JavaScript is disabled in your browser. Please enable JavaScript to view this website.
AB153816

Anti-FHL2 antibody - C-terminal

5

(1 Review)

|

(1 Publication)

Rabbit Polyclonal FHL2 antibody. Suitable for WB, ICC/IF, IHC-P and reacts with Human samples. Cited in 1 publication. Immunogen corresponding to Synthetic Peptide within Human FHL2 aa 200 to C-terminus.

View Alternative Names

DRAL, SLIM3, FHL2, Four and a half LIM domains protein 2, FHL-2, LIM domain protein DRAL, Skeletal muscle LIM-protein 3, SLIM-3

3 Images
Immunocytochemistry/ Immunofluorescence - Anti-FHL2 antibody - C-terminal (AB153816)
  • ICC/IF

Supplier Data

Immunocytochemistry/ Immunofluorescence - Anti-FHL2 antibody - C-terminal (AB153816)

Immunofluorescent analysis of paraformaldehyde-fixed HeLa cells labeling FHL2 with ab153816 at 1/200 dilution. Image at the bottom merged with DNA probe.

Immunohistochemistry (Formalin/PFA-fixed paraffin-embedded sections) - Anti-FHL2 antibody - C-terminal (AB153816)
  • IHC-P

Unknown

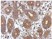
Immunohistochemistry (Formalin/PFA-fixed paraffin-embedded sections) - Anti-FHL2 antibody - C-terminal (AB153816)

Immunohistochemical analysis of paraffin embedded Human colon carcinoma tissue labeling FHL2 with ab153816 antibody at 1/500.

Western blot - Anti-FHL2 antibody - C-terminal (AB153816)
  • WB

Unknown

Western blot - Anti-FHL2 antibody - C-terminal (AB153816)

12% SDS PAGE

All lanes:

Western blot - Anti-FHL2 antibody - C-terminal (ab153816) at 1/1000 dilution

All lanes:

HepG2 whole cell lysate at 30 µg

Predicted band size: 32 kDa

false

Key facts

Host species

Rabbit

Clonality

Polyclonal

Isotype

IgG

Carrier free

No

Reacts with

Human

Applications

IHC-P, ICC/IF, WB

applications

Immunogen

Synthetic Peptide within Human FHL2 aa 200 to C-terminus. The exact immunogen used to generate this antibody is proprietary information.

Q14192

Reactivity data

{ "title": "Reactivity Data", "filters": { "stats": ["", "Species", "Dilution Info", "Notes"], "tabs": { "all-applications": {"fullname" : "All Applications", "shortname": "All Applications"}, "WB" : {"fullname" : "Western blot", "shortname":"WB"}, "ICCIF" : {"fullname" : "Immunocytochemistry/ Immunofluorescence", "shortname":"ICC/IF"}, "IHCP" : {"fullname" : "Immunohistochemistry (Formalin/PFA-fixed paraffin-embedded sections)", "shortname":"IHC-P"} }, "product-promise": { "all": "all", "testedAndGuaranteed": "tested", "guaranteed": "expected", "predicted": "predicted", "notRecommended": "not-recommended" } }, "values": { "Human": { "WB-species-checked": "testedAndGuaranteed", "WB-species-dilution-info": "1/500 - 1/3000", "WB-species-notes": "<p></p>", "ICCIF-species-checked": "testedAndGuaranteed", "ICCIF-species-dilution-info": "1/100 - 1/1000", "ICCIF-species-notes": "<p></p>", "IHCP-species-checked": "testedAndGuaranteed", "IHCP-species-dilution-info": "1/100 - 1/1000", "IHCP-species-notes": "<p></p>" }, "Mouse": { "WB-species-checked": "predicted", "WB-species-dilution-info": "", "WB-species-notes": "", "ICCIF-species-checked": "predicted", "ICCIF-species-dilution-info": "", "ICCIF-species-notes": "", "IHCP-species-checked": "predicted", "IHCP-species-dilution-info": "", "IHCP-species-notes": "" }, "Rat": { "WB-species-checked": "predicted", "WB-species-dilution-info": "", "WB-species-notes": "", "ICCIF-species-checked": "predicted", "ICCIF-species-dilution-info": "", "ICCIF-species-notes": "", "IHCP-species-checked": "predicted", "IHCP-species-dilution-info": "", "IHCP-species-notes": "" }, "Cow": { "WB-species-checked": "predicted", "WB-species-dilution-info": "", "WB-species-notes": "", "ICCIF-species-checked": "predicted", "ICCIF-species-dilution-info": "", "ICCIF-species-notes": "", "IHCP-species-checked": "predicted", "IHCP-species-dilution-info": "", "IHCP-species-notes": "" } } }

Properties and storage information

Form
Liquid
Purification technique
Affinity purification Immunogen
Storage buffer
pH: 7 Preservative: 0.01% Thimerosal (merthiolate) Constituents: 10% Glycerol (glycerin, glycerine), 1.21% Tris, 0.75% Glycine
Shipped at conditions
Blue Ice
Appropriate short-term storage conditions
+4°C
Appropriate long-term storage conditions
-20°C
Aliquoting information
Upon delivery aliquot
Storage information
Avoid freeze / thaw cycle

Supplementary information

This supplementary information is collated from multiple sources and compiled automatically.

The FHL2 protein also known as Four and a Half LIM Domains Protein 2 plays an important role in cellular mechanics. Its molecular mass is approximately 32 kDa. FHL2 is expressed in various tissues with significant presence in cardiac and skeletal muscles as well as the liver. It is involved in the regulation of gene expression by binding to other proteins and DNA through its LIM domains. This ability allows FHL2 to influence cellular structures and functions integrally.
Biological function summary

The FHL2 protein serves critical functions in muscle development and differentiation. It operates as part of a multiprotein complex that interacts with cytoskeletal components contributing importantly to muscle cell adhesion and communication. Moreover FHL2 engages in transcriptional regulation and acts as a coactivator or corepressor of specific transcription factors influencing gene expression patterns relevant to muscle function and maintenance.

Pathways

The FHL2 protein plays significant roles in Wnt and MAPK signaling pathways. In the Wnt signaling pathway FHL2 regulates the transcriptional activity of beta-catenin an essential component of the pathway involved in cell growth and differentiation. Additionally FHL2 contributes to the MAPK signaling pathway by influencing interactions between upstream regulators and downstream targets modulating cellular responses to external stimuli. Through these pathways FHL2 interacts with various proteins including GATA4 and TEF-1 which are vital for its regulatory functions.

FHL2 has associations with certain cancers like prostate cancer and cardiomyopathy. In prostate cancer FHL2 overexpression leads to increased tumor progression and is often linked to androgen receptors promoting malignant transformation. In cardiomyopathy alterations in FHL2 expression affect heart muscle integrity and function sometimes in conjunction with interactions involving desmin an important structural protein. Understanding FHL2's connections to these diseases offers insights into potential therapeutic targets.

Product protocols

For this product, it's our understanding that no specific protocols are required. You can visit:

Target data

May function as a molecular transmitter linking various signaling pathways to transcriptional regulation. Negatively regulates the transcriptional repressor E4F1 and may function in cell growth. Inhibits the transcriptional activity of FOXO1 and its apoptotic function by enhancing the interaction of FOXO1 with SIRT1 and FOXO1 deacetylation. Negatively regulates the calcineurin/NFAT signaling pathway in cardiomyocytes (PubMed : 28717008).
See full target information FHL2

Publications (1)

Recent publications for all applications. Explore the full list and refine your search

Nature communications 9:2020 PubMed29789585

2018

Hypoxia induces senescence of bone marrow mesenchymal stem cells via altered gut microbiota.

Applications

Unspecified application

Species

Unspecified reactive species

Junyue Xing,Yongquan Ying,Chenxi Mao,Yiwei Liu,Tingting Wang,Qian Zhao,Xiaoling Zhang,Fuxia Yan,Hao Zhang
View all publications

Product promise

We are committed to supporting your work with high-quality reagents, and we're here for you every step of the way. In the unlikely event that one of our products does not perform as expected, you're protected by our Product Promise.
For full details, please see our Terms & Conditions

Please note: All products are 'FOR RESEARCH USE ONLY. NOT FOR USE IN DIAGNOSTIC OR THERAPEUTIC PROCEDURES'.

For licensing inquiries, please contact partnerships@abcam.com