JavaScript is disabled in your browser. Please enable JavaScript to view this website.
AB227063

Anti-Fibrinogen beta chain antibody [EPR18145-84] - BSA and Azide free

5

(1 Review)

|

(5 Publications)

Rabbit Recombinant Monoclonal Fibrinogen beta chain antibody. Carrier free. Suitable for WB, IHC-P and reacts with Mouse, Rat, Human samples. Cited in 5 publications.

View Alternative Names

Fibrinogen beta chain, FGB

4 Images
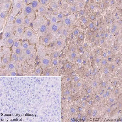
Immunohistochemistry (Formalin/PFA-fixed paraffin-embedded sections) - Anti-Fibrinogen beta chain antibody [EPR18145-84] - BSA and Azide free (AB227063)
  • IHC-P

Supplier Data

Immunohistochemistry (Formalin/PFA-fixed paraffin-embedded sections) - Anti-Fibrinogen beta chain antibody [EPR18145-84] - BSA and Azide free (AB227063)

Immunohistochemical analysis of paraffin-embedded rat liver tissue labeling Fibrinogen beta with ab189490 at 1/4000 dilution, followed by Goat Anti-Rabbit IgG H&L (HRP) ready to use. Positive staining on hepatocytes and blood vessels of mouse liver (PMID : 10467729; PMID : 3778466) is observed. Counter stained with hematoxylin.

Secondary antibody only control : Used PBS instead of primary antibody, secondary antibody is Goat Anti-Rabbit IgG H&L (HRP) ready to use.

This data was developed using the same antibody clone in a different buffer formulation containing PBS, BSA, glycerol, and sodium azide (ab189490).

Perform heat mediated antigen retrieval with Tris/EDTA buffer pH 9.0 before commencing with IHC staining protocol.

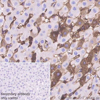
Immunohistochemistry (Formalin/PFA-fixed paraffin-embedded sections) - Anti-Fibrinogen beta chain antibody [EPR18145-84] - BSA and Azide free (AB227063)
  • IHC-P

Supplier Data

Immunohistochemistry (Formalin/PFA-fixed paraffin-embedded sections) - Anti-Fibrinogen beta chain antibody [EPR18145-84] - BSA and Azide free (AB227063)

Immunohistochemical analysis of paraffin-embedded mouse liver tissue labeling Fibrinogen beta with ab189490 at 1/4000 dilution, followed by Goat Anti-Rabbit IgG H&L (HRP) ready to use. Positive staining on hepatocytes and blood vessels of mouse liver (PMID : 10467729; PMID : 3778466) is observed. Counter stained with hematoxylin.

Secondary antibody only control : Used PBS instead of primary antibody, secondary antibody is Goat Anti-Rabbit IgG H&L (HRP) ready to use.

This data was developed using the same antibody clone in a different buffer formulation containing PBS, BSA, glycerol, and sodium azide (ab189490).

Perform heat mediated antigen retrieval with Tris/EDTA buffer pH 9.0 before commencing with IHC staining protocol.

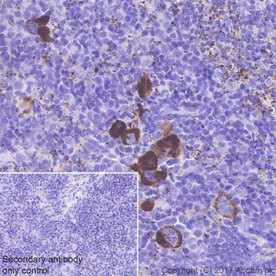
Immunohistochemistry (Formalin/PFA-fixed paraffin-embedded sections) - Anti-Fibrinogen beta chain antibody [EPR18145-84] - BSA and Azide free (AB227063)
  • IHC-P

Supplier Data

Immunohistochemistry (Formalin/PFA-fixed paraffin-embedded sections) - Anti-Fibrinogen beta chain antibody [EPR18145-84] - BSA and Azide free (AB227063)

Immunohistochemical analysis of paraffin-embedded rat spleen tissue labeling Fibrinogen beta with ab189490 at 1/4000 dilution, followed by Goat Anti-Rabbit IgG H&L (HRP) ready to use. Positive staining on hepatocytes and blood vessels of mouse liver (PMID : 3778466) is observed. Counter stained with hematoxylin.

Secondary antibody only control : Used PBS instead of primary antibody, secondary antibody is Goat Anti-Rabbit IgG H&L (HRP) ready to use.

This data was developed using the same antibody clone in a different buffer formulation containing PBS, BSA, glycerol, and sodium azide (ab189490).

Perform heat mediated antigen retrieval with Tris/EDTA buffer pH 9.0 before commencing with IHC staining protocol.

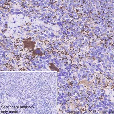
Immunohistochemistry (Formalin/PFA-fixed paraffin-embedded sections) - Anti-Fibrinogen beta chain antibody [EPR18145-84] - BSA and Azide free (AB227063)
  • IHC-P

Supplier Data

Immunohistochemistry (Formalin/PFA-fixed paraffin-embedded sections) - Anti-Fibrinogen beta chain antibody [EPR18145-84] - BSA and Azide free (AB227063)

Immunohistochemical analysis of paraffin-embedded mouse spleen tissue labeling Fibrinogen beta with ab189490 at 1/4000 dilution, followed by Goat Anti-Rabbit IgG H&L (HRP) ready to use. Positive staining on hepatocytes and blood vessels of mouse liver (PMID : 3778466) is observed. Counter stained with hematoxylin.

Secondary antibody only control : Used PBS instead of primary antibody, secondary antibody is Goat Anti-Rabbit IgG H&L (HRP) ready to use.

This data was developed using the same antibody clone in a different buffer formulation containing PBS, BSA, glycerol, and sodium azide (ab189490).

Perform heat mediated antigen retrieval with Tris/EDTA buffer pH 9.0 before commencing with IHC staining protocol.

  • Unconjugated

    Anti-Fibrinogen beta chain antibody [EPR18145-84]

  • Carrier free

    Anti-Fibrinogen antibody [EPR18145-84] - BSA and Azide free (Capture)

Key facts

Host species

Rabbit

Clonality

Monoclonal

Clone number

EPR18145-84

Isotype

IgG

Carrier free

Yes

Reacts with

Mouse, Rat, Human

Applications

WB, IHC-P

applications

Immunogen

The exact immunogen used to generate this antibody is proprietary information.

Reactivity data

{ "title": "Reactivity Data", "filters": { "stats": ["", "Species", "Dilution Info", "Notes"], "tabs": { "all-applications": {"fullname" : "All Applications", "shortname": "All Applications"}, "WB" : {"fullname" : "Western blot", "shortname":"WB"}, "IHCP" : {"fullname" : "Immunohistochemistry (Formalin/PFA-fixed paraffin-embedded sections)", "shortname":"IHC-P"} }, "product-promise": { "all": "all", "testedAndGuaranteed": "tested", "guaranteed": "expected", "predicted": "predicted", "notRecommended": "not-recommended" } }, "values": { "Human": { "WB-species-checked": "guaranteed", "WB-species-dilution-info": "", "WB-species-notes": "<p></p>", "IHCP-species-checked": "predicted", "IHCP-species-dilution-info": "", "IHCP-species-notes": "" }, "Mouse": { "WB-species-checked": "guaranteed", "WB-species-dilution-info": "", "WB-species-notes": "<p></p>", "IHCP-species-checked": "testedAndGuaranteed", "IHCP-species-dilution-info": "", "IHCP-species-notes": "<p></p>" }, "Rat": { "WB-species-checked": "guaranteed", "WB-species-dilution-info": "", "WB-species-notes": "<p></p>", "IHCP-species-checked": "predicted", "IHCP-species-dilution-info": "", "IHCP-species-notes": "" } } }

Product details

ab227063 is the carrier-free version of ab189490.

Patented technology
Our RabMAb® technology is a patented hybridoma-based technology for making rabbit monoclonal antibodies. For details on our patents, please refer to RabMAb® patents.

What are the advantages of a recombinant monoclonal antibody?
This product is a recombinant monoclonal antibody, which offers several advantages including:

  • - High batch-to-batch consistency and reproducibility
  • - Improved sensitivity and specificity
  • - Long-term security of supply
  • - Animal-free batch production

For more information, read more on recombinant antibodies.

Conjugation ready
Our carrier-free antibodies are typically supplied in a PBS-only formulation, purified and free of BSA, sodium azide and glycerol. This conjugation-ready format is designed for use with fluorochromes, metal isotopes, oligonucleotides, and enzymes, which makes them ideal for antibody labelling, functional and cell-based assays, flow-based assays (e.g. mass cytometry) and Multiplex Imaging applications.

Use our conjugation kits for antibody conjugates that are ready-to-use in as little as 20 minutes with 1 minute hands-on-time and 100% antibody recovery: available for fluorescent dyes, HRP, biotin and gold.

Compatibility
This product is compatible with the Maxpar® Antibody Labeling Kit from Fluidigm, without the need for antibody preparation. Maxpar® is a trademark of Fluidigm Canada Inc.

Properties and storage information

Form
Liquid
Purification technique
Affinity purification Protein A
Storage buffer
pH: 7.2 - 7.4 Constituents: PBS
Shipped at conditions
Blue Ice
Appropriate short-term storage conditions
+4°C
Appropriate long-term storage conditions
+4°C
Storage information
Do Not Freeze

Product protocols

For this product, it's our understanding that no specific protocols are required. You can visit:

Target data

Cleaved by the protease thrombin to yield monomers which, together with fibrinogen alpha (FGA) and fibrinogen gamma (FGG), polymerize to form an insoluble fibrin matrix. Fibrin has a major function in hemostasis as one of the primary components of blood clots. In addition, functions during the early stages of wound repair to stabilize the lesion and guide cell migration during re-epithelialization. Was originally thought to be essential for platelet aggregation, based on in vitro studies using anticoagulated blood. However subsequent studies have shown that it is not absolutely required for thrombus formation in vivo. Enhances expression of SELP in activated platelets. Maternal fibrinogen is essential for successful pregnancy. Fibrin deposition is also associated with infection, where it protects against IFNG-mediated hemorrhage. May also facilitate the antibacterial immune response via both innate and T-cell mediated pathways.
See full target information Fibrinogen beta chain

Publications (5)

Recent publications for all applications. Explore the full list and refine your search

American journal of physiology. Lung cellular and molecular physiology 328:L1-L14 PubMed39437762

2024

Mice with lymphatic dysfunction develop pathogenic lung tertiary lymphoid organs that model an autoimmune emphysema phenotype of COPD.

Applications

Unspecified application

Species

Unspecified reactive species

Barbara Summers,Kihwan Kim,Anjali Trivedi,Tyler M Lu,Sean Houghton,Jade Palmer-Johnson,Joselyn Rojas-Quintero,Juan Cala-Garcia,Tania Pannellini,Francesca Polverino,Raphaël Lis,Hasina Outtz Reed

Frontiers in aging neuroscience 15:1089005 PubMed37261266

2023

Preserved blood-brain barrier and neurovascular coupling in female 5xFAD model of Alzheimer's disease.

Applications

Unspecified application

Species

Unspecified reactive species

Oleg Zhukov,Chen He,Rana Soylu-Kucharz,Changsi Cai,Andreas D Lauritzen,Blanca Irene Aldana,Maria Björkqvist,Martin Lauritzen,Krzysztof Kucharz

Scientific reports 12:5012 PubMed35322079

2022

Lung lymphatic thrombosis and dysfunction caused by cigarette smoke exposure precedes emphysema in mice.

Applications

Unspecified application

Species

Unspecified reactive species

Barbara D Summers,Kihwan Kim,Cristina C Clement,Zohaib Khan,Sangeetha Thangaswamy,Jacob McCright,Katharina Maisel,Sofia Zamora,Stephanie Quintero,Alexandra C Racanelli,David Redmond,Jeanine D'Armiento,Jisheng Yang,Amy Kuang,Laurel Monticelli,Mark L Kahn,Augustine M K Choi,Laura Santambrogio,Hasina Outtz Reed

BMC musculoskeletal disorders 21:449 PubMed32646398

2020

Bilobalide protects against ischemia/reperfusion-induced oxidative stress and inflammatory responses via the MAPK/NF-휅B pathways in rats.

Applications

Unspecified application

Species

Unspecified reactive species

Ying Li,Jiliang Jiang,Liangcheng Tong,Tingting Gao,Lei Bai,Qing Xue,Jianxin Xing,Qin Wang,Haoran Lyu,Min Cai,Zhongyang Sun

eLife 8: PubMed31763978

2019

Apolipoprotein M-bound sphingosine-1-phosphate regulates blood-brain barrier paracellular permeability and transcytosis.

Applications

Unspecified application

Species

Unspecified reactive species

Mette Mathiesen Janiurek,Rana Soylu-Kucharz,Christina Christoffersen,Krzysztof Kucharz,Martin Lauritzen
View all publications

Product promise

We are committed to supporting your work with high-quality reagents, and we're here for you every step of the way. In the unlikely event that one of our products does not perform as expected, you're protected by our Product Promise.
For full details, please see our Terms & Conditions

Please note: All products are 'FOR RESEARCH USE ONLY. NOT FOR USE IN DIAGNOSTIC OR THERAPEUTIC PROCEDURES'.

For licensing inquiries, please contact partnerships@abcam.com