JavaScript is disabled in your browser. Please enable JavaScript to view this website.
AB314506

Anti-Fibrillarin+Fibrillarin-like protein 1 antibody [RM1082]

Be the first to review this product! Submit a review

|

(0 Publication)

Rabbit Recombinant Multiclonal Fibrillarin antibody. Suitable for WB, ICC/IF, Flow Cyt (Intra), IP, IHC-P and reacts with Human, Mouse, Rat samples.

View Alternative Names

FIB1, FLRN, FBL, rRNA 2'-O-methyltransferase fibrillarin, 34 kDa nucleolar scleroderma antigen, Histone-glutamine methyltransferase, U6 snRNA 2'-O-methyltransferase fibrillarin

14 Images
Flow Cytometry (Intracellular) - Anti-Fibrillarin+Fibrillarin-like protein 1 antibody [RM1082] (AB314506)
  • Flow Cyt (Intra)

Supplier Data

Flow Cytometry (Intracellular) - Anti-Fibrillarin+Fibrillarin-like protein 1 antibody [RM1082] (AB314506)

Flow cytometric analysis of 4% paraformaldehyde fixed 90% methanol permeabilized Hela (human cervical adenocarcinoma epithelial cell) cells labelling Fibrillarin with ab314506 at 1/500 dilution (0.1 ug)/Red (Red) compared with a Rabbit monoclonal IgG (ab172730) (Black) isotype control and an unlabelled control (cells without incubation with primary antibody and secondary antibody) (Blue). A Goat Anti-Rabbit IgG (Alexa Fluor® 488, ab150081) at 1/5000 dilution was used as the secondary antibody.

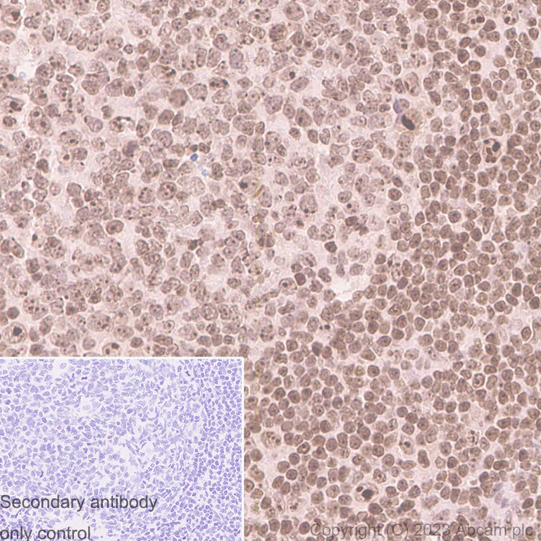
Immunohistochemistry (Formalin/PFA-fixed paraffin-embedded sections) - Anti-Fibrillarin+Fibrillarin-like protein 1 antibody [RM1082] (AB314506)
  • IHC-P

Supplier Data

Immunohistochemistry (Formalin/PFA-fixed paraffin-embedded sections) - Anti-Fibrillarin+Fibrillarin-like protein 1 antibody [RM1082] (AB314506)

Immunohistochemical analysis of paraffin-embedded Human tonsil tissue labeling Fibrillarin with ab314506 at 1/2000 (0.249 ug/ml) followed by a ready to use Goat Anti-Rabbit IgG H&L (HRP polymer) (ab214880). Nucleolus staining on human tonsil The section was incubated with ab314506 at 4°C overnight. Counterstained with Hematoxylin. Secondary antibody only control : Secondary antibody is a ready to use Goat Anti-Rabbit IgG H&L (HRP polymer) (ab214880). Heat mediated antigen retrieval was performed using ab93678 (citrate buffer, pH 6.0)

Immunocytochemistry/ Immunofluorescence - Anti-Fibrillarin+Fibrillarin-like protein 1 antibody [RM1082] (AB314506)
  • ICC/IF

Supplier Data

Immunocytochemistry/ Immunofluorescence - Anti-Fibrillarin+Fibrillarin-like protein 1 antibody [RM1082] (AB314506)

Immunofluorescent analysis of 4% Paraformaldehyde-fixed, 0.1% TritonX-100 permeabilized HeLa (human cervical adenocarcinoma epithelial cell) cells labelling Fibrillarin with ab314506 at 1/500 (0.994 ug/ml) dilution, followed by ab150081 Goat Anti-Rabbit IgG H&L (Alexa Fluor® 488) preadsorbed antibody at 1/1000 2ug/ml dilution (Green). Confocal image showing nucleolar staining in HeLa cell line.Image was taken with a confocal microscope(Leica-Microsystems, TCS SP8). ab195889 Anti-alpha Tubulin mouse monoclonal antibody - Microtubule Marker (Alexa Fluor® 594) was used to counterstain tubulin at 1/200 2.5ug/ml dilution (Red). The Nuclear counterstain was DAPI (Blue). Secondary antibody only control : Secondary antibody is ab150081 Goat Anti-Rabbit IgG H&L (Alexa Fluor® 488) preadsorbed at 1/1000 2ug/ml dilution.

Immunoprecipitation - Anti-Fibrillarin+Fibrillarin-like protein 1 antibody [RM1082] (AB314506)
  • IP

Supplier Data

Immunoprecipitation - Anti-Fibrillarin+Fibrillarin-like protein 1 antibody [RM1082] (AB314506)

Fibrillarin was immunoprecipitated from 0.35 mg HeLa (human cervical adenocarcinoma epithelial cell) whole cell lysate with ab314506 at 1/30 dilution (2ug in 0.35mg lysates). Western blot was performed on the immunoprecipitate using ab314506 at 1/1000 dilution. VeriBlot for IP secondary antibody(HRP)(ab131366) was used at 1/5000 dilution. Lane 1 : HeLa (human cervical adenocarcinoma epithelial cell) whole cell lysate Lane 2 : ab314506 IP in HeLa (human cervical adenocarcinoma epithelial cell) whole cell lysate Lane 3 : Rabbit monoclonal IgG (ab172730) instead of ab314506 in HeLa whole cell lysate Blocking and dilution buffer and concentration : 5% NFDM/TBST. Lower band around 26kDa is supposed to be the degradation form of fibrillarin according to the literature (PMID : 31347059).

All lanes:

Immunoprecipitation - Anti-Fibrillarin+Fibrillarin-like protein 1 antibody [RM1082] (ab314506) at 1/30 dilution

All lanes:

HeLa (human cervical adenocarcinoma epithelial cell) whole cell lysate

Secondary

All lanes:

Immunoprecipitation - VeriBlot for IP Detection Reagent (HRP) (<a href='/en-us/products/reagents/veriblot-for-ip-detection-reagent-hrp-ab131366'>ab131366</a>) at 1/5000 dilution

false

Exposure time: 5s

Immunocytochemistry/ Immunofluorescence - Anti-Fibrillarin+Fibrillarin-like protein 1 antibody [RM1082] (AB314506)
  • ICC/IF

Supplier Data

Immunocytochemistry/ Immunofluorescence - Anti-Fibrillarin+Fibrillarin-like protein 1 antibody [RM1082] (AB314506)

Immunofluorescent analysis of 4% Paraformaldehyde-fixed, 0.1% TritonX-100 permeabilized NIH/3T3 (mouse embryonic fibroblast cell) cells labelling Fibrillarin with ab314506 at 1/500 (0.994 ug/ml) dilution, followed by ab150081 Goat Anti-Rabbit IgG H&L (Alexa Fluor® 488) preadsorbed antibody at 1/1000 2ug/ml dilution (Green). Confocal image showing nucleolar staining in NIH/3T3 cell line.Image was taken with a confocal microscope(Leica-Microsystems, TCS SP8). ab195889 Anti-alpha Tubulin mouse monoclonal antibody - Microtubule Marker (Alexa Fluor® 594) was used to counterstain tubulin at 1/200 2.5ug/ml dilution (Red). The Nuclear counterstain was DAPI (Blue). Secondary antibody only control : Secondary antibody is ab150081 Goat Anti-Rabbit IgG H&L (Alexa Fluor® 488) preadsorbed at 1/1000 2ug/ml dilution.

Flow Cytometry (Intracellular) - Anti-Fibrillarin+Fibrillarin-like protein 1 antibody [RM1082] (AB314506)
  • Flow Cyt (Intra)

Supplier Data

Flow Cytometry (Intracellular) - Anti-Fibrillarin+Fibrillarin-like protein 1 antibody [RM1082] (AB314506)

Flow cytometric analysis of 4% paraformaldehyde fixed 90% methanol permeabilized PC-12 (rat adrenal gland pheochromocytoma cell) cells labelling Fibrillarin with ab314506 at 1/500 dilution (0.1 ug)/Red (Red) compared with a Rabbit monoclonal IgG (ab172730) (Black) isotype control and an unlabelled control (cells without incubation with primary antibody and secondary antibody) (Blue). A Goat Anti-Rabbit IgG (Alexa Fluor® 488, ab150081) at 1/5000 dilution was used as the secondary antibody.

Flow Cytometry (Intracellular) - Anti-Fibrillarin+Fibrillarin-like protein 1 antibody [RM1082] (AB314506)
  • Flow Cyt (Intra)

Supplier Data

Flow Cytometry (Intracellular) - Anti-Fibrillarin+Fibrillarin-like protein 1 antibody [RM1082] (AB314506)

Flow cytometric analysis of 4% paraformaldehyde fixed 90% methanol permeabilized NIH/3T3 (mouse embryonic fibroblast) cells labelling Fibrillarin with ab314506 at 1/500 dilution (0.1 ug)/Red (Red) compared with a Rabbit monoclonal IgG (ab172730) (Black) isotype control and an unlabelled control (cells without incubation with primary antibody and secondary antibody) (Blue). A Goat Anti-Rabbit IgG (Alexa Fluor® 488, ab150081) at 1/5000 dilution was used as the secondary antibody.

Immunohistochemistry (Formalin/PFA-fixed paraffin-embedded sections) - Anti-Fibrillarin+Fibrillarin-like protein 1 antibody [RM1082] (AB314506)
  • IHC-P

Supplier Data

Immunohistochemistry (Formalin/PFA-fixed paraffin-embedded sections) - Anti-Fibrillarin+Fibrillarin-like protein 1 antibody [RM1082] (AB314506)

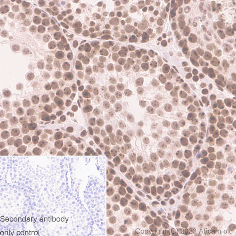
Immunohistochemical analysis of paraffin-embedded Mouse testis tissue labeling Fibrillarin with ab314506 at 1/2000 (0.249 ug/ml) followed by a ready to use Goat Anti-Rabbit IgG H&L (HRP polymer) (ab214880). Nucleolus staining on mouse testis. The section was incubated with ab314506 at 4°C overnight. Counterstained with Hematoxylin. Secondary antibody only control : Secondary antibody is a ready to use Goat Anti-Rabbit IgG H&L (HRP polymer) (ab214880). Heat mediated antigen retrieval was performed using ab93678 (citrate buffer, pH 6.0)

Immunohistochemistry (Formalin/PFA-fixed paraffin-embedded sections) - Anti-Fibrillarin+Fibrillarin-like protein 1 antibody [RM1082] (AB314506)
  • IHC-P

Supplier Data

Immunohistochemistry (Formalin/PFA-fixed paraffin-embedded sections) - Anti-Fibrillarin+Fibrillarin-like protein 1 antibody [RM1082] (AB314506)

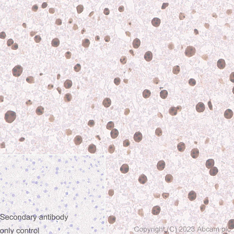
Immunohistochemical analysis of paraffin-embedded Mouse liver tissue labeling Fibrillarin with ab314506 at 1/2000 (0.249 ug/ml) followed by a ready to use Goat Anti-Rabbit IgG H&L (HRP polymer) (ab214880). Nucleolus staining on mouse liver. The section was incubated with ab314506 at 4°C overnight. Counterstained with Hematoxylin. Secondary antibody only control : Secondary antibody is a ready to use Goat Anti-Rabbit IgG H&L (HRP polymer) (ab214880). Heat mediated antigen retrieval was performed using ab93678 (citrate buffer, pH 6.0)

Immunocytochemistry/ Immunofluorescence - Anti-Fibrillarin+Fibrillarin-like protein 1 antibody [RM1082] (AB314506)
  • ICC/IF

Supplier Data

Immunocytochemistry/ Immunofluorescence - Anti-Fibrillarin+Fibrillarin-like protein 1 antibody [RM1082] (AB314506)

Immunofluorescent analysis of 100% methanol-fixed, 0.1% TritonX-100 permeabilized PC-12 (rat adrenal gland pheochromocytoma cell) cells labelling Fibrillarin with ab314506 at 1/500 (0.994 ug/ml) dilution, followed by ab150081 Goat Anti-Rabbit IgG H&L (Alexa Fluor® 488) preadsorbed antibody at 1/1000 dilution (Green). Confocal image showing nucleolar staining in PC-12 cell line.Image was taken with a confocal microscope(Leica-Microsystems, TCS SP8). ab195889 Anti-alpha Tubulin mouse monoclonal antibody - Microtubule Marker (Alexa Fluor® 594) was used to counterstain tubulin at 1/200 dilution (Red). The Nuclear counterstain was DAPI (Blue). Secondary antibody only control : Secondary antibody is ab150081 Goat Anti-Rabbit IgG H&L (Alexa Fluor® 488) preadsorbed at 1/1000 dilution.

Immunohistochemistry (Formalin/PFA-fixed paraffin-embedded sections) - Anti-Fibrillarin+Fibrillarin-like protein 1 antibody [RM1082] (AB314506)
  • IHC-P

Supplier Data

Immunohistochemistry (Formalin/PFA-fixed paraffin-embedded sections) - Anti-Fibrillarin+Fibrillarin-like protein 1 antibody [RM1082] (AB314506)

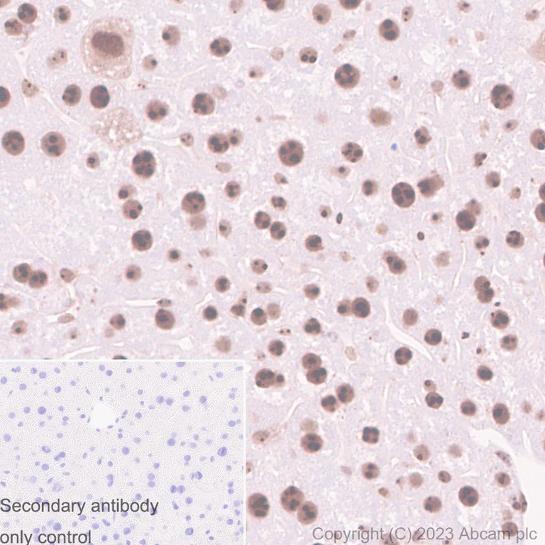
Immunohistochemical analysis of paraffin-embedded Rat liver tissue labeling Fibrillarin with ab314506 at 1/2000 (0.249 ug/ml) followed by a ready to use Goat Anti-Rabbit IgG H&L (HRP polymer) (ab214880). Nucleolus staining on rat liver. The section was incubated with ab314506 at 4°C overnight. Counterstained with Hematoxylin. Secondary antibody only control : Secondary antibody is a ready to use Goat Anti-Rabbit IgG H&L (HRP polymer) (ab214880). Heat mediated antigen retrieval was performed using ab93678 (citrate buffer, pH 6.0)

Immunoprecipitation - Anti-Fibrillarin+Fibrillarin-like protein 1 antibody [RM1082] (AB314506)
  • IP

Supplier Data

Immunoprecipitation - Anti-Fibrillarin+Fibrillarin-like protein 1 antibody [RM1082] (AB314506)

Fibrillarin was immunoprecipitated from 0.35 mg NIH/3T3 (mouse embryonic fibroblast) whole cell lysate with ab314506 at 1/30 dilution (2ug in 0.35mg lysates). Western blot was performed on the immunoprecipitate using ab314506 at 1/1000 dilution. VeriBlot for IP secondary antibody(HRP)(ab131366) was used at 1/5000 dilution. Lane 1 : NIH/3T3 (mouse embryonic fibroblast) whole cell lysate Lane 2 : ab314506 IP in NIH/3T3 (mouse embryonic fibroblast) whole cell lysate Lane 3 : Rabbit monoclonal IgG (ab172730) instead of ab314506 in NIH/3T3 whole cell lysate Blocking and dilution buffer and concentration : 5% NFDM/TBST. Lower band around 26kDa is supposed to be the degradation form of fibrillarin according to the literature (PMID : 31347059).

All lanes:

Immunoprecipitation - Anti-Fibrillarin+Fibrillarin-like protein 1 antibody [RM1082] (ab314506) at 1/30 dilution

All lanes:

NIH/3T3 (mouse embryonic fibroblast) whole cell lysate

Secondary

All lanes:

Immunoprecipitation - VeriBlot for IP Detection Reagent (HRP) (<a href='/en-us/products/reagents/veriblot-for-ip-detection-reagent-hrp-ab131366'>ab131366</a>) at 1/5000 dilution

false

Exposure time: 5s

Immunoprecipitation - Anti-Fibrillarin+Fibrillarin-like protein 1 antibody [RM1082] (AB314506)
  • IP

Supplier Data

Immunoprecipitation - Anti-Fibrillarin+Fibrillarin-like protein 1 antibody [RM1082] (AB314506)

Fibrillarin was immunoprecipitated from 0.35 mg PC-12 (rat adrenal gland pheochromocytoma cell) whole cell lysate with ab314506 at 1/30 dilution (2ug in 0.35mg lysates). Western blot was performed on the immunoprecipitate using ab314506 at 1/1000 dilution. VeriBlot for IP secondary antibody(HRP)(ab131366) was used at 1/5000 dilution. Lane 1 : PC-12 (rat adrenal gland pheochromocytoma cell) whole cell lysate Lane 2 : ab314506 IP in PC-12 (rat adrenal gland pheochromocytoma cell) whole cell lysate Lane 3 : Rabbit monoclonal IgG (ab172730) instead of ab314506 in PC-12 whole cell lysate Blocking and dilution buffer and concentration : 5% NFDM/TBST. Lower band around 26kDa is supposed to be the degradation form of fibrillarin according to the literature (PMID : 31347059).

All lanes:

Immunoprecipitation - Anti-Fibrillarin+Fibrillarin-like protein 1 antibody [RM1082] (ab314506) at 1/30 dilution

All lanes:

PC-12 (rat adrenal gland pheochromocytoma cell) whole cell lysate

Secondary

All lanes:

Immunoprecipitation - VeriBlot for IP Detection Reagent (HRP) (<a href='/en-us/products/reagents/veriblot-for-ip-detection-reagent-hrp-ab131366'>ab131366</a>) at 1/5000 dilution

false

Exposure time: 5s

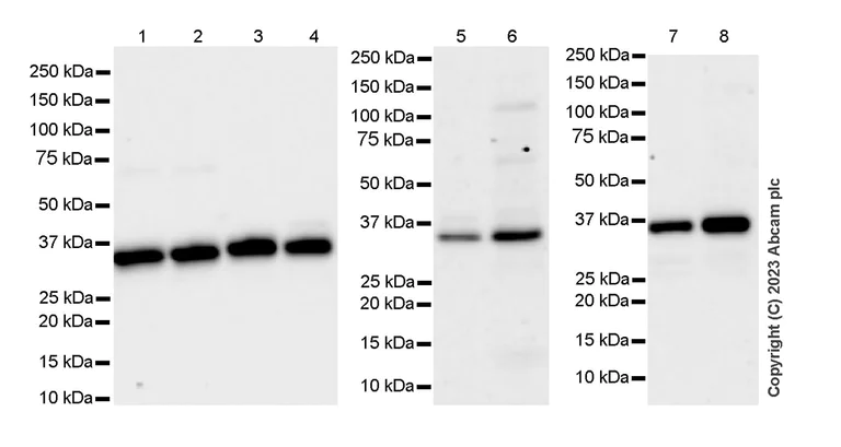
Western blot - Anti-Fibrillarin+Fibrillarin-like protein 1 antibody [RM1082] (AB314506)
  • WB

Supplier Data

Western blot - Anti-Fibrillarin+Fibrillarin-like protein 1 antibody [RM1082] (AB314506)

Blocking and diluting buffer and concentration : 5% NFDM/TBST Lysates were freshly made and used for Western blotting immediately to minimize protein degradation. Exposure time : Lanes 1-4 : 26 seconds;Lanes 5 and 6 : 81 seconds;Lanes 7 and 8 : 70 seconds

All lanes:

Western blot - Anti-Fibrillarin+Fibrillarin-like protein 1 antibody [RM1082] (ab314506) at 1/1000 dilution

Lane 1:

HeLa (human cervical adenocarcinoma epithelial cell) whole cell lysate at 20 µg

Lane 2:

293T (human embryonic kidney epithelial cell) whole cell lysate at 20 µg

Lane 3:

NIH/3T3 (mouse embryonic fibroblast) whole cell lysate at 20 µg

Lane 4:

PC-12 (rat adrenal gland pheochromocytoma cell) whole cell lysate at 20 µg

Lane 5:

Rat testis tissue lysate at 20 µg

Lane 6:

Rat spleen tissue lysate at 20 µg

Lane 7:

Mouse testis tissue lysate at 20 µg

Lane 8:

Mouse spleen tissue lysate at 20 µg

Secondary

All lanes:

Western blot - Goat Anti-Rabbit IgG H&L (HRP) (<a href='/en-us/products/secondary-antibodies/goat-rabbit-igg-h-l-hrp-ab97051'>ab97051</a>) at 1/100000 dilution

Observed band size: 33 kDa

false

  • Carrier free

    Anti-Fibrillarin+Fibrillarin-like protein 1 antibody [RM1082] - BSA and Azide free

Key facts

Host species

Rabbit

Clonality

Multiclonal

Clone number

RM1082

Isotype

IgG

Carrier free

No

Reacts with

Human, Mouse, Rat

Applications

IHC-P, WB, Flow Cyt (Intra), IP, ICC/IF

applications

Immunogen

The exact immunogen used to generate this antibody is proprietary information.

Reactivity data

{ "title": "Reactivity Data", "filters": { "stats": ["", "Species", "Dilution Info", "Notes"], "tabs": { "all-applications": {"fullname" : "All Applications", "shortname": "All Applications"}, "WB" : {"fullname" : "Western blot", "shortname":"WB"}, "ICCIF" : {"fullname" : "Immunocytochemistry/ Immunofluorescence", "shortname":"ICC/IF"}, "FlowCytIntra" : {"fullname" : "Flow Cytometry (Intracellular)", "shortname":"Flow Cyt (Intra)"}, "IP" : {"fullname" : "Immunoprecipitation", "shortname":"IP"}, "IHCP" : {"fullname" : "Immunohistochemistry (Formalin/PFA-fixed paraffin-embedded sections)", "shortname":"IHC-P"} }, "product-promise": { "all": "all", "testedAndGuaranteed": "tested", "guaranteed": "expected", "predicted": "predicted", "notRecommended": "not-recommended" } }, "values": { "Human": { "WB-species-checked": "testedAndGuaranteed", "WB-species-dilution-info": "1/1000", "WB-species-notes": "<p></p>", "ICCIF-species-checked": "testedAndGuaranteed", "ICCIF-species-dilution-info": "1/500", "ICCIF-species-notes": "<p></p>", "FlowCytIntra-species-checked": "testedAndGuaranteed", "FlowCytIntra-species-dilution-info": "1/500", "FlowCytIntra-species-notes": "<p></p>", "IP-species-checked": "testedAndGuaranteed", "IP-species-dilution-info": "1/30", "IP-species-notes": "<p></p>", "IHCP-species-checked": "testedAndGuaranteed", "IHCP-species-dilution-info": "1/2000", "IHCP-species-notes": "<p></p> Perform heat-mediated antigen retrieval with citrate buffer pH 6 before commencing with IHC staining protocol." }, "Mouse": { "WB-species-checked": "testedAndGuaranteed", "WB-species-dilution-info": "1/1000", "WB-species-notes": "<p></p>", "ICCIF-species-checked": "testedAndGuaranteed", "ICCIF-species-dilution-info": "1/500", "ICCIF-species-notes": "<p></p>", "FlowCytIntra-species-checked": "testedAndGuaranteed", "FlowCytIntra-species-dilution-info": "1/500", "FlowCytIntra-species-notes": "<p></p>", "IP-species-checked": "testedAndGuaranteed", "IP-species-dilution-info": "1/30", "IP-species-notes": "<p></p>", "IHCP-species-checked": "testedAndGuaranteed", "IHCP-species-dilution-info": "1/2000", "IHCP-species-notes": "<p></p> Perform heat-mediated antigen retrieval with citrate buffer pH 6 before commencing with IHC staining protocol." }, "Rat": { "WB-species-checked": "testedAndGuaranteed", "WB-species-dilution-info": "1/1000", "WB-species-notes": "<p></p>", "ICCIF-species-checked": "testedAndGuaranteed", "ICCIF-species-dilution-info": "1/500", "ICCIF-species-notes": "<p></p>", "FlowCytIntra-species-checked": "testedAndGuaranteed", "FlowCytIntra-species-dilution-info": "1/500", "FlowCytIntra-species-notes": "<p></p>", "IP-species-checked": "testedAndGuaranteed", "IP-species-dilution-info": "1/30", "IP-species-notes": "<p></p>", "IHCP-species-checked": "testedAndGuaranteed", "IHCP-species-dilution-info": "1/2000", "IHCP-species-notes": "<p></p> Perform heat-mediated antigen retrieval with citrate buffer pH 6 before commencing with IHC staining protocol." } } }

Product details

What are recombinant multiclonals?
Recombinant multiclonals are a mixture of recombinant antibodies co-expressed from a library of heavy and light chains. They offer several advantages including:

  • - The sensitivity of polyclonal antibodies by recognising multiple epitopes
  • - High batch-to-batch consistency and reproducibility
  • - Improved sensitivity and specificity
  • - Long-term security of supply
  • - Animal-free batch production

View our range of recombinant multiclonal antibodies.

Patented technology
Our RabMAb® technology is a patented hybridoma-based technology for making rabbit monoclonal antibodies. For details on our patents, please refer to RabMAb® patents.

Properties and storage information

Form
Liquid
Purification technique
Affinity purification Protein A
Storage buffer
pH: 7.2 - 7.4 Preservative: 0.01% Sodium azide Constituents: PBS, 40% Glycerol (glycerin, glycerine), 0.05% BSA
Shipped at conditions
Blue Ice
Appropriate short-term storage duration
1-2 weeks
Appropriate short-term storage conditions
+4°C
Appropriate long-term storage conditions
-20°C
Aliquoting information
Upon delivery aliquot
Storage information
Avoid freeze / thaw cycle

Product protocols

For this product, it's our understanding that no specific protocols are required. You can visit:

Target data

S-adenosyl-L-methionine-dependent methyltransferase that has the ability to methylate both RNAs and proteins (PubMed : 24352239, PubMed : 30540930, PubMed : 32017898). Involved in pre-rRNA processing by catalyzing the site-specific 2'-hydroxyl methylation of ribose moieties in pre-ribosomal RNA (PubMed : 30540930). Site specificity is provided by a guide RNA that base pairs with the substrate (By similarity). Methylation occurs at a characteristic distance from the sequence involved in base pairing with the guide RNA (By similarity). Probably catalyzes 2'-O-methylation of U6 snRNAs in box C/D RNP complexes (PubMed : 32017898). U6 snRNA 2'-O-methylation is required for mRNA splicing fidelity (PubMed : 32017898). Also acts as a protein methyltransferase by mediating methylation of 'Gln-105' of histone H2A (H2AQ104me), a modification that impairs binding of the FACT complex and is specifically present at 35S ribosomal DNA locus (PubMed : 24352239, PubMed : 30540930). Part of the small subunit (SSU) processome, first precursor of the small eukaryotic ribosomal subunit. During the assembly of the SSU processome in the nucleolus, many ribosome biogenesis factors, an RNA chaperone and ribosomal proteins associate with the nascent pre-rRNA and work in concert to generate RNA folding, modifications, rearrangements and cleavage as well as targeted degradation of pre-ribosomal RNA by the RNA exosome (PubMed : 34516797).
See full target information FBL

Additional targets

FBLL1

Product promise

We are committed to supporting your work with high-quality reagents, and we're here for you every step of the way. In the unlikely event that one of our products does not perform as expected, you're protected by our Product Promise.
For full details, please see our Terms & Conditions

Please note: All products are 'FOR RESEARCH USE ONLY. NOT FOR USE IN DIAGNOSTIC OR THERAPEUTIC PROCEDURES'.

For licensing inquiries, please contact partnerships@abcam.com