JavaScript is disabled in your browser. Please enable JavaScript to view this website.
AB133359

Anti-Fibrinogen beta chain antibody [EPR3083]

Be the first to review this product! Submit a review

|

(2 Publications)

Rabbit Recombinant Monoclonal Fibrinogen beta chain antibody. Suitable for WB, ICC/IF and reacts with Rat, Human samples. Cited in 2 publications.

View Alternative Names

Fibrinogen beta chain, FGB

2 Images
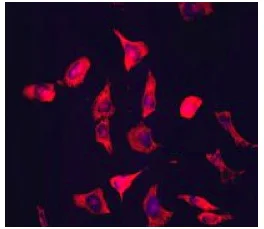
Immunocytochemistry/ Immunofluorescence - Anti-Fibrinogen beta chain antibody [EPR3083] (AB133359)
  • ICC/IF

Unknown

Immunocytochemistry/ Immunofluorescence - Anti-Fibrinogen beta chain antibody [EPR3083] (AB133359)

Immunofluorescence analysis of Fibrinogen beta chain in HeLa cells using ab133359 at a dilution of 1/100.

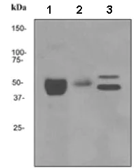
Western blot - Anti-Fibrinogen beta chain antibody [EPR3083] (AB133359)
  • WB

Unknown

Western blot - Anti-Fibrinogen beta chain antibody [EPR3083] (AB133359)

Actual band size : 56 kDa

All lanes:

Western blot - Anti-Fibrinogen beta chain antibody [EPR3083] (ab133359) at 1/1000 dilution

Lane 1:

Human plasma lysate at 10 µg

Lane 2:

Human prostate lysate at 10 µg

Lane 3:

Rat platelet lysate at 10 µg

Secondary

All lanes:

HRP labelled goat anti-rabbit at 1/2000 dilution

Predicted band size: 56 kDa

false

  • HRP

    HRP Anti-Fibrinogen beta chain antibody [EPR3083]

  • 519 Alexa Fluor® 488

    Alexa Fluor® 488 Anti-Fibrinogen beta chain antibody [EPR3083]

  • Carrier free

    Anti-Fibrinogen beta chain antibody [EPR3083] - BSA and Azide free

Key facts

Host species

Rabbit

Clonality

Monoclonal

Clone number

EPR3083

Isotype

IgG

Carrier free

No

Reacts with

Rat, Human

Applications

WB, ICC/IF

applications

Immunogen

The exact immunogen used to generate this antibody is proprietary information.

Reactivity data

{ "title": "Reactivity Data", "filters": { "stats": ["", "Species", "Dilution Info", "Notes"], "tabs": { "all-applications": {"fullname" : "All Applications", "shortname": "All Applications"}, "IP" : {"fullname" : "Immunoprecipitation", "shortname":"IP"}, "WB" : {"fullname" : "Western blot", "shortname":"WB"}, "IHCP" : {"fullname" : "Immunohistochemistry (Formalin/PFA-fixed paraffin-embedded sections)", "shortname":"IHC-P"}, "ICCIF" : {"fullname" : "Immunocytochemistry/ Immunofluorescence", "shortname":"ICC/IF"} }, "product-promise": { "all": "all", "testedAndGuaranteed": "tested", "guaranteed": "expected", "predicted": "predicted", "notRecommended": "not-recommended" } }, "values": { "Human": { "IP-species-checked": "notRecommended", "IP-species-dilution-info": "", "IP-species-notes": "<p></p>", "WB-species-checked": "testedAndGuaranteed", "WB-species-dilution-info": "1/1000 - 1/2000", "WB-species-notes": "<p></p>", "IHCP-species-checked": "notRecommended", "IHCP-species-dilution-info": "", "IHCP-species-notes": "<p></p>", "ICCIF-species-checked": "testedAndGuaranteed", "ICCIF-species-dilution-info": "1/100 - 1/250", "ICCIF-species-notes": "<p></p>" }, "Mouse": { "IP-species-checked": "notRecommended", "IP-species-dilution-info": "", "IP-species-notes": "", "WB-species-checked": "predicted", "WB-species-dilution-info": "", "WB-species-notes": "", "IHCP-species-checked": "notRecommended", "IHCP-species-dilution-info": "", "IHCP-species-notes": "", "ICCIF-species-checked": "predicted", "ICCIF-species-dilution-info": "", "ICCIF-species-notes": "" }, "Rat": { "IP-species-checked": "notRecommended", "IP-species-dilution-info": "", "IP-species-notes": "<p></p>", "WB-species-checked": "testedAndGuaranteed", "WB-species-dilution-info": "1/1000 - 1/2000", "WB-species-notes": "<p></p>", "IHCP-species-checked": "notRecommended", "IHCP-species-dilution-info": "", "IHCP-species-notes": "<p></p>", "ICCIF-species-checked": "guaranteed", "ICCIF-species-dilution-info": "", "ICCIF-species-notes": "" } } }

Product details

Patented technology
Our RabMAb® technology is a patented hybridoma-based technology for making rabbit monoclonal antibodies. For details on our patents, please refer to RabMAb® patents.

What are the advantages of a recombinant monoclonal antibody?
This product is a recombinant monoclonal antibody, which offers several advantages including:

  • - High batch-to-batch consistency and reproducibility
  • - Improved sensitivity and specificity
  • - Long-term security of supply
  • - Animal-free batch production

For more information, read more on recombinant antibodies.

Properties and storage information

Form
Liquid
Purity
Tissue culture supernatant
Storage buffer
pH: 7.2 - 7.4 Preservative: 0.05% Sodium azide Constituents: 50% Tissue culture supernatant, 40% Glycerol (glycerin, glycerine), 9.85% Tris glycine, 0.1% BSA
Shipped at conditions
Blue Ice
Appropriate short-term storage duration
1-2 weeks
Appropriate short-term storage conditions
+4°C
Appropriate long-term storage conditions
-20°C
Aliquoting information
Upon delivery aliquot
Storage information
Stable for 12 months at -20°C

Product protocols

For this product, it's our understanding that no specific protocols are required. You can visit:

Target data

Cleaved by the protease thrombin to yield monomers which, together with fibrinogen alpha (FGA) and fibrinogen gamma (FGG), polymerize to form an insoluble fibrin matrix. Fibrin has a major function in hemostasis as one of the primary components of blood clots. In addition, functions during the early stages of wound repair to stabilize the lesion and guide cell migration during re-epithelialization. Was originally thought to be essential for platelet aggregation, based on in vitro studies using anticoagulated blood. However subsequent studies have shown that it is not absolutely required for thrombus formation in vivo. Enhances expression of SELP in activated platelets. Maternal fibrinogen is essential for successful pregnancy. Fibrin deposition is also associated with infection, where it protects against IFNG-mediated hemorrhage. May also facilitate the antibacterial immune response via both innate and T-cell mediated pathways.
See full target information Fibrinogen beta chain

Publications (2)

Recent publications for all applications. Explore the full list and refine your search

PLoS pathogens 21:e1013563 PubMed41052208

2025

Dysplastic lung repair fosters a tuberculosis-promoting microenvironment through maladaptive macrophage polarization.

Applications

Unspecified application

Species

Unspecified reactive species

Shivraj M Yabaji,Suruchi Lata,Anna E Tseng,Prasanna Babu Araveti,Ming Lo,Igor Gavrish,Aoife K O'Connell,Hans P Gertje,Anna C Belkina,Colleen E Thurman,Hirofumi Kiyokawa,Darrell Kotton,Shumin Tan,Janice J Endsley,William R Bishai,Nicholas Crossland,Lester Kobzik,Igor Kramnik

Biomaterials 167:121-131 PubMed29567388

2018

Inducing hair follicle neogenesis with secreted proteins enriched in embryonic skin.

Applications

IHC-P

Species

Mouse

Sabrina Mai-Yi Fan,Chia-Feng Tsai,Chien-Mei Yen,Miao-Hsia Lin,Wei-Hung Wang,Chih-Chieh Chan,Chih-Lung Chen,Kyle K L Phua,Szu-Hua Pan,Maksim V Plikus,Sung-Liang Yu,Yu-Ju Chen,Sung-Jan Lin
View all publications

Product promise

We are committed to supporting your work with high-quality reagents, and we're here for you every step of the way. In the unlikely event that one of our products does not perform as expected, you're protected by our Product Promise.
For full details, please see our Terms & Conditions

Please note: All products are 'FOR RESEARCH USE ONLY. NOT FOR USE IN DIAGNOSTIC OR THERAPEUTIC PROCEDURES'.

For licensing inquiries, please contact partnerships@abcam.com