JavaScript is disabled in your browser. Please enable JavaScript to view this website.
AB189490

Anti-Fibrinogen beta chain antibody [EPR18145-84]

Be the first to review this product! Submit a review

|

(13 Publications)

Rabbit Recombinant Monoclonal Fibrinogen beta chain antibody. Suitable for WB, IHC-P and reacts with Mouse, Rat, Human samples. Cited in 13 publications.

View Alternative Names

Fibrinogen beta chain, FGB

6 Images
Immunohistochemistry (Formalin/PFA-fixed paraffin-embedded sections) - Anti-Fibrinogen beta chain antibody [EPR18145-84] (AB189490)
  • IHC-P

Supplier Data

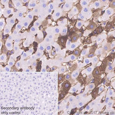
Immunohistochemistry (Formalin/PFA-fixed paraffin-embedded sections) - Anti-Fibrinogen beta chain antibody [EPR18145-84] (AB189490)

Immunohistochemical analysis of paraffin-embedded rat liver tissue labeling Fibrinogen beta with ab189490 at 1/4000 dilution, followed by Goat Anti-Rabbit IgG H&L (HRP) ready to use. Positive staining on hepatocytes and blood vessels of mouse liver (PMID : 10467729; PMID : 3778466) is observed. Counter stained with hematoxylin.

Secondary antibody only control : Used PBS instead of primary antibody, secondary antibody is Goat Anti-Rabbit IgG H&L (HRP) ready to use.

Perform heat mediated antigen retrieval with Tris/EDTA buffer pH 9.0 before commencing with IHC staining protocol.

Immunohistochemistry (Formalin/PFA-fixed paraffin-embedded sections) - Anti-Fibrinogen beta chain antibody [EPR18145-84] (AB189490)
  • IHC-P

Supplier Data

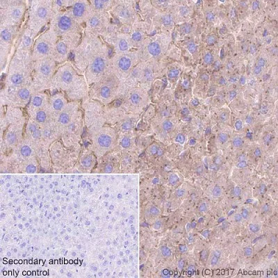
Immunohistochemistry (Formalin/PFA-fixed paraffin-embedded sections) - Anti-Fibrinogen beta chain antibody [EPR18145-84] (AB189490)

Immunohistochemical analysis of paraffin-embedded mouse liver tissue labeling Fibrinogen beta with ab189490 at 1/4000 dilution, followed by Goat Anti-Rabbit IgG H&L (HRP) ready to use. Positive staining on hepatocytes and blood vessels of mouse liver (PMID : 10467729; PMID : 3778466) is observed. Counter stained with hematoxylin.

Secondary antibody only control : Used PBS instead of primary antibody, secondary antibody is Goat Anti-Rabbit IgG H&L (HRP) ready to use.

Perform heat mediated antigen retrieval with Tris/EDTA buffer pH 9.0 before commencing with IHC staining protocol.

Immunohistochemistry (Formalin/PFA-fixed paraffin-embedded sections) - Anti-Fibrinogen beta chain antibody [EPR18145-84] (AB189490)
  • IHC-P

Supplier Data

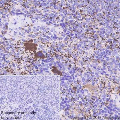
Immunohistochemistry (Formalin/PFA-fixed paraffin-embedded sections) - Anti-Fibrinogen beta chain antibody [EPR18145-84] (AB189490)

Immunohistochemical analysis of paraffin-embedded rat spleen tissue labeling Fibrinogen beta with ab189490 at 1/4000 dilution, followed by Goat Anti-Rabbit IgG H&L (HRP) ready to use. Positive staining on hepatocytes and blood vessels of mouse liver (PMID : 3778466) is observed. Counter stained with hematoxylin.

Secondary antibody only control : Used PBS instead of primary antibody, secondary antibody is Goat Anti-Rabbit IgG H&L (HRP) ready to use.

Perform heat mediated antigen retrieval with Tris/EDTA buffer pH 9.0 before commencing with IHC staining protocol.

Immunohistochemistry (Formalin/PFA-fixed paraffin-embedded sections) - Anti-Fibrinogen beta chain antibody [EPR18145-84] (AB189490)
  • IHC-P

Supplier Data

Immunohistochemistry (Formalin/PFA-fixed paraffin-embedded sections) - Anti-Fibrinogen beta chain antibody [EPR18145-84] (AB189490)

Immunohistochemical analysis of paraffin-embedded mouse spleen tissue labeling Fibrinogen beta with ab189490 at 1/4000 dilution, followed by Goat Anti-Rabbit IgG H&L (HRP) ready to use. Positive staining on hepatocytes and blood vessels of mouse liver (PMID : 3778466) is observed. Counter stained with hematoxylin.

Secondary antibody only control : Used PBS instead of primary antibody, secondary antibody is Goat Anti-Rabbit IgG H&L (HRP) ready to use.

Perform heat mediated antigen retrieval with Tris/EDTA buffer pH 9.0 before commencing with IHC staining protocol.

Western blot - Anti-Fibrinogen beta chain antibody [EPR18145-84] (AB189490)
  • WB

Supplier Data

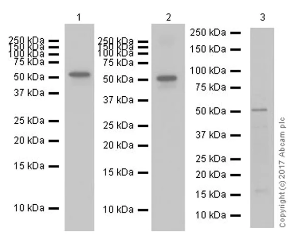
Western blot - Anti-Fibrinogen beta chain antibody [EPR18145-84] (AB189490)

Blocking and dilution buffer : 5% NFDM/TBST

Exposure times :

Lane 1 : 3 seconds

Lane 2 : 1 second

Lane 3 : 3 minutes

All lanes:

Western blot - Anti-Fibrinogen beta chain antibody [EPR18145-84] (ab189490) at 1/1000 dilution

Lane 1:

HepG2 (human liver hepatocellular carcinoma cell line) whole cell lysate at 10 µg

Lane 2:

Rat liver lysate at 10 µg

Lane 3:

Hepa1-6 (mouse hepatoma epithelial cell line) whole cell lysate at 10 µg

Secondary

All lanes:

Western blot - Goat Anti-Rabbit IgG H&L (HRP) (<a href='/en-us/products/secondary-antibodies/goat-rabbit-igg-h-l-hrp-ab97051'>ab97051</a>) at 1/100000 dilution

Predicted band size: 56 kDa

Observed band size: 55 kDa

true

Western blot - Anti-Fibrinogen beta chain antibody [EPR18145-84] (AB189490)
  • WB

Supplier Data

Western blot - Anti-Fibrinogen beta chain antibody [EPR18145-84] (AB189490)

Blocking and dilution buffer : 5% NFDM/TBST

Exposure times :

Lanes 1-4 : 3 seconds

Lane 5 : 2 seconds

Lane 6 : 1 minute

All lanes:

Western blot - Anti-Fibrinogen beta chain antibody [EPR18145-84] (ab189490) at 1/1000 dilution

Lane 1:

Human liver lysate at 20 µg

Lane 2:

Human plasma at 20 µg

Lane 3:

Rat plasma at 20 µg

Lane 4:

Rat platelet lysate at 20 µg

Lane 5:

Mouse plasma at 20 µg

Lane 6:

Rat liver lysate at 20 µg

Secondary

Lanes 1 - 2:

Western blot - VeriBlot for IP Detection Reagent (HRP) (<a href='/en-us/products/reagents/veriblot-for-ip-detection-reagent-hrp-ab131366'>ab131366</a>) at 1/4000 dilution

Lanes 3 - 6:

Western blot - Goat Anti-Rabbit IgG H&L (HRP) (<a href='/en-us/products/secondary-antibodies/goat-rabbit-igg-h-l-hrp-ab97051'>ab97051</a>) at 1/100000 dilution

Predicted band size: 56 kDa

Observed band size: 55 kDa

true

  • Carrier free

    Anti-Fibrinogen beta chain antibody [EPR18145-84] - BSA and Azide free

  • Carrier free

    Anti-Fibrinogen antibody [EPR18145-84] - BSA and Azide free (Capture)

Key facts

Host species

Rabbit

Clonality

Monoclonal

Clone number

EPR18145-84

Isotype

IgG

Carrier free

No

Reacts with

Mouse, Rat, Human

Applications

IHC-P, WB

applications

Immunogen

The exact immunogen used to generate this antibody is proprietary information.

Reactivity data

{ "title": "Reactivity Data", "filters": { "stats": ["", "Species", "Dilution Info", "Notes"], "tabs": { "all-applications": {"fullname" : "All Applications", "shortname": "All Applications"}, "WB" : {"fullname" : "Western blot", "shortname":"WB"}, "IHCP" : {"fullname" : "Immunohistochemistry (Formalin/PFA-fixed paraffin-embedded sections)", "shortname":"IHC-P"} }, "product-promise": { "all": "all", "testedAndGuaranteed": "tested", "guaranteed": "expected", "predicted": "predicted", "notRecommended": "not-recommended" } }, "values": { "Human": { "WB-species-checked": "testedAndGuaranteed", "WB-species-dilution-info": "1/1000", "WB-species-notes": "<p></p>", "IHCP-species-checked": "guaranteed", "IHCP-species-dilution-info": "", "IHCP-species-notes": "" }, "Mouse": { "WB-species-checked": "testedAndGuaranteed", "WB-species-dilution-info": "1/1000", "WB-species-notes": "<p></p>", "IHCP-species-checked": "testedAndGuaranteed", "IHCP-species-dilution-info": "1/4000", "IHCP-species-notes": "<p>This antibody is not recommended for human species in IHC application due to nonspecific staining on human stromal cells.</p> Perform heat-mediated antigen retrieval with Tris/EDTA buffer pH 9.0 before commencing with IHC staining protocol." }, "Rat": { "WB-species-checked": "testedAndGuaranteed", "WB-species-dilution-info": "1/1000", "WB-species-notes": "<p></p>", "IHCP-species-checked": "testedAndGuaranteed", "IHCP-species-dilution-info": "1/4000", "IHCP-species-notes": "<p>This antibody is not recommended for human species in IHC application due to nonspecific staining on human stromal cells.</p> Perform heat-mediated antigen retrieval with Tris/EDTA buffer pH 9.0 before commencing with IHC staining protocol." } } }

Product details

Patented technology
Our RabMAb® technology is a patented hybridoma-based technology for making rabbit monoclonal antibodies. For details on our patents, please refer to RabMAb® patents.

What are the advantages of a recombinant monoclonal antibody?
This product is a recombinant monoclonal antibody, which offers several advantages including:

  • - High batch-to-batch consistency and reproducibility
  • - Improved sensitivity and specificity
  • - Long-term security of supply
  • - Animal-free batch production

For more information, read more on recombinant antibodies.

Properties and storage information

Form
Liquid
Purification technique
Affinity purification Protein A
Storage buffer
pH: 7.2 - 7.4 Preservative: 0.01% Sodium azide Constituents: PBS, 40% Glycerol (glycerin, glycerine), 0.05% BSA
Shipped at conditions
Blue Ice
Appropriate short-term storage duration
1-2 weeks
Appropriate short-term storage conditions
+4°C
Appropriate long-term storage conditions
-20°C
Aliquoting information
Upon delivery aliquot
Storage information
Avoid freeze / thaw cycle

Product protocols

For this product, it's our understanding that no specific protocols are required. You can visit:

Target data

Cleaved by the protease thrombin to yield monomers which, together with fibrinogen alpha (FGA) and fibrinogen gamma (FGG), polymerize to form an insoluble fibrin matrix. Fibrin has a major function in hemostasis as one of the primary components of blood clots. In addition, functions during the early stages of wound repair to stabilize the lesion and guide cell migration during re-epithelialization. Was originally thought to be essential for platelet aggregation, based on in vitro studies using anticoagulated blood. However subsequent studies have shown that it is not absolutely required for thrombus formation in vivo. Enhances expression of SELP in activated platelets. Maternal fibrinogen is essential for successful pregnancy. Fibrin deposition is also associated with infection, where it protects against IFNG-mediated hemorrhage. May also facilitate the antibacterial immune response via both innate and T-cell mediated pathways.
See full target information Fibrinogen beta chain

Publications (13)

Recent publications for all applications. Explore the full list and refine your search

British journal of pharmacology 182:3577-3593 PubMed40194543

2025

Fibrin induces infiltration of macrophages and neutrophils via integrin αMβ2 and triggers aortic dissection.

Applications

Unspecified application

Species

Unspecified reactive species

Jie Li,Jixiu Zhang,Lingwei Zou,Meifang Cao,Zhonghui Zhu,Li Yu,Min Zhou,Weiguo Fu,Zhihui Dong,Huiyuan Gao,Baohong Jiang

Chinese medicine 19:137 PubMed39369234

2024

Proteomic analysis and experimental validation reveal the blood-brain barrier protective of Huanshaodan in the treatment of SAMP8 mouse model of Alzheimer's disease.

Applications

Unspecified application

Species

Unspecified reactive species

Yunfang Su,Ningning Liu,Pan Wang,Congcong Shang,Ruiqin Sun,Jinlian Ma,Zhonghua Li,Huifen Ma,Yiran Sun,Zijuan Zhang,Junying Song,Zhishen Xie,Jiangyan Xu,Zhenqiang Zhang

Research and practice in thrombosis and haemostasis 8:102325 PubMed38404939

2024

Evaluation of the ability of commercial enzyme-linked immunosorbent assays to measure mouse tissue factor.

Applications

Unspecified application

Species

Unspecified reactive species

Ana T A Sachetto,Nigel Mackman

The Journal of clinical investigation 134: PubMed38357922

2024

Interferon-α receptor antisense oligonucleotides reduce neuroinflammation and neuropathology in a mouse model of cerebral interferonopathy.

Applications

Unspecified application

Species

Unspecified reactive species

Barney Viengkhou,Christine Hong,Curt Mazur,Sagar Damle,Nicholas B Gallo,Terry C Fang,Kate Henry,Iain L Campbell,Fredrik Kamme,Markus J Hofer

Cell death & disease 14:717 PubMed37923734

2023

GRSF1 antagonizes age-associated hypercoagulability via modulation of fibrinogen mRNA stability.

Applications

Unspecified application

Species

Unspecified reactive species

Doudou Liu,Chenzhong Xu,Ze Gong,Yijie Zhao,Zhiqiang Fang,Xiaoli Rao,Qingyu Chen,Guodong Li,Wei Kong,Jun Chen

Medical oncology (Northwood, London, England) 40:10 PubMed36352295

2022

Fibrinogen promotes gallbladder cancer cell metastasis and extravasation by inducing ICAM1 expression.

Applications

Unspecified application

Species

Unspecified reactive species

Chengkai Jiang,Yang Li,Yongsheng Li,Liguo Liu,Xu-An Wang,Wenguang Wu,Runfa Bao,Hao Weng,Maolan Li,Yajun Geng,Yijun Shu,Yingbin Liu

JCI insight 7: PubMed35700057

2022

EPCR-PAR1 biased signaling regulates perfusion recovery and neovascularization in peripheral ischemia.

Applications

Unspecified application

Species

Unspecified reactive species

Magdalena L Bochenek,Rajinikanth Gogiraju,Stefanie Großmann,Janina Krug,Jennifer Orth,Sabine Reyda,George S Georgiadis,Henri M Spronk,Stavros Konstantinides,Thomas Münzel,John H Griffin,Philipp Wild,Christine Espinola-Klein,Wolfram Ruf,Katrin Schäfer

Cell death & disease 13:207 PubMed35246505

2022

The mmu_circRNA_37492/hsa_circ_0012138 function as potential ceRNA to attenuate obstructive renal fibrosis.

Applications

Unspecified application

Species

Unspecified reactive species

Xu Cheng,Kai Ai,Lei Yi,Wentao Liu,Yijian Li,Yinhuai Wang,Dongshan Zhang

Cellular and molecular gastroenterology and hepatology 11:683-696 PubMed33075564

2020

Fibrinogen/AKT/Microfilament Axis Promotes Colitis by Enhancing Vascular Permeability.

Applications

Unspecified application

Species

Unspecified reactive species

Chong Zhang,Honglv Chen,Qiaoling He,Yiqin Luo,Andong He,Ailin Tao,Jie Yan

Haematologica 106:2469-2477 PubMed32817286

2020

Interleukin-1 receptor inhibition reduces stroke size in a murine model of sickle cell disease.

Applications

Unspecified application

Species

Unspecified reactive species

Jessica Venugopal,Jintao Wang,Jalal Mawri,Chiao Guo,Daniel Eitzman
View all publications

Product promise

We are committed to supporting your work with high-quality reagents, and we're here for you every step of the way. In the unlikely event that one of our products does not perform as expected, you're protected by our Product Promise.
For full details, please see our Terms & Conditions

Please note: All products are 'FOR RESEARCH USE ONLY. NOT FOR USE IN DIAGNOSTIC OR THERAPEUTIC PROCEDURES'.

For licensing inquiries, please contact partnerships@abcam.com