JavaScript is disabled in your browser. Please enable JavaScript to view this website.
AB314547

Anti-Fibrillin 1 antibody [EPR27362-76]

  • BOND RX™ Validated
  • 20ul selling size
  • RabMAb
  • Recombinant
  • What is this?

Be the first to review this product! Submit a review

|

(0 Publication)

Rabbit Recombinant Monoclonal Fibrillin 1 antibody. Suitable for IHC-P, WB and reacts with Human, Recombinant fragment - Human samples.

View Alternative Names

FBN, FBN1, Fibrillin-1

6 Images
Immunohistochemistry (Formalin/PFA-fixed paraffin-embedded sections) - Anti-Fibrillin 1 antibody [EPR27362-76] (AB314547)
  • IHC-P

Supplier Data

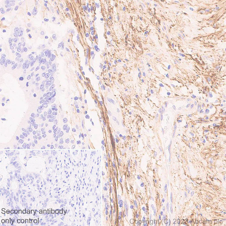
Immunohistochemistry (Formalin/PFA-fixed paraffin-embedded sections) - Anti-Fibrillin 1 antibody [EPR27362-76] (AB314547)

Immunohistochemical analysis of paraffin-embedded human gastric adenocarcinoma tissue labeling Fibrillin 1 with ab314547 at 1/100 (1.004 ug/ml) followed by a ready to use LeicaDS9800 (Bond™ Polymer Refine Detection). Positive staining on stromal connective tissue of human gastric adenocarcinoma. The section was incubated with ab314547 for 30 mins at room temperature. The immunostaining was performed on a Leica Biosystems BOND® RX instrument. Counterstained with Hematoxylin. Secondary antibody only control : Secondary antibody is a ready to use LeicaDS9800 (Bond™ Polymer Refine Detection). Heat mediated antigen retrieval was performed with citrate buffer (pH 9.0, epitope retrieval solution 2) for 20 mins.

Immunohistochemistry (Formalin/PFA-fixed paraffin-embedded sections) - Anti-Fibrillin 1 antibody [EPR27362-76] (AB314547)
  • IHC-P

Supplier Data

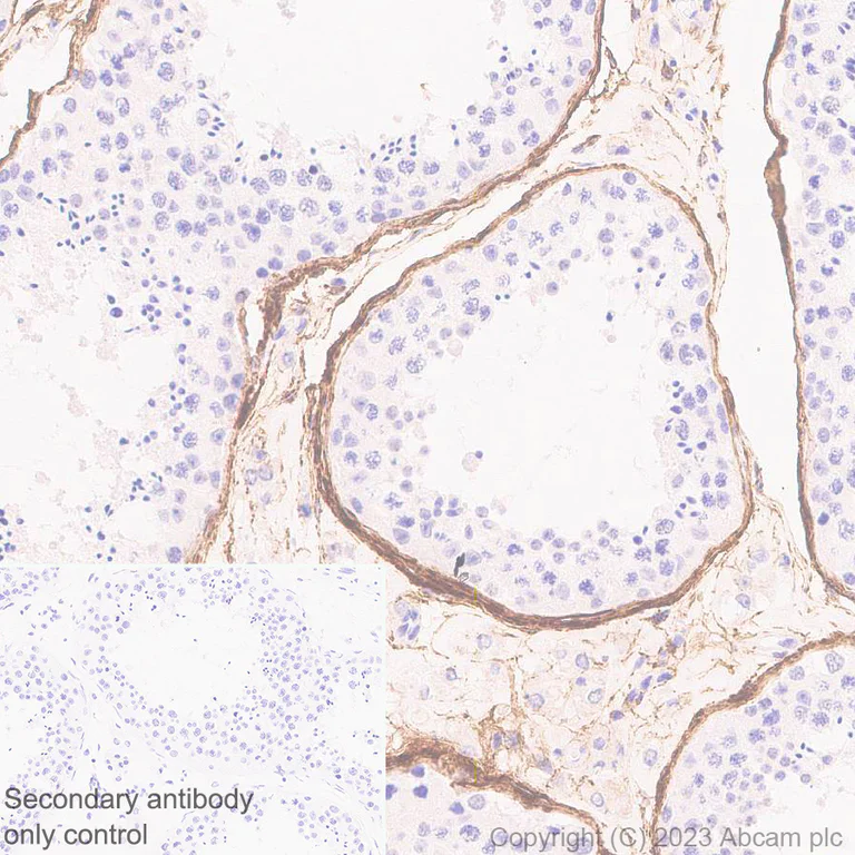
Immunohistochemistry (Formalin/PFA-fixed paraffin-embedded sections) - Anti-Fibrillin 1 antibody [EPR27362-76] (AB314547)

Immunohistochemical analysis of paraffin-embedded human testis tissue labeling Fibrillin 1 with ab314547 at 1/100 (1.004 ug/ml) followed by a ready to use LeicaDS9800 (Bond™ Polymer Refine Detection). Positive staining on stromal connective tissue of human testis. The section was incubated with ab314547 for 30 mins at room temperature. The immunostaining was performed on a Leica Biosystems BOND® RX instrument. Counterstained with Hematoxylin. Secondary antibody only control : Secondary antibody is a ready to use LeicaDS9800 (Bond™ Polymer Refine Detection). Heat mediated antigen retrieval was performed with citrate buffer (pH 9.0, epitope retrieval solution 2) for 20 mins.

Immunohistochemistry (Formalin/PFA-fixed paraffin-embedded sections) - Anti-Fibrillin 1 antibody [EPR27362-76] (AB314547)
  • IHC-P

Supplier Data

Immunohistochemistry (Formalin/PFA-fixed paraffin-embedded sections) - Anti-Fibrillin 1 antibody [EPR27362-76] (AB314547)

Immunohistochemical analysis of paraffin-embedded human skin tissue labeling Fibrillin 1 with ab314547 at 1/100 (1.004 ug/ml) followed by a ready to use LeicaDS9800 (Bond™ Polymer Refine Detection). Positive staining on stromal connective tissue of human skin (PMID : 16120151, PMID : 20195245). The section was incubated with ab314547 for 30 mins at room temperature. The immunostaining was performed on a Leica Biosystems BOND® RX instrument. Counterstained with Hematoxylin. Secondary antibody only control : Secondary antibody is a ready to use LeicaDS9800 (Bond™ Polymer Refine Detection). Heat mediated antigen retrieval was performed with citrate buffer (pH 9.0, epitope retrieval solution 2) for 20 mins.

Immunohistochemistry (Formalin/PFA-fixed paraffin-embedded sections) - Anti-Fibrillin 1 antibody [EPR27362-76] (AB314547)
  • IHC-P

Supplier Data

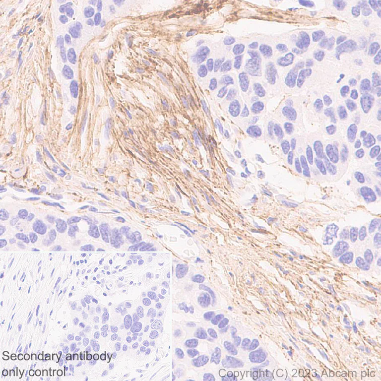
Immunohistochemistry (Formalin/PFA-fixed paraffin-embedded sections) - Anti-Fibrillin 1 antibody [EPR27362-76] (AB314547)

Immunohistochemical analysis of paraffin-embedded human colon carcinoma tissue labeling Fibrillin 1 with ab314547 at 1/100 (1.004 ug/ml) followed by a ready to use LeicaDS9800 (Bond™ Polymer Refine Detection). Positive staining on stromal connective tissue of human colon carcinoma. The section was incubated with ab314547 for 30 mins at room temperature. The immunostaining was performed on a Leica Biosystems BOND® RX instrument. Counterstained with Hematoxylin. Secondary antibody only control : Secondary antibody is a ready to use LeicaDS9800 (Bond™ Polymer Refine Detection). Heat mediated antigen retrieval was performed with citrate buffer (pH 9.0, epitope retrieval solution 2) for 20 mins.

Western blot - Anti-Fibrillin 1 antibody [EPR27362-76] (AB314547)
  • WB

Supplier Data

Western blot - Anti-Fibrillin 1 antibody [EPR27362-76] (AB314547)

Blocking and diluting buffer and concentration : 5% NFDM/TBST Negative control : U-937 In Western blot, Anti-Vinculin antibody [EPR8185] (ab129002) staining at 1/10000 dilution.

All lanes:

Western blot - Anti-Fibrillin 1 antibody [EPR27362-76] (ab314547) at 1/1000 dilution

Lane 1:

A-172 (human brain glioblastoma cell ) whole cell lysate at 48 µg

Lane 2:

U-937 (human histiocytic lymphoma monocyte) whole cell lysate at 48 µg

Secondary

All lanes:

Western blot - Goat Anti-Rabbit IgG H&L (HRP) (<a href='/en-us/products/secondary-antibodies/goat-rabbit-igg-h-l-hrp-ab97051'>ab97051</a>) at 1/20000 dilution

Observed band size: 313 kDa

false

Exposure time: 180s

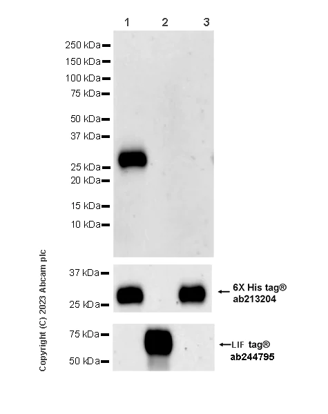
Western blot - Anti-Fibrillin 1 antibody [EPR27362-76] (AB314547)
  • WB

Supplier Data

Western blot - Anti-Fibrillin 1 antibody [EPR27362-76] (AB314547)

Blocking and diluting buffer and concentration : 5% NFDM/TBST This antibody does not react with human Fibrillin 2 and Fibrillin 3. The recombinant proteins of Fibrillin 1, Fibrillin 2 and Fibrillin 3 were made in house. In Western blot, Anti-LIF antibody [EPR21713-25] - BSA and Azide free staining at Capture dilution

All lanes:

Western blot - Anti-Fibrillin 1 antibody [EPR27362-76] (ab314547) at 1/1000 dilution

Lane 1:

His-tagged human Fibrillin 1 recombinant protein at 20 ng

Lane 2:

LIF/His-tagged human Fibrillin 2 recombinant protein at 100 ng

Lane 3:

His-tagged human Fibrillin 3 recombinant protein at 100 ng

Secondary

All lanes:

Western blot - Goat Anti-Rabbit IgG H&L (HRP) (<a href='/en-us/products/secondary-antibodies/goat-rabbit-igg-h-l-hrp-ab97051'>ab97051</a>) at 1/20000 dilution

Observed band size: 30 kDa

false

Exposure time: 180s

  • Carrier free

    Anti-Fibrillin 1 antibody [EPR27362-76] - BSA and Azide free

Key facts

Host species

Rabbit

Clonality

Monoclonal

Clone number

EPR27362-76

Isotype

IgG

Carrier free

No

Reacts with

Human

Applications

IHC-P, WB

applications

Immunogen

The exact immunogen used to generate this antibody is proprietary information.

Reactivity data

{ "title": "Reactivity Data", "filters": { "stats": ["", "Species", "Dilution Info", "Notes"], "tabs": { "all-applications": {"fullname" : "All Applications", "shortname": "All Applications"}, "IHCP" : {"fullname" : "Immunohistochemistry (Formalin/PFA-fixed paraffin-embedded sections)", "shortname":"IHC-P"}, "WB" : {"fullname" : "Western blot", "shortname":"WB"}, "IP" : {"fullname" : "Immunoprecipitation", "shortname":"IP"}, "FlowCytIntra" : {"fullname" : "Flow Cytometry (Intracellular)", "shortname":"Flow Cyt (Intra)"}, "ICCIF" : {"fullname" : "Immunocytochemistry/ Immunofluorescence", "shortname":"ICC/IF"} }, "product-promise": { "all": "all", "testedAndGuaranteed": "tested", "guaranteed": "expected", "predicted": "predicted", "notRecommended": "not-recommended" } }, "values": { "Human": { "IHCP-species-checked": "testedAndGuaranteed", "IHCP-species-dilution-info": "1/100", "IHCP-species-notes": "<p></p> Perform heat-mediated antigen retrieval with citrate buffer pH 6 before commencing with IHC staining protocol.", "WB-species-checked": "testedAndGuaranteed", "WB-species-dilution-info": "1/1000", "WB-species-notes": "<p></p>", "IP-species-checked": "notRecommended", "IP-species-dilution-info": "", "IP-species-notes": "<p></p>", "FlowCytIntra-species-checked": "notRecommended", "FlowCytIntra-species-dilution-info": "", "FlowCytIntra-species-notes": "<p></p>", "ICCIF-species-checked": "notRecommended", "ICCIF-species-dilution-info": "", "ICCIF-species-notes": "<p></p>" }, "Mouse": { "IHCP-species-checked": "notRecommended", "IHCP-species-dilution-info": "", "IHCP-species-notes": "<p></p>", "WB-species-checked": "notRecommended", "WB-species-dilution-info": "", "WB-species-notes": "<p></p>", "IP-species-checked": "notRecommended", "IP-species-dilution-info": "", "IP-species-notes": "", "FlowCytIntra-species-checked": "notRecommended", "FlowCytIntra-species-dilution-info": "", "FlowCytIntra-species-notes": "", "ICCIF-species-checked": "notRecommended", "ICCIF-species-dilution-info": "", "ICCIF-species-notes": "" }, "Rat": { "IHCP-species-checked": "notRecommended", "IHCP-species-dilution-info": "", "IHCP-species-notes": "<p></p>", "WB-species-checked": "notRecommended", "WB-species-dilution-info": "", "WB-species-notes": "<p></p>", "IP-species-checked": "notRecommended", "IP-species-dilution-info": "", "IP-species-notes": "", "FlowCytIntra-species-checked": "notRecommended", "FlowCytIntra-species-dilution-info": "", "FlowCytIntra-species-notes": "", "ICCIF-species-checked": "notRecommended", "ICCIF-species-dilution-info": "", "ICCIF-species-notes": "" }, "Recombinant fragment - Human": { "IHCP-species-checked": "notRecommended", "IHCP-species-dilution-info": "", "IHCP-species-notes": "", "WB-species-checked": "testedAndGuaranteed", "WB-species-dilution-info": "1/1000", "WB-species-notes": "<p></p>", "IP-species-checked": "notRecommended", "IP-species-dilution-info": "", "IP-species-notes": "", "FlowCytIntra-species-checked": "notRecommended", "FlowCytIntra-species-dilution-info": "", "FlowCytIntra-species-notes": "", "ICCIF-species-checked": "notRecommended", "ICCIF-species-dilution-info": "", "ICCIF-species-notes": "" } } }

Product details

Patented technology
Our RabMAb® technology is a patented hybridoma-based technology for making rabbit monoclonal antibodies. For details on our patents, please refer to RabMAb® patents.

What are the advantages of a recombinant monoclonal antibody?
This product is a recombinant monoclonal antibody, which offers several advantages including:

  • - High batch-to-batch consistency and reproducibility
  • - Improved sensitivity and specificity
  • - Long-term security of supply
  • - Animal-free batch production

For more information, read more on recombinant antibodies.

Properties and storage information

Form
Liquid
Purification technique
Affinity purification Protein A
Storage buffer
pH: 7.2 - 7.4 Preservative: 0.01% Sodium azide Constituents: PBS, 40% Glycerol (glycerin, glycerine), 0.05% BSA
Shipped at conditions
Blue Ice
Appropriate short-term storage duration
1-2 weeks
Appropriate short-term storage conditions
+4°C
Appropriate long-term storage conditions
-20°C
Aliquoting information
Upon delivery aliquot
Storage information
Avoid freeze / thaw cycle

Product protocols

For this product, it's our understanding that no specific protocols are required. You can visit:

Target data

Fibrillin-1. Structural component of the 10-12 nm diameter microfibrils of the extracellular matrix, which conveys both structural and regulatory properties to load-bearing connective tissues (PubMed : 15062093, PubMed : 1860873). Fibrillin-1-containing microfibrils provide long-term force bearing structural support (PubMed : 27026396). In tissues such as the lung, blood vessels and skin, microfibrils form the periphery of the elastic fiber, acting as a scaffold for the deposition of elastin (PubMed : 27026396). In addition, microfibrils can occur as elastin-independent networks in tissues such as the ciliary zonule, tendon, cornea and glomerulus where they provide tensile strength and have anchoring roles (PubMed : 27026396). Fibrillin-1 also plays a key role in tissue homeostasis through specific interactions with growth factors, such as the bone morphogenetic proteins (BMPs), growth and differentiation factors (GDFs) and latent transforming growth factor-beta-binding proteins (LTBPs), cell-surface integrins and other extracellular matrix protein and proteoglycan components (PubMed : 27026396). Regulates osteoblast maturation by controlling TGF-beta bioavailability and calibrating TGF-beta and BMP levels, respectively (By similarity). Negatively regulates osteoclastogenesis by binding and sequestering an osteoclast differentiation and activation factor TNFSF11 (PubMed : 24039232). This leads to disruption of TNFSF11-induced Ca(2+) signaling and impairment of TNFSF11-mediated nuclear translocation and activation of transcription factor NFATC1 which regulates genes important for osteoclast differentiation and function (PubMed : 24039232). Mediates cell adhesion via its binding to cell surface receptors integrins ITGAV : ITGB3 and ITGA5 : ITGB1 (PubMed : 12807887, PubMed : 17158881). Binds heparin and this interaction has an important role in the assembly of microfibrils (PubMed : 11461921).. Asprosin. Adipokine secreted by white adipose tissue that plays an important regulatory role in the glucose metabolism of liver, muscle and pancreas (PubMed : 27087445, PubMed : 30853600). Hormone that targets the liver in response to fasting to increase plasma glucose levels (PubMed : 27087445). Binds the olfactory receptor OR4M1 at the surface of hepatocytes and promotes hepatocyte glucose release by activating the protein kinase A activity in the liver, resulting in rapid glucose release into the circulation (PubMed : 27087445, PubMed : 31230984). May act as a regulator of adaptive thermogenesis by inhibiting browning and energy consumption, while increasing lipid deposition in white adipose tissue (By similarity). Also acts as an orexigenic hormone that increases appetite : crosses the blood brain barrier and exerts effects on the hypothalamus (By similarity). In the arcuate nucleus of the hypothalamus, asprosin directly activates orexigenic AgRP neurons and indirectly inhibits anorexigenic POMC neurons, resulting in appetite stimulation (By similarity). Activates orexigenic AgRP neurons via binding to the olfactory receptor OR4M1 (By similarity). May also play a role in sperm motility in testis via interaction with OR4M1 receptor (By similarity).
See full target information FBN1

Product promise

We are committed to supporting your work with high-quality reagents, and we're here for you every step of the way. In the unlikely event that one of our products does not perform as expected, you're protected by our Product Promise.
For full details, please see our Terms & Conditions

Please note: All products are 'FOR RESEARCH USE ONLY. NOT FOR USE IN DIAGNOSTIC OR THERAPEUTIC PROCEDURES'.

For licensing inquiries, please contact partnerships@abcam.com