JavaScript is disabled in your browser. Please enable JavaScript to view this website.
AB247586

Anti-Fibrinogen alpha chain antibody [EPR2919] - BSA and Azide free

Be the first to review this product! Submit a review

|

(2 Publications)

Rabbit Recombinant Monoclonal Fibrinogen alpha chain antibody. Carrier free. Suitable for ICC/IF, IP, WB, Flow Cyt (Intra), IHC-P and reacts with Human, Mouse, Rat samples. Cited in 2 publications.

View Alternative Names

Fibrinogen alpha chain, FGA

5 Images
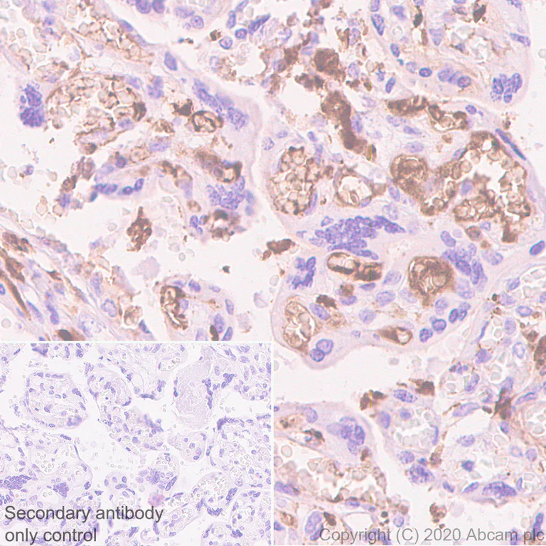
Immunohistochemistry (Formalin/PFA-fixed paraffin-embedded sections) - Anti-Fibrinogen alpha chain antibody [EPR2919] - BSA and Azide free (AB247586)
  • IHC-P

Unknown

Immunohistochemistry (Formalin/PFA-fixed paraffin-embedded sections) - Anti-Fibrinogen alpha chain antibody [EPR2919] - BSA and Azide free (AB247586)

Immunohistochemistry (Formalin/PFA-fixed paraffin-embedded sections) analysis of human placenta tissue sections labeling Fibrinogen alpha chain with purified ab92572 at 1/3000 dilution (0.053 µg/mL). Perform heat mediated antigen retrieval using ab93684 (Tris/EDTA buffer, pH 9.0). ImmunoHistoProbe one step HRP Polymer (ready to use) was used as the secondary antibody. Negative control : PBS instead of the primary antibody. Hematoxylin was used as a counterstain.
This data was developed using the same antibody clone in a different buffer formulation containing PBS, BSA, glycerol, and sodium azide (ab92572).

Immunocytochemistry/ Immunofluorescence - Anti-Fibrinogen alpha chain antibody [EPR2919] - BSA and Azide free (AB247586)
  • ICC/IF

Unknown

Immunocytochemistry/ Immunofluorescence - Anti-Fibrinogen alpha chain antibody [EPR2919] - BSA and Azide free (AB247586)

Immunocytochemistry/ Immunofluorescence analysis of HepG2 (Human hepatocellular carcinoma epithelial cell) cells labeling Fibrinogen alpha chain with purified ab92572 at 1/50 dilution (3.16 μg/mL). Cells were fixed in 4% Paraformaldehyde and permeabilized with 0.1% TritonX-100. Cells were counterstained with ab195889 Anti-alpha Tubulin antibody [DM1A] - Microtubule Marker (Alexa Fluor® 594) 1/200 (2.5 μg/mL). Goat anti rabbit IgG (Alexa Fluor® 488, ab150077) was used as the secondary antibody at 1/1000 (2 μg/mL) dilution. DAPI (blue) was used as nuclear counterstain. PBS instead of the primary antibody was used as the secondary antibody only control.
This data was developed using the same antibody clone in a different buffer formulation containing PBS, BSA, glycerol, and sodium azide (ab92572).

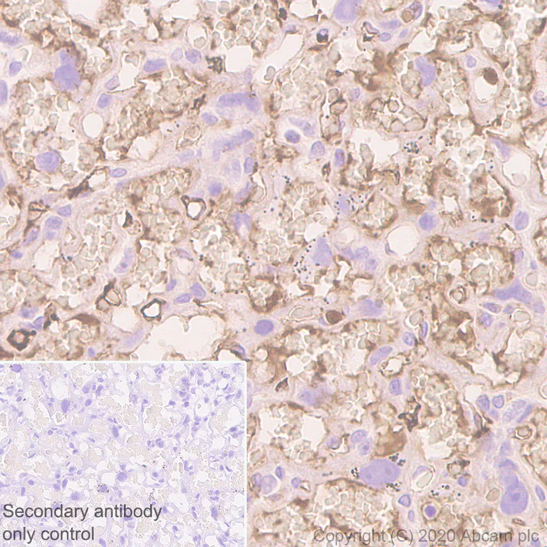
Immunohistochemistry (Formalin/PFA-fixed paraffin-embedded sections) - Anti-Fibrinogen alpha chain antibody [EPR2919] - BSA and Azide free (AB247586)
  • IHC-P

Unknown

Immunohistochemistry (Formalin/PFA-fixed paraffin-embedded sections) - Anti-Fibrinogen alpha chain antibody [EPR2919] - BSA and Azide free (AB247586)

Immunohistochemistry (Formalin/PFA-fixed paraffin-embedded sections) analysis of rat placenta tissue sections labeling Fibrinogen alpha chain with purified ab92572 at 1/3000 dilution (0.053 µg/mL). Perform heat mediated antigen retrieval using ab93684 (Tris/EDTA buffer, pH 9.0). ImmunoHistoProbe one step HRP Polymer (ready to use) was used as the secondary antibody. Negative control : PBS instead of the primary antibody. Hematoxylin was used as a counterstain.
This data was developed using the same antibody clone in a different buffer formulation containing PBS, BSA, glycerol, and sodium azide (ab92572).

Western blot - Anti-Fibrinogen alpha chain antibody [EPR2919] - BSA and Azide free (AB247586)
  • WB

Unknown

Western blot - Anti-Fibrinogen alpha chain antibody [EPR2919] - BSA and Azide free (AB247586)

This data was developed using the same antibody clone in a different buffer formulation containing PBS, BSA, glycerol, and sodium azide (ab92572).

All lanes:

Western blot - Anti-Fibrinogen alpha chain antibody [EPR2919] (<a href='/en-us/products/primary-antibodies/fibrinogen-alpha-chain-antibody-epr2919-ab92572'>ab92572</a>) at 1/10000 dilution

Lane 1:

Human plasma lysate at 15 µg

Lane 2:

Rat platelet lysate at 15 µg

Lane 3:

Rat plasma lysate at 15 µg

Secondary

All lanes:

Western blot - Goat Anti-Rabbit IgG H&L (HRP) (<a href='/en-us/products/secondary-antibodies/goat-rabbit-igg-h-l-hrp-ab97051'>ab97051</a>) at 1/20000 dilution

Predicted band size: 95 kDa

Observed band size: 95 kDa

false

Western blot - Anti-Fibrinogen alpha chain antibody [EPR2919] - BSA and Azide free (AB247586)
  • WB

Supplier Data

Western blot - Anti-Fibrinogen alpha chain antibody [EPR2919] - BSA and Azide free (AB247586)

This data was developed using the same antibody clone in a different buffer formulation containing PBS, BSA, glycerol, and sodium azide (ab92572).

Blocking and diluting buffer : 5% NFDM/TBST.

The bands below 95kDa are probably FGA fragments (PMID : 24937656).

All lanes:

Western blot - Anti-Fibrinogen alpha chain antibody [EPR2919] (<a href='/en-us/products/primary-antibodies/fibrinogen-alpha-chain-antibody-epr2919-ab92572'>ab92572</a>) at 1/1000 dilution

All lanes:

Rat platelet tissue lysate at 20 µg

Secondary

All lanes:

Goat Anti-Rabbit IgG (HRP) with minimal cross-reactivity with human IgG at 1/2000 dilution

Predicted band size: 95 kDa

Observed band size: 95 kDa,35-60 kDa

false

Exposure time: 20s

  • Unconjugated

    Anti-Fibrinogen alpha chain antibody [EPR2919]

  • 775 Alexa Fluor® 750

    Alexa Fluor® 750 Anti-Fibrinogen alpha chain antibody [EPR2919]

  • 617 Alexa Fluor® 594

    Alexa Fluor® 594 Anti-Fibrinogen alpha chain antibody [EPR2919]

  • 660 APC

    APC Anti-Fibrinogen alpha chain antibody [EPR2919]

  • HRP

    HRP Anti-Fibrinogen alpha chain antibody [EPR2919]

  • 665 Alexa Fluor® 647

    Alexa Fluor® 647 Anti-Fibrinogen alpha chain antibody [EPR2919]

  • 565 Alexa Fluor® 555

    Alexa Fluor® 555 Anti-Fibrinogen alpha chain antibody [EPR2919]

  • 603 Alexa Fluor® 568

    Alexa Fluor® 568 Anti-Fibrinogen alpha chain antibody [EPR2919]

  • 578 PE

    PE Anti-Fibrinogen alpha chain antibody [EPR2919]

  • 519 Alexa Fluor® 488

    Alexa Fluor® 488 Anti-Fibrinogen alpha chain antibody [EPR2919]

Key facts

Host species

Rabbit

Clonality

Monoclonal

Clone number

EPR2919

Isotype

IgG

Carrier free

Yes

Reacts with

Mouse, Rat, Human

Applications

Flow Cyt (Intra), WB, IP, ICC/IF, IHC-P

applications

Immunogen

The exact immunogen used to generate this antibody is proprietary information.

Specificity

The immunogen is derived from isoform alpha-E, UniProt accession P02671-1, and the antibody is not expected to detect isoform alpha.

This antibody is not recommended for testing cell lines in western blot.

Reactivity data

{ "title": "Reactivity Data", "filters": { "stats": ["", "Species", "Dilution Info", "Notes"], "tabs": { "all-applications": {"fullname" : "All Applications", "shortname": "All Applications"}, "ICCIF" : {"fullname" : "Immunocytochemistry/ Immunofluorescence", "shortname":"ICC/IF"}, "IP" : {"fullname" : "Immunoprecipitation", "shortname":"IP"}, "WB" : {"fullname" : "Western blot", "shortname":"WB"}, "FlowCytIntra" : {"fullname" : "Flow Cytometry (Intracellular)", "shortname":"Flow Cyt (Intra)"}, "IHCP" : {"fullname" : "Immunohistochemistry (Formalin/PFA-fixed paraffin-embedded sections)", "shortname":"IHC-P"} }, "product-promise": { "all": "all", "testedAndGuaranteed": "tested", "guaranteed": "expected", "predicted": "predicted", "notRecommended": "not-recommended" } }, "values": { "Human": { "ICCIF-species-checked": "testedAndGuaranteed", "ICCIF-species-dilution-info": "", "ICCIF-species-notes": "<p></p>", "IP-species-checked": "guaranteed", "IP-species-dilution-info": "", "IP-species-notes": "<p></p>", "WB-species-checked": "testedAndGuaranteed", "WB-species-dilution-info": "", "WB-species-notes": "<p>This antibody is not recommended for testing cell lines in western blot.</p>", "FlowCytIntra-species-checked": "guaranteed", "FlowCytIntra-species-dilution-info": "", "FlowCytIntra-species-notes": "<p></p>", "IHCP-species-checked": "guaranteed", "IHCP-species-dilution-info": "", "IHCP-species-notes": "" }, "Mouse": { "ICCIF-species-checked": "guaranteed", "ICCIF-species-dilution-info": "", "ICCIF-species-notes": "", "IP-species-checked": "guaranteed", "IP-species-dilution-info": "", "IP-species-notes": "<p></p>", "WB-species-checked": "testedAndGuaranteed", "WB-species-dilution-info": "", "WB-species-notes": "<p>This antibody is not recommended for testing cell lines in western blot.</p>", "FlowCytIntra-species-checked": "guaranteed", "FlowCytIntra-species-dilution-info": "", "FlowCytIntra-species-notes": "<p></p>", "IHCP-species-checked": "testedAndGuaranteed", "IHCP-species-dilution-info": "", "IHCP-species-notes": "<p>Antigen retrieval plus the use of an HRP/AP polymerized secondary antibody is highly recommended for enhanced staining.</p>" }, "Rat": { "ICCIF-species-checked": "guaranteed", "ICCIF-species-dilution-info": "", "ICCIF-species-notes": "", "IP-species-checked": "guaranteed", "IP-species-dilution-info": "", "IP-species-notes": "<p></p>", "WB-species-checked": "testedAndGuaranteed", "WB-species-dilution-info": "", "WB-species-notes": "<p>This antibody is not recommended for testing cell lines in western blot.</p>", "FlowCytIntra-species-checked": "guaranteed", "FlowCytIntra-species-dilution-info": "", "FlowCytIntra-species-notes": "<p></p>", "IHCP-species-checked": "guaranteed", "IHCP-species-dilution-info": "", "IHCP-species-notes": "" } } }

Product details

ab247586 is the carrier-free version of ab92572.

Species reactivity
Mouse: We have preliminary internal testing data to indicate this antibody may not react with this species.
Please contact us for more information.

Patented technology
Our RabMAb® technology is a patented hybridoma-based technology for making rabbit monoclonal antibodies. For details on our patents, please refer to RabMAb® patents.

What are the advantages of a recombinant monoclonal antibody?
This product is a recombinant monoclonal antibody, which offers several advantages including:

  • - High batch-to-batch consistency and reproducibility
  • - Improved sensitivity and specificity
  • - Long-term security of supply
  • - Animal-free batch production

For more information, read more on recombinant antibodies.

Conjugation ready
Our carrier-free antibodies are typically supplied in a PBS-only formulation, purified and free of BSA, sodium azide and glycerol. This conjugation-ready format is designed for use with fluorochromes, metal isotopes, oligonucleotides, and enzymes, which makes them ideal for antibody labelling, functional and cell-based assays, flow-based assays (e.g. mass cytometry) and Multiplex Imaging applications.

Use our conjugation kits for antibody conjugates that are ready-to-use in as little as 20 minutes with 1 minute hands-on-time and 100% antibody recovery: available for fluorescent dyes, HRP, biotin and gold.

Compatibility
This product is compatible with the Maxpar® Antibody Labeling Kit from Fluidigm, without the need for antibody preparation. Maxpar® is a trademark of Fluidigm Canada Inc.

Properties and storage information

Form
Liquid
Purification technique
Affinity purification Protein A
Storage buffer
pH: 7.2 - 7.4 Constituents: PBS
Shipped at conditions
Blue Ice
Appropriate short-term storage conditions
+4°C
Appropriate long-term storage conditions
+4°C
Storage information
Do Not Freeze

Product protocols

For this product, it's our understanding that no specific protocols are required. You can visit:

Target data

Cleaved by the protease thrombin to yield monomers which, together with fibrinogen beta (FGB) and fibrinogen gamma (FGG), polymerize to form an insoluble fibrin matrix. Fibrin has a major function in hemostasis as one of the primary components of blood clots. In addition, functions during the early stages of wound repair to stabilize the lesion and guide cell migration during re-epithelialization. Was originally thought to be essential for platelet aggregation, based on in vitro studies using anticoagulated blood. However, subsequent studies have shown that it is not absolutely required for thrombus formation in vivo. Enhances expression of SELP in activated platelets via an ITGB3-dependent pathway. Maternal fibrinogen is essential for successful pregnancy. Fibrin deposition is also associated with infection, where it protects against IFNG-mediated hemorrhage. May also facilitate the immune response via both innate and T-cell mediated pathways.
See full target information FGA

Publications (2)

Recent publications for all applications. Explore the full list and refine your search

TH open : companion journal to thrombosis and haemostasis 7:e217-e225 PubMed37501780

2023

Levels of Fibrinogen Variants Are Altered in Severe COVID-19.

Applications

Unspecified application

Species

Unspecified reactive species

Judith J de Vries,Chantal Visser,Maureen van Ommen,Casper Rokx,Els van Nood,Eric C M van Gorp,Marco Goeijenbier,Johannes P C van den Akker,Henrik Endeman,Dingeman C Rijken,Marieke J H A Kruip,Miranda Weggeman,Jaap Koopman,Moniek P M de Maat

Obesity (Silver Spring, Md.) 30:666-679 PubMed35170865

2022

Exosomal miR-122 promotes adipogenesis and aggravates obesity through the VDR/SREBF1 axis.

Applications

Unspecified application

Species

Unspecified reactive species

Xiao-Yan Huang,Ji-Xiong Chen,Yi Ren,Li-Chun Fan,Wei Xiang,Xiao-Jie He
View all publications

Product promise

We are committed to supporting your work with high-quality reagents, and we're here for you every step of the way. In the unlikely event that one of our products does not perform as expected, you're protected by our Product Promise.
For full details, please see our Terms & Conditions

Please note: All products are 'FOR RESEARCH USE ONLY. NOT FOR USE IN DIAGNOSTIC OR THERAPEUTIC PROCEDURES'.

For licensing inquiries, please contact partnerships@abcam.com