JavaScript is disabled in your browser. Please enable JavaScript to view this website.
AB92572

Anti-Fibrinogen alpha chain antibody [EPR2919]

  • BOND RX™ Validated
  • RabMAb
  • Recombinant
  • 20ul selling size
  • What is this?

1

(1 Review)

|

(22 Publications)

Rabbit Recombinant Monoclonal Fibrinogen alpha chain antibody. Suitable for ICC/IF, IP, WB, Flow Cyt (Intra), IHC-P and reacts with Human, Mouse, Rat samples. Cited in 22 publications.

View Alternative Names

Fibrinogen alpha chain, FGA

10 Images
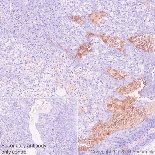
Immunohistochemistry (Formalin/PFA-fixed paraffin-embedded sections) - Anti-Fibrinogen alpha chain antibody [EPR2919] (AB92572)
  • IHC-P

Unknown

Immunohistochemistry (Formalin/PFA-fixed paraffin-embedded sections) - Anti-Fibrinogen alpha chain antibody [EPR2919] (AB92572)

Immunohistochemistry (Formalin/PFA-fixed paraffin-embedded sections) analysis of human placenta tissue sections labeling Fibrinogen alpha chain with purified ab92572 at 1/3000 dilution (0.053 µg/mL). Perform heat mediated antigen retrieval using ab93684 (Tris/EDTA buffer, pH 9.0). ImmunoHistoProbe one step HRP Polymer (ready to use) was used as the secondary antibody. Negative control : PBS instead of the primary antibody. Hematoxylin was used as a counterstain.

Immunocytochemistry/ Immunofluorescence - Anti-Fibrinogen alpha chain antibody [EPR2919] (AB92572)
  • ICC/IF

Unknown

Immunocytochemistry/ Immunofluorescence - Anti-Fibrinogen alpha chain antibody [EPR2919] (AB92572)

Immunocytochemistry/ Immunofluorescence analysis of HepG2 (Human hepatocellular carcinoma epithelial cell) cells labeling Fibrinogen alpha chain with purified ab92572 at 1/50 dilution (3.16 μg/mL). Cells were fixed in 4% Paraformaldehyde and permeabilized with 0.1% TritonX-100. Cells were counterstained with ab195889 Anti-alpha Tubulin antibody [DM1A] - Microtubule Marker (Alexa Fluor® 594) 1/200 (2.5 μg/mL). Goat anti rabbit IgG (Alexa Fluor® 488, ab150077) was used as the secondary antibody at 1/1000 (2 μg/mL) dilution. DAPI (blue) was used as nuclear counterstain. PBS instead of the primary antibody was used as the secondary antibody only control.

Immunoprecipitation - Anti-Fibrinogen alpha chain antibody [EPR2919] (AB92572)
  • IP

Lab

Immunoprecipitation - Anti-Fibrinogen alpha chain antibody [EPR2919] (AB92572)

ab92572 at a dilution of 1/100 immunoprecipitating Fibrinogen alpha chain in human plasma.

Lane 1 (input) : Human plasma (10 μg)
Lane 2 (+) : ab92572 + human plasma.
Lane 3 (-) : Rabbit monoclonal IgG (ab172730) instead of ab92572 in human plasma.

For western blotting, ab92572 was used as the primary antibody at a 1/1000 dilution and VeriBlot for IP Detection Reagent (HRP) (ab131366), was used for detection at 1/5000 dilution.

Blocking and dilution buffer : 5% NFDM/TBST.

All lanes:

Immunoprecipitation - Anti-Fibrinogen alpha chain antibody [EPR2919] (ab92572)

Predicted band size: 95 kDa

Observed band size: 110 kDa

false

Exposure time: 5s

Flow Cytometry (Intracellular) - Anti-Fibrinogen alpha chain antibody [EPR2919] (AB92572)
  • Flow Cyt (Intra)

Lab

Flow Cytometry (Intracellular) - Anti-Fibrinogen alpha chain antibody [EPR2919] (AB92572)

Intracellular Intracellular Flow Cytometry analysis of Hepa1-6 (Mouse hepatoma epithelial cell) labeling Fibrinogen alpha chain with ab92572 at 1/50 (red). Goat anti rabbit IgG (Alexa Fluor® 488), ab150077 at 1/2000 was used as the secondary antibody. Cells were fixed with 4% paraformaldehyde and permeabilised with 90% methanol. Isotype control / colour Rabbit monoclonal IgG (ab172730) (black). Unlabelled control / colour Cell without incubation with primary antibody and secondary antibody (blue).

Immunohistochemistry (Formalin/PFA-fixed paraffin-embedded sections) - Anti-Fibrinogen alpha chain antibody [EPR2919] (AB92572)
  • IHC-P

Unknown

Immunohistochemistry (Formalin/PFA-fixed paraffin-embedded sections) - Anti-Fibrinogen alpha chain antibody [EPR2919] (AB92572)

Immunohistochemistry (Formalin/PFA-fixed paraffin-embedded sections) analysis of rat placenta tissue sections labeling Fibrinogen alpha chain with purified ab92572 at 1/3000 dilution (0.053 µg/mL). Perform heat mediated antigen retrieval using ab93684 (Tris/EDTA buffer, pH 9.0). ImmunoHistoProbe one step HRP Polymer (ready to use) was used as the secondary antibody. Negative control : PBS instead of the primary antibody. Hematoxylin was used as a counterstain.

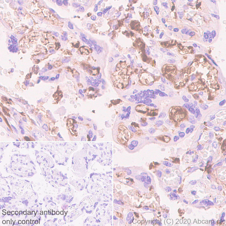
Immunohistochemistry (Formalin/PFA-fixed paraffin-embedded sections) - Anti-Fibrinogen alpha chain antibody [EPR2919] (AB92572)
  • IHC-P

Lab

Immunohistochemistry (Formalin/PFA-fixed paraffin-embedded sections) - Anti-Fibrinogen alpha chain antibody [EPR2919] (AB92572)

Immunohistochemical analysis of paraffin-embedded mouse placenta using ab92572 at 1/1000 dilution (0.5 μg/ml). Heat mediated antigen retrieval with Tris-EDTA buffer (pH 9.0, epitope retrieval solution 2) for 20mins. A rabbit specific IHC polymer detection kit HRP/DAB (ab209101) was used as a secondary antibody (ready to use). Negative control used only the secondary antibody. Counterstained with haematoxylin.

Positive staining in plasma of mouse placenta.

The section was incubated with ab92572 for 30 mins at RT. The immunostaining was performed on a Leica Biosystems BOND® RX instrument.

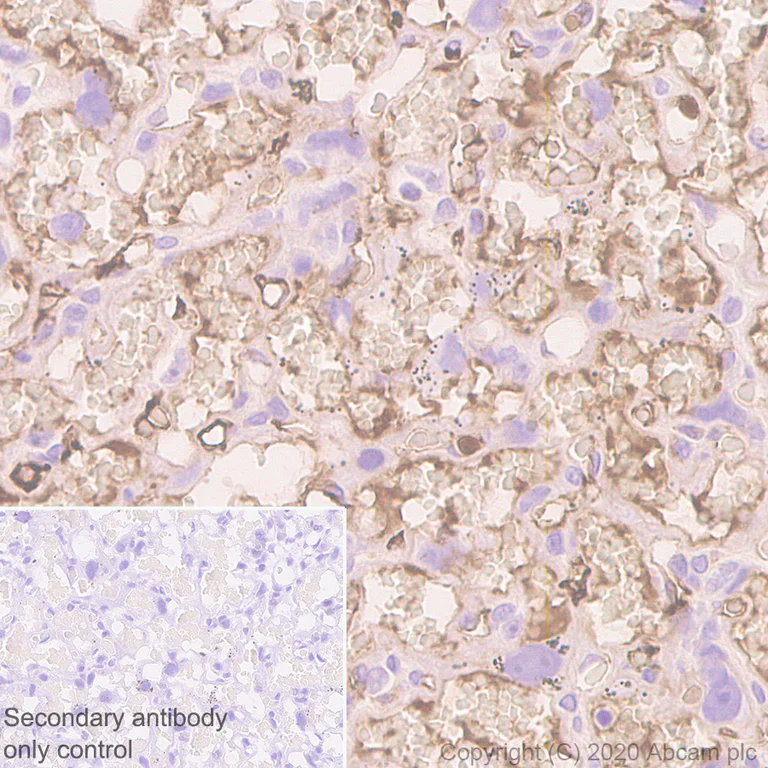
Immunohistochemistry (Formalin/PFA-fixed paraffin-embedded sections) - Anti-Fibrinogen alpha chain antibody [EPR2919] (AB92572)
  • IHC-P

Lab

Immunohistochemistry (Formalin/PFA-fixed paraffin-embedded sections) - Anti-Fibrinogen alpha chain antibody [EPR2919] (AB92572)

Immunohistochemical analysis of paraffin-embedded mouse lung using ab92572 at 1/1000 dilution (0.5 μg/ml). Heat mediated antigen retrieval with Tris-EDTA buffer (pH 9.0, epitope retrieval solution 2) for 20mins, a rabbit specific IHC polymer detection kit HRP/DAB (ab209101) was used as a secondary antibody (ready to use). Negative control used only the secondary antibody. Counterstained with haematoxylin.

Strong positive staining in plasma of mouse lung (PMID : 26259584).

The section was incubated with ab92572 for 30 mins at RT. The immunostaining was performed on a Leica Biosystems BOND® RX instrument.

Western blot - Anti-Fibrinogen alpha chain antibody [EPR2919] (AB92572)
  • WB

Unknown

Western blot - Anti-Fibrinogen alpha chain antibody [EPR2919] (AB92572)

All lanes:

Western blot - Anti-Fibrinogen alpha chain antibody [EPR2919] (ab92572) at 1/10000 dilution

Lane 1:

Human plasma lysate at 15 µg

Lane 2:

Rat platelet lysate at 15 µg

Lane 3:

Rat plasma lysate at 15 µg

Secondary

All lanes:

Western blot - Goat Anti-Rabbit IgG H&L (HRP) (<a href='/en-us/products/secondary-antibodies/goat-rabbit-igg-h-l-hrp-ab97051'>ab97051</a>) at 1/20000 dilution

Predicted band size: 95 kDa

Observed band size: 95 kDa

false

Western blot - Anti-Fibrinogen alpha chain antibody [EPR2919] (AB92572)
  • WB

Supplier Data

Western blot - Anti-Fibrinogen alpha chain antibody [EPR2919] (AB92572)

Blocking and diluting buffer : 5% NFDM/TBST.

The bands below 95kDa are probably FGA fragments (PMID : 24937656).

All lanes:

Western blot - Anti-Fibrinogen alpha chain antibody [EPR2919] (ab92572) at 1/1000 dilution

All lanes:

Rat platelet tissue lysate at 20 µg

Secondary

All lanes:

Goat Anti-Rabbit IgG (HRP) with minimal cross-reactivity with human IgG at 1/2000 dilution

Predicted band size: 95 kDa

Observed band size: 95 kDa,35-60 kDa

false

Exposure time: 20s

Western blot - Anti-Fibrinogen alpha chain antibody [EPR2919] (AB92572)
  • WB

Lab

Western blot - Anti-Fibrinogen alpha chain antibody [EPR2919] (AB92572)

The band around 35 kD represents FGA fragment (PMID : 24937656).

Exposure time :
Lane 1 : 3 minutes;
Lanes 2-3 : 5.5 seconds

Blocking buffer and concentration : 5% NFDM/TBST
Diluting buffer and concentration : 5% NFDM/TBST

All lanes:

Western blot - Anti-Fibrinogen alpha chain antibody [EPR2919] (ab92572) at 1/1000 dilution

Lane 1:

Mouse liver cell lysate at 20 µg

Lane 2:

Mouse plasma cell lysate at 20 µg

Lane 3:

Mouse platelet cell lysate at 20 µg

Secondary

All lanes:

Western blot - Goat Anti-Rabbit IgG H&L (HRP) (<a href='/en-us/products/secondary-antibodies/goat-rabbit-igg-h-l-hrp-ab97051'>ab97051</a>) at 1/100000 dilution

Predicted band size: 95 kDa

Observed band size: 87 kDa

false

  • 617 Alexa Fluor® 594

    Alexa Fluor® 594 Anti-Fibrinogen alpha chain antibody [EPR2919]

  • Carrier free

    Anti-Fibrinogen alpha chain antibody [EPR2919] - BSA and Azide free

  • 660 APC

    APC Anti-Fibrinogen alpha chain antibody [EPR2919]

  • HRP

    HRP Anti-Fibrinogen alpha chain antibody [EPR2919]

  • 665 Alexa Fluor® 647

    Alexa Fluor® 647 Anti-Fibrinogen alpha chain antibody [EPR2919]

  • 565 Alexa Fluor® 555

    Alexa Fluor® 555 Anti-Fibrinogen alpha chain antibody [EPR2919]

  • 603 Alexa Fluor® 568

    Alexa Fluor® 568 Anti-Fibrinogen alpha chain antibody [EPR2919]

  • 578 PE

    PE Anti-Fibrinogen alpha chain antibody [EPR2919]

  • 519 Alexa Fluor® 488

    Alexa Fluor® 488 Anti-Fibrinogen alpha chain antibody [EPR2919]

  • 775 Alexa Fluor® 750

    Alexa Fluor® 750 Anti-Fibrinogen alpha chain antibody [EPR2919]

Key facts

Host species

Rabbit

Clonality

Monoclonal

Clone number

EPR2919

Isotype

IgG

Carrier free

No

Reacts with

Mouse, Rat, Human

Applications

IHC-P, Flow Cyt (Intra), WB, ICC/IF, IP

applications

Immunogen

The exact immunogen used to generate this antibody is proprietary information.

Specificity

The immunogen is derived from isoform alpha-E, UniProt accession P02671-1, and the antibody is not expected to detect isoform alpha.

This antibody is not recommended for testing cell lines in western blot.

Reactivity data

{ "title": "Reactivity Data", "filters": { "stats": ["", "Species", "Dilution Info", "Notes"], "tabs": { "all-applications": {"fullname" : "All Applications", "shortname": "All Applications"}, "ICCIF" : {"fullname" : "Immunocytochemistry/ Immunofluorescence", "shortname":"ICC/IF"}, "IP" : {"fullname" : "Immunoprecipitation", "shortname":"IP"}, "WB" : {"fullname" : "Western blot", "shortname":"WB"}, "FlowCytIntra" : {"fullname" : "Flow Cytometry (Intracellular)", "shortname":"Flow Cyt (Intra)"}, "IHCP" : {"fullname" : "Immunohistochemistry (Formalin/PFA-fixed paraffin-embedded sections)", "shortname":"IHC-P"} }, "product-promise": { "all": "all", "testedAndGuaranteed": "tested", "guaranteed": "expected", "predicted": "predicted", "notRecommended": "not-recommended" } }, "values": { "Human": { "ICCIF-species-checked": "testedAndGuaranteed", "ICCIF-species-dilution-info": "1/50", "ICCIF-species-notes": "<p>For unpurified use at 1/250.</p>", "IP-species-checked": "testedAndGuaranteed", "IP-species-dilution-info": "1/50", "IP-species-notes": "<p></p>", "WB-species-checked": "testedAndGuaranteed", "WB-species-dilution-info": "1/1000 - 1/10000", "WB-species-notes": "<p>This antibody is not recommended for testing cell lines in western blot.</p>", "FlowCytIntra-species-checked": "guaranteed", "FlowCytIntra-species-dilution-info": "", "FlowCytIntra-species-notes": "", "IHCP-species-checked": "testedAndGuaranteed", "IHCP-species-dilution-info": "1/3000", "IHCP-species-notes": "<p>Antigen retrieval plus the use of an HRP/AP polymerized secondary antibody is highly recommended for enhanced staining.</p><p>For unupurified use at 1/50 - 1/1000</p> Perform heat-mediated antigen retrieval with Tris/EDTA buffer pH 9.0 before commencing with IHC staining protocol." }, "Mouse": { "ICCIF-species-checked": "guaranteed", "ICCIF-species-dilution-info": "", "ICCIF-species-notes": "", "IP-species-checked": "guaranteed", "IP-species-dilution-info": "", "IP-species-notes": "", "WB-species-checked": "testedAndGuaranteed", "WB-species-dilution-info": "1/1000 - 1/10000", "WB-species-notes": "<p>This antibody is not recommended for testing cell lines in western blot.</p>", "FlowCytIntra-species-checked": "testedAndGuaranteed", "FlowCytIntra-species-dilution-info": "1/50", "FlowCytIntra-species-notes": "<p></p>", "IHCP-species-checked": "testedAndGuaranteed", "IHCP-species-dilution-info": "1/3000", "IHCP-species-notes": "<p>Antigen retrieval plus the use of an HRP/AP polymerized secondary antibody is highly recommended for enhanced staining.</p><p>For unupurified use at 1/50 - 1/1000</p> Perform heat-mediated antigen retrieval with Tris/EDTA buffer pH 9.0 before commencing with IHC staining protocol." }, "Rat": { "ICCIF-species-checked": "guaranteed", "ICCIF-species-dilution-info": "", "ICCIF-species-notes": "", "IP-species-checked": "guaranteed", "IP-species-dilution-info": "", "IP-species-notes": "", "WB-species-checked": "testedAndGuaranteed", "WB-species-dilution-info": "1/1000", "WB-species-notes": "<p>This antibody is not recommended for testing cell lines in western blot.</p>", "FlowCytIntra-species-checked": "guaranteed", "FlowCytIntra-species-dilution-info": "", "FlowCytIntra-species-notes": "", "IHCP-species-checked": "testedAndGuaranteed", "IHCP-species-dilution-info": "1/3000", "IHCP-species-notes": "<p>Antigen retrieval plus the use of an HRP/AP polymerized secondary antibody is highly recommended for enhanced staining.</p><p>For unupurified use at 1/50 - 1/1000</p> Perform heat-mediated antigen retrieval with Tris/EDTA buffer pH 9.0 before commencing with IHC staining protocol." } } }

Product details

Patented technology
Our RabMAb® technology is a patented hybridoma-based technology for making rabbit monoclonal antibodies. For details on our patents, please refer to RabMAb® patents.

What are the advantages of a recombinant monoclonal antibody?
This product is a recombinant monoclonal antibody, which offers several advantages including:

  • - High batch-to-batch consistency and reproducibility
  • - Improved sensitivity and specificity
  • - Long-term security of supply
  • - Animal-free batch production

For more information, read more on recombinant antibodies.

Properties and storage information

Form
Liquid
Purification technique
Affinity purification Protein A
Storage buffer
pH: 7.2 - 7.4 Preservative: 0.01% Sodium azide Constituents: PBS, 40% Glycerol (glycerin, glycerine), 0.05% BSA
Shipped at conditions
Blue Ice
Appropriate short-term storage duration
1-2 weeks
Appropriate short-term storage conditions
+4°C
Appropriate long-term storage conditions
-20°C
Aliquoting information
Upon delivery aliquot
Storage information
Avoid freeze / thaw cycle

Product protocols

For this product, it's our understanding that no specific protocols are required. You can visit:

Target data

Cleaved by the protease thrombin to yield monomers which, together with fibrinogen beta (FGB) and fibrinogen gamma (FGG), polymerize to form an insoluble fibrin matrix. Fibrin has a major function in hemostasis as one of the primary components of blood clots. In addition, functions during the early stages of wound repair to stabilize the lesion and guide cell migration during re-epithelialization. Was originally thought to be essential for platelet aggregation, based on in vitro studies using anticoagulated blood. However, subsequent studies have shown that it is not absolutely required for thrombus formation in vivo. Enhances expression of SELP in activated platelets via an ITGB3-dependent pathway. Maternal fibrinogen is essential for successful pregnancy. Fibrin deposition is also associated with infection, where it protects against IFNG-mediated hemorrhage. May also facilitate the immune response via both innate and T-cell mediated pathways.
See full target information FGA

Publications (22)

Recent publications for all applications. Explore the full list and refine your search

Scientific reports 15:14401 PubMed40274967

2025

Identification of pivotal genes and regulatory networks associated with SAH based on multi-omics analysis and machine learning.

Applications

Unspecified application

Species

Unspecified reactive species

Haoran Lu,Teng Xie,Xiaohong Qin,Shanshan Wei,Zilong Zhao,Xizhi Liu,Liquan Wu,Rui Ding,Zhibiao Chen

Photoacoustics 43:100722 PubMed40271379

2025

Rapid synergistic thrombolysis of ischemic stroke guided by high-resolution and high-speed photoacoustic cerebrovascular imaging.

Applications

Unspecified application

Species

Unspecified reactive species

Mengtao Han,Zhiwei Xue,Mengchen Yu,Nanlin You,Yaguang Ren,Zhiqiang Xu,Zhifeng Wu,Yiming He,Zonghai Sheng,Chengbo Liu,Donghai Wang,Jingqin Chen

Frontiers in pharmacology 14:1304697 PubMed38143504

2023

Efficacies of S-nitrosoglutathione (GSNO) and GSNO reductase inhibitor in SARS-CoV-2 spike protein induced acute lung disease in mice.

Applications

Unspecified application

Species

Unspecified reactive species

Judong Kim,Fei Qiao,Avtar K Singh,Jeseong Won,Inderjit Singh

Scientific reports 13:21229 PubMed38040826

2023

Residual serum fibrinogen as a universal biomarker for all serotypes of Myasthenia gravis.

Applications

Unspecified application

Species

Unspecified reactive species

Faraz S Hussain,Ramanaguru S Piragasam,Hassan Sarker,Derrick Blackmore,Elaine Yacyshyn,Carlos Fernandez-Patron,Richard P Fahlman,Zaeem A Siddiqi

Cell death & disease 14:717 PubMed37923734

2023

GRSF1 antagonizes age-associated hypercoagulability via modulation of fibrinogen mRNA stability.

Applications

Unspecified application

Species

Unspecified reactive species

Doudou Liu,Chenzhong Xu,Ze Gong,Yijie Zhao,Zhiqiang Fang,Xiaoli Rao,Qingyu Chen,Guodong Li,Wei Kong,Jun Chen

iScience 26:108289 PubMed38034352

2023

Neutrophil extracellular traps and DNases orchestrate formation of peritoneal adhesions.

Applications

Unspecified application

Species

Unspecified reactive species

Julia Elrod,Annika Heuer,Jasmin Knopf,Janina Schoen,Lavinia Schönfeld,Magdalena Trochimiuk,Carolin Stiel,Birgit Appl,Laia Pagerols Raluy,Ceren Saygi,Leticija Zlatar,Sami Hosari,Dmytro Royzman,Thomas H Winkler,Günter Lochnit,Moritz Leppkes,Robert Grützmann,Georg Schett,Christian Tomuschat,Konrad Reinshagen,Martin Herrmann,Tobias A Fuchs,Michael Boettcher

American journal of reproductive immunology (New York, N.Y. : 1989) 90:e13772 PubMed37766406

2023

Decreased level of TREM like Transcript 1 (TLT-1) is associated with prematurity and promotes the in-utero inflammatory response to maternal lipopolysaccharide (LPS) exposure.

Applications

Unspecified application

Species

Unspecified reactive species

Paola E Peña-Garcia,Jessica Morales-Ortiz,Jean Marrero-Polanco,Ariana Virgillio,Barry A Finette,Anthony V Washington,Elizabeth A Bonney

Materials today. Bio 21:100697 PubMed37346779

2023

A targeted activatable NIR-II nanoprobe for positive visualization of anastomotic thrombosis and sensitive identification of fresh fibrinolytic thrombus.

Applications

Unspecified application

Species

Unspecified reactive species

Ying Yuan,Shanchao Diao,Dong Zhang,Wanrong Yi,Baiwen Qi,Xiang Hu,Chen Xie,Quli Fan,Aixi Yu

Translational research : the journal of laboratory and clinical medicine 259:35-45 PubMed37085047

2023

Diabetes mellitus and aortic stenosis head to head: toward personalized medicine in patients with both pathologies.

Applications

Unspecified application

Species

Unspecified reactive species

Nerea Corbacho-Alonso,Tamara Sastre-Oliva,Luis F López-Almodovar,Jorge Solis,Luis R Padial,Teresa Tejerina,Montserrat Carrascal,Laura Mourino-Alvarez,Maria G Barderas

International journal of molecular sciences 23: PubMed36499449

2022

A Pleomorphic Puzzle: Heterogeneous Pulmonary Vascular Occlusions in Patients with COVID-19.

Applications

Unspecified application

Species

Unspecified reactive species

Jeeshan Singh,Irmgard Herrmann,Aparna Mahajan,Christine Schauer,Xiaomei Shan,Arndt Hartmann,Ralf J Rieker,Katja Evert,Christina Falkeis,Elisabeth Naschberger,Saskia von Stillfried,Peter Boor,Luis E Muñoz,Georg Schett,Martin Herrmann,Jasmin Knopf
View all publications

Product promise

We are committed to supporting your work with high-quality reagents, and we're here for you every step of the way. In the unlikely event that one of our products does not perform as expected, you're protected by our Product Promise.
For full details, please see our Terms & Conditions

Please note: All products are 'FOR RESEARCH USE ONLY. NOT FOR USE IN DIAGNOSTIC OR THERAPEUTIC PROCEDURES'.

For licensing inquiries, please contact partnerships@abcam.com