JavaScript is disabled in your browser. Please enable JavaScript to view this website.
AB224461

Anti-FHOD1 antibody

5

(1 Review)

|

(1 Publication)

Rabbit Polyclonal FHOD1 antibody. Suitable for IHC-P, ICC/IF and reacts with Human samples. Cited in 1 publication. Immunogen corresponding to Recombinant Fragment Protein within Human FHOD1 aa 450-600.

View Alternative Names

FHOS, FHOS1, FHOD1, FH1/FH2 domain-containing protein 1, Formin homolog overexpressed in spleen 1, Formin homology 2 domain-containing protein 1

2 Images
Immunocytochemistry/ Immunofluorescence - Anti-FHOD1 antibody (AB224461)
  • ICC/IF

Supplier Data

Immunocytochemistry/ Immunofluorescence - Anti-FHOD1 antibody (AB224461)

PFA-fixed, Triton X-100 permeabilized A431 (human epidermoid carcinoma cell line) cells stained for FHOD1 (green) using ab224461 at 4 μg/ml in ICC/IF.

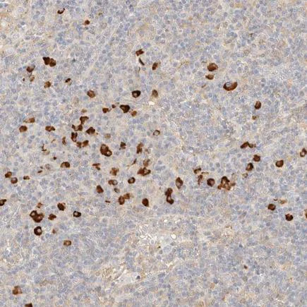
Immunohistochemistry (Formalin/PFA-fixed paraffin-embedded sections) - Anti-FHOD1 antibody (AB224461)
  • IHC-P

Supplier Data

Immunohistochemistry (Formalin/PFA-fixed paraffin-embedded sections) - Anti-FHOD1 antibody (AB224461)

Paraffin-embedded human lymph node tissue stained for FHOD1 using ab224461 at 1/200 dilution in immunohistochemical analysis.

Key facts

Host species

Rabbit

Clonality

Polyclonal

Isotype

IgG

Carrier free

No

Reacts with

Human

Applications

ICC/IF, IHC-P

applications

Immunogen

Recombinant Fragment Protein within Human FHOD1 aa 450-600. The exact immunogen used to generate this antibody is proprietary information.

Q9Y613

Reactivity data

{ "title": "Reactivity Data", "filters": { "stats": ["", "Species", "Dilution Info", "Notes"], "tabs": { "all-applications": {"fullname" : "All Applications", "shortname": "All Applications"}, "IHCP" : {"fullname" : "Immunohistochemistry (Formalin/PFA-fixed paraffin-embedded sections)", "shortname":"IHC-P"}, "ICCIF" : {"fullname" : "Immunocytochemistry/ Immunofluorescence", "shortname":"ICC/IF"} }, "product-promise": { "all": "all", "testedAndGuaranteed": "tested", "guaranteed": "expected", "predicted": "predicted", "notRecommended": "not-recommended" } }, "values": { "Human": { "IHCP-species-checked": "testedAndGuaranteed", "IHCP-species-dilution-info": "1/200 - 1/500", "IHCP-species-notes": "<p></p> Perform heat-mediated antigen retrieval with citrate buffer pH 6 before commencing with IHC staining protocol.", "ICCIF-species-checked": "testedAndGuaranteed", "ICCIF-species-dilution-info": "0.25-2 µg/mL", "ICCIF-species-notes": "<p>Fixation/Permeabilization: PFA/Triton X-100.</p>" } } }

Properties and storage information

Form
Liquid
Purification technique
Affinity purification Immunogen
Storage buffer
pH: 7.2 Preservative: 0.02% Sodium azide Constituents: PBS, 40% Glycerol (glycerin, glycerine)
Shipped at conditions
Blue Ice
Appropriate short-term storage duration
1-2 weeks
Appropriate short-term storage conditions
+4°C
Appropriate long-term storage conditions
-20°C
Aliquoting information
Upon delivery aliquot
Storage information
Avoid freeze / thaw cycle

Supplementary information

This supplementary information is collated from multiple sources and compiled automatically.

The formin homology domain-containing protein 1 (FHOD1) also known as Formin Homology 2 Domain-containing protein 1 acts as an important regulator of actin dynamics facilitating the polymerization of actin filaments. FHOD1 has a molecular mass of approximately 133 kDa. It is widely expressed in a variety of tissues including the heart lungs and skeletal muscle highlighting its importance across multiple organ systems. FHOD1's ability to interact with actin directly affects cell shape and motility which are critical for various cellular functions.
Biological function summary

FHOD1 plays an essential role in the modulation of the cytoskeleton. It functions as part of the formin family which are known to act as actin nucleators directing the elongation of actin filaments. FHOD1 forms filamentous actin structures and collaborates with other actin-binding proteins. This activity allows FHOD1 to maintain cellular architecture and support processes like cell division and migration.

Pathways

FHOD1 integrates its activity into the regulation of the actin cytoskeleton and Rho GTPase pathways. These pathways influence key cellular processes such as morphogenesis adhesion and motility. FHOD1's interaction with RhoA modulates actin filament assembly enabling it to partner with other proteins like mDia1 and ROCK to orchestrate cytoskeletal arrangements necessary for cell movement and structure integrity.

FHOD1 has connections to cardiovascular and cancer-related pathologies. Its role in maintaining actin filament structure affects cellular dynamics with abnormal expression or function being implicated in heart disease and tumor metastasis. Additionally dysregulation of FHOD1 alongside proteins such as RhoA and mDia1 can contribute to aberrant cellular proliferation and invasion typically observed in malignancies. Understanding FHOD1 interactions might offer potential therapeutic angles to address these conditions.

Product protocols

For this product, it's our understanding that no specific protocols are required. You can visit:

Target data

Required for the assembly of F-actin structures, such as stress fibers. Depends on the Rho-ROCK cascade for its activity. Contributes to the coordination of microtubules with actin fibers and plays a role in cell elongation. Acts synergistically with ROCK1 to promote SRC-dependent non-apoptotic plasma membrane blebbing.
See full target information FHOD1

Publications (1)

Recent publications for all applications. Explore the full list and refine your search

Experimental dermatology 32:766-776 PubMed36772997

2023

SERPINB7 mutation causes Nagashima-type palmoplantar keratosis and its spatiotemporal expression in zebrafish.

Applications

Unspecified application

Species

Unspecified reactive species

Chen Lyu,Fan Zhang,Tingting Liu,Gongqi Yu,Kangkang Ge,Shengli Chen,Donglai Sheng,Yonghu Sun
View all publications

Product promise

We are committed to supporting your work with high-quality reagents, and we're here for you every step of the way. In the unlikely event that one of our products does not perform as expected, you're protected by our Product Promise.
For full details, please see our Terms & Conditions

Please note: All products are 'FOR RESEARCH USE ONLY. NOT FOR USE IN DIAGNOSTIC OR THERAPEUTIC PROCEDURES'.

For licensing inquiries, please contact partnerships@abcam.com