JavaScript is disabled in your browser. Please enable JavaScript to view this website.
AB34269

Anti-Fibrinogen antibody

4

(14 Reviews)

|

(97 Publications)

Anti-Fibrinogen antibody (ab34269) is a rabbit polyclonal antibody detecting Fibrinogen in IHC-P, ICC/IF, ELISA, FuncS. Suitable for Human, Mouse, Rabbit.

- Over 60 publications
- Trusted since 2006

View Alternative Names

Fibrinogen alpha chain, FGA

6 Images
Immunohistochemistry (Formalin/PFA-fixed paraffin-embedded sections) - Anti-Fibrinogen antibody (AB34269)
  • IHC-P

AbReview27258****

Immunohistochemistry (Formalin/PFA-fixed paraffin-embedded sections) - Anti-Fibrinogen antibody (AB34269)

ab34269 staining Fibrinogen in Human liver/placenta tissue by Immunohistochemistry (Formalin/PFA-fixed paraffin-embedded tissue sections). The sections were fixed in formaldehyde and subjected to heat-mediated antigen retrieval in citrate buffer, pH 6.0 for 20 minutes at 100°C. The primary antibody was diluted 1/2000 and incubated with the sample for 20 minutes at 25°C. An HRP polymer-conjugated mouse anti-rabbit polyclonal IgG was used as the secondary antibody.

This image is courtesy of an anonymous Abreview.

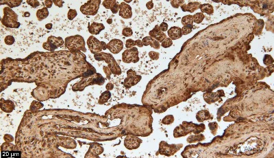
Immunohistochemistry (Formalin/PFA-fixed paraffin-embedded sections) - Anti-Fibrinogen antibody (AB34269)
  • IHC-P

Unknown

Immunohistochemistry (Formalin/PFA-fixed paraffin-embedded sections) - Anti-Fibrinogen antibody (AB34269)

ab34269 staining human liver. Staining is localized to the cytoplasm.
Left panel : with primary antibody at 1/50. Right panel : isotype control.
Sections were stained using an automated system (Dako PT Link), at room temperature. Sections were rehydrated and antigen retrieved with the Dako 3-in-1 antigen retrieval buffer, citrate pH 6.0. Slides were peroxidase blocked in 3% H2O2 in methanol for 10 minutes. They were then blocked with Dako Protein block for 10 minutes (containing casein 0.25% in PBS) then incubated with primary antibody for 20 minutes and detected with Dako Envision Flex amplification kit for 30 minutes. Colorimetric detection was completed with diaminobenzidine for 5 minutes. Slides were counterstained with Haematoxylin and coverslipped under DePeX. Please note that for manual staining we recommend to optimize the primary antibody concentration and incubation time (overnight incubation), and amplification may be required.

Immunohistochemistry (Formalin/PFA-fixed paraffin-embedded sections) - Anti-Fibrinogen antibody (AB34269)
  • IHC-P

AbReview77645****

Immunohistochemistry (Formalin/PFA-fixed paraffin-embedded sections) - Anti-Fibrinogen antibody (AB34269)

Immunohistochemistry analysis (Formalin/PFA-fixed paraffin-embedded sections) of paraformaldehyde fixed human placenta tissue. Stained with ab34269 at 1/50 dilution. Secondary antibody used was EnVision+ System- HRP Labelled Polymer anti rabbit. Blocking was done with 5% serum for 1 hour at 21°C. The sample was incubated with the primary antibody and 5% normal goat serum for 19 hours at 4°C. Antigen retrieval method was heat mediated Tris/EDTA pH 9.0

This image is courtesy of an anonymous Abreview

Sandwich ELISA - Anti-Fibrinogen antibody (AB34269)
  • sELISA

Unknown

Sandwich ELISA - Anti-Fibrinogen antibody (AB34269)

Standard Curve for Fibrinogen (Analyte : Fibrinogen protein (Human) (ab84410)); dilution range 1pg/ml to 1μg/ml using Capture Antibody Mouse monoclonal [1F7] to Fibrinopeptide A (ab14790) at 5μg/ml and Detector Antibody Rabbit polyclonal to Fibrinogen (ab34269) at 1/2000.

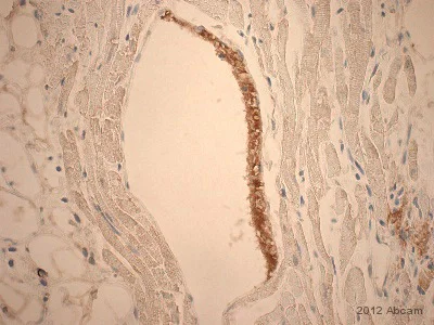
Immunohistochemistry (Formalin/PFA-fixed paraffin-embedded sections) - Anti-Fibrinogen antibody (AB34269)
  • IHC-P

AbReview32450****

Immunohistochemistry (Formalin/PFA-fixed paraffin-embedded sections) - Anti-Fibrinogen antibody (AB34269)

Immunohistochemical analysis of rat heart, staining Fibrinogen with ab34269.

Tissue was fixed with formaldehyde and blocked with 0.25% BSA for 15 minutes at room temperature; antigen retrieval was by heat mediation in citrate buffer. Samples were incubated with primary antibody (1.5 μg/ml in 1% BSA in TBS) for 20 minutes. An undiluted HRP-conjugated goat anti-rabbit polyclonal IgG was used as the secondary antibody.

This image is courtesy of an anonymous Abreview

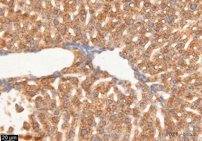
Immunohistochemistry (Formalin/PFA-fixed paraffin-embedded sections) - Anti-Fibrinogen antibody (AB34269)
  • IHC-P

AbReview77646****

Immunohistochemistry (Formalin/PFA-fixed paraffin-embedded sections) - Anti-Fibrinogen antibody (AB34269)

Immunohistochemistry analysis (Formalin/PFA-fixed paraffin-embedded sections) of paraformaldehyde fixed mouse liver tissue. Stained with ab34269 at 1/50 dilution. Secondary antibody used was EnVision+ System- HRP Labelled Polymer anti rabbit. Blocking was done with 5% serum for 1 hour at 21°C. The sample was incubated with the primary antibody and 5% normal goat serum for 19 hours at 4°C. Antigen retrieval method was heat mediated Tris/EDTA pH 9.0

This image is courtesy of an anonymous Abreview

Key facts

Host species

Rabbit

Clonality

Polyclonal

Isotype

IgG

Carrier free

No

Reacts with

Human, Rabbit, Mouse

Applications

sELISA, FuncS, ICC/IF, IHC-P

applications

Immunogen

Native Full Length Protein corresponding to Human FGA.

P02671

Reactivity data

{ "title": "Reactivity Data", "filters": { "stats": ["", "Species", "Dilution Info", "Notes"], "tabs": { "all-applications": {"fullname" : "All Applications", "shortname": "All Applications"}, "IHCP" : {"fullname" : "Immunohistochemistry (Formalin/PFA-fixed paraffin-embedded sections)", "shortname":"IHC-P"}, "sELISA" : {"fullname" : "Sandwich ELISA", "shortname":"sELISA"}, "FuncS" : {"fullname" : "Functional Studies", "shortname":"FuncS"}, "ICCIF" : {"fullname" : "Immunocytochemistry/ Immunofluorescence", "shortname":"ICC/IF"} }, "product-promise": { "all": "all", "testedAndGuaranteed": "tested", "guaranteed": "expected", "predicted": "predicted", "notRecommended": "not-recommended" } }, "values": { "Human": { "IHCP-species-checked": "testedAndGuaranteed", "IHCP-species-dilution-info": "1/50", "IHCP-species-notes": "<p></p> Perform heat-mediated antigen retrieval before commencing with IHC staining protocol.", "sELISA-species-checked": "guaranteed", "sELISA-species-dilution-info": "", "sELISA-species-notes": "", "FuncS-species-checked": "guaranteed", "FuncS-species-dilution-info": "", "FuncS-species-notes": "<p>This antibody has been tested in plasma clotting assays. The plasma clotting time was prolonged (but not completely neutralized) by the antibody. Testing has indicated that these neutralisation assays work only when this antibody has been protein A column purified first.</p>", "ICCIF-species-checked": "guaranteed", "ICCIF-species-dilution-info": "", "ICCIF-species-notes": "<p></p>" }, "Mouse": { "IHCP-species-checked": "predicted", "IHCP-species-dilution-info": "", "IHCP-species-notes": "", "sELISA-species-checked": "predicted", "sELISA-species-dilution-info": "", "sELISA-species-notes": "", "FuncS-species-checked": "guaranteed", "FuncS-species-dilution-info": "", "FuncS-species-notes": "<p>This antibody has been tested in plasma clotting assays. The plasma clotting time was prolonged (but not completely neutralized) by the antibody. Testing has indicated that these neutralisation assays work only when this antibody has been protein A column purified first.</p>", "ICCIF-species-checked": "guaranteed", "ICCIF-species-dilution-info": "", "ICCIF-species-notes": "<p></p>" }, "Rat": { "IHCP-species-checked": "predicted", "IHCP-species-dilution-info": "", "IHCP-species-notes": "", "sELISA-species-checked": "predicted", "sELISA-species-dilution-info": "", "sELISA-species-notes": "", "FuncS-species-checked": "predicted", "FuncS-species-dilution-info": "", "FuncS-species-notes": "", "ICCIF-species-checked": "predicted", "ICCIF-species-dilution-info": "", "ICCIF-species-notes": "" }, "Rabbit": { "IHCP-species-checked": "predicted", "IHCP-species-dilution-info": "", "IHCP-species-notes": "", "sELISA-species-checked": "predicted", "sELISA-species-dilution-info": "", "sELISA-species-notes": "", "FuncS-species-checked": "guaranteed", "FuncS-species-dilution-info": "", "FuncS-species-notes": "<p>This antibody has been tested in plasma clotting assays. The plasma clotting time was prolonged (but not completely neutralized) by the antibody. Testing has indicated that these neutralisation assays work only when this antibody has been protein A column purified first.</p>", "ICCIF-species-checked": "guaranteed", "ICCIF-species-dilution-info": "", "ICCIF-species-notes": "<p></p>" }, "Recombinant full length protein - Human": { "IHCP-species-checked": "notRecommended", "IHCP-species-dilution-info": "", "IHCP-species-notes": "", "sELISA-species-checked": "testedAndGuaranteed", "sELISA-species-dilution-info": "", "sELISA-species-notes": "<p>For sandwich ELISA, use this antibody as Detection at 1/200 dilution with Mouse monoclonal [1F7] to Fibrinopeptide A (<a href='/en-us/products/unavailable/fibrinopeptide-a-do-not-use-duplicate-use-309835-instead-antibody-1f7-ab14790'>ab14790</a>) as Capture.</p>", "FuncS-species-checked": "notRecommended", "FuncS-species-dilution-info": "", "FuncS-species-notes": "", "ICCIF-species-checked": "notRecommended", "ICCIF-species-dilution-info": "", "ICCIF-species-notes": "" } } }

Product details

Anti-Fibrinogen antibody (ab34269) is a rabbit polyclonal antibody and is validated for use in FuncS, ICC/IF, IHC-P, sELISA in human, mouse samples.

Anti-Fibrinogen antibody (ab34269) has been cited over 69 times in peer reviewed journals and is trusted by the scientific community.

Abcam's high quality validation processes ensure Anti-Fibrinogen antibody (ab34269) has high sensitivity and specificity.

Anti-Fibrinogen antibody (ab34269) has 12 independent reviews from customers.

Anti-Fibrinogen antibody (ab34269) specifically detects Fibrinogen (UniProt ID: P02671; Molecular weight: 2kDa) and is sold in 125 µL selling sizes.

Fibrinogen is a crucial protein involved in blood clotting and coagulation. Utilizing fibrinogen antibody can significantly enhance the detection and study of fibrinogen levels. Elevated fibrinogen levels are associated with increased risk of cardiovascular disease and inflammation, making it a vital biomarker for assessing health and disease.

Properties and storage information

Form
Liquid
Purity
Whole antiserum
Storage buffer
Constituents: Whole serum
Shipped at conditions
Blue Ice
Appropriate short-term storage duration
1-2 weeks
Appropriate short-term storage conditions
+4°C
Appropriate long-term storage conditions
-20°C
Aliquoting information
Upon delivery aliquot

Product protocols

For this product, it's our understanding that no specific protocols are required. You can visit:

Target data

Cleaved by the protease thrombin to yield monomers which, together with fibrinogen beta (FGB) and fibrinogen gamma (FGG), polymerize to form an insoluble fibrin matrix. Fibrin has a major function in hemostasis as one of the primary components of blood clots. In addition, functions during the early stages of wound repair to stabilize the lesion and guide cell migration during re-epithelialization. Was originally thought to be essential for platelet aggregation, based on in vitro studies using anticoagulated blood. However, subsequent studies have shown that it is not absolutely required for thrombus formation in vivo. Enhances expression of SELP in activated platelets via an ITGB3-dependent pathway. Maternal fibrinogen is essential for successful pregnancy. Fibrin deposition is also associated with infection, where it protects against IFNG-mediated hemorrhage. May also facilitate the immune response via both innate and T-cell mediated pathways.
See full target information FGA

Publications (97)

Recent publications for all applications. Explore the full list and refine your search

Frontiers in physiology 16:1658389 PubMed40964620

2025

Blood-spinal cord barrier alterations in a mouse model of centrifugation-induced hypergravity.

Applications

Unspecified application

Species

Unspecified reactive species

David Dubayle,Jean-Luc Morel,Sighild Lemarchant

Frontiers in neurology 16:1619683 PubMed40832153

2025

Thrombus composition and distribution patterns by thrombus volume in acute ischemic stroke.

Applications

Unspecified application

Species

Unspecified reactive species

Jaeseob Yun,Jae Wook Jung,Kwang Hyun Kim,Hyo Suk Nam,JoonNyung Heo,Hyungwoo Lee,Byung Moon Kim,Dong Joon Kim,Minyoul Baik,Joonsang Yoo,Jinkwon Kim,Hyungjong Park,Sung-Il Sohn,Jeong-Ho Hong,Tae-Jin Song,Yoonkyung Chang,Jung Hwa Seo,Gyu Sik Kim,Kwon-Duk Seo,Seong Hwan Ahn,Jang-Hyun Baek,Han-Jin Cho,Jin Kyo Choi,Yo Han Jung,Bang-Hoon Cho,Il Kwon,Ji Hoe Heo,Young Dae Kim

Nature communications 16:5784 PubMed40593736

2025

Human protein interaction networks of ancestral and variant SARS-CoV-2 in organ-specific cells and bodily fluids.

Applications

Unspecified application

Species

Unspecified reactive species

Kirsten Broderick,Mohamed Taha Moutaoufik,Tatiana Saccon,Ramy Malty,Shahreen Amin,Sadhna Phanse,Thomson Patrick Joseph,Mara Zilocchi,Ali Hosseinnia,Zoe Istace,Maryam Hajikarimlou,Sakib Abrar,Jade Fisher,Raelynn Brassard,Ranawaka Perera,Anil Kumar,Hiroyuki Aoki,Matineh Rahmatbakhsh,Matthew Jessulat,Darwyn Kobasa,Frank Dehne,Bhanu Prasad,Alla Gagarinova,M Joanne Lemieux,Alan Cochrane,Walid A Houry,Khaled A Aly,Ashkan Golshani,Mohan Babu

Nature communications 16:4356 PubMed40348793

2025

A minimally invasive thrombotic model to study stroke in awake mice.

Applications

Unspecified application

Species

Unspecified reactive species

Kimberly Marks,Sung-Ji Ahn,Ninamma Rai,Antoine Anfray,Costantino Iadecola,Josef Anrather

The Journal of clinical investigation 135: PubMed40048367

2025

Acute kidney injury triggers hypoxemia by lung intravascular neutrophil retention that reduces capillary blood flow.

Applications

Unspecified application

Species

Unspecified reactive species

Yohei Komaru,Liang Ning,Carine Lama,Anusha Suresh,Eirini Kefaloyianni,Mark J Miller,Shinichi Kawana,Hailey M Shepherd,Wenjun Li,Daniel Kreisel,Andreas Herrlich

Open medicine (Warsaw, Poland) 20:20241137 PubMed39927163

2025

Lysophosphatidic acid 2 alleviates deep vein thrombosis via protective endothelial barrier function.

Applications

Unspecified application

Species

Unspecified reactive species

Ruifeng Bai,Xinyang Yue,Xuan Tian,Huiru Zhao,Ying Liu,Tian Li,Jun Wu

iScience 28:111548 PubMed39897939

2025

Neonatal infection with promotes autism-like phenotypes in mice.

Applications

Unspecified application

Species

Unspecified reactive species

Eoin O'Neill,Lucy Curham,Caitlín Ní Chasaide,Síofra O'Brien,Gavin McManus,Barry Moran,Keith Rubin,Steven Glazer,Marina A Lynch,Kingston H G Mills

Advanced materials (Deerfield Beach, Fla.) 36:e2407156 PubMed39543808

2024

Biocooperative Regenerative Materials by Harnessing Blood-Clotting and Peptide Self-Assembly.

Applications

Unspecified application

Species

Unspecified reactive species

Soraya Padilla-Lopategui,Cosimo Ligorio,Wenhuan Bu,Chengcheng Yin,Domenico Laurenza,Carlos Redondo,Robert Owen,Hongchen Sun,Felicity R A J Rose,Thomas Iskratsch,Alvaro Mata

International journal of molecular sciences 25: PubMed39519297

2024

Localization of Hemostasis Elements in Aspirated Coronary Thrombi at Different Stages of Evolution.

Applications

Unspecified application

Species

Unspecified reactive species

Dóra Pituk,László Balogh,Emőke Horváth,Zoltán Hegyi,Barbara Baráth,Réka Bogáti,Péter Szűcs,Zoltán Papp,Éva Katona,Zsuzsanna Bereczky

Heliyon 10:e39607 PubMed39506961

2024

Brain-targeting liposome-based gene delivery exacerbates soluble amyloid-β accumulation in mice.

Applications

Unspecified application

Species

Unspecified reactive species

Ni Wang,Tammee M Parsons,Yingxue Ren,Yining Pan,Aishe Kurti,Skylar C Starling,Chinenye Muolokwu,Jagdish Singh,Takahisa Kanekiyo
View all publications

Product promise

We are committed to supporting your work with high-quality reagents, and we're here for you every step of the way. In the unlikely event that one of our products does not perform as expected, you're protected by our Product Promise.
For full details, please see our Terms & Conditions

Please note: All products are 'FOR RESEARCH USE ONLY. NOT FOR USE IN DIAGNOSTIC OR THERAPEUTIC PROCEDURES'.

For licensing inquiries, please contact partnerships@abcam.com