JavaScript is disabled in your browser. Please enable JavaScript to view this website.
AB317581

Anti-Fibrillin 1 antibody [RM1179] - BSA and Azide free

Be the first to review this product! Submit a review

|

(0 Publication)

Rabbit Recombinant Multiclonal Fibrillin 1 antibody. Carrier free. Suitable for WB, I-ELISA, Flow Cyt (Intra), ICC/IF, IHC-P and reacts with Recombinant fragment - Human, Human samples.

View Alternative Names

FBN, FBN1, Fibrillin-1

9 Images
Immunohistochemistry (Formalin/PFA-fixed paraffin-embedded sections) - Anti-Fibrillin 1 antibody [RM1179] - BSA and Azide free (AB317581)
  • IHC-P

Supplier Data

Immunohistochemistry (Formalin/PFA-fixed paraffin-embedded sections) - Anti-Fibrillin 1 antibody [RM1179] - BSA and Azide free (AB317581)

This data was developed using ab317580, the same antibody clone in a different buffer formulation.

Immunohistochemical analysis of paraffin-embedded Human skin tissue labeling Fibrillin 1 with ab317580 at 1/500 (0.982 ug/ml) dilution, followed by a ready to use LeicaDS9800 (Bond™ Polymer Refine Detection).

Positive staining on stroma of human skin. The section was incubated with ab317580 for 30 mins at room temperature.
The immunostaining was performed on a Leica Biosystems BOND® RX instrument

Counterstained with Hematoxylin.

Secondary antibody only control : Secondary antibody is a ready to use LeicaDS9800 (Bond™ Polymer Refine Detection).

Heat mediated antigen retrieval was performed with Tris-EDTA buffer (pH 9.0, Epitope Retrieval Solution2) for 20 mins

Immunohistochemistry (Formalin/PFA-fixed paraffin-embedded sections) - Anti-Fibrillin 1 antibody [RM1179] - BSA and Azide free (AB317581)
  • IHC-P

Supplier Data

Immunohistochemistry (Formalin/PFA-fixed paraffin-embedded sections) - Anti-Fibrillin 1 antibody [RM1179] - BSA and Azide free (AB317581)

This data was developed using ab317580, the same antibody clone in a different buffer formulation.

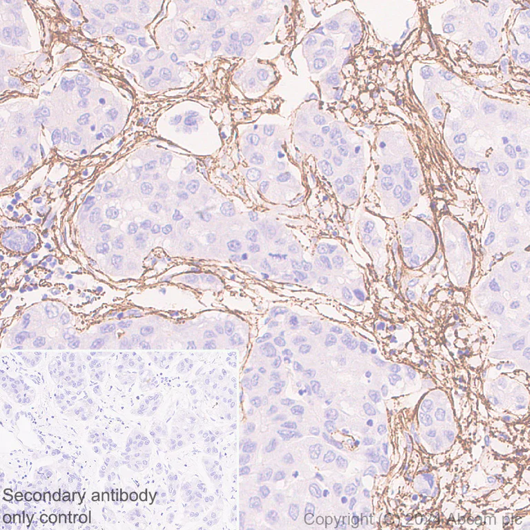
Immunohistochemical analysis of paraffin-embedded Human hepatic carcinoma tissue labeling Fibrillin 1 with ab317580 at 1/500 (0.982 ug/ml) dilution, followed by a ready to use LeicaDS9800 (Bond™ Polymer Refine Detection).

Positive staining on stroma of human hepatic carcinoma. The section was incubated with ab317580 for 30 mins at room temperature.
The immunostaining was performed on a Leica Biosystems BOND® RX instrument

Counterstained with Hematoxylin.

Secondary antibody only control : Secondary antibody is a ready to use LeicaDS9800 (Bond™ Polymer Refine Detection).

Heat mediated antigen retrieval was performed with Tris-EDTA buffer (pH 9.0, Epitope Retrieval Solution2) for 20 mins

Immunohistochemistry (Formalin/PFA-fixed paraffin-embedded sections) - Anti-Fibrillin 1 antibody [RM1179] - BSA and Azide free (AB317581)
  • IHC-P

Supplier Data

Immunohistochemistry (Formalin/PFA-fixed paraffin-embedded sections) - Anti-Fibrillin 1 antibody [RM1179] - BSA and Azide free (AB317581)

This data was developed using ab317580, the same antibody clone in a different buffer formulation.

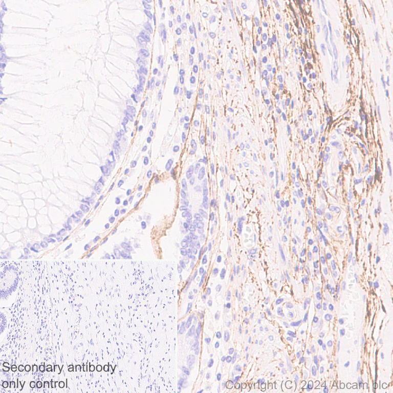
Immunohistochemical analysis of paraffin-embedded Human colon carcinoma tissue labeling Fibrillin 1 with ab317580 at 1/500 (0.982 ug/ml) dilution, followed by a ready to use LeicaDS9800 (Bond™ Polymer Refine Detection).

Positive staining on stroma of human colon carcinoma. The section was incubated with ab317580 for 30 mins at room temperature.
The immunostaining was performed on a Leica Biosystems BOND® RX instrument

Counterstained with Hematoxylin.

Secondary antibody only control : Secondary antibody is a ready to use LeicaDS9800 (Bond™ Polymer Refine Detection).

Heat mediated antigen retrieval was performed with Tris-EDTA buffer (pH 9.0, Epitope Retrieval Solution2) for 20 mins

Immunohistochemistry (Formalin/PFA-fixed paraffin-embedded sections) - Anti-Fibrillin 1 antibody [RM1179] - BSA and Azide free (AB317581)
  • IHC-P

Supplier Data

Immunohistochemistry (Formalin/PFA-fixed paraffin-embedded sections) - Anti-Fibrillin 1 antibody [RM1179] - BSA and Azide free (AB317581)

This data was developed using ab317580, the same antibody clone in a different buffer formulation.

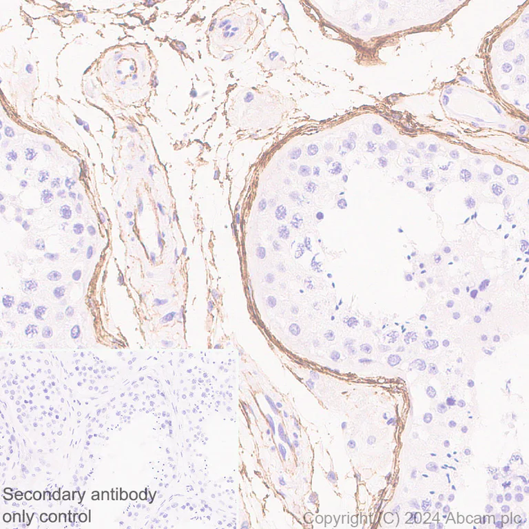
Immunohistochemical analysis of paraffin-embedded Human testis tissue labeling Fibrillin 1 with ab317580 at 1/500 (0.982 ug/ml) dilution, followed by a ready to use LeicaDS9800 (Bond™ Polymer Refine Detection).

Positive staining on stroma of human testis. The section was incubated with ab317580 for 30 mins at room temperature.
The immunostaining was performed on a Leica Biosystems BOND® RX instrument

Counterstained with Hematoxylin.

Secondary antibody only control : Secondary antibody is a ready to use LeicaDS9800 (Bond™ Polymer Refine Detection).

Heat mediated antigen retrieval was performed with Tris-EDTA buffer (pH 9.0, Epitope Retrieval Solution2) for 20 mins

Immunocytochemistry/ Immunofluorescence - Anti-Fibrillin 1 antibody [RM1179] - BSA and Azide free (AB317581)
  • ICC/IF

Supplier Data

Immunocytochemistry/ Immunofluorescence - Anti-Fibrillin 1 antibody [RM1179] - BSA and Azide free (AB317581)

This data was developed using ab317580, the same antibody clone in a different buffer formulation.

Immunofluorescent analysis of 4% Paraformaldehyde-fixed, 0.1% TritonX-100 permeabilized A-172 (human brain glioblastoma cell) cells labelling Fibrillin 1 with ab317580 at 1/500 (0.982 ug/ml) dilution, followed by ab150081 Goat Anti-Rabbit IgG H&L (Alexa Fluor® 488) preadsorbed antibody at 1/1000 2 ug/ml dilution (Green).

Confocal image showing cytoplasmic staining in A-172 cell line (shown in green). The counterstain was observed in magenta. Nuclear DNA was labeled with DAPI (shown in blue).
Negative control : U-937.
Image was taken with a confocal microscope(Leica-Microsystems, TCS SP8).

ab195889 Anti-alpha Tubulin mouse monoclonal antibody - Microtubule Marker (Alexa Fluor® 594) was used to counterstain tubulin at 1/200 2.5ug/ml dilution (Magenta). The Nuclear counterstain was DAPI (Blue).

Secondary antibody only control : Secondary antibody is ab150081 Goat Anti-Rabbit IgG H&L (Alexa Fluor® 488) preadsorbed at 1/1000 2 ug/ml dilution.

Flow Cytometry (Intracellular) - Anti-Fibrillin 1 antibody [RM1179] - BSA and Azide free (AB317581)
  • Flow Cyt (Intra)

Supplier Data

Flow Cytometry (Intracellular) - Anti-Fibrillin 1 antibody [RM1179] - BSA and Azide free (AB317581)

This data was developed using ab317580, the same antibody clone in a different buffer formulation.

Flow cytometric analysis of 4% paraformaldehyde fixed 90% methanol permeabilized A-172 (human brain glioblastoma cell) (Right) / U-937 (human histiocytic lymphoma monocyte) (Left) cells labelling Fibrillin 1 with ab317580 at 1/500 dilution (0.1ug)/Red (Red) compared with a Rabbit monoclonal IgG (ab172730) (Black) isotype control and an unlabelled control (cells without incubation with primary antibody and secondary antibody) (Blue).

Goat Anti-Rabbit IgG (Alexa Fluor® 488, ab150081) at 1/5000 dilution was used as the secondary antibody.

Negative control : U-937.

Western blot - Anti-Fibrillin 1 antibody [RM1179] - BSA and Azide free (AB317581)
  • WB

Supplier Data

Western blot - Anti-Fibrillin 1 antibody [RM1179] - BSA and Azide free (AB317581)

This data was developed using ab317580, the same antibody clone in a different buffer formulation.

Negative control : U-937

In Western blot, Anti-Vinculin antibody [EPR8185] (ab129002) staining at 1/10000 dilution.

All lanes:

Western blot - Anti-Fibrillin 1 antibody [RM1179] (<a href='/en-us/products/primary-antibodies/fibrillin-1-antibody-rm1179-ab317580'>ab317580</a>) at 1/1000 dilution

Lane 1:

A-172 (human brain glioblastoma cell ) whole cell lysate at 40 µg with NFDM/TBST

Lane 2:

U-937 (human histiocytic lymphoma monocyte) whole cell lysate at 40 µg with NFDM/TBST

Secondary

All lanes:

Western blot - Goat Anti-Rabbit IgG H&L (HRP) (<a href='/en-us/products/secondary-antibodies/goat-rabbit-igg-h-l-hrp-ab97051'>ab97051</a>) at 1/100000 dilution

Observed band size: 313 kDa,124 kDa

false

Exposure time: 180s

Indirect ELISA - Anti-Fibrillin 1 antibody [RM1179] - BSA and Azide free (AB317581)
  • I-ELISA

Supplier Data

Indirect ELISA - Anti-Fibrillin 1 antibody [RM1179] - BSA and Azide free (AB317581)

This data was developed using ab317580, the same antibody clone in a different buffer formulation.

Indirect ELISA analysis of ab317580 at 1000-0 ng/ml. The Secondary antibody used was Alkaline Phosphatase-conjugated AffiniPure Goat Anti-Rabbit IgG (H+L) at 1 : 2500 dilution.

Antigen : Human Fibrillin 1 Protein,Human Fibrillin 2 Protein,Human Fibrillin 3 Protein.

Antigen concentration : 1000 ng/ml

Western blot - Anti-Fibrillin 1 antibody [RM1179] - BSA and Azide free (AB317581)
  • WB

Supplier Data

Western blot - Anti-Fibrillin 1 antibody [RM1179] - BSA and Azide free (AB317581)

This data was developed using ab317580, the same antibody clone in a different buffer formulation.

In Western blot, Anti-6X His tag® antibody [EPR20547] - ChIP Grade (ab213204) staining at 1/5000 dilution.

In Western blot, Anti-LIF antibody [EPR21713-25] - BSA and Azide free staining at Capture dilution.

All lanes:

Western blot - Anti-Fibrillin 1 antibody [RM1179] (<a href='/en-us/products/primary-antibodies/fibrillin-1-antibody-rm1179-ab317580'>ab317580</a>) at 1/1000 dilution

Lane 1:

His-tagged human Fibrillin 1 recombinant protein fragment at 20 ng with NFDM/TBST

Lane 2:

LIF/His-tagged human Fibrillin 2 recombinant protein fragment at 50 ng with NFDM/TBST

Lane 3:

His-tagged human Fibrillin 3 recombinant protein fragment at 100 ng with NFDM/TBST

Secondary

All lanes:

Western blot - Goat Anti-Rabbit IgG H&L (HRP) (<a href='/en-us/products/secondary-antibodies/goat-rabbit-igg-h-l-hrp-ab97051'>ab97051</a>) at 1/20000 dilution

Observed band size: 25 kDa,60 kDa

false

Exposure time: 180s

Key facts

Host species

Rabbit

Clonality

Multiclonal

Clone number

RM1179

Isotype

IgG

Carrier free

Yes

Reacts with

Human

Applications

WB, ICC/IF, IHC-P, Flow Cyt (Intra), I-ELISA

applications

Immunogen

The exact immunogen used to generate this antibody is proprietary information.

Specificity

This antibody has weak cross reaction with human Fibrillin 3 by ELISA.

Reactivity data

{ "title": "Reactivity Data", "filters": { "stats": ["", "Species", "Dilution Info", "Notes"], "tabs": { "all-applications": {"fullname" : "All Applications", "shortname": "All Applications"}, "WB" : {"fullname" : "Western blot", "shortname":"WB"}, "IELISA" : {"fullname" : "Indirect ELISA", "shortname":"I-ELISA"}, "FlowCytIntra" : {"fullname" : "Flow Cytometry (Intracellular)", "shortname":"Flow Cyt (Intra)"}, "ICCIF" : {"fullname" : "Immunocytochemistry/ Immunofluorescence", "shortname":"ICC/IF"}, "IHCP" : {"fullname" : "Immunohistochemistry (Formalin/PFA-fixed paraffin-embedded sections)", "shortname":"IHC-P"}, "IP" : {"fullname" : "Immunoprecipitation", "shortname":"IP"} }, "product-promise": { "all": "all", "testedAndGuaranteed": "tested", "guaranteed": "expected", "predicted": "predicted", "notRecommended": "not-recommended" } }, "values": { "Human": { "WB-species-checked": "testedAndGuaranteed", "WB-species-dilution-info": "", "WB-species-notes": "<p></p>", "IELISA-species-checked": "guaranteed", "IELISA-species-dilution-info": "", "IELISA-species-notes": "", "FlowCytIntra-species-checked": "testedAndGuaranteed", "FlowCytIntra-species-dilution-info": "", "FlowCytIntra-species-notes": "<p></p>", "ICCIF-species-checked": "testedAndGuaranteed", "ICCIF-species-dilution-info": "", "ICCIF-species-notes": "<p></p>", "IHCP-species-checked": "testedAndGuaranteed", "IHCP-species-dilution-info": "", "IHCP-species-notes": "<p></p>", "IP-species-checked": "notRecommended", "IP-species-dilution-info": "", "IP-species-notes": "<p></p>" }, "Mouse": { "WB-species-checked": "notRecommended", "WB-species-dilution-info": "", "WB-species-notes": "<p></p>", "IELISA-species-checked": "notRecommended", "IELISA-species-dilution-info": "", "IELISA-species-notes": "", "FlowCytIntra-species-checked": "notRecommended", "FlowCytIntra-species-dilution-info": "", "FlowCytIntra-species-notes": "", "ICCIF-species-checked": "notRecommended", "ICCIF-species-dilution-info": "", "ICCIF-species-notes": "", "IHCP-species-checked": "notRecommended", "IHCP-species-dilution-info": "", "IHCP-species-notes": "<p></p>", "IP-species-checked": "notRecommended", "IP-species-dilution-info": "", "IP-species-notes": "" }, "Rat": { "WB-species-checked": "notRecommended", "WB-species-dilution-info": "", "WB-species-notes": "<p></p>", "IELISA-species-checked": "notRecommended", "IELISA-species-dilution-info": "", "IELISA-species-notes": "", "FlowCytIntra-species-checked": "notRecommended", "FlowCytIntra-species-dilution-info": "", "FlowCytIntra-species-notes": "", "ICCIF-species-checked": "notRecommended", "ICCIF-species-dilution-info": "", "ICCIF-species-notes": "", "IHCP-species-checked": "notRecommended", "IHCP-species-dilution-info": "", "IHCP-species-notes": "<p></p>", "IP-species-checked": "notRecommended", "IP-species-dilution-info": "", "IP-species-notes": "" }, "Recombinant fragment - Human": { "WB-species-checked": "testedAndGuaranteed", "WB-species-dilution-info": "", "WB-species-notes": "<p></p>", "IELISA-species-checked": "testedAndGuaranteed", "IELISA-species-dilution-info": "", "IELISA-species-notes": "<p></p>", "FlowCytIntra-species-checked": "notRecommended", "FlowCytIntra-species-dilution-info": "", "FlowCytIntra-species-notes": "", "ICCIF-species-checked": "notRecommended", "ICCIF-species-dilution-info": "", "ICCIF-species-notes": "", "IHCP-species-checked": "notRecommended", "IHCP-species-dilution-info": "", "IHCP-species-notes": "", "IP-species-checked": "notRecommended", "IP-species-dilution-info": "", "IP-species-notes": "" } } }

Product details

ab317581 is the carrier-free version of ab317580.

What are recombinant multiclonals?
Recombinant multiclonals are a mixture of recombinant antibodies co-expressed from a library of heavy and light chains. They offer several advantages including:

  • - The sensitivity of polyclonal antibodies by recognising multiple epitopes
  • - High batch-to-batch consistency and reproducibility
  • - Improved sensitivity and specificity
  • - Long-term security of supply
  • - Animal-free batch production

View our range of recombinant multiclonal antibodies.

Patented technology
Our RabMAb® technology is a patented hybridoma-based technology for making rabbit monoclonal antibodies. For details on our patents, please refer to RabMAb® patents.

Conjugation ready
Our carrier-free antibodies are typically supplied in a PBS-only formulation, purified and free of BSA, sodium azide and glycerol. This conjugation-ready format is designed for use with fluorochromes, metal isotopes, oligonucleotides, and enzymes, which makes them ideal for antibody labelling, functional and cell-based assays, flow-based assays (e.g. mass cytometry) and Multiplex Imaging applications.

Use our conjugation kits for antibody conjugates that are ready-to-use in as little as 20 minutes with 1 minute hands-on-time and 100% antibody recovery: available for fluorescent dyes, HRP, biotin and gold.

Compatibility
This product is compatible with the Maxpar® Antibody Labeling Kit from Fluidigm, without the need for antibody preparation. Maxpar® is a trademark of Fluidigm Canada Inc.

Properties and storage information

Form
Liquid
Purification technique
Affinity purification Protein A
Storage buffer
pH: 7.2 - 7.4 Constituents: PBS
Shipped at conditions
Blue Ice
Appropriate short-term storage conditions
+4°C
Appropriate long-term storage conditions
+4°C

Product protocols

For this product, it's our understanding that no specific protocols are required. You can visit:

Target data

Fibrillin-1. Structural component of the 10-12 nm diameter microfibrils of the extracellular matrix, which conveys both structural and regulatory properties to load-bearing connective tissues (PubMed : 15062093, PubMed : 1860873). Fibrillin-1-containing microfibrils provide long-term force bearing structural support (PubMed : 27026396). In tissues such as the lung, blood vessels and skin, microfibrils form the periphery of the elastic fiber, acting as a scaffold for the deposition of elastin (PubMed : 27026396). In addition, microfibrils can occur as elastin-independent networks in tissues such as the ciliary zonule, tendon, cornea and glomerulus where they provide tensile strength and have anchoring roles (PubMed : 27026396). Fibrillin-1 also plays a key role in tissue homeostasis through specific interactions with growth factors, such as the bone morphogenetic proteins (BMPs), growth and differentiation factors (GDFs) and latent transforming growth factor-beta-binding proteins (LTBPs), cell-surface integrins and other extracellular matrix protein and proteoglycan components (PubMed : 27026396). Regulates osteoblast maturation by controlling TGF-beta bioavailability and calibrating TGF-beta and BMP levels, respectively (By similarity). Negatively regulates osteoclastogenesis by binding and sequestering an osteoclast differentiation and activation factor TNFSF11 (PubMed : 24039232). This leads to disruption of TNFSF11-induced Ca(2+) signaling and impairment of TNFSF11-mediated nuclear translocation and activation of transcription factor NFATC1 which regulates genes important for osteoclast differentiation and function (PubMed : 24039232). Mediates cell adhesion via its binding to cell surface receptors integrins ITGAV : ITGB3 and ITGA5 : ITGB1 (PubMed : 12807887, PubMed : 17158881). Binds heparin and this interaction has an important role in the assembly of microfibrils (PubMed : 11461921).. Asprosin. Adipokine secreted by white adipose tissue that plays an important regulatory role in the glucose metabolism of liver, muscle and pancreas (PubMed : 27087445, PubMed : 30853600). Hormone that targets the liver in response to fasting to increase plasma glucose levels (PubMed : 27087445). Binds the olfactory receptor OR4M1 at the surface of hepatocytes and promotes hepatocyte glucose release by activating the protein kinase A activity in the liver, resulting in rapid glucose release into the circulation (PubMed : 27087445, PubMed : 31230984). May act as a regulator of adaptive thermogenesis by inhibiting browning and energy consumption, while increasing lipid deposition in white adipose tissue (By similarity). Also acts as an orexigenic hormone that increases appetite : crosses the blood brain barrier and exerts effects on the hypothalamus (By similarity). In the arcuate nucleus of the hypothalamus, asprosin directly activates orexigenic AgRP neurons and indirectly inhibits anorexigenic POMC neurons, resulting in appetite stimulation (By similarity). Activates orexigenic AgRP neurons via binding to the olfactory receptor OR4M1 (By similarity). May also play a role in sperm motility in testis via interaction with OR4M1 receptor (By similarity).
See full target information FBN1

Product promise

We are committed to supporting your work with high-quality reagents, and we're here for you every step of the way. In the unlikely event that one of our products does not perform as expected, you're protected by our Product Promise.
For full details, please see our Terms & Conditions

Please note: All products are 'FOR RESEARCH USE ONLY. NOT FOR USE IN DIAGNOSTIC OR THERAPEUTIC PROCEDURES'.

For licensing inquiries, please contact partnerships@abcam.com