JavaScript is disabled in your browser. Please enable JavaScript to view this website.
AB233394

Anti-FH/Fumarase antibody [EPR21104]

Be the first to review this product! Submit a review

|

(8 Publications)

Rabbit Recombinant Monoclonal FH/Fumarase antibody. Suitable for IP, WB, ICC/IF, Flow Cyt (Intra), IHC-P and reacts with Human, Mouse, Rat samples. Cited in 8 publications.

View Alternative Names

Fumarase, HsFH, FH

8 Images
Immunohistochemistry (Formalin/PFA-fixed paraffin-embedded sections) - Anti-FH/Fumarase antibody [EPR21104] (AB233394)
  • IHC-P

Supplier Data

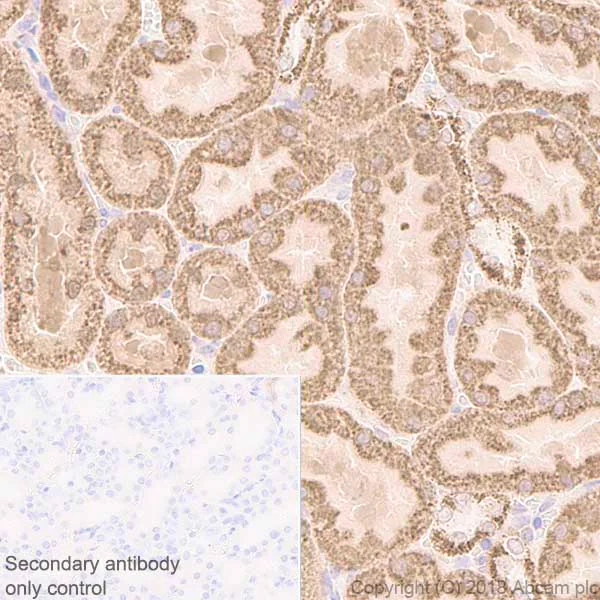
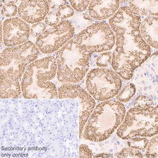
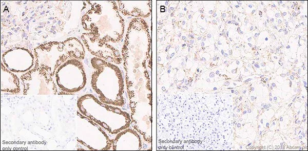
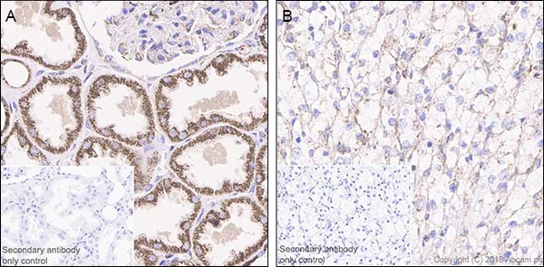
Immunohistochemistry (Formalin/PFA-fixed paraffin-embedded sections) - Anti-FH/Fumarase antibody [EPR21104] (AB233394)

Immunohistochemical analysis of paraffin-embedded human kidney tissue (left panel) and human clear cell renal cancer tissue (right panel) labeling FH/Fumarase with ab233394 at 1/500 dilution, followed by Goat Anti-Rabbit IgG H&L (HRP) Ready to use. Intense granular staining on human kidney whereas weaker staining in clear cell renal cancer (PMID : 21695080). Counter stained with hematoxylin.

Secondary antibody only control : Used PBS instead of primary antibody, secondary antibody is Goat Anti-Rabbit IgG H&L (HRP) Ready to use.

Heat mediated antigen retrieval was performed with Tris/EDTA buffer pH 9.0 before commencing with IHC staining protocol.

Immunocytochemistry/ Immunofluorescence - Anti-FH/Fumarase antibody [EPR21104] (AB233394)
  • ICC/IF

Supplier Data

Immunocytochemistry/ Immunofluorescence - Anti-FH/Fumarase antibody [EPR21104] (AB233394)

Immunofluorescent analysis of 100% methanol-fixed HeLa (Human epithelial cell line from cervix adenocarcinoma) cells labeling FH/Fumarase with ab233394 at 1/100 dilution, followed by Goat Anti-Rabbit IgG H&L (Alexa Fluor® 488) (ab150077) secondary antibody at 1/1000 dilution (green). Confocal image showing cytoplasmic staining in HeLa cell line.

The nuclear counter stain is DAPI (blue). Tubulin is detected with Anti-alpha Tubulin antibody [DM1A] - Microtubule Marker (Alexa Fluor® 594) (ab195889) (red) at 1/200 dilution.

Secondary antibody only control : Used PBS instead of primary antibody, secondary antibody is Goat Anti-Rabbit IgG H&L (Alexa Fluor® 488) (ab150077) secondary antibody at 1/1000 dilution.

Flow Cytometry (Intracellular) - Anti-FH/Fumarase antibody [EPR21104] (AB233394)
  • Flow Cyt (Intra)

Supplier Data

Flow Cytometry (Intracellular) - Anti-FH/Fumarase antibody [EPR21104] (AB233394)

Intracellular flow cytometric analysis of 4% paraformaldehyde-fixed, 90% methanol permeabilized HeLa (human epithelial cell line from cervix adenocarcinoma) cell line labeling FH/Fumarase with ab233394 at 1/500 dilution (red) compared with a Rabbit IgG, monoclonal [EPR25A] - Isotype Control (ab172730) (black) and an unlabeled control (cells without incubation with primary antibody and secondary antibody) (blue). Goat Anti-Rabbit IgG H&L (Alexa Fluor® 488) (ab150077) at 1/2000 dilution was used as the secondary

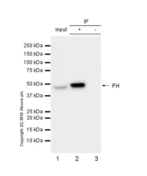
Immunoprecipitation - Anti-FH/Fumarase antibody [EPR21104] (AB233394)
  • IP

Supplier Data

Immunoprecipitation - Anti-FH/Fumarase antibody [EPR21104] (AB233394)

FH/Fumarase was immunoprecipitated from 0.35 mg HeLa (human epithelial cell line from cervix adenocarcinoma) whole cell lysate with ab233394 at 1/30 dilution. Western blot was performed from the immunoprecipitate using ab233394 at 1/1000 dilution. VeriBlot for IP Detection Reagent (HRP) (ab131366), was used for detection at 1/5000 dilution.

Lane 1 : HeLa whole cell lysate 10 μg (Input).

Lane 2 : ab233394 IP in HeLa whole cell lysate.

Lane 3 : Rabbit monoclonal IgG (ab172730) instead of ab233394 in HeLa whole cell lysate.

Blocking/Dilution buffer and concentration : 5% NFDM/TBST.

Exposure time : 30 seconds.

All lanes:

Immunoprecipitation - Anti-FH/Fumarase antibody [EPR21104] (ab233394)

Predicted band size: 54 kDa

false

Immunohistochemistry (Formalin/PFA-fixed paraffin-embedded sections) - Anti-FH/Fumarase antibody [EPR21104] (AB233394)
  • IHC-P

Supplier Data

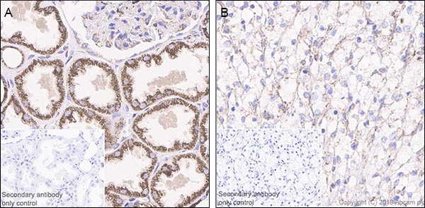
Immunohistochemistry (Formalin/PFA-fixed paraffin-embedded sections) - Anti-FH/Fumarase antibody [EPR21104] (AB233394)

Immunohistochemical analysis of paraffin-embedded mouse kidney tissue labeling FH/Fumarase with ab233394 at 1/500 dilution, followed by Goat Anti-Rabbit IgG H&L (HRP) Ready to use. Granular staining on mouse kidney is observed. Counter stained with hematoxylin.

Secondary antibody only control : Used PBS instead of primary antibody, secondary antibody is Goat Anti-Rabbit IgG H&L (HRP) Ready to use.

Heat mediated antigen retrieval was performed with Tris/EDTA buffer pH 9.0 before commencing with IHC staining protocol.

Immunohistochemistry (Formalin/PFA-fixed paraffin-embedded sections) - Anti-FH/Fumarase antibody [EPR21104] (AB233394)
  • IHC-P

Supplier Data

Immunohistochemistry (Formalin/PFA-fixed paraffin-embedded sections) - Anti-FH/Fumarase antibody [EPR21104] (AB233394)

Immunohistochemical analysis of paraffin-embedded rat kidney tissue labeling FH/Fumarase with ab233394 at 1/500 dilution, followed by Goat Anti-Rabbit IgG H&L (HRP) Ready to use. Granular staining on rat kidney is observed. Counter stained with hematoxylin.

Secondary antibody only control : Used PBS instead of primary antibody, secondary antibody is Goat Anti-Rabbit IgG H&L (HRP) Ready to use.

Heat mediated antigen retrieval was performed with Tris/EDTA buffer pH 9.0 before commencing with IHC staining protocol.

Immunocytochemistry/ Immunofluorescence - Anti-FH/Fumarase antibody [EPR21104] (AB233394)
  • ICC/IF

Supplier Data

Immunocytochemistry/ Immunofluorescence - Anti-FH/Fumarase antibody [EPR21104] (AB233394)

Immunofluorescent analysis of 100% methanol-fixed NIH/3T3 (mouse embyro fibroblast cell line) cells labeling FH/Fumarase with ab233394 at 1/100 dilution, followed by Goat Anti-Rabbit IgG H&L (Alexa Fluor® 488) (ab150077) secondary antibody at 1/1000 dilution (green). Confocal image showing cytoplasmic staining in NIH/3T3 cell line.

The nuclear counter stain is DAPI (blue). Tubulin is detected with Anti-alpha Tubulin antibody [DM1A] - Microtubule Marker (Alexa Fluor® 594) (ab195889) (red) at 1/200 dilution.

Secondary antibody only control : Used PBS instead of primary antibody, secondary antibody is Goat Anti-Rabbit IgG H&L (Alexa Fluor® 488) (ab150077) secondary antibody at 1/1000 dilution.

Western blot - Anti-FH/Fumarase antibody [EPR21104] (AB233394)
  • WB

Supplier Data

Western blot - Anti-FH/Fumarase antibody [EPR21104] (AB233394)

Blocking/Dilution buffer : 5% NFDM/TBST.

Exposure time : Lanes 1-5 : 26 seconds; Lanes 5-6 : 10 seconds; Lane 8-10 : 3 minutes.

All lanes:

Western blot - Anti-FH/Fumarase antibody [EPR21104] (ab233394) at 1/1000 dilution

Lane 1:

HEK-293 (human epithelial cell line from embryonic kidney) whole cell lysate at 10 µg

Lane 2:

MCF7 (human breast adenocarcinoma cell line) whole cell lysate at 10 µg

Lane 3:

Jurkat (human T cell leukemia cell line from peripheral blood) whole cell lysate at 10 µg

Lane 4:

NIH/3T3 (mouse embyro fibroblast cell line) whole cell lysate at 10 µg

Lane 5:

C6 (rat glial tumor cell line) whole cell lysate at 10 µg

Lane 6:

HeLa (human epithelial cell line from cervix adenocarcinoma) whole cell lysate at 10 µg

Lane 7:

HepG2 (human liver hepatocellular carcinoma cell line) whole cell lysate at 10 µg

Lane 8:

RAW 264.7 (mouse macrophage cell line transformed with Abelson murine leukemia virus) whole cell lysate at 10 µg

Lane 9:

Human brain lysate at 10 µg

Lane 10:

Human fetal kidney lysate at 10 µg

Secondary

Lanes 1 - 8:

Western blot - Goat Anti-Rabbit IgG H&L (HRP) (<a href='/en-us/products/secondary-antibodies/goat-rabbit-igg-h-l-hrp-ab97051'>ab97051</a>) at 1/100000 dilution

Lanes 9 - 10:

Western blot - VeriBlot for IP Detection Reagent (HRP) (<a href='/en-us/products/reagents/veriblot-for-ip-detection-reagent-hrp-ab131366'>ab131366</a>) at 1/4000 dilution

Predicted band size: 54 kDa

Observed band size: 48 kDa

false

  • Carrier free

    Anti-FH/Fumarase antibody [EPR21104] - BSA and Azide free

  • 519 Alexa Fluor® 488

    Alexa Fluor® 488 Anti-FH/Fumarase antibody [EPR21104]

Key facts

Host species

Rabbit

Clonality

Monoclonal

Clone number

EPR21104

Isotype

IgG

Carrier free

No

Reacts with

Mouse, Rat, Human

Applications

WB, IHC-P, ICC/IF, Flow Cyt (Intra), IP

applications

Immunogen

The exact immunogen used to generate this antibody is proprietary information.

Reactivity data

{ "title": "Reactivity Data", "filters": { "stats": ["", "Species", "Dilution Info", "Notes"], "tabs": { "all-applications": {"fullname" : "All Applications", "shortname": "All Applications"}, "IP" : {"fullname" : "Immunoprecipitation", "shortname":"IP"}, "WB" : {"fullname" : "Western blot", "shortname":"WB"}, "ICCIF" : {"fullname" : "Immunocytochemistry/ Immunofluorescence", "shortname":"ICC/IF"}, "FlowCytIntra" : {"fullname" : "Flow Cytometry (Intracellular)", "shortname":"Flow Cyt (Intra)"}, "IHCP" : {"fullname" : "Immunohistochemistry (Formalin/PFA-fixed paraffin-embedded sections)", "shortname":"IHC-P"} }, "product-promise": { "all": "all", "testedAndGuaranteed": "tested", "guaranteed": "expected", "predicted": "predicted", "notRecommended": "not-recommended" } }, "values": { "Human": { "IP-species-checked": "testedAndGuaranteed", "IP-species-dilution-info": "1/30", "IP-species-notes": "<p></p>", "WB-species-checked": "testedAndGuaranteed", "WB-species-dilution-info": "1/1000", "WB-species-notes": "<p></p>", "ICCIF-species-checked": "testedAndGuaranteed", "ICCIF-species-dilution-info": "1/100", "ICCIF-species-notes": "<p></p>", "FlowCytIntra-species-checked": "testedAndGuaranteed", "FlowCytIntra-species-dilution-info": "1/500", "FlowCytIntra-species-notes": "<p></p>", "IHCP-species-checked": "testedAndGuaranteed", "IHCP-species-dilution-info": "1/500", "IHCP-species-notes": "<p></p>" }, "Mouse": { "IP-species-checked": "guaranteed", "IP-species-dilution-info": "", "IP-species-notes": "", "WB-species-checked": "testedAndGuaranteed", "WB-species-dilution-info": "1/1000", "WB-species-notes": "<p></p>", "ICCIF-species-checked": "testedAndGuaranteed", "ICCIF-species-dilution-info": "1/100", "ICCIF-species-notes": "<p></p>", "FlowCytIntra-species-checked": "guaranteed", "FlowCytIntra-species-dilution-info": "", "FlowCytIntra-species-notes": "", "IHCP-species-checked": "testedAndGuaranteed", "IHCP-species-dilution-info": "1/500", "IHCP-species-notes": "<p></p>" }, "Rat": { "IP-species-checked": "guaranteed", "IP-species-dilution-info": "", "IP-species-notes": "", "WB-species-checked": "testedAndGuaranteed", "WB-species-dilution-info": "1/1000", "WB-species-notes": "<p></p>", "ICCIF-species-checked": "guaranteed", "ICCIF-species-dilution-info": "", "ICCIF-species-notes": "", "FlowCytIntra-species-checked": "guaranteed", "FlowCytIntra-species-dilution-info": "", "FlowCytIntra-species-notes": "", "IHCP-species-checked": "testedAndGuaranteed", "IHCP-species-dilution-info": "1/500", "IHCP-species-notes": "<p></p>" } } }

Product details

Patented technology
Our RabMAb® technology is a patented hybridoma-based technology for making rabbit monoclonal antibodies. For details on our patents, please refer to RabMAb® patents.

What are the advantages of a recombinant monoclonal antibody?
This product is a recombinant monoclonal antibody, which offers several advantages including:

  • - High batch-to-batch consistency and reproducibility
  • - Improved sensitivity and specificity
  • - Long-term security of supply
  • - Animal-free batch production

For more information, read more on recombinant antibodies.

Properties and storage information

Form
Liquid
Purification technique
Affinity purification Protein A
Storage buffer
pH: 7.2 - 7.4 Preservative: 0.01% Sodium azide Constituents: PBS, 40% Glycerol (glycerin, glycerine), 0.05% BSA
Shipped at conditions
Blue Ice
Appropriate short-term storage duration
1-2 weeks
Appropriate short-term storage conditions
+4°C
Appropriate long-term storage conditions
-20°C
Aliquoting information
Upon delivery aliquot
Storage information
Avoid freeze / thaw cycle

Supplementary information

This supplementary information is collated from multiple sources and compiled automatically.

Fumarase also known as fumarate hydratase (FH) catalyzes the reversible hydration of fumarate to malate in the citric acid cycle. This enzyme weighs approximately 49 kDa. Fumarase is predominantly expressed in the mitochondria where it performs its main function. However a cytosolic form exists that plays roles outside of the citric acid cycle especially related to DNA damage response.
Biological function summary

Fumarase converts fumarate into malate which is a critical step in cellular energy production. In the mitochondria fumarase acts as a part of the TCA cycle facilitating ATP generation. In the cytosol beyond its enzymatic activity fumarase participates in DNA repair indicating its dual functionality. This suggests that fumarase might play additional roles that are yet discovered.

Pathways

Fumarase plays essential roles in both the citric acid cycle and DNA repair pathways. In the TCA cycle fumarase along with enzymes like malate dehydrogenase maintains efficient energy conversion in mitochondria. In DNA repair fumarase likely interacts with proteins such as p53 suggesting that fumarate has signaling roles impacting cell survival and replication.

Mutations in the fumarase gene associate with hereditary leiomyomatosis and renal cell cancer (HLRCC). This disorder involves impaired fumarase function leading to abnormal cellular processes and tumor development. Fumarase deficiencies also connect to neurological disorders suggesting that its dysfunction has broad effects in cellular metabolism and genome stability linking it indirectly to other proteins within the affected pathways.

Product protocols

For this product, it's our understanding that no specific protocols are required. You can visit:

Target data

Catalyzes the reversible stereospecific interconversion of fumarate to L-malate (PubMed : 30761759). Experiments in other species have demonstrated that specific isoforms of this protein act in defined pathways and favor one direction over the other (Probable).. Isoform Mitochondrial. Catalyzes the hydration of fumarate to L-malate in the tricarboxylic acid (TCA) cycle to facilitate a transition step in the production of energy in the form of NADH.. Isoform Cytoplasmic. Catalyzes the dehydration of L-malate to fumarate (By similarity). Fumarate metabolism in the cytosol plays a role during urea cycle and arginine metabolism; fumarate being a by-product of the urea cycle and amino-acid catabolism (By similarity). Also plays a role in DNA repair by promoting non-homologous end-joining (NHEJ) (PubMed : 20231875, PubMed : 26237645). In response to DNA damage and phosphorylation by PRKDC, translocates to the nucleus and accumulates at DNA double-strand breaks (DSBs) : acts by catalyzing formation of fumarate, an inhibitor of KDM2B histone demethylase activity, resulting in enhanced dimethylation of histone H3 'Lys-36' (H3K36me2) (PubMed : 26237645).
See full target information FH

Publications (8)

Recent publications for all applications. Explore the full list and refine your search

Frontiers in oncology 15:1555302 PubMed40809015

2025

Bioinformatics-based prognostic value and functional validation of PTK6 in cutaneous melanoma.

Applications

Unspecified application

Species

Unspecified reactive species

Yanyan Niu,Xiaoyu Liu,Aixiu Shi,Danli Tang,Xiaodong Yao,Yan Lu

Frontiers in pharmacology 15:1475102 PubMed39494346

2024

Proteomic study of medicinal mushroom extracts reveals antitumor mechanisms in an advanced colon cancer animal model via ribosomal biogenesis, translation, and metabolic pathways.

Applications

Unspecified application

Species

Unspecified reactive species

Boris Jakopovic,Anita Horvatić,Jurica Baranasic,Iris Car,Nada Oršolić,Ivan Jakopovich,Mirela Sedić,Sandra Kraljević Pavelić

The EMBO journal 43:2337-2367 PubMed38649537

2024

SUCLG1 restricts POLRMT succinylation to enhance mitochondrial biogenesis and leukemia progression.

Applications

Unspecified application

Species

Unspecified reactive species

Weiwei Yan,Chengmei Xie,Sijun Sun,Quan Zheng,Jingyi Wang,Zihao Wang,Cheuk-Him Man,Haiyan Wang,Yunfan Yang,Tianshi Wang,Leilei Shi,Shengjie Zhang,Chen Huang,Shuangnian Xu,Yi-Ping Wang

Frontiers in oncology 14:1349610 PubMed38371617

2024

Acquired cystic disease-associated renal cell carcinoma with PTCH1 mutation: a case report.

Applications

Unspecified application

Species

Unspecified reactive species

Luting Zhou,Haimin Xu,Yang Liu,Xiangyun Li,Chuanying Li,Xiaoqun Yang,Chaofu Wang

Cell reports. Medicine 4:101264 PubMed37939712

2023

Targeting the TCA cycle through cuproptosis confers synthetic lethality on ARID1A-deficient hepatocellular carcinoma.

Applications

Unspecified application

Species

Unspecified reactive species

Tao Xing,Li Li,Yiran Chen,Gaoda Ju,Guilan Li,Xiaoyun Zhu,Yubo Ren,Jing Zhao,Zhilei Cheng,Yan Li,Da Xu,Jun Liang

Heliyon 9:e15159 PubMed37089387

2023

Exploration of clinicopathological features of rearranged renal cell carcinoma and TFE3, TFEB, and ALK staining performance in renal entities.

Applications

Unspecified application

Species

Unspecified reactive species

Yang Liu,Xiangyun Li,Yue Fan,Haimin Xu,Yijin Gu,Lei Dong,Luting Zhou,Xiaoqun Yang,Chaofu Wang

Annals of the New York Academy of Sciences 1516:262-270 PubMed35821608

2022

Fumarate hydratase gene germline variants and mosaicism associated with pheochromocytoma and paraganglioma.

Applications

Unspecified application

Species

Unspecified reactive species

Xiaosen Ma,Yunying Cui,Yinjie Gao,Xuebin Zhang,Min Nie,Anli Tong

NPJ Parkinson's disease 8:10 PubMed35027576

2022

Similar neuronal imprint and no cross-seeded fibrils in α-synuclein aggregates from MSA and Parkinson's disease.

Applications

Unspecified application

Species

Unspecified reactive species

Florent Laferrière,Stéphane Claverol,Erwan Bezard,Francesca De Giorgi,François Ichas
View all publications

Product promise

We are committed to supporting your work with high-quality reagents, and we're here for you every step of the way. In the unlikely event that one of our products does not perform as expected, you're protected by our Product Promise.
For full details, please see our Terms & Conditions

Please note: All products are 'FOR RESEARCH USE ONLY. NOT FOR USE IN DIAGNOSTIC OR THERAPEUTIC PROCEDURES'.

For licensing inquiries, please contact partnerships@abcam.com