JavaScript is disabled in your browser. Please enable JavaScript to view this website.
AB234907

Anti-FH/Fumarase antibody [EPR21105] - BSA and Azide free

Be the first to review this product! Submit a review

|

(1 Publication)

Rabbit Recombinant Monoclonal FH/Fumarase antibody. Carrier free. Suitable for IP, WB, ICC/IF, Flow Cyt (Intra), IHC-P and reacts with Human, Mouse, Rat samples. Cited in 1 publication.

View Alternative Names

Fumarase, HsFH, FH

7 Images
Immunohistochemistry (Formalin/PFA-fixed paraffin-embedded sections) - Anti-FH/Fumarase antibody [EPR21105] - BSA and Azide free (AB234907)
  • IHC-P

Supplier Data

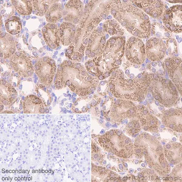
Immunohistochemistry (Formalin/PFA-fixed paraffin-embedded sections) - Anti-FH/Fumarase antibody [EPR21105] - BSA and Azide free (AB234907)

Immunohistochemical analysis of paraffin-embedded mouse kidney tissue labeling FH/Fumarase with ab233393 at 1/2000 dilution, followed by Goat Anti-Rabbit IgG H&L (HRP) ready to use. Intensive granular and weak nuclear staining in mouse kidney is observed. Counter stained with Hematoxylin.

Secondary antibody only control : Used PBS instead of primary antibody, secondary antibody is Goat Anti-Rabbit IgG H&L (HRP) ready to use.

Perform heat mediated antigen retrieval using ab93684 (Tris/EDTA buffer, pH 9.0).

This data was developed using the same antibody clone in a different buffer formulation containing PBS, BSA, glycerol, and sodium azide (ab233393).

Immunohistochemistry (Formalin/PFA-fixed paraffin-embedded sections) - Anti-FH/Fumarase antibody [EPR21105] - BSA and Azide free (AB234907)
  • IHC-P

Supplier Data

Immunohistochemistry (Formalin/PFA-fixed paraffin-embedded sections) - Anti-FH/Fumarase antibody [EPR21105] - BSA and Azide free (AB234907)

Immunohistochemical analysis of paraffin-embedded rat kidney tissue labeling FH/Fumarase with ab233393 at 1/2000 dilution, followed by Goat Anti-Rabbit IgG H&L (HRP) ready to use. Granular, cytoplasmic and nuclear staining on rat kidney (PMID : 17111171) is observed. Counter stained with Hematoxylin.

Secondary antibody only control : Used PBS instead of primary antibody, secondary antibody is Goat Anti-Rabbit IgG H&L (HRP) ready to use.

Perform heat mediated antigen retrieval using ab93684 (Tris/EDTA buffer, pH 9.0).

This data was developed using the same antibody clone in a different buffer formulation containing PBS, BSA, glycerol, and sodium azide (ab233393).

Immunohistochemistry (Formalin/PFA-fixed paraffin-embedded sections) - Anti-FH/Fumarase antibody [EPR21105] - BSA and Azide free (AB234907)
  • IHC-P

Supplier Data

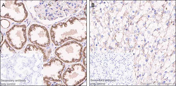
Immunohistochemistry (Formalin/PFA-fixed paraffin-embedded sections) - Anti-FH/Fumarase antibody [EPR21105] - BSA and Azide free (AB234907)

Immunohistochemical analysis of paraffin-embedded human kidney tissue (left) and human clear cell renal cancer tissue (right) tissue labeling FH/Fumarase with ab233393 at 1/2000 dilution, followed by Goat Anti-Rabbit IgG H&L (HRP) ready to use. Intense granular staining on human kidney whereas weaker staining in clear cell renal cancer tissue (PMID : 21695080) is observed. Counter stained with Hematoxylin.

Secondary antibody only control : Used PBS instead of primary antibody, secondary antibody is Goat Anti-Rabbit IgG H&L (HRP) ready to use.

Perform heat mediated antigen retrieval using ab93684 (Tris/EDTA buffer, pH 9.0).

This data was developed using the same antibody clone in a different buffer formulation containing PBS, BSA, glycerol, and sodium azide (ab233393).

Flow Cytometry (Intracellular) - Anti-FH/Fumarase antibody [EPR21105] - BSA and Azide free (AB234907)
  • Flow Cyt (Intra)

Supplier Data

Flow Cytometry (Intracellular) - Anti-FH/Fumarase antibody [EPR21105] - BSA and Azide free (AB234907)

Intracellular flow cytometric analysis of4% paraformaldehyde-fixed, 90% methanol-permeabilized HeLa (human epithelial cell line from cervix adenocarcinoma) cell line labeling FH/Fumarase with ab233393 at 1/500 dilution (red) compared with an Isotype control details (ab172730) (black) and an unlabelled control (cells without incubation with primary antibody and secondary antibody) (blue). Goat Anti-Rabbit IgG H&L (Alexa Fluor® 488) (ab150077), at 1/2000 dilution was used as the secondary antibody.

This data was developed using the same antibody clone in a different buffer formulation containing PBS, BSA, glycerol, and sodium azide (ab233393).

Immunocytochemistry/ Immunofluorescence - Anti-FH/Fumarase antibody [EPR21105] - BSA and Azide free (AB234907)
  • ICC/IF

Supplier Data

Immunocytochemistry/ Immunofluorescence - Anti-FH/Fumarase antibody [EPR21105] - BSA and Azide free (AB234907)

Immunofluorescent analysis of 4% paraformaldehyde-fixed, 0.1% Triton X-100 permeabilized NIH/3T3 (mouse embryo fibroblast cell line) cells labeling FH/Fumarase with ab233393 at 1/1000 dilution, followed by Goat Anti-Rabbit IgG H&L (Alexa Fluor® 488) (ab150077) secondary antibody at 1/1000 dilution (green). Confocal image showing cytoplasmic staining in NIH/3T3 cell line is observed. The nuclear counter stain is DAPI (blue). Tubulin is detected with Anti-alpha Tubulin antibody [DM1A] - Microtubule Marker (Alexa Fluor® 594) (ab195889) at 1/200 dilution (red).

Secondary antibody only control : Used PBS instead of primary antibody, followed by Goat Anti-Rabbit IgG H&L (Alexa Fluor® 488) (ab150077) secondary antibody at 1/1000 dilution.

This data was developed using the same antibody clone in a different buffer formulation containing PBS, BSA, glycerol, and sodium azide (ab233393).

Immunocytochemistry/ Immunofluorescence - Anti-FH/Fumarase antibody [EPR21105] - BSA and Azide free (AB234907)
  • ICC/IF

Supplier Data

Immunocytochemistry/ Immunofluorescence - Anti-FH/Fumarase antibody [EPR21105] - BSA and Azide free (AB234907)

Immunofluorescent analysis of 4% paraformaldehyde-fixed, 0.1% Triton X-100 permeabilized HeLa (human epithelial cell line from cervix adenocarcinoma) cell line labeling FH/Fumarase with ab233393 at 1/1000 dilution, followed by Goat Anti-Rabbit IgG H&L (Alexa Fluor® 488) (ab150077) secondary antibody at 1/1000 dilution (green). Confocal image showing cytoplasmic staining in HeLa cell line is observed. The nuclear counter stain is DAPI (blue). Tubulin is detected with Anti-alpha Tubulin antibody [DM1A] - Microtubule Marker (Alexa Fluor® 594) (ab195889) at 1/200 dilution (red).

Secondary antibody only control : Used PBS instead of primary antibody, followed by Goat Anti-Rabbit IgG H&L (Alexa Fluor® 488) (ab150077) secondary antibody at 1/1000 dilution.

This data was developed using the same antibody clone in a different buffer formulation containing PBS, BSA, glycerol, and sodium azide (ab233393).

Immunoprecipitation - Anti-FH/Fumarase antibody [EPR21105] - BSA and Azide free (AB234907)
  • IP

Supplier Data

Immunoprecipitation - Anti-FH/Fumarase antibody [EPR21105] - BSA and Azide free (AB234907)

FH/Fumarase was immunoprecipitated from 0.35 mg of HEK-293 (human epithelial cell line from embryonic kidney) whole cell lysate with ab233393 at 1/30 dilution. Western blot was performed from the immunoprecipitate using ab233393 at 1/2000 dilution. VeriBlot for IP Detection Reagent (HRP) (ab131366), was used for detection at 1/10,000 dilution.

Lane 1 : HEK-293 whole cell lysate 10 μg (Input).
Lane 2 : ab233393 IP in HEK-293 whole cell lysate.
Lane 3 : Rabbit monoclonal IgG (ab172730) instead of ab233393 in HEK-293 whole cell lysate.

Blocking and dilution buffer and concentration : 5% NFDM/TBST.
Exposure time : 10 seconds.

This data was developed using the same antibody clone in a different buffer formulation containing PBS, BSA, glycerol, and sodium azide (ab233393).

All lanes:

Immunoprecipitation - Anti-FH/Fumarase antibody [EPR21105] (<a href='/en-us/products/primary-antibodies/fh-fumarase-antibody-epr21105-ab233393'>ab233393</a>)

Predicted band size: 54 kDa

Observed band size: 45 kDa

true

Key facts

Host species

Rabbit

Clonality

Monoclonal

Clone number

EPR21105

Isotype

IgG

Carrier free

Yes

Reacts with

Mouse, Rat, Human

Applications

WB, ICC/IF, IHC-P, Flow Cyt (Intra), IP

applications

Immunogen

The exact immunogen used to generate this antibody is proprietary information.

Reactivity data

{ "title": "Reactivity Data", "filters": { "stats": ["", "Species", "Dilution Info", "Notes"], "tabs": { "all-applications": {"fullname" : "All Applications", "shortname": "All Applications"}, "IP" : {"fullname" : "Immunoprecipitation", "shortname":"IP"}, "WB" : {"fullname" : "Western blot", "shortname":"WB"}, "ICCIF" : {"fullname" : "Immunocytochemistry/ Immunofluorescence", "shortname":"ICC/IF"}, "FlowCytIntra" : {"fullname" : "Flow Cytometry (Intracellular)", "shortname":"Flow Cyt (Intra)"}, "IHCP" : {"fullname" : "Immunohistochemistry (Formalin/PFA-fixed paraffin-embedded sections)", "shortname":"IHC-P"} }, "product-promise": { "all": "all", "testedAndGuaranteed": "tested", "guaranteed": "expected", "predicted": "predicted", "notRecommended": "not-recommended" } }, "values": { "Human": { "IP-species-checked": "testedAndGuaranteed", "IP-species-dilution-info": "", "IP-species-notes": "<p></p>", "WB-species-checked": "guaranteed", "WB-species-dilution-info": "", "WB-species-notes": "<p></p>", "ICCIF-species-checked": "guaranteed", "ICCIF-species-dilution-info": "", "ICCIF-species-notes": "", "FlowCytIntra-species-checked": "testedAndGuaranteed", "FlowCytIntra-species-dilution-info": "", "FlowCytIntra-species-notes": "<p></p>", "IHCP-species-checked": "guaranteed", "IHCP-species-dilution-info": "", "IHCP-species-notes": "" }, "Mouse": { "IP-species-checked": "guaranteed", "IP-species-dilution-info": "", "IP-species-notes": "", "WB-species-checked": "guaranteed", "WB-species-dilution-info": "", "WB-species-notes": "<p></p>", "ICCIF-species-checked": "testedAndGuaranteed", "ICCIF-species-dilution-info": "", "ICCIF-species-notes": "<p></p>", "FlowCytIntra-species-checked": "guaranteed", "FlowCytIntra-species-dilution-info": "", "FlowCytIntra-species-notes": "", "IHCP-species-checked": "guaranteed", "IHCP-species-dilution-info": "", "IHCP-species-notes": "" }, "Rat": { "IP-species-checked": "guaranteed", "IP-species-dilution-info": "", "IP-species-notes": "", "WB-species-checked": "guaranteed", "WB-species-dilution-info": "", "WB-species-notes": "<p></p>", "ICCIF-species-checked": "guaranteed", "ICCIF-species-dilution-info": "", "ICCIF-species-notes": "", "FlowCytIntra-species-checked": "guaranteed", "FlowCytIntra-species-dilution-info": "", "FlowCytIntra-species-notes": "", "IHCP-species-checked": "testedAndGuaranteed", "IHCP-species-dilution-info": "", "IHCP-species-notes": "<p></p>" } } }

Product details

ab234907 is the carrier-free version of ab233393.

Patented technology
Our RabMAb® technology is a patented hybridoma-based technology for making rabbit monoclonal antibodies. For details on our patents, please refer to RabMAb® patents.

What are the advantages of a recombinant monoclonal antibody?
This product is a recombinant monoclonal antibody, which offers several advantages including:

  • - High batch-to-batch consistency and reproducibility
  • - Improved sensitivity and specificity
  • - Long-term security of supply
  • - Animal-free batch production

For more information, read more on recombinant antibodies.

Conjugation ready
Our carrier-free antibodies are typically supplied in a PBS-only formulation, purified and free of BSA, sodium azide and glycerol. This conjugation-ready format is designed for use with fluorochromes, metal isotopes, oligonucleotides, and enzymes, which makes them ideal for antibody labelling, functional and cell-based assays, flow-based assays (e.g. mass cytometry) and Multiplex Imaging applications.

Use our conjugation kits for antibody conjugates that are ready-to-use in as little as 20 minutes with 1 minute hands-on-time and 100% antibody recovery: available for fluorescent dyes, HRP, biotin and gold.

Compatibility
This product is compatible with the Maxpar® Antibody Labeling Kit from Fluidigm, without the need for antibody preparation. Maxpar® is a trademark of Fluidigm Canada Inc.

Properties and storage information

Form
Liquid
Purification technique
Affinity purification Protein A
Storage buffer
pH: 7.2 - 7.4 Constituents: PBS
Shipped at conditions
Blue Ice
Appropriate short-term storage conditions
+4°C
Appropriate long-term storage conditions
+4°C
Storage information
Do Not Freeze

Supplementary information

This supplementary information is collated from multiple sources and compiled automatically.

Fumarase also known as fumarate hydratase (FH) catalyzes the reversible hydration of fumarate to malate in the citric acid cycle. This enzyme weighs approximately 49 kDa. Fumarase is predominantly expressed in the mitochondria where it performs its main function. However a cytosolic form exists that plays roles outside of the citric acid cycle especially related to DNA damage response.
Biological function summary

Fumarase converts fumarate into malate which is a critical step in cellular energy production. In the mitochondria fumarase acts as a part of the TCA cycle facilitating ATP generation. In the cytosol beyond its enzymatic activity fumarase participates in DNA repair indicating its dual functionality. This suggests that fumarase might play additional roles that are yet discovered.

Pathways

Fumarase plays essential roles in both the citric acid cycle and DNA repair pathways. In the TCA cycle fumarase along with enzymes like malate dehydrogenase maintains efficient energy conversion in mitochondria. In DNA repair fumarase likely interacts with proteins such as p53 suggesting that fumarate has signaling roles impacting cell survival and replication.

Mutations in the fumarase gene associate with hereditary leiomyomatosis and renal cell cancer (HLRCC). This disorder involves impaired fumarase function leading to abnormal cellular processes and tumor development. Fumarase deficiencies also connect to neurological disorders suggesting that its dysfunction has broad effects in cellular metabolism and genome stability linking it indirectly to other proteins within the affected pathways.

Product protocols

For this product, it's our understanding that no specific protocols are required. You can visit:

Target data

Catalyzes the reversible stereospecific interconversion of fumarate to L-malate (PubMed : 30761759). Experiments in other species have demonstrated that specific isoforms of this protein act in defined pathways and favor one direction over the other (Probable).. Isoform Mitochondrial. Catalyzes the hydration of fumarate to L-malate in the tricarboxylic acid (TCA) cycle to facilitate a transition step in the production of energy in the form of NADH.. Isoform Cytoplasmic. Catalyzes the dehydration of L-malate to fumarate (By similarity). Fumarate metabolism in the cytosol plays a role during urea cycle and arginine metabolism; fumarate being a by-product of the urea cycle and amino-acid catabolism (By similarity). Also plays a role in DNA repair by promoting non-homologous end-joining (NHEJ) (PubMed : 20231875, PubMed : 26237645). In response to DNA damage and phosphorylation by PRKDC, translocates to the nucleus and accumulates at DNA double-strand breaks (DSBs) : acts by catalyzing formation of fumarate, an inhibitor of KDM2B histone demethylase activity, resulting in enhanced dimethylation of histone H3 'Lys-36' (H3K36me2) (PubMed : 26237645).
See full target information FH

Publications (1)

Recent publications for all applications. Explore the full list and refine your search

Iranian journal of public health 51:2706-2716 PubMed36742227

2023

Peripheral Blood of Vitiligo Patients-Derived Exosomal MiR-21-5p Inhibits Melanocytes Melanogenesis via Targeting SATB1.

Applications

Unspecified application

Species

Unspecified reactive species

Change Zhang,Wu Guo,Sheng Wang,Yuzi Di,Dengting Wu
View all publications

Product promise

We are committed to supporting your work with high-quality reagents, and we're here for you every step of the way. In the unlikely event that one of our products does not perform as expected, you're protected by our Product Promise.
For full details, please see our Terms & Conditions

Please note: All products are 'FOR RESEARCH USE ONLY. NOT FOR USE IN DIAGNOSTIC OR THERAPEUTIC PROCEDURES'.

For licensing inquiries, please contact partnerships@abcam.com