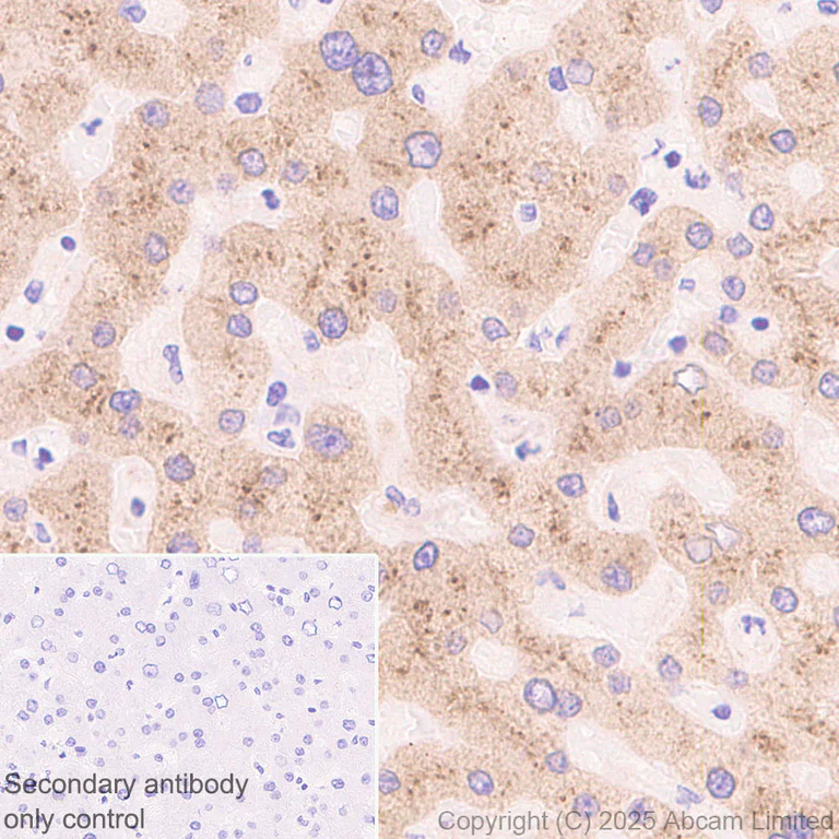
Immunohistochemistry (Formalin/PFA-fixed paraffin-embedded sections) - Anti-FGL1 antibody [RM1297] (AB323611)

Immunohistochemical analysis of paraffin-embedded Human liver tissue labeling FGL1 with ab323611 at 1/2000 (0.25 ug/ml) dilution, followed by a ready to use LeicaDS9800 (Bond™ Polymer Refine Detection).

Positive staining on human liver.
The section was incubated with ab323611 for 30 mins at room temperature.
The immunostaining was performed on a Leica Biosystems BOND® RX instrument

Counterstained with Hematoxylin.

Secondary antibody only control : Secondary antibody is a ready to use LeicaDS9800 (Bond™ Polymer Refine Detection).

Heat mediated antigen retrieval was performed with Tris-EDTA buffer (pH 9.0, Epitope Retrieval Solution2) for 20 mins

Immunohistochemistry (Formalin/PFA-fixed paraffin-embedded sections) - Anti-FGL1 antibody [RM1297] (AB323611)
  • IHC-P

Supplier Data

Immunohistochemistry (Formalin/PFA-fixed paraffin-embedded sections) - Anti-FGL1 antibody [RM1297] (AB323611)

Immunohistochemical analysis of paraffin-embedded Human liver cancer tissue labeling FGL1 with ab323611 at 1/2000 (0.25 ug/ml) dilution, followed by a ready to use LeicaDS9800 (Bond™ Polymer Refine Detection).

Positive staining on (image A) human liver cancer, and (image B) ab197357 showed weak staining on human liver cancer.
The image on (A) ab323611 is applied with Anti-FGL1 antibody at 1/2000 dilution and (B) ab197357 is applied with Anti-FGL1 antibody at 1/420 dilution.
The section was incubated with ab323611 for 30 mins at room temperature.
The immunostaining was performed on a Leica Biosystems BOND® RX instrument

Counterstained with Hematoxylin.

Secondary antibody only control : Secondary antibody is a ready to use LeicaDS9800 (Bond™ Polymer Refine Detection).

Heat mediated antigen retrieval was performed with Tris-EDTA buffer (pH 9.0, Epitope Retrieval Solution2) for 20 mins

Immunocytochemistry/ Immunofluorescence - Anti-FGL1 antibody [RM1297] (AB323611)
  • ICC/IF

Supplier Data

Immunocytochemistry/ Immunofluorescence - Anti-FGL1 antibody [RM1297] (AB323611)

Immunofluorescent analysis of 4% Paraformaldehyde-fixed, 0.1% TritonX-100 permeabilized HepG2 (human hepatocellular carcinoma epithelial cell) cells labelling FGL1 with ab323611 at 1/50 (9.98 ug/ml) dilution, followed by ab150081 Goat Anti-Rabbit IgG H&L (Alexa Fluor® 488) preadsorbed antibody at 1/1000 2ug/ml dilution (Green).

Confocal image showing cytoplasmic staining in HepG2 cells (shown in green). The counterstain was observed in magenta. Nuclear DNA was labelled with DAPI (shown in blue).
Negative control : HeLa.
Image was taken with a confocal microscope (Leica-Microsystems, TCS SP8).

ab195889 Anti-alpha Tubulin mouse monoclonal antibody - Microtubule Marker (Alexa Fluor® 594) was used to counterstain tubulin at 1/200 2.5ug/ml dilution (Magenta). The Nuclear counterstain was DAPI (Blue).

Secondary antibody only control : Secondary antibody is ab150081 Goat Anti-Rabbit IgG H&L (Alexa Fluor® 488) preadsorbed at 1/1000 2ug/ml dilution.

Immunoprecipitation - Anti-FGL1 antibody [RM1297] (AB323611)
  • IP

Supplier Data

Immunoprecipitation - Anti-FGL1 antibody [RM1297] (AB323611)

FGL1 was immunoprecipitated from 0.35 mg HepG2 (human hepatocellular carcinoma epithelial cell) whole cell lysate with ab323611 at 1/1000 dilution (2ug in 0.35mg lysates). Western blot was performed on the immunoprecipitate using ab323611 at 1/1000 dilution.

Blocking and dilution buffer and concentration : 5% NFDM/TBST

All lanes:

Immunoprecipitation - Anti-FGL1 antibody [RM1297] (ab323611) at 1/1000 dilution

Lane 1:

(Input) HepG2 (human hepatocellular carcinoma epithelial cell) whole cell lysate

Lane 2:

ab323611 at 1/30 IP in HepG2 (human hepatocellular carcinoma epithelial cell) whole cell lysate

Lane 3:

Rabbit monoclonal IgG (<a href='/en-us/products/primary-antibodies/rabbit-igg-monoclonal-epr25a-isotype-control-ab172730'>ab172730</a>) instead of <a href='/en-us/products/primary-antibodies/cd37-antibody-rm1306-ab323574'>ab323574</a> in HepG2 whole cell lysate

Secondary

All lanes:

Immunoprecipitation - VeriBlot for IP Detection Reagent (HRP) (<a href='/en-us/products/reagents/veriblot-for-ip-detection-reagent-hrp-ab131366'>ab131366</a>) at 1/5000 dilution

Observed band size: 34 kDa

false

Exposure time: 32s

Western blot - Anti-FGL1 antibody [RM1297] (AB323611)
  • WB

Supplier Data

Western blot - Anti-FGL1 antibody [RM1297] (AB323611)

Blocking and diluting buffer and concentration : 5% NFDM/TBST.

Negative control : cerebellum (PMID : 11470158)

The molecular weight observed is consistent with what has been described in the literature (PMID : 11004478).

In Western blot, Anti-GAPDH antibody [EPR16891] - Loading Control (ab181602) staining at 1/200000 dilution.

All lanes:

Western blot - Anti-FGL1 antibody [RM1297] (ab323611) at 1/1000 dilution

Lane 1:

Human liver tissue lysate at 20 µg

Lane 2:

Human liver cancer tissue lysate at 20 µg

Lane 3:

Human cerebellum tissue lysate at 20 µg

Secondary

All lanes:

Western blot - Goat Anti-Rabbit IgG H&L (HRP) (<a href='/en-us/products/secondary-antibodies/goat-rabbit-igg-h-l-hrp-ab97051'>ab97051</a>) at 1/100000 dilution

Observed band size: 34 kDa,36 kDa

false

Exposure time: 180s

Western blot - Anti-FGL1 antibody [RM1297] (AB323611)
  • WB

Supplier Data

Western blot - Anti-FGL1 antibody [RM1297] (AB323611)

Blocking and diluting buffer and concentration : 5% NFDM/TBST.

Negative control : HeLa, Jurkat

The molecular weight observed is consistent with what has been described in the literature (PMID : 11004478).

In Western blot, Anti-GAPDH antibody [EPR16891] - Loading Control (ab181602) staining at 1/200000 dilution.

All lanes:

Western blot - Anti-FGL1 antibody [RM1297] (ab323611) at 1/1000 dilution

Lane 1:

HepG2 (human hepatocellular carcinoma epithelial cell) whole cell lysate at 20 µg

Lane 2:

HeLa (human cervical adenocarcinoma epithelial cell) whole cell lysate at 20 µg

Lane 3:

Jurkat (human T cell leukemia T lymphocyte from peripheral blood) whole cell lysate at 20 µg

Secondary

All lanes:

Western blot - Goat Anti-Rabbit IgG H&L (HRP) (<a href='/en-us/products/secondary-antibodies/goat-rabbit-igg-h-l-hrp-ab97051'>ab97051</a>) at 1/100000 dilution

Observed band size: 34 kDa,36 kDa

false

Exposure time: 180s

Key facts

Host species

Rabbit

Clonality

Multiclonal

Clone number

RM1297

Isotype

IgG

Carrier free

No

Reacts with

Human

Applications

WB, IHC-P, Flow Cyt (Intra), ICC/IF, IP

applications

Immunogen

The exact immunogen used to generate this antibody is proprietary information.

Reactivity data

{ "title": "Reactivity Data", "filters": { "stats": ["", "Species", "Dilution Info", "Notes"], "tabs": { "all-applications": {"fullname" : "All Applications", "shortname": "All Applications"}, "WB" : {"fullname" : "Western blot", "shortname":"WB"}, "IHCP" : {"fullname" : "Immunohistochemistry (Formalin/PFA-fixed paraffin-embedded sections)", "shortname":"IHC-P"}, "ICCIF" : {"fullname" : "Immunocytochemistry/ Immunofluorescence", "shortname":"ICC/IF"}, "FlowCytIntra" : {"fullname" : "Flow Cytometry (Intracellular)", "shortname":"Flow Cyt (Intra)"}, "IP" : {"fullname" : "Immunoprecipitation", "shortname":"IP"} }, "product-promise": { "all": "all", "testedAndGuaranteed": "tested", "guaranteed": "expected", "predicted": "predicted", "notRecommended": "not-recommended" } }, "values": { "Human": { "WB-species-checked": "testedAndGuaranteed", "WB-species-dilution-info": "1/1000", "WB-species-notes": "<p></p>", "IHCP-species-checked": "testedAndGuaranteed", "IHCP-species-dilution-info": "1/2000", "IHCP-species-notes": "<p></p> Perform heat-mediated antigen retrieval with Tris/EDTA buffer pH 9.0 before commencing with IHC staining protocol.", "ICCIF-species-checked": "testedAndGuaranteed", "ICCIF-species-dilution-info": "1/50", "ICCIF-species-notes": "<p></p>", "FlowCytIntra-species-checked": "testedAndGuaranteed", "FlowCytIntra-species-dilution-info": "1/500", "FlowCytIntra-species-notes": "<p></p>", "IP-species-checked": "testedAndGuaranteed", "IP-species-dilution-info": "1/30", "IP-species-notes": "<p></p>" }, "Mouse": { "WB-species-checked": "notRecommended", "WB-species-dilution-info": "", "WB-species-notes": "<p></p>", "IHCP-species-checked": "notRecommended", "IHCP-species-dilution-info": "", "IHCP-species-notes": "<p></p>", "ICCIF-species-checked": "notRecommended", "ICCIF-species-dilution-info": "", "ICCIF-species-notes": "", "FlowCytIntra-species-checked": "notRecommended", "FlowCytIntra-species-dilution-info": "", "FlowCytIntra-species-notes": "", "IP-species-checked": "notRecommended", "IP-species-dilution-info": "", "IP-species-notes": "" }, "Rat": { "WB-species-checked": "notRecommended", "WB-species-dilution-info": "", "WB-species-notes": "<p></p>", "IHCP-species-checked": "notRecommended", "IHCP-species-dilution-info": "", "IHCP-species-notes": "<p></p>", "ICCIF-species-checked": "notRecommended", "ICCIF-species-dilution-info": "", "ICCIF-species-notes": "", "FlowCytIntra-species-checked": "notRecommended", "FlowCytIntra-species-dilution-info": "", "FlowCytIntra-species-notes": "", "IP-species-checked": "notRecommended", "IP-species-dilution-info": "", "IP-species-notes": "" } } }

Product details

Patented technology
Our RabMAb® technology is a patented hybridoma-based technology for making rabbit monoclonal antibodies. For details on our patents, please refer to RabMAb® patents.

What are recombinant multiclonals?
Recombinant multiclonals are a mixture of recombinant antibodies co-expressed from a library of heavy and light chains. They offer several advantages including:

  • - The sensitivity of polyclonal antibodies by recognising multiple epitopes
  • - High batch-to-batch consistency and reproducibility
  • - Improved sensitivity and specificity
  • - Long-term security of supply
  • - Animal-free batch production

View our range of recombinant multiclonal antibodies.

Properties and storage information

Form
Liquid
Purification technique
Affinity purification Protein A
Storage buffer
pH: 7.2 - 7.4 Preservative: 0.01% Sodium azide Constituents: PBS, 40% Glycerol (glycerin, glycerine), 0.05% BSA
Shipped at conditions
Blue Ice
Appropriate short-term storage duration
1-2 weeks
Appropriate short-term storage conditions
+4°C
Appropriate long-term storage conditions
-20°C
Aliquoting information
Upon delivery aliquot
Storage information
Avoid freeze / thaw cycle

Product protocols

For this product, it's our understanding that no specific protocols are required. You can visit:

Target data

Immune suppressive molecule that inhibits antigen-specific T-cell activation by acting as a major ligand of LAG3 (PubMed : 30580966). Responsible for LAG3 T-cell inhibitory function (PubMed : 30580966). Binds LAG3 independently from MHC class II (MHC-II) (PubMed : 30580966). Secreted by, and promotes growth of, hepatocytes (PubMed : 11470158, PubMed : 19880967).
See full target information FGL1

Product promise

We are committed to supporting your work with high-quality reagents, and we're here for you every step of the way. In the unlikely event that one of our products does not perform as expected, you're protected by our Product Promise.
For full details, please see our Terms & Conditions

Please note: All products are 'FOR RESEARCH USE ONLY. NOT FOR USE IN DIAGNOSTIC OR THERAPEUTIC PROCEDURES'.

For licensing inquiries, please contact partnerships@abcam.com