JavaScript is disabled in your browser. Please enable JavaScript to view this website.
AB240147

Anti-Fibrillarin+Fibrillarin-like protein 1 antibody [EPR10823(B)] - BSA and Azide free

Be the first to review this product! Submit a review

|

(1 Publication)

Rabbit Recombinant Monoclonal Fibrillarin+Fibrillarin-like protein 1 antibody. Carrier free. Suitable for WB, ICC/IF, Flow Cyt (Intra) and reacts with Human, Mouse, Rat samples.

View Alternative Names

FIB1, FLRN, FBL, rRNA 2'-O-methyltransferase fibrillarin, 34 kDa nucleolar scleroderma antigen, Histone-glutamine methyltransferase, U6 snRNA 2'-O-methyltransferase fibrillarin

6 Images
Immunocytochemistry/ Immunofluorescence - Anti-Fibrillarin+Fibrillarin-like protein 1 antibody [EPR10823(B)] - BSA and Azide free (AB240147)
  • ICC/IF

Lab

Immunocytochemistry/ Immunofluorescence - Anti-Fibrillarin+Fibrillarin-like protein 1 antibody [EPR10823(B)] - BSA and Azide free (AB240147)

Immunocytochemistry/Immunofluorescence analysis of HT-29 (human colorectal adenocarcinoma) cells labelling Fibrillarin (green) with purified ab166630 at 1/5000. Cells were fixed with 4% Paraformaldehyde and permeabilized with 0.1% Triton X-100. ab150077, Alexa Fluor® 488-conjugated goat anti-rabbit IgG (1/1000) was used as the secondary antibody. DAPI (blue) was used as a nuclear counterstain.

Secondary Only Control : PBS was used instead of the primary antibody as the negative control.

This data was developed using the same antibody clone in a different buffer formulation containing PBS, BSA, glycerol, and sodium azide (ab166630).

Flow Cytometry (Intracellular) - Anti-Fibrillarin+Fibrillarin-like protein 1 antibody [EPR10823(B)] - BSA and Azide free (AB240147)
  • Flow Cyt (Intra)

Unknown

Flow Cytometry (Intracellular) - Anti-Fibrillarin+Fibrillarin-like protein 1 antibody [EPR10823(B)] - BSA and Azide free (AB240147)

Intracellular flow cytometric analysis of permeabilized MOLT4 cells using ab166630 at a 1/10 dilution (red) or a Rabbit IgG (negative) (green). This data was developed using the same antibody clone in a different buffer formulation containing PBS, BSA, glycerol, and sodium azide (ab166630).

Immunocytochemistry/ Immunofluorescence - Anti-Fibrillarin+Fibrillarin-like protein 1 antibody [EPR10823(B)] - BSA and Azide free (AB240147)
  • ICC/IF

Unknown

Immunocytochemistry/ Immunofluorescence - Anti-Fibrillarin+Fibrillarin-like protein 1 antibody [EPR10823(B)] - BSA and Azide free (AB240147)

Immunofluorescent analysis of HeLa cells labeling Fibrillarin with ab166630 at a 1/100 dilution.This data was developed using the same antibody clone in a different buffer formulation containing PBS, BSA, glycerol, and sodium azide (ab166630).

Immunocytochemistry/ Immunofluorescence - Anti-Fibrillarin+Fibrillarin-like protein 1 antibody [EPR10823(B)] - BSA and Azide free (AB240147)
  • ICC/IF

Lab

Immunocytochemistry/ Immunofluorescence - Anti-Fibrillarin+Fibrillarin-like protein 1 antibody [EPR10823(B)] - BSA and Azide free (AB240147)

This data was developed using the same antibody clone in a different buffer formulation containing PBS, BSA, glycerol, and sodium azide (ab166630). Immunofluorescent analysis of 4% Paraformaldehyde-fixed, 0.1% TritonX-100 permeabilized NIH/3T3 (mouse embryonic fibroblast) cells labelling Fibrillarin with ab166630 at 1/200 (0.5 μg/ml) dilution followed by secondary antibody ab150081 Goat Anti-Rabbit IgG H&L (Alexa Fluor® 488) preadsorbedused at 1/1000 dilution (2μg/ml) (Green). ab195889 Anti-alpha Tubulin mouse monoclonal antibody - Microtubule Marker (Alexa Fluor® 594) was used to counterstain tubulin at 1/200 dilution (2.5 μg/ml) (Red). The Nuclear counterstain was DAPI (Blue). Confocal image showing nuclear staining in NIH/3T3 cell line. Image was taken with a confocal microscope (Leica-Microsystems, TCS SP8).

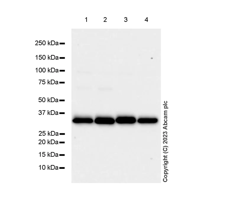
Western blot - Anti-Fibrillarin+Fibrillarin-like protein 1 antibody [EPR10823(B)] - BSA and Azide free (AB240147)
  • WB

Lab

Western blot - Anti-Fibrillarin+Fibrillarin-like protein 1 antibody [EPR10823(B)] - BSA and Azide free (AB240147)

This data was developed using the same antibody clone in a different buffer formulation containing PBS, BSA, glycerol, and sodium azide (ab166630). Blocking and diluting buffer and concentration : 5% NFDM/TBST. The lysates were freshly made and used for Western Blotting immediately to minimize protein degradation.

All lanes:

Western blot - Anti-Fibrillarin+Fibrillarin-like protein 1 antibody [EPR10823(B)] - Nucleolar Marker (<a href='/en-us/products/primary-antibodies/fibrillarinfibrillarin-like-protein-1-antibody-epr10823b-nucleolar-marker-ab166630'>ab166630</a>) at 1/1000 dilution

Lane 1:

HeLa (human cervical adenocarcinoma epithelial cell) whole cell lysate at 20 µg

Lane 2:

293T (human embryonic kidney epithelial cell) whole cell lysate at 20 µg

Lane 3:

NIH/3T3 (mouse embryonic fibroblast) whole cell lysate at 20 µg

Lane 4:

PC-12 (rat adrenal gland pheochromocytoma cell) whole cell lysate at 20 µg

Secondary

All lanes:

Western blot - Goat Anti-Rabbit IgG H&L (HRP) (<a href='/en-us/products/secondary-antibodies/goat-rabbit-igg-h-l-hrp-ab97051'>ab97051</a>) at 1/20000 dilution

Predicted band size: 33 kDa

Observed band size: 33 kDa

false

Exposure time: 10s

Western blot - Anti-Fibrillarin+Fibrillarin-like protein 1 antibody [EPR10823(B)] - BSA and Azide free (AB240147)
  • WB

Lab

Western blot - Anti-Fibrillarin+Fibrillarin-like protein 1 antibody [EPR10823(B)] - BSA and Azide free (AB240147)

This data was developed using the same antibody clone in a different buffer formulation containing PBS, BSA, glycerol, and sodium azide (ab166630). Blocking and diluting buffer and concentration : 5% NFDM/TBST. The lysates were freshly made and used for Western Blotting immediately to minimize protein degradation.

All lanes:

Western blot - Anti-Fibrillarin+Fibrillarin-like protein 1 antibody [EPR10823(B)] - Nucleolar Marker (<a href='/en-us/products/primary-antibodies/fibrillarinfibrillarin-like-protein-1-antibody-epr10823b-nucleolar-marker-ab166630'>ab166630</a>) at 1/1000 dilution

Lane 1:

Mouse liver tissue lysate at 20 µg

Lane 2:

Mouse testis tissue lysate at 20 µg

Lane 3:

Mouse spleen tissue lysate at 20 µg

Secondary

All lanes:

Western blot - Goat Anti-Rabbit IgG H&L (HRP) (<a href='/en-us/products/secondary-antibodies/goat-rabbit-igg-h-l-hrp-ab97051'>ab97051</a>) at 1/20000 dilution

Predicted band size: 33 kDa

Observed band size: 33 kDa

false

Exposure time: 81s

Key facts

Host species

Rabbit

Clonality

Monoclonal

Clone number

EPR10823(B)

Isotype

IgG

Carrier free

Yes

Reacts with

Mouse, Rat, Human

Applications

WB, ICC/IF, Flow Cyt (Intra)

applications

Immunogen

The exact immunogen used to generate this antibody is proprietary information.

Reactivity data

{ "title": "Reactivity Data", "filters": { "stats": ["", "Species", "Dilution Info", "Notes"], "tabs": { "all-applications": {"fullname" : "All Applications", "shortname": "All Applications"}, "IHCP" : {"fullname" : "Immunohistochemistry (Formalin/PFA-fixed paraffin-embedded sections)", "shortname":"IHC-P"}, "WB" : {"fullname" : "Western blot", "shortname":"WB"}, "ICCIF" : {"fullname" : "Immunocytochemistry/ Immunofluorescence", "shortname":"ICC/IF"}, "FlowCytIntra" : {"fullname" : "Flow Cytometry (Intracellular)", "shortname":"Flow Cyt (Intra)"} }, "product-promise": { "all": "all", "testedAndGuaranteed": "tested", "guaranteed": "expected", "predicted": "predicted", "notRecommended": "not-recommended" } }, "values": { "Human": { "IHCP-species-checked": "notRecommended", "IHCP-species-dilution-info": "", "IHCP-species-notes": "<p></p> Perform heat-mediated antigen retrieval with citrate buffer pH 6 before commencing with IHC staining protocol.", "WB-species-checked": "testedAndGuaranteed", "WB-species-dilution-info": "", "WB-species-notes": "<p></p>", "ICCIF-species-checked": "testedAndGuaranteed", "ICCIF-species-dilution-info": "", "ICCIF-species-notes": "<p></p>", "FlowCytIntra-species-checked": "testedAndGuaranteed", "FlowCytIntra-species-dilution-info": "", "FlowCytIntra-species-notes": "<p><a href='/en-us/products/primary-antibodies/rabbit-igg-monoclonal-epr25a-isotype-control-low-endotoxin-azide-free-ab199376'>ab199376</a> - Rabbit monoclonal IgG, is suitable for use as an isotype control with this antibody.</p>" }, "Mouse": { "IHCP-species-checked": "notRecommended", "IHCP-species-dilution-info": "", "IHCP-species-notes": "", "WB-species-checked": "testedAndGuaranteed", "WB-species-dilution-info": "", "WB-species-notes": "<p></p>", "ICCIF-species-checked": "testedAndGuaranteed", "ICCIF-species-dilution-info": "", "ICCIF-species-notes": "<p></p>", "FlowCytIntra-species-checked": "guaranteed", "FlowCytIntra-species-dilution-info": "", "FlowCytIntra-species-notes": "" }, "Rat": { "IHCP-species-checked": "notRecommended", "IHCP-species-dilution-info": "", "IHCP-species-notes": "", "WB-species-checked": "testedAndGuaranteed", "WB-species-dilution-info": "", "WB-species-notes": "<p></p>", "ICCIF-species-checked": "guaranteed", "ICCIF-species-dilution-info": "", "ICCIF-species-notes": "", "FlowCytIntra-species-checked": "guaranteed", "FlowCytIntra-species-dilution-info": "", "FlowCytIntra-species-notes": "" } } }

Product details

ab240147 is the carrier-free version of ab166630.

Patented technology
Our RabMAb® technology is a patented hybridoma-based technology for making rabbit monoclonal antibodies. For details on our patents, please refer to RabMAb® patents.

What are the advantages of a recombinant monoclonal antibody?
This product is a recombinant monoclonal antibody, which offers several advantages including:

  • - High batch-to-batch consistency and reproducibility
  • - Improved sensitivity and specificity
  • - Long-term security of supply
  • - Animal-free batch production

For more information, read more on recombinant antibodies.

Conjugation ready
Our carrier-free antibodies are typically supplied in a PBS-only formulation, purified and free of BSA, sodium azide and glycerol. This conjugation-ready format is designed for use with fluorochromes, metal isotopes, oligonucleotides, and enzymes, which makes them ideal for antibody labelling, functional and cell-based assays, flow-based assays (e.g. mass cytometry) and Multiplex Imaging applications.

Use our conjugation kits for antibody conjugates that are ready-to-use in as little as 20 minutes with 1 minute hands-on-time and 100% antibody recovery: available for fluorescent dyes, HRP, biotin and gold.

Compatibility
This product is compatible with the Maxpar® Antibody Labeling Kit from Fluidigm, without the need for antibody preparation. Maxpar® is a trademark of Fluidigm Canada Inc.

Properties and storage information

Form
Liquid
Purification technique
Affinity purification Protein A
Storage buffer
pH: 7.2 - 7.4 Constituents: PBS
Shipped at conditions
Blue Ice
Appropriate short-term storage conditions
+4°C
Appropriate long-term storage conditions
+4°C
Storage information
Do Not Freeze

Product protocols

For this product, it's our understanding that no specific protocols are required. You can visit:

Target data

S-adenosyl-L-methionine-dependent methyltransferase that has the ability to methylate both RNAs and proteins (PubMed : 24352239, PubMed : 30540930, PubMed : 32017898). Involved in pre-rRNA processing by catalyzing the site-specific 2'-hydroxyl methylation of ribose moieties in pre-ribosomal RNA (PubMed : 30540930). Site specificity is provided by a guide RNA that base pairs with the substrate (By similarity). Methylation occurs at a characteristic distance from the sequence involved in base pairing with the guide RNA (By similarity). Probably catalyzes 2'-O-methylation of U6 snRNAs in box C/D RNP complexes (PubMed : 32017898). U6 snRNA 2'-O-methylation is required for mRNA splicing fidelity (PubMed : 32017898). Also acts as a protein methyltransferase by mediating methylation of 'Gln-105' of histone H2A (H2AQ104me), a modification that impairs binding of the FACT complex and is specifically present at 35S ribosomal DNA locus (PubMed : 24352239, PubMed : 30540930). Part of the small subunit (SSU) processome, first precursor of the small eukaryotic ribosomal subunit. During the assembly of the SSU processome in the nucleolus, many ribosome biogenesis factors, an RNA chaperone and ribosomal proteins associate with the nascent pre-rRNA and work in concert to generate RNA folding, modifications, rearrangements and cleavage as well as targeted degradation of pre-ribosomal RNA by the RNA exosome (PubMed : 34516797).
See full target information FBL

Additional targets

FBLL1

Publications (1)

Recent publications for all applications. Explore the full list and refine your search

Bio-protocol 15:e5424 PubMed40873476

2025

Assessing Human Treg Suppression at Single-Cell Resolution Using Mass Cytometry.

Applications

Unspecified application

Species

Unspecified reactive species

Jonas Nørskov Søndergaard,Janyerkye Tulyeu,David Priest,Shimon Sakaguchi,James B Wing
View all publications

Product promise

We are committed to supporting your work with high-quality reagents, and we're here for you every step of the way. In the unlikely event that one of our products does not perform as expected, you're protected by our Product Promise.
For full details, please see our Terms & Conditions

Please note: All products are 'FOR RESEARCH USE ONLY. NOT FOR USE IN DIAGNOSTIC OR THERAPEUTIC PROCEDURES'.

For licensing inquiries, please contact partnerships@abcam.com