JavaScript is disabled in your browser. Please enable JavaScript to view this website.
AB248602

Anti-FHL1 antibody [EPR7520] - BSA and Azide free

Be the first to review this product! Submit a review

|

(1 Publication)

Rabbit Recombinant Monoclonal FHL1 antibody. Carrier free. Suitable for IHC-P, WB and reacts with Human samples. Cited in 1 publication.

View Alternative Names

SLIM1, FHL1, Four and a half LIM domains protein 1, FHL-1, Skeletal muscle LIM-protein 1, SLIM, SLIM-1

4 Images
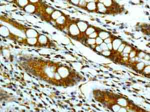
Immunohistochemistry (Formalin/PFA-fixed paraffin-embedded sections) - Anti-FHL1 antibody [EPR7520] - BSA and Azide free (AB248602)
  • IHC-P

Unknown

Immunohistochemistry (Formalin/PFA-fixed paraffin-embedded sections) - Anti-FHL1 antibody [EPR7520] - BSA and Azide free (AB248602)

This data was developed using ab133661, the same antibody clone in a different buffer formulation.

Immunohistochemistry analysis of FHL1 in paraffin embedded Human colon tissue labelled with ab133661 at a 1/100 dilution.

Perform heat mediated antigen retrieval with citrate buffer pH 6 before commencing with IHC staining protocol.

Immunohistochemistry (Formalin/PFA-fixed paraffin-embedded sections) - Anti-FHL1 antibody [EPR7520] - BSA and Azide free (AB248602)
  • IHC-P

Unknown

Immunohistochemistry (Formalin/PFA-fixed paraffin-embedded sections) - Anti-FHL1 antibody [EPR7520] - BSA and Azide free (AB248602)

This data was developed using ab133661, the same antibody clone in a different buffer formulation.

Immunohistochemistry analysis of FHL1 in paraffin embedded Human muscle tissue labelled with ab133661 at a 1/100 dilution.

Perform heat mediated antigen retrieval with citrate buffer pH 6 before commencing with IHC staining protocol.

Western blot - Anti-FHL1 antibody [EPR7520] - BSA and Azide free (AB248602)
  • WB

Unknown

Western blot - Anti-FHL1 antibody [EPR7520] - BSA and Azide free (AB248602)

This data was developed using ab133661, the same antibody clone in a different buffer formulation.

All lanes:

Western blot - Anti-FHL1 antibody [EPR7520] (<a href='/en-us/products/primary-antibodies/fhl1-antibody-epr7520-ab133661'>ab133661</a>) at 1/1000 dilution

All lanes:

Human fetal muscle tissue lysate at 10 µg

Secondary

All lanes:

HRP labelled Goat anti-Rabbit at 1/2000 dilution

Predicted band size: 36 kDa

Observed band size: 32 kDa

false

OI-RD Scanning - Anti-FHL1 antibody [EPR7520] - BSA and Azide free (AB248602)
  • OI-RD Scanning

Unknown

OI-RD Scanning - Anti-FHL1 antibody [EPR7520] - BSA and Azide free (AB248602)

We have systematically measured KD (the equilibrium dissociation constant between the antibody and its antigen), of more than 840 recombinant antibodies to assess not only their individual KD values but also to see the average affinity of antibody. Based on the comparison with published literature values for mouse monoclonal antibodies, Recombinant antibodies appear to be on average 1-2 order of magnitude higher affinity.

Key facts

Host species

Rabbit

Clonality

Monoclonal

Clone number

EPR7520

Isotype

IgG

Carrier free

Yes

Reacts with

Human

Applications

WB, IHC-P

applications

Immunogen

The exact immunogen used to generate this antibody is proprietary information.

Reactivity data

{ "title": "Reactivity Data", "filters": { "stats": ["", "Species", "Dilution Info", "Notes"], "tabs": { "all-applications": {"fullname" : "All Applications", "shortname": "All Applications"}, "IHCP" : {"fullname" : "Immunohistochemistry (Formalin/PFA-fixed paraffin-embedded sections)", "shortname":"IHC-P"}, "ICCIF" : {"fullname" : "Immunocytochemistry/ Immunofluorescence", "shortname":"ICC/IF"}, "FlowCyt" : {"fullname" : "Flow Cytometry", "shortname":"Flow Cyt"}, "WB" : {"fullname" : "Western blot", "shortname":"WB"} }, "product-promise": { "all": "all", "testedAndGuaranteed": "tested", "guaranteed": "expected", "predicted": "predicted", "notRecommended": "not-recommended" } }, "values": { "Human": { "IHCP-species-checked": "testedAndGuaranteed", "IHCP-species-dilution-info": "", "IHCP-species-notes": "<p></p>", "ICCIF-species-checked": "notRecommended", "ICCIF-species-dilution-info": "", "ICCIF-species-notes": "<p></p>", "FlowCyt-species-checked": "notRecommended", "FlowCyt-species-dilution-info": "", "FlowCyt-species-notes": "<p></p>", "WB-species-checked": "testedAndGuaranteed", "WB-species-dilution-info": "", "WB-species-notes": "<p></p>" }, "Mouse": { "IHCP-species-checked": "predicted", "IHCP-species-dilution-info": "", "IHCP-species-notes": "", "ICCIF-species-checked": "notRecommended", "ICCIF-species-dilution-info": "", "ICCIF-species-notes": "", "FlowCyt-species-checked": "notRecommended", "FlowCyt-species-dilution-info": "", "FlowCyt-species-notes": "", "WB-species-checked": "predicted", "WB-species-dilution-info": "", "WB-species-notes": "" }, "Rat": { "IHCP-species-checked": "predicted", "IHCP-species-dilution-info": "", "IHCP-species-notes": "", "ICCIF-species-checked": "notRecommended", "ICCIF-species-dilution-info": "", "ICCIF-species-notes": "", "FlowCyt-species-checked": "notRecommended", "FlowCyt-species-dilution-info": "", "FlowCyt-species-notes": "", "WB-species-checked": "predicted", "WB-species-dilution-info": "", "WB-species-notes": "" } } }

Product details

ab248602 is the carrier-free version of ab133661.

Patented technology
Our RabMAb® technology is a patented hybridoma-based technology for making rabbit monoclonal antibodies. For details on our patents, please refer to RabMAb® patents.

What are the advantages of a recombinant monoclonal antibody?
This product is a recombinant monoclonal antibody, which offers several advantages including:

  • - High batch-to-batch consistency and reproducibility
  • - Improved sensitivity and specificity
  • - Long-term security of supply
  • - Animal-free batch production

For more information, read more on recombinant antibodies.

Conjugation ready
Our carrier-free antibodies are typically supplied in a PBS-only formulation, purified and free of BSA, sodium azide and glycerol. This conjugation-ready format is designed for use with fluorochromes, metal isotopes, oligonucleotides, and enzymes, which makes them ideal for antibody labelling, functional and cell-based assays, flow-based assays (e.g. mass cytometry) and Multiplex Imaging applications.

Use our conjugation kits for antibody conjugates that are ready-to-use in as little as 20 minutes with 1 minute hands-on-time and 100% antibody recovery: available for fluorescent dyes, HRP, biotin and gold.

Compatibility
This product is compatible with the Maxpar® Antibody Labeling Kit from Fluidigm, without the need for antibody preparation. Maxpar® is a trademark of Fluidigm Canada Inc.

Properties and storage information

Form
Liquid
Purification technique
Affinity purification Protein A
Storage buffer
pH: 7.2 - 7.4 Constituents: PBS
Shipped at conditions
Blue Ice
Appropriate short-term storage conditions
+4°C
Appropriate long-term storage conditions
+4°C
Storage information
Do Not Freeze

Supplementary information

This supplementary information is collated from multiple sources and compiled automatically.

The FHL1 protein also known as Four and a Half LIM Domains 1 operates mechanically as a multifunctional adaptor protein. Its molecular mass is approximately 35 kDa. This protein is widely expressed in skeletal muscle and heart tissues playing a role in various cellular contexts. FHL1 interacts within the cell cytoplasm and nucleus allowing it to assist in multiple cellular processes.
Biological function summary

FHL1 integrates into diverse cellular mechanisms by engaging in protein-protein interactions. It acts as part of complexes that regulate transcription cell differentiation and development. The involvement of FHL1 in muscle growth and maintenance is significant partly due to its expression pattern. In skeletal muscles it helps adapt muscle response to mechanical stress while in cardiac tissue it participates in muscle contractility and integrity.

Pathways

FHL1 plays important roles in both the muscle differentiation pathway and the MAPK/ERK signaling pathway. It influences the transcriptional regulation essential for muscle cell growth and differentiation. FHL1 interacts with proteins such as MyoD during muscle formation and MEF2 in the MAPK/ERK pathway modulating cellular responses to external signals and stressors.

FHL1's involvement is evident in conditions such as Emery-Dreifuss muscular dystrophy and cardiomyopathy. Mutations or dysregulation of this protein can impair muscle function leading to myopathy. It associates with other proteins like emerin in genetic disorders affecting muscle tissues and structural integrity revealing its vital role in maintaining muscular health.

Product protocols

For this product, it's our understanding that no specific protocols are required. You can visit:

Target data

May have an involvement in muscle development or hypertrophy.
See full target information FHL1

Publications (1)

Recent publications for all applications. Explore the full list and refine your search

Immunity, inflammation and disease 10:e727 PubMed36301031

2022

Forkhead box M1 recruits FoxP3 Treg cells to induce immune escape in hilar cholangiocarcinoma.

Applications

Unspecified application

Species

Unspecified reactive species

Kai Ma,Zhaowei Sun,Xueliang Li,Jingyun Guo,Qinlei Wang,Mujian Teng
View all publications

Product promise

We are committed to supporting your work with high-quality reagents, and we're here for you every step of the way. In the unlikely event that one of our products does not perform as expected, you're protected by our Product Promise.
For full details, please see our Terms & Conditions

Please note: All products are 'FOR RESEARCH USE ONLY. NOT FOR USE IN DIAGNOSTIC OR THERAPEUTIC PROCEDURES'.

For licensing inquiries, please contact partnerships@abcam.com